Revision 3

#84671

Store at -20C

CST Logo
Orders:

877-616-CELL (2355)

[email protected]

Support:

877-678-TECH (8324)

3 Trask Lane | Danvers | Massachusetts | 01923 | USA

For Research Use Only. Not for Use in Diagnostic Procedures.

Applications:
W, W-S, IP, IHC-P, IF-F, IF-IC

Reactivity:
H M R

Sensitivity:
Endogenous

MW (kDa):
65

Source/Isotype:
Rabbit IgG

UniProt ID:
#Q9UEW8

Entrez-Gene Id:
27347

Product Usage Information

Application Dilution
Western Blotting 1:1000
Simple Western™ 1:10 - 1:50
Immunoprecipitation 1:50
Immunohistochemistry (Paraffin) 1:400 - 1:1600
Immunofluorescence (Frozen) 1:400 - 1:800
Immunofluorescence (Immunocytochemistry) 1:400 - 1:1600

Storage

Supplied in 10 mM sodium HEPES (pH 7.5), 150 mM NaCl, 100 µg/mL BSA, 50% glycerol, and less than 0.02% sodium azide. Store at –20°C. Do not aliquot the antibody.

Specificity/Sensitivity

SPAK (F7T1K) Rabbit Monoclonal Antibody recognizes endogenous levels of total SPAK protein. Non-specific punctate cytoplasmic staining was observed in human kidney and staining of intercalated discs of human heart was observed by immunohistochemistry.

Source / Purification

Monoclonal antibody is produced by immunizing animals with a synthetic peptide corresponding to residues surrounding Leu429 of human SPAK protein.

Background

SPAK (STE20/SPS1-related Pro/Ala-rich kinase) and OSR1 (oxidative stress responsive 1) are members of the GCK family of serine/threonine kinases. Overexpression and in vitro studies demonstrate that SPAK is able to activate p38 MAP kinase, indicating a possible role for SPAK in the stress response (1). Yeast two-hybrid screening revealed that SPAK and OSR1 bind to Na-K-2Cl cotransporters NKCC1 and NKCC2 and K-Cl cotransporter KCC3 (2). WNK1 and WNK4 phosphorylate SPAK at Thr243/247 and Ser380 (3-5). Similarly, WNK1 and WNK4 phosphorylate OSR1 at Thr185 and Ser315 (3,4). Phosphorylation at these sites stimulates SPAK and OSR1 activity, leading to NKCC1 phosphorylation and enhanced NKCC1 activity (3-5). SPAK is also phosphorylated at Ser311 by PKCθ in response to T cell activation. Substitution of Ser311 with Ala or specific siRNA knockdown of SPAK dramatically reduces TCR/CD28-induced AP-1 activation, suggesting SPAK is involved in T cell signaling as well (6).

Species Reactivity

Species reactivity is determined by testing in at least one approved application (e.g., western blot).

Western Blot Buffer

IMPORTANT: For western blots, incubate membrane with diluted primary antibody in 5% w/v BSA, 1X TBS, 0.1% Tween® 20 at 4°C with gentle shaking, overnight.

Applications Key

W: Western Blotting W-S: Simple Western™ IP: Immunoprecipitation IHC-P: Immunohistochemistry (Paraffin) IF-F: Immunofluorescence (Frozen) IF-IC: Immunofluorescence (Immunocytochemistry)

Cross-Reactivity Key

H: Human M: Mouse R: Rat

Trademarks and Patents

Cell Signaling Technology is a trademark of Cell Signaling Technology, Inc.

All other trademarks are the property of their respective owners. Visit cellsignal.com/trademarks for more information.

Limited Uses

Except as otherwise expressly agreed in a writing signed by a legally authorized representative of CST, the following terms apply to Products provided by CST, its affiliates or its distributors. Any Customer's terms and conditions that are in addition to, or different from, those contained herein, unless separately accepted in writing by a legally authorized representative of CST, are rejected and are of no force or effect.

