Revision 4

#73269

Store at +4C

CST Logo
Orders:

877-616-CELL (2355)

[email protected]

Support:

877-678-TECH (8324)

3 Trask Lane | Danvers | Massachusetts | 01923 | USA

For Research Use Only. Not for Use in Diagnostic Procedures.

Applications:
W, IHC-P, FC-FP

Reactivity:
H

Sensitivity:
Endogenous

MW (kDa):
43

Source/Isotype:
Mouse IgG1

UniProt ID:
#P13747

Entrez-Gene Id:
3133

Product Usage Information

Application Dilution
Western Blotting 1:1000
Immunohistochemistry (Paraffin) 1:125 - 1:500
Flow Cytometry (Fixed/Permeabilized) 1:1000 - 1:4000

Storage

Supplied in PBS (pH 7.4) containing 15 mM sodium azide. Store at 4°C. Do not aliquot the antibody.

Specificity/Sensitivity

HLA-E (MEM-E/02) Mouse Monoclonal Antibody recognizes endogenous levels of HLA-E protein.

Source / Purification

Monoclonal antibody is produced by immunizing animals with a recombinant human HLA-E denatured heavy chain.

Background

HLA-E (HLA class I histocompatibility antigen, alpha chain E) is a non-classical MHC molecule that is expressed by B and T lymphocytes, natural killer (NK) cells, and macrophages, and is overexpressed in some tumors (1-3). Classical HLA class I molecules (HLA-A, -B, and -C) are highly polymorphic, affecting the peptide binding region (PBR). HLA-E has limited polymorphism that is restricted to two functional versions (3,5). HLA-E is a ligand of CD94/NKG2A, -B, and -C receptors, which are expressed on NK cells and T cells and play a role in the innate and adaptive immune system (3-5).

Species Reactivity

Species reactivity is determined by testing in at least one approved application (e.g., western blot).

Western Blot Buffer

IMPORTANT: For western blots, incubate membrane with diluted primary antibody in 5% w/v BSA, 1X TBS, 0.1% Tween® 20 at 4°C with gentle shaking, overnight.

Applications Key

W: Western Blotting IHC-P: Immunohistochemistry (Paraffin) FC-FP: Flow Cytometry (Fixed/Permeabilized)

Cross-Reactivity Key

H: Human

Trademarks and Patents

Cell Signaling Technology is a trademark of Cell Signaling Technology, Inc.

All other trademarks are the property of their respective owners. Visit cellsignal.com/trademarks for more information.

Limited Uses

Except as otherwise expressly agreed in a writing signed by a legally authorized representative of CST, the following terms apply to Products provided by CST, its affiliates or its distributors. Any Customer's terms and conditions that are in addition to, or different from, those contained herein, unless separately accepted in writing by a legally authorized representative of CST, are rejected and are of no force or effect.

Products are labeled with For Research Use Only or a similar labeling statement and have not been approved, cleared, or licensed by the FDA or other regulatory foreign or domestic entity, for any purpose. Customer shall not use any Product for any diagnostic or therapeutic purpose, or otherwise in any manner that conflicts with its labeling statement. Products sold or licensed by CST are provided for Customer as the end-user and solely for research and development uses. Any use of Product for diagnostic, prophylactic or therapeutic purposes, or any purchase of Product for resale (alone or as a component) or other commercial purpose, requires a separate license from CST. Customer shall (a) not sell, license, loan, donate or otherwise transfer or make available any Product to any third party, whether alone or in combination with other materials, or use the Products to manufacture any commercial products, (b) not copy, modify, reverse engineer, decompile, disassemble or otherwise attempt to discover the underlying structure or technology of the Products, or use the Products for the purpose of developing any products or services that would compete with CST products or services, (c) not alter or remove from the Products any trademarks, trade names, logos, patent or copyright notices or markings, (d) use the Products solely in accordance with CST Product Terms of Sale and any applicable documentation, and (e) comply with any license, terms of service or similar agreement with respect to any third party products or services used by Customer in connection with the Products.

