Revision 3

#97728

Store at -20C

CST Logo
Orders:

877-616-CELL (2355)

[email protected]

Support:

877-678-TECH (8324)

3 Trask Lane | Danvers | Massachusetts | 01923 | USA

For Research Use Only. Not for Use in Diagnostic Procedures.

Applications:
W, W-S, IHC-P

Reactivity:
H M R

Sensitivity:
Endogenous

MW (kDa):
40

Source/Isotype:
Rabbit IgG

UniProt ID:
#Q96KB5

Entrez-Gene Id:
55872

Product Usage Information

Application Dilution
Western Blotting 1:1000
Simple Western™ 1:10 - 1:50
Immunohistochemistry (Paraffin) 1:3200

Storage

Supplied in 10 mM sodium HEPES (pH 7.5), 150 mM NaCl, 100 µg/mL BSA, 50% glycerol, and less than 0.02% sodium azide. Store at –20°C. Do not aliquot the antibody.

Specificity/Sensitivity

PBK/TOPK (F2X2Z) Rabbit Monoclonal Antibody recognizes endogenous levels of total PBK/TOPK protein. Non-specific cytoplasmic staining was observed in human and mouse skeletal muscle and in mouse spleen by immunohistochemistry.

Source / Purification

Monoclonal antibody is produced by immunizing animals with a synthetic peptide corresponding to residues near the carboxy terminus of human PBK/TOPK protein.

Background

PBK/TOPK is a serine/threonine kinase that is phosphorylated and active during mitosis (1). PBK/TOPK is composed of kinase subdomains and a carboxy-terminal PDZ-binding domain, which is thought to interact with the human homologue of the Drosophila Discs large (hDlg) tumor suppressor protein (1). Increased PBK/TOPK expression has been observed in highly proliferative malignant cell lines, and PBK/TOPK expression is strongly downregulated during terminal differentiation of HL-60 leukemic cells (2,3). PMA-induced kinase activity toward PBK/TOPK has been observed (4), and cdc2/cyclin B has been shown to phosphorylate PBK/TOPK in vitro, presumably at Thr9 (5). Potential substrates of PBK/TOPK include p38 MAPK and c-Myc (3,4).

Species Reactivity

Species reactivity is determined by testing in at least one approved application (e.g., western blot).

Western Blot Buffer

IMPORTANT: For western blots, incubate membrane with diluted primary antibody in 5% w/v nonfat dry milk, 1X TBS, 0.1% Tween® 20 at 4°C with gentle shaking, overnight.

Applications Key

W: Western Blotting W-S: Simple Western™ IHC-P: Immunohistochemistry (Paraffin)

Cross-Reactivity Key

H: Human M: Mouse R: Rat

Trademarks and Patents

Cell Signaling Technology is a trademark of Cell Signaling Technology, Inc.

All other trademarks are the property of their respective owners. Visit cellsignal.com/trademarks for more information.

Limited Uses

Except as otherwise expressly agreed in a writing signed by a legally authorized representative of CST, the following terms apply to Products provided by CST, its affiliates or its distributors. Any Customer's terms and conditions that are in addition to, or different from, those contained herein, unless separately accepted in writing by a legally authorized representative of CST, are rejected and are of no force or effect.

Products are labeled with For Research Use Only or a similar labeling statement and have not been approved, cleared, or licensed by the FDA or other regulatory foreign or domestic entity, for any purpose. Customer shall not use any Product for any diagnostic or therapeutic purpose, or otherwise in any manner that conflicts with its labeling statement. Products sold or licensed by CST are provided for Customer as the end-user and solely for research and development uses. Any use of Product for diagnostic, prophylactic or therapeutic purposes, or any purchase of Product for resale (alone or as a component) or other commercial purpose, requires a separate license from CST. Customer shall (a) not sell, license, loan, donate or otherwise transfer or make available any Product to any third party, whether alone or in combination with other materials, or use the Products to manufacture any commercial products, (b) not copy, modify, reverse engineer, decompile, disassemble or otherwise attempt to discover the underlying structure or technology of the Products, or use the Products for the purpose of developing any products or services that would compete with CST products or services, (c) not alter or remove from the Products any trademarks, trade names, logos, patent or copyright notices or markings, (d) use the Products solely in accordance with CST Product Terms of Sale and any applicable documentation, and (e) comply with any license, terms of service or similar agreement with respect to any third party products or services used by Customer in connection with the Products.

Orders: 877-616-CELL (2355) [email protected] Support: 877-678-TECH (8324) [email protected] Web: cellsignal.com
For Research Use Only. Not for Use in Diagnostic Procedures.