Products are labeled with For Research Use Only or a similar labeling statement and have not been approved, cleared, or licensed by the FDA or other regulatory foreign or domestic entity, for any purpose. Customer shall not use any Product for any diagnostic or therapeutic purpose, or otherwise in any manner that conflicts with its labeling statement. Products sold or licensed by CST are provided for Customer as the end-user and solely for research and development uses. Any use of Product for diagnostic, prophylactic or therapeutic purposes, or any purchase of Product for resale (alone or as a component) or other commercial purpose, requires a separate license from CST. Customer shall (a) not sell, license, loan, donate or otherwise transfer or make available any Product to any third party, whether alone or in combination with other materials, or use the Products to manufacture any commercial products, (b) not copy, modify, reverse engineer, decompile, disassemble or otherwise attempt to discover the underlying structure or technology of the Products, or use the Products for the purpose of developing any products or services that would compete with CST products or services, (c) not alter or remove from the Products any trademarks, trade names, logos, patent or copyright notices or markings, (d) use the Products solely in accordance with CST Product Terms of Sale and any applicable documentation, and (e) comply with any license, terms of service or similar agreement with respect to any third party products or services used by Customer in connection with the Products.

Orders: 877-616-CELL (2355) [email protected] Support: 877-678-TECH (8324) [email protected] Web: cellsignal.com
For Research Use Only. Not for Use in Diagnostic Procedures.

Revision 3

Cell Signaling Technology Logo
Western blot analysis of extracts from various tissues using SPAK (F7T1K) Rabbit mAb (upper) or GAPDH (D16H11) XP® Rabbit mAb #5174 (lower). Low expression of SPAK protein in mouse liver tissue is consistent with the predicted expression pattern.
Western Blotting Image 1: SPAK (F7T1K) Rabbit Monoclonal Antibody
Simple Western™ analysis of lysates (1.0 mg/mL) from rat brain using SPAK (F7T1K) Rabbit mAb #84671. The virtual lane view (left) shows the target band (as indicated) at 1:10 and 1:50 dilutions of primary antibody. The corresponding electropherogram view (right) plots chemiluminescence by molecular weight along the capillary at 1:10 (blue line) and 1:50 (green line) dilutions of primary antibody. This experiment was performed under reducing conditions on the Jess™ Simple Western instrument from ProteinSimple, a BioTechne brand, using the 12-230 kDa separation module.
Western Blotting Image 1: SPAK (F7T1K) Rabbit Monoclonal Antibody
Immunoprecipitation of SPAK protein from mouse brain tissue extracts. Lane 1 is 10% input, lane 2 is Rabbit (DA1E) mAb IgG XP® Isotype Control #3900, and lane 3 is SPAK (F7T1K) Rabbit mAb. Western blot analysis was performed using SPAK (F7T1K) Rabbit mAb. Mouse Anti-Rabbit IgG (Light-Chain Specific) (D4W3E) mAb (HRP Conjugate) #93702 was used as a secondary antibody.
Immunoprecipitation Image 1: SPAK (F7T1K) Rabbit Monoclonal Antibody
Orders: 877-616-CELL (2355) [email protected] Support: 877-678-TECH (8324) [email protected] Web: cellsignal.com
For Research Use Only. Not for Use in Diagnostic Procedures.