Orders: 877-616-CELL (2355) [email protected] Support: 877-678-TECH (8324) [email protected] Web: cellsignal.com
For Research Use Only. Not for Use in Diagnostic Procedures.

Revision 4

Cell Signaling Technology Logo
Western blot analysis of extracts from various cell lines using HLA-E (MEM-E/02) Mouse mAb (upper) or β-Actin (D6A8) Rabbit mAb #8457 (lower). Negative expression of HLA-E protein in NCI-H146 cells is consistent with the predicted expression pattern.
Western Blotting Image 1: HLA-E (MEM-E/02) Mouse Monoclonal Antibody
Western blot analysis of extracts from 293T cells, mock transfected (-) or transfected with a construct expressing Myc/DDK-tagged full-length human HLA-E (hHLA-E-Myc/DDK; +), using HLA-E (MEM-E/02) Mouse mAb (upper), Myc-Tag (71D10) Rabbit mAb #2278 (middle), or β-Actin (D6A8) Rabbit mAb #8457 (lower).
Western Blotting Image 2: HLA-E (MEM-E/02) Mouse Monoclonal Antibody
Immunohistochemical analysis of paraffin-embedded normal human spleen using HLA-E (MEM-E/02) Mouse mAb.
Immunohistochemistry Image 1: HLA-E (MEM-E/02) Mouse Monoclonal Antibody
Orders: 877-616-CELL (2355) [email protected] Support: 877-678-TECH (8324) [email protected] Web: cellsignal.com
For Research Use Only. Not for Use in Diagnostic Procedures.

Revision 4

Cell Signaling Technology Logo
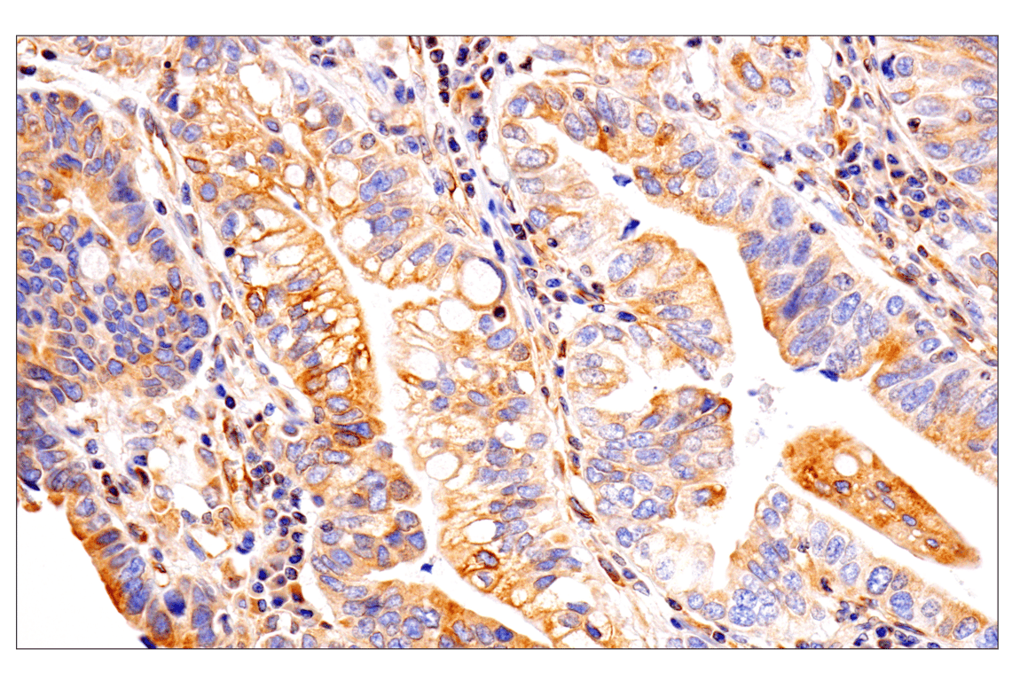
Immunohistochemical analysis of paraffin-embedded normal human colon using HLA-E (MEM-E/02) Mouse mAb.
Immunohistochemistry Image 2: HLA-E (MEM-E/02) Mouse Monoclonal Antibody
Immunohistochemical analysis of paraffin-embedded normal human uterus using HLA-E (MEM-E/02) Mouse mAb.
Immunohistochemistry Image 3: HLA-E (MEM-E/02) Mouse Monoclonal Antibody
Immunohistochemical analysis of paraffin-embedded normal human testis using HLA-E (MEM-E/02) Mouse mAb.
Immunohistochemistry Image 4: HLA-E (MEM-E/02) Mouse Monoclonal Antibody
Orders: 877-616-CELL (2355) [email protected] Support: 877-678-TECH (8324) [email protected] Web: cellsignal.com
For Research Use Only. Not for Use in Diagnostic Procedures.