Revision 3

Cell Signaling Technology Logo
Western blot analysis of extracts from various tissues using PBK/TOPK (F2X2Z) Rabbit mAb (upper) or GAPDH (D16H11) XP® Rabbit mAb #5174 (lower). Low expression of PBK/TOPK protein in OCI-AML5 cells and mouse skeletal muscle tissue is consistent with the predicted expression pattern.
Western Blotting Image 1: PBK/TOPK (F2X2Z) Rabbit Monoclonal Antibody
Western blot analysis of extracts from HCT 116 cells, transfected with control siRNA (-) or PBK/TOPK siRNA (+), using PBK/TOPK (F2X2Z) Rabbit mAb (upper) or GAPDH (D16H11) XP® Rabbit mAb #5174 (lower).
Western Blotting Image 2: PBK/TOPK (F2X2Z) Rabbit Monoclonal Antibody
Western blot analysis of extracts from 293T cells, mock transfected (-) or transfected with a construct expressing Myc/DDK-tagged human PBK/TOPK protein (hPBK/TOPK-Myc/DDK; +) using PBK/TOPK (F2X2Z) Rabbit mAb (upper), Myc-Tag (71D10) Rabbit mAb #2278 (middle), or GAPDH (D16H11) XP® Rabbit mAb #5174 (lower).
Western Blotting Image 3: PBK/TOPK (F2X2Z) Rabbit Monoclonal Antibody
Orders: 877-616-CELL (2355) [email protected] Support: 877-678-TECH (8324) [email protected] Web: cellsignal.com
For Research Use Only. Not for Use in Diagnostic Procedures.

Revision 3

Cell Signaling Technology Logo
Simple Western™ analysis of lysates (0.1 mg/mL) from HCT116 cells using PBK/TOPK (F2X2Z) Rabbit mAb #97728. The virtual lane view (left) shows the target band (as indicated) at 1:10 and 1:50 dilutions of primary antibody. The corresponding electropherogram view (right) plots chemiluminescence by molecular weight along the capillary at 1:10 (blue line) and 1:50 (green line) dilutions of primary antibody. This experiment was performed under reducing conditions on the Jess™ ​​​​​​​Simple Western instrument from ProteinSimple, a BioTechne brand, using the 12-230 kDa separation module.
Western Blotting Image 1: PBK/TOPK (F2X2Z) Rabbit Monoclonal Antibody
Immunohistochemical analysis of paraffin-embedded human endometrioid adenocarcinoma using PBK/TOPK (F2X2Z) Rabbit mAb.
Immunohistochemistry Image 1: PBK/TOPK (F2X2Z) Rabbit Monoclonal Antibody
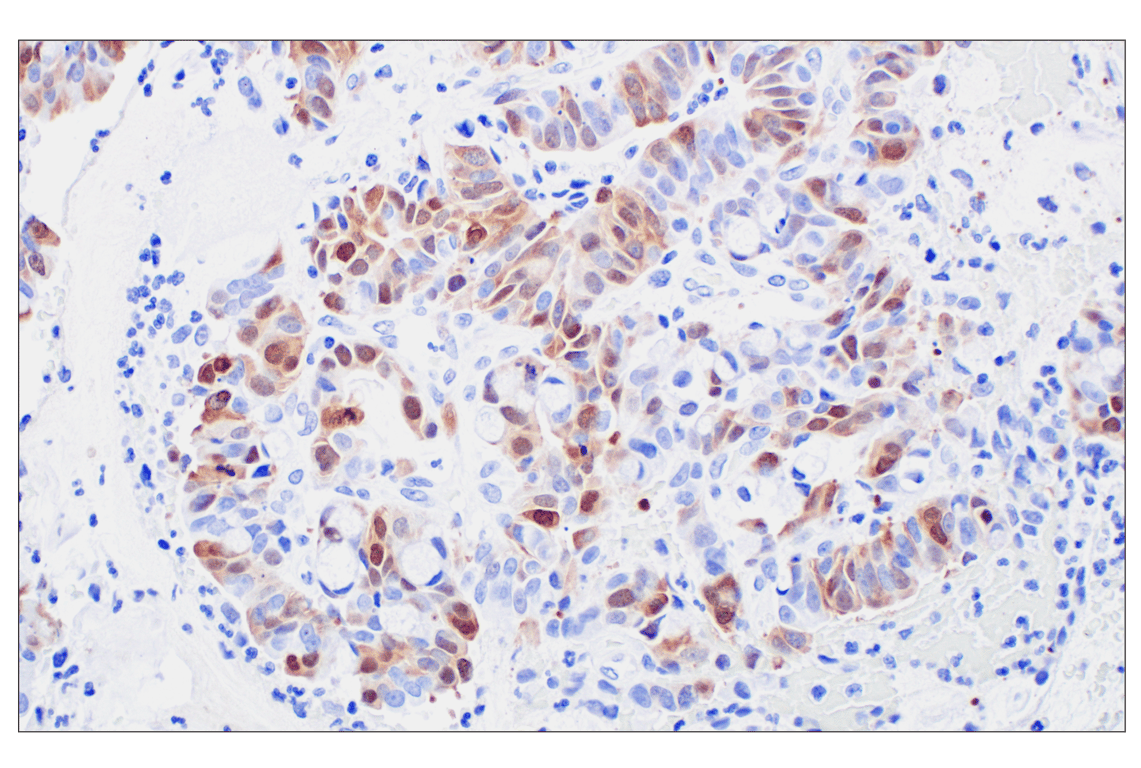
Immunohistochemical analysis of paraffin-embedded human colon adenocarcinoma using PBK/TOPK (F2X2Z) Rabbit mAb.
Immunohistochemistry Image 2: PBK/TOPK (F2X2Z) Rabbit Monoclonal Antibody
Orders: 877-616-CELL (2355) [email protected] Support: 877-678-TECH (8324) [email protected] Web: cellsignal.com
For Research Use Only. Not for Use in Diagnostic Procedures.

Revision 3

Cell Signaling Technology Logo
Immunohistochemical analysis of paraffin-embedded human esophageal carcinoma using PBK/TOPK (F2X2Z) Rabbit mAb
Immunohistochemistry Image 3: PBK/TOPK (F2X2Z) Rabbit Monoclonal Antibody
Immunohistochemical analysis of paraffin-embedded human adenoid cystic carcinoma of the salivary gland using PBK/TOPK (F2X2Z) Rabbit mAb.
Immunohistochemistry Image 4: PBK/TOPK (F2X2Z) Rabbit Monoclonal Antibody
Immunohistochemical analysis of paraffin-embedded human thymoma using PBK/TOPK (F2X2Z) Rabbit mAb
Immunohistochemistry Image 5: PBK/TOPK (F2X2Z) Rabbit Monoclonal Antibody
Orders: 877-616-CELL (2355) [email protected] Support: 877-678-TECH (8324) [email protected] Web: cellsignal.com
For Research Use Only. Not for Use in Diagnostic Procedures.

Revision 3

Cell Signaling Technology Logo
Immunohistochemical analysis of paraffin-embedded human gastric adenocarcinoma using PBK/TOPK (F2X2Z) Rabbit mAb.
Immunohistochemistry Image 6: PBK/TOPK (F2X2Z) Rabbit Monoclonal Antibody
Immunohistochemical analysis of paraffin-embedded normal human appendix using PBK/TOPK (F2X2Z) Rabbit mAb.
Immunohistochemistry Image 7: PBK/TOPK (F2X2Z) Rabbit Monoclonal Antibody
Immunohistochemical analysis of paraffin-embedded normal human small intestine using PBK/TOPK (F2X2Z) Rabbit mAb.
Immunohistochemistry Image 8: PBK/TOPK (F2X2Z) Rabbit Monoclonal Antibody
Orders: 877-616-CELL (2355) [email protected] Support: 877-678-TECH (8324) [email protected] Web: cellsignal.com
For Research Use Only. Not for Use in Diagnostic Procedures.

Revision 3

Cell Signaling Technology Logo
Immunohistochemical analysis of paraffin-embedded mouse testis using PBK/TOPK (F2X2Z) Rabbit mAb.
Immunohistochemistry Image 9: PBK/TOPK (F2X2Z) Rabbit Monoclonal Antibody
Immunohistochemical analysis of paraffin-embedded normal human testis (left) or human tonsil (right) using PBK/TOPK (F2X2Z) Rabbit mAb (top) or a PBK/TOPK Rabbit mAb (bottom). These two antibodies detect unique, non-overlapping epitopes on human PBK/TOPK. The similar patterns obtained with both antibodies help to confirm the specificity of the staining.
Immunohistochemistry Image 10: PBK/TOPK (F2X2Z) Rabbit Monoclonal Antibody
Immunohistochemical analysis of paraffin-embedded human colon adenocarcinoma using PBK/TOPK (F2X2Z) Rabbit mAb (left) compared to concentration-matched Rabbit (DA1E) mAb IgG XP® Isotype Control #3900 (right).
Immunohistochemistry Image 11: PBK/TOPK (F2X2Z) Rabbit Monoclonal Antibody
Orders: 877-616-CELL (2355) [email protected] Support: 877-678-TECH (8324) [email protected] Web: cellsignal.com
For Research Use Only. Not for Use in Diagnostic Procedures.

Revision 3

Cell Signaling Technology Logo
Immunohistochemical analysis of paraffin-embedded HCT 116 cell pellet (left, positive) or OCI-AML5 cell pellet (right, negative) using PBK/TOPK (F2X2Z) Rabbit mAb.
Immunohistochemistry Image 12: PBK/TOPK (F2X2Z) Rabbit Monoclonal Antibody
Orders: 877-616-CELL (2355) [email protected] Support: 877-678-TECH (8324) [email protected] Web: cellsignal.com
For Research Use Only. Not for Use in Diagnostic Procedures.