Revision 5

#9814

Store at -20C

CST Logo
Orders:

877-616-CELL (2355)

[email protected]

Support:

877-678-TECH (8324)

3 Trask Lane | Danvers | Massachusetts | 01923 | USA

For Research Use Only. Not for Use in Diagnostic Procedures.

Applications:
W, IP, ChIP, E-P

Reactivity:
All

Sensitivity:
Endogenous

Source/Isotype:
Rabbit IgG

Product Usage Information

For optimal ChIP results, use 10 μl of antibody and 10 μg of chromatin (approximately 4 x 106 cells) per IP. This antibody has been validated using SimpleChIP® Enzymatic Chromatin IP Kits.
Application Dilution
Western Blotting 1:1000
Immunoprecipitation 1:100
Chromatin IP 1:50
Peptide ELISA (DELFIA) 1:1000

Storage

Supplied in 10 mM sodium HEPES (pH 7.5), 150 mM NaCl, 100 µg/ml BSA, 50% glycerol and less than 0.02% sodium azide. Store at –20°C. Do not aliquot the antibody.

Specificity/Sensitivity

Acetylated-Lysine (Ac-K2-100) MultiMab® Rabbit Monoclonal Antibody mix recognizes proteins post-translationally modified by acetylation on the ε-amine groups of lysine residues. This antibody recognizes acetylated lysine in a wide range of sequence contexts. This antibody has been demonstrated to recognize acetylated histones, p53, CBP, PCAF and chemically acetylated BSA. This antibody has been shown to react with as little as 0.04 ng of chemically acetylated BSA while not recognizing up to 25 µg of non-acetylated BSA.

Source / Purification

MultiMab® rabbit monoclonal mix antibodies are prepared by combining individual rabbit monoclonal clones in optimized ratios for the approved applications. Each antibody in the mix is carefully selected based on motif recognition and performance in multiple assays. Each mix is engineered to yield the broadest possible coverage of the modification being studied while ensuring a high degree of specificity for the modification or motif.

Background

Acetylation of lysine, like phosphorylation of serine, threonine or tyrosine, is an important reversible modification controlling protein activity. The conserved amino-terminal domains of the four core histones (H2A, H2B, H3, and H4) contain lysines that are acetylated by histone acetyltransferases (HATs) and deacetylated by histone deacetylases (HDACs) (1). Signaling resulting in acetylation/deacetylation of histones, transcription factors, and other proteins affects a diverse array of cellular processes including chromatin structure and gene activity, cell growth, differentiation, and apoptosis (2-6). Recent proteomic surveys suggest that acetylation of lysine residues may be a widespread and important form of post-translational protein modification that affects thousands of proteins involved in control of cell cycle and metabolism, longevity, actin polymerization, and nuclear transport (7,8). The regulation of protein acetylation status is impaired in cancer and polyglutamine diseases (9), and HDACs have become promising targets for anti-cancer drugs currently in development (10).

Species Reactivity

Species reactivity is determined by testing in at least one approved application (e.g., western blot).

Western Blot Buffer

IMPORTANT: For western blots, incubate membrane with diluted primary antibody in 5% w/v BSA, 1X TBS, 0.1% Tween® 20 at 4°C with gentle shaking, overnight.

Applications Key

W: Western Blotting IP: Immunoprecipitation ChIP: Chromatin IP E-P: Peptide ELISA (DELFIA)

Cross-Reactivity Key

All: All Species Expected

Trademarks and Patents

Cell Signaling Technology is a trademark of Cell Signaling Technology, Inc.

MultiMab is a registered trademark of Cell Signaling Technology, Inc.

All other trademarks are the property of their respective owners. Visit cellsignal.com/trademarks for more information.

Limited Uses

Except as otherwise expressly agreed in a writing signed by a legally authorized representative of CST, the following terms apply to Products provided by CST, its affiliates or its distributors. Any Customer's terms and conditions that are in addition to, or different from, those contained herein, unless separately accepted in writing by a legally authorized representative of CST, are rejected and are of no force or effect.

Products are labeled with For Research Use Only or a similar labeling statement and have not been approved, cleared, or licensed by the FDA or other regulatory foreign or domestic entity, for any purpose. Customer shall not use any Product for any diagnostic or therapeutic purpose, or otherwise in any manner that conflicts with its labeling statement. Products sold or licensed by CST are provided for Customer as the end-user and solely for research and development uses. Any use of Product for diagnostic, prophylactic or therapeutic purposes, or any purchase of Product for resale (alone or as a component) or other commercial purpose, requires a separate license from CST. Customer shall (a) not sell, license, loan, donate or otherwise transfer or make available any Product to any third party, whether alone or in combination with other materials, or use the Products to manufacture any commercial products, (b) not copy, modify, reverse engineer, decompile, disassemble or otherwise attempt to discover the underlying structure or technology of the Products, or use the Products for the purpose of developing any products or services that would compete with CST products or services, (c) not alter or remove from the Products any trademarks, trade names, logos, patent or copyright notices or markings, (d) use the Products solely in accordance with CST Product