Revision 3

Cell Signaling Technology Logo
Immunohistochemical analysis of paraffin-embedded human squamous cell lung carcinoma using SPAK (F7T1K) Rabbit mAb.
Immunohistochemistry Image 1: SPAK (F7T1K) Rabbit Monoclonal Antibody
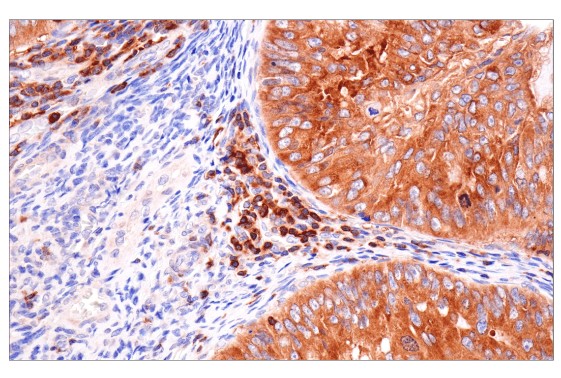
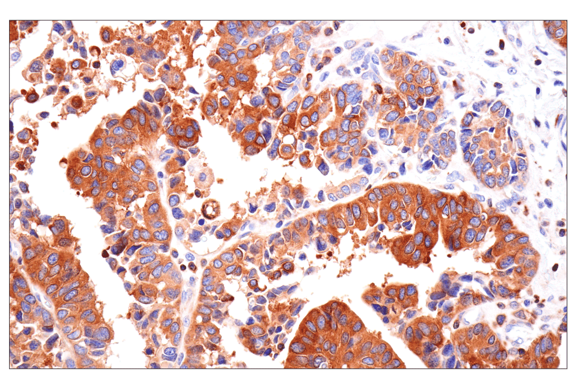
Immunohistochemical analysis of paraffin-embedded human urothelial carcinoma using SPAK (F7T1K) Rabbit mAb.
Immunohistochemistry Image 2: SPAK (F7T1K) Rabbit Monoclonal Antibody
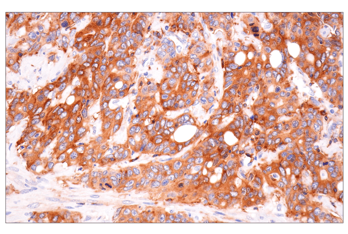
Immunohistochemical analysis of paraffin-embedded human gastric carcinoma using SPAK (F7T1K) Rabbit mAb.
Immunohistochemistry Image 3: SPAK (F7T1K) Rabbit Monoclonal Antibody
Orders: 877-616-CELL (2355) [email protected] Support: 877-678-TECH (8324) [email protected] Web: cellsignal.com
For Research Use Only. Not for Use in Diagnostic Procedures.

Revision 3

Cell Signaling Technology Logo
Immunohistochemical analysis of paraffin-embedded human endometrioid adenocarcinoma using SPAK (F7T1K) Rabbit mAb.
Immunohistochemistry Image 4: SPAK (F7T1K) Rabbit Monoclonal Antibody
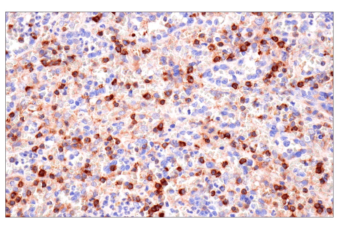
Immunohistochemical analysis of paraffin-embedded human Hodgkin lymphoma using SPAK (F7T1K) Rabbit mAb.
Immunohistochemistry Image 5: SPAK (F7T1K) Rabbit Monoclonal Antibody
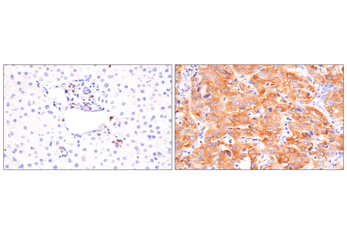
Immunohistochemical analysis of paraffin-embedded normal human liver (left) and intrahepatic cholangiocarcinoma (right) using SPAK (F7T1K) Rabbit mAb.
Immunohistochemistry Image 6: SPAK (F7T1K) Rabbit Monoclonal Antibody
Orders: 877-616-CELL (2355) [email protected] Support: 877-678-TECH (8324) [email protected] Web: cellsignal.com
For Research Use Only. Not for Use in Diagnostic Procedures.

Revision 3

Cell Signaling Technology Logo
Immunohistochemical analysis of paraffin-embedded normal human spleen using SPAK (F7T1K) Rabbit mAb.
Immunohistochemistry Image 7: SPAK (F7T1K) Rabbit Monoclonal Antibody
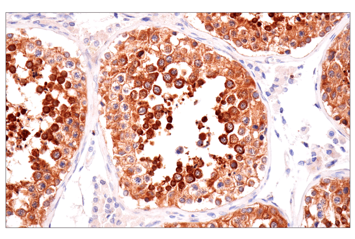
Immunohistochemical analysis of paraffin-embedded normal human testis using SPAK (F7T1K) Rabbit mAb.
Immunohistochemistry Image 8: SPAK (F7T1K) Rabbit Monoclonal Antibody
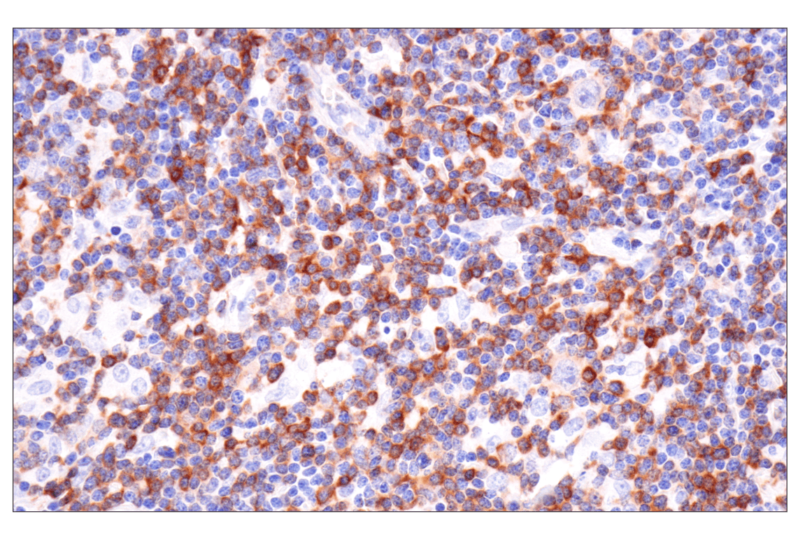
Immunohistochemical analysis of paraffin-embedded 4T1 syngeneic tumor using SPAK (F7T1K) Rabbit mAb.
Immunohistochemistry Image 9: SPAK (F7T1K) Rabbit Monoclonal Antibody
Orders: 877-616-CELL (2355) [email protected] Support: 877-678-TECH (8324) [email protected] Web: cellsignal.com
For Research Use Only. Not for Use in Diagnostic Procedures.

Revision 3

Cell Signaling Technology Logo
Immunohistochemical analysis of paraffin-embedded CT26.WT syngeneic tumor using SPAK (F7T1K) Rabbit mAb.
Immunohistochemistry Image 10: SPAK (F7T1K) Rabbit Monoclonal Antibody
Immunohistochemical analysis of paraffin-embedded mouse spleen using SPAK (F7T1K) Rabbit mAb.
Immunohistochemistry Image 11: SPAK (F7T1K) Rabbit Monoclonal Antibody
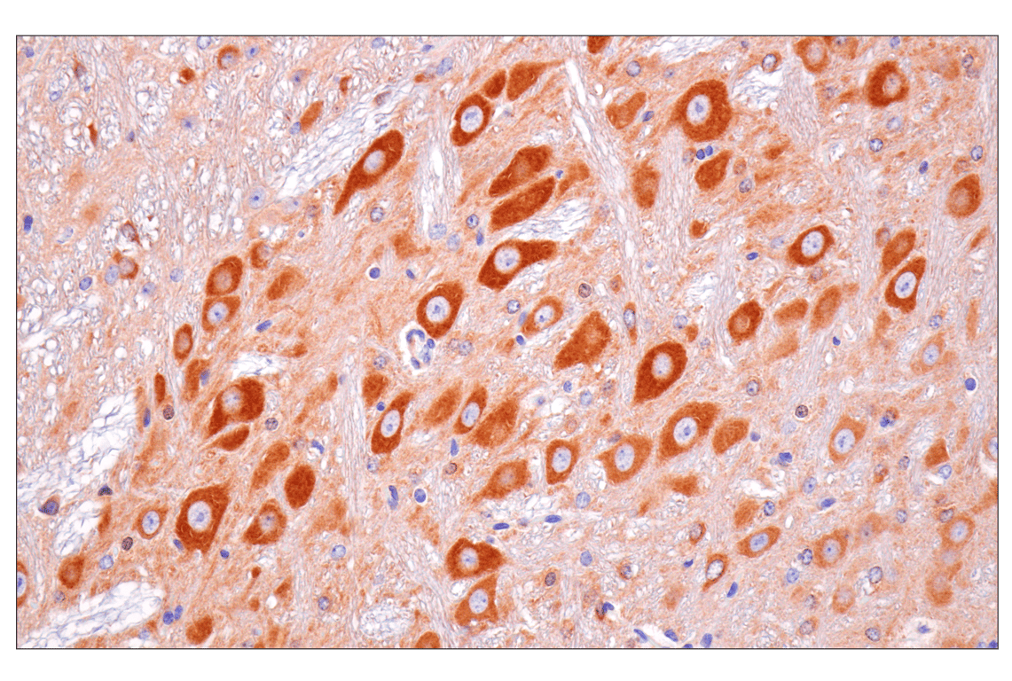
Immunohistochemical analysis of paraffin-embedded mouse brain using SPAK (F7T1K) Rabbit mAb.
Immunohistochemistry Image 12: SPAK (F7T1K) Rabbit Monoclonal Antibody
Orders: 877-616-CELL (2355) [email protected] Support: 877-678-TECH (8324) [email protected] Web: cellsignal.com
For Research Use Only. Not for Use in Diagnostic Procedures.

Revision 3

Cell Signaling Technology Logo
Immunohistochemical analysis of paraffin-embedded mouse thymus using SPAK (F7T1K) Rabbit mAb.
Immunohistochemistry Image 13: SPAK (F7T1K) Rabbit Monoclonal Antibody
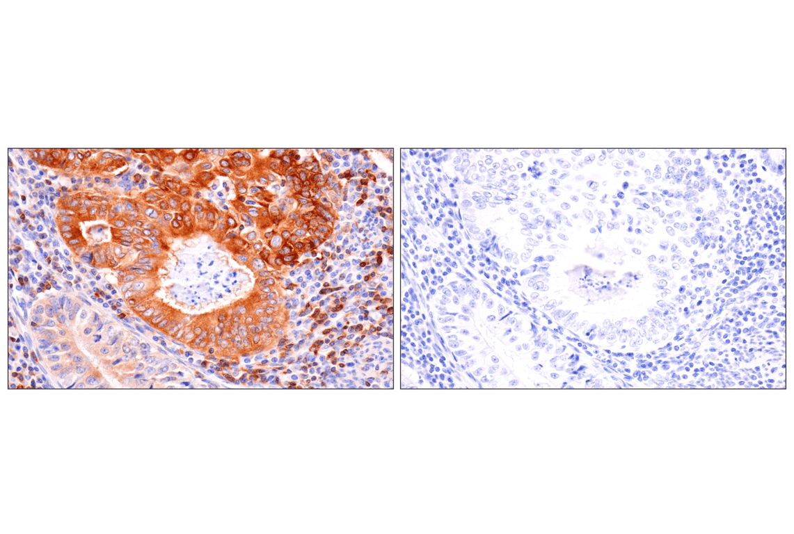
Immunohistochemical analysis of paraffin-embedded human endometrioid adenocarcinoma using SPAK (F7T1K) Rabbit mAb (left) compared to concentration-matched Rabbit (DA1E) mAb IgG XP® Isotype Control #3900 (right).
Immunohistochemistry Image 14: SPAK (F7T1K) Rabbit Monoclonal Antibody
Immunohistochemical analysis of paraffin-embedded NCI-H441 cell pellet (left, positive) or HuH-6 cell pellet (right, negative) using SPAK (F7T1K) Rabbit mAb.
Immunohistochemistry Image 15: SPAK (F7T1K) Rabbit Monoclonal Antibody
Orders: 877-616-CELL (2355) [email protected] Support: 877-678-TECH (8324) [email protected] Web: cellsignal.com
For Research Use Only. Not for Use in Diagnostic Procedures.

Revision 3

Cell Signaling Technology Logo
Confocal immunofluorescent analysis of fixed frozen mouse choroid plexus epithelial cells showing apical membrane localization, using SPAK (F7T1K) Rabbit mAb (left, green), TMEM119 (E4B9S) Mouse mAb #98778 (right, red), and ProLong Gold Antifade Reagent with DAPI #8961 (right, blue).
Immunofluorescence Image 1: SPAK (F7T1K) Rabbit Monoclonal Antibody
Confocal immunofluorescent analysis of fixed frozen mouse kidney using SPAK (F7T1K) Rabbit mAb (green) and ProLong Gold Antifade Reagent with DAPI #8961 (blue).
Immunofluorescence Image 2: SPAK (F7T1K) Rabbit Monoclonal Antibody
Confocal immunofluorescent analysis of NCI-H441 cells (left, positive) and HuH-6 cells (right, negative) using SPAK (F7T1K) Rabbit mAb (green), DyLight 554 Phalloidin #13054 (red), and DAPI #4083 (blue).
Immunofluorescence Image 1: SPAK (F7T1K) Rabbit Monoclonal Antibody
Orders: 877-616-CELL (2355) [email protected] Support: 877-678-TECH (8324) [email protected] Web: cellsignal.com
For Research Use Only. Not for Use in Diagnostic Procedures.