Revision 4

Cell Signaling Technology Logo
Immunohistochemical analysis of paraffin-embedded normal human small intestine using HLA-E (MEM-E/02) Mouse mAb.
Immunohistochemistry Image 5: HLA-E (MEM-E/02) Mouse Monoclonal Antibody
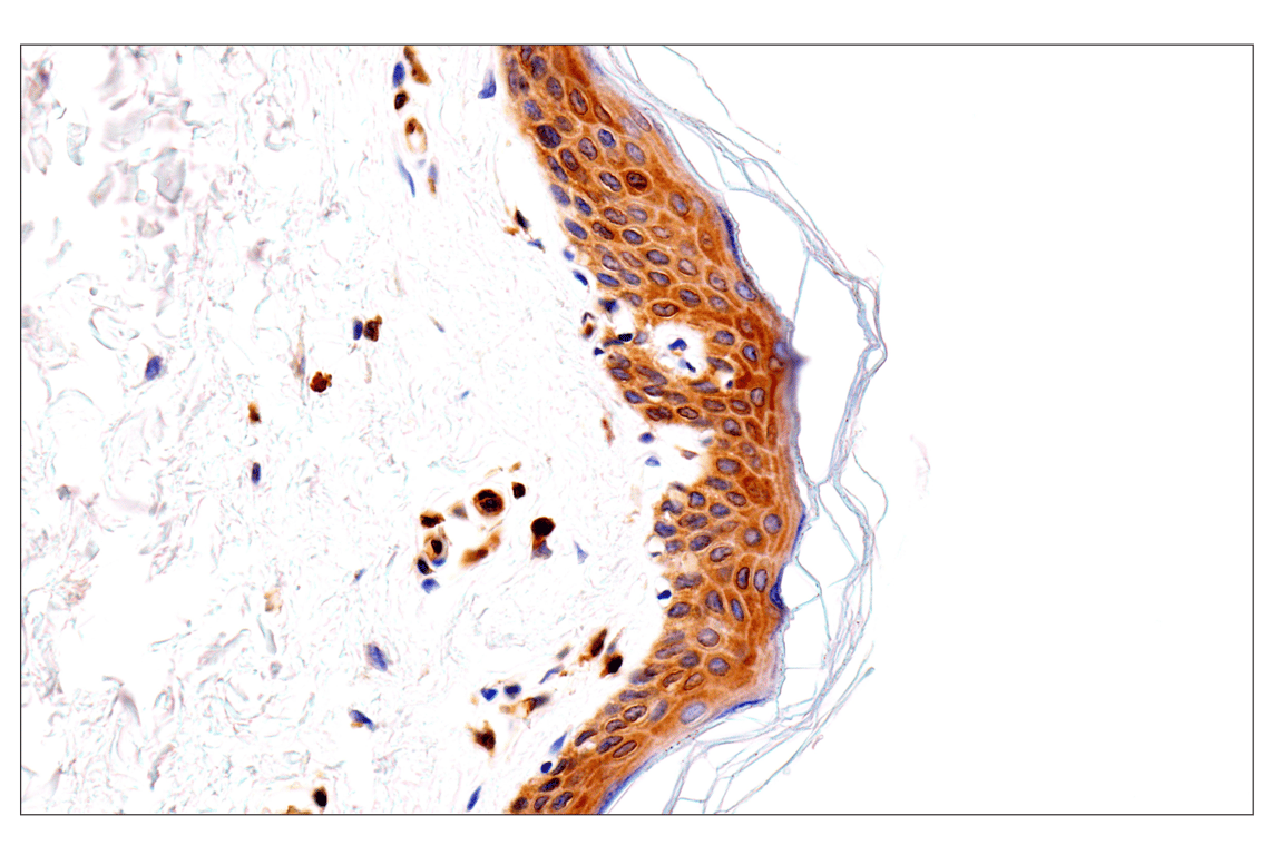
Immunohistochemical analysis of paraffin-embedded normal human skin using HLA-E (MEM-E/02) Mouse mAb.
Immunohistochemistry Image 6: HLA-E (MEM-E/02) Mouse Monoclonal Antibody
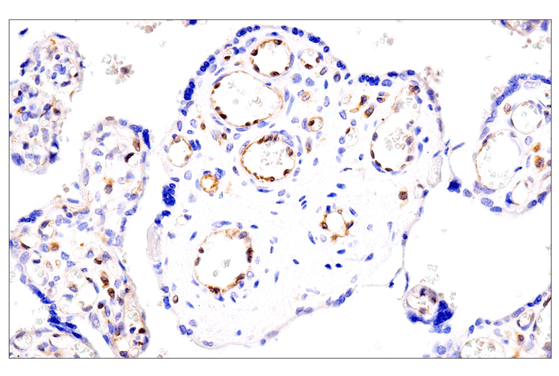
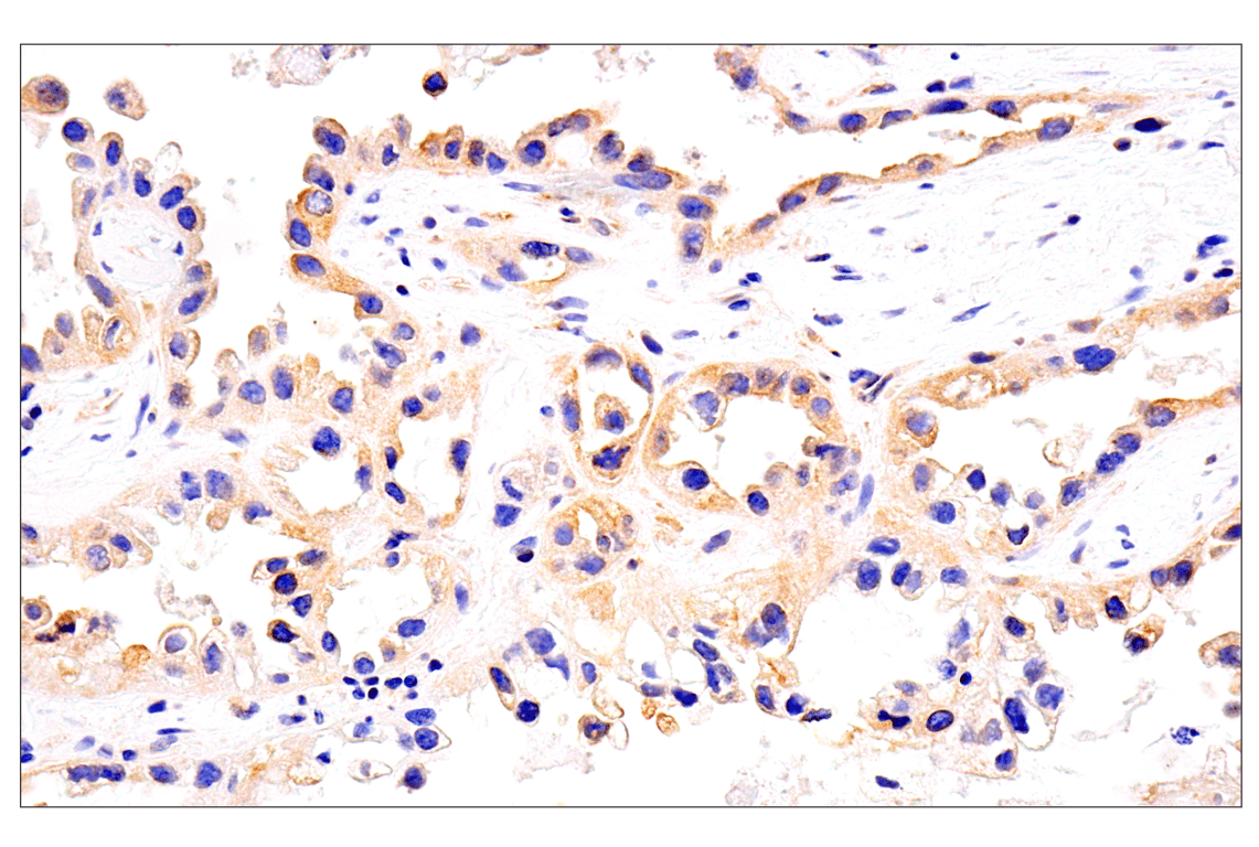
Immunohistochemical analysis of paraffin-embedded normal human placenta using HLA-E (MEM-E/02) Mouse mAb.
Immunohistochemistry Image 7: HLA-E (MEM-E/02) Mouse Monoclonal Antibody
Orders: 877-616-CELL (2355) [email protected] Support: 877-678-TECH (8324) [email protected] Web: cellsignal.com
For Research Use Only. Not for Use in Diagnostic Procedures.

Revision 4

Cell Signaling Technology Logo
Immunohistochemical analysis of paraffin-embedded normal human pancreas using HLA-E (MEM-E/02) Mouse mAb.
Immunohistochemistry Image 8: HLA-E (MEM-E/02) Mouse Monoclonal Antibody
Immunohistochemical analysis of paraffin-embedded normal human lymph node using HLA-E (MEM-E/02) Mouse mAb.
Immunohistochemistry Image 9: HLA-E (MEM-E/02) Mouse Monoclonal Antibody
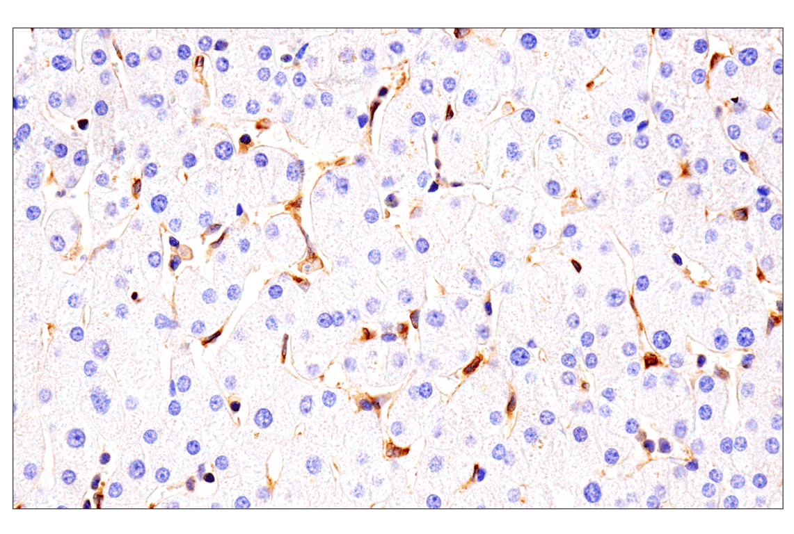
Immunohistochemical analysis of paraffin-embedded normal human liver using HLA-E (MEM-E/02) Mouse mAb.
Immunohistochemistry Image 10: HLA-E (MEM-E/02) Mouse Monoclonal Antibody
Orders: 877-616-CELL (2355) [email protected] Support: 877-678-TECH (8324) [email protected] Web: cellsignal.com
For Research Use Only. Not for Use in Diagnostic Procedures.

Revision 4

Cell Signaling Technology Logo
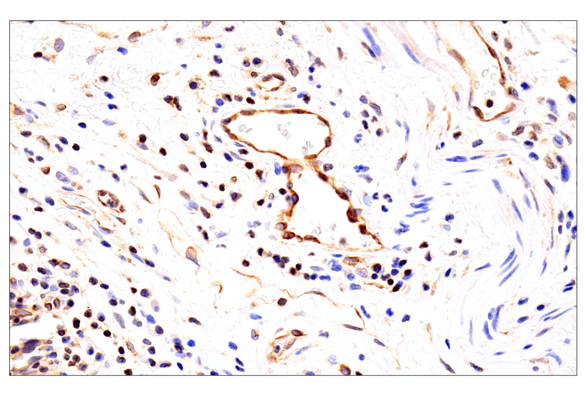
Immunohistochemical analysis of paraffin-embedded submucosa of normal human esophagus using HLA-E (MEM-E/02) Mouse mAb.
Immunohistochemistry Image 11: HLA-E (MEM-E/02) Mouse Monoclonal Antibody
Immunohistochemical analysis of paraffin-embedded normal human esophagus using HLA-E (MEM-E/02) Mouse mAb.
Immunohistochemistry Image 12: HLA-E (MEM-E/02) Mouse Monoclonal Antibody
Immunohistochemical analysis of paraffin-embedded normal human brain using HLA-E (MEM-E/02) Mouse mAb.
Immunohistochemistry Image 13: HLA-E (MEM-E/02) Mouse Monoclonal Antibody
Orders: 877-616-CELL (2355) [email protected] Support: 877-678-TECH (8324) [email protected] Web: cellsignal.com
For Research Use Only. Not for Use in Diagnostic Procedures.

Revision 4

Cell Signaling Technology Logo
Immunohistochemical analysis of paraffin-embedded human tonsil using HLA-E (MEM-E/02) Mouse mAb.
Immunohistochemistry Image 14: HLA-E (MEM-E/02) Mouse Monoclonal Antibody
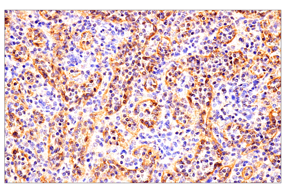
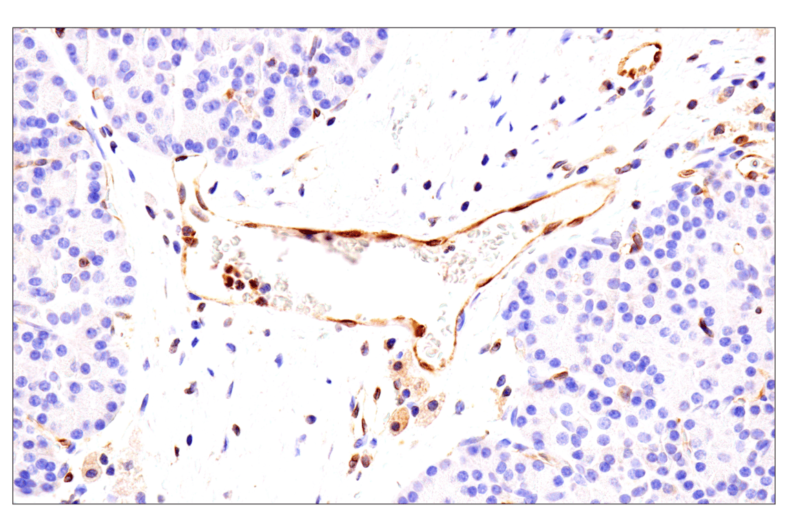
Immunohistochemical analysis of paraffin-embedded human ovarian clear cell carcinoma using HLA-E (MEM-E/02) Mouse mAb.
Immunohistochemistry Image 15: HLA-E (MEM-E/02) Mouse Monoclonal Antibody
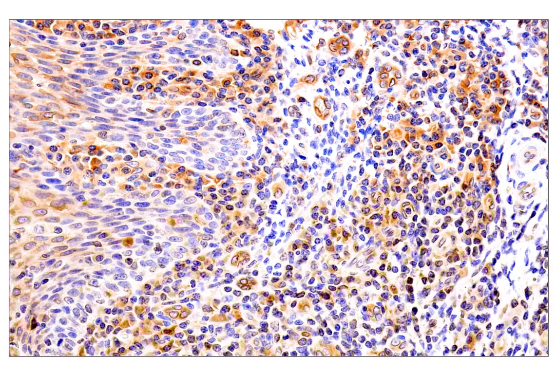
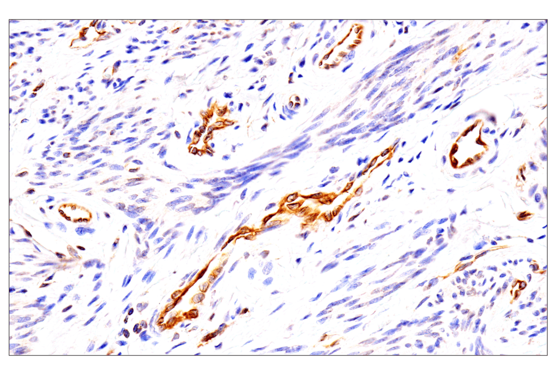
Immunohistochemical analysis of paraffin-embedded human soft tissue squamous cell carcinoma using HLA-E (MEM-E/02) Mouse mAb.
Immunohistochemistry Image 16: HLA-E (MEM-E/02) Mouse Monoclonal Antibody
Orders: 877-616-CELL (2355) [email protected] Support: 877-678-TECH (8324) [email protected] Web: cellsignal.com
For Research Use Only. Not for Use in Diagnostic Procedures.

Revision 4

Cell Signaling Technology Logo
Immunohistochemical analysis of paraffin-embedded human esophageal adenocarcinoma using HLA-E (MEM-E/02) Mouse mAb.
Immunohistochemistry Image 17: HLA-E (MEM-E/02) Mouse Monoclonal Antibody
Immunohistochemical analysis of paraffin-embedded human esophageal adenocarcinoma using HLA-E (MEM-E/02) Mouse mAb.
Immunohistochemistry Image 18: HLA-E (MEM-E/02) Mouse Monoclonal Antibody
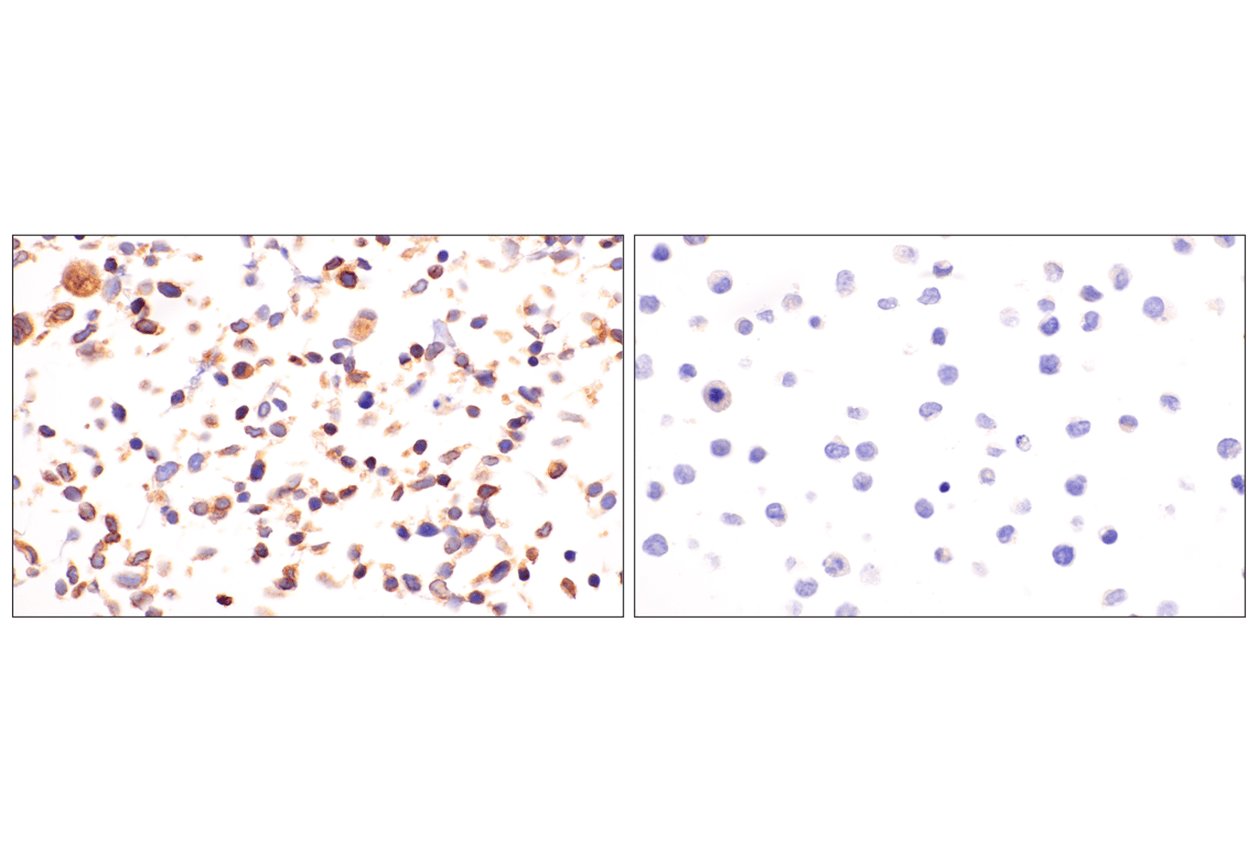
Immunohistochemical analysis of paraffin-embedded human squamous cell carcinoma of the cervix using HLA-E (MEM-E/02) Mouse mAb (left) compared to concentration-matched Mouse (G3A1) mAb IgG1 Isotype Control #5415 (right).
Immunohistochemistry Image 19: HLA-E (MEM-E/02) Mouse Monoclonal Antibody
Orders: 877-616-CELL (2355) [email protected] Support: 877-678-TECH (8324) [email protected] Web: cellsignal.com
For Research Use Only. Not for Use in Diagnostic Procedures.

Revision 4

Cell Signaling Technology Logo
Immunohistochemical analysis of paraffin-embedded A-431 cell pellet (left, positive) or NCI-H146 cell pellet (right, negative) using HLA-E (MEM-E/02) Mouse mAb #73269.
Immunohistochemistry Image 20: HLA-E (MEM-E/02) Mouse Monoclonal Antibody
Flow cytometric analysis of fixed/permeabilized SHP-77 cells (blue, negative) and A-431 cells (green, positive) using HLA-E (MEM-E/02) Mouse mAb (solid lines) or concentration-matched Mouse (G3A1) mAb IgG1 Isotype Control #5415 (dashed lines). Anti-mouse IgG (H+L), F(ab')2 Fragment (Alexa Fluor® 647 Conjugate) #4410 was used as a secondary antibody.
Flow Cytometry Image 1: HLA-E (MEM-E/02) Mouse Monoclonal Antibody
Orders: 877-616-CELL (2355) [email protected] Support: 877-678-TECH (8324) [email protected] Web: cellsignal.com
For Research Use Only. Not for Use in Diagnostic Procedures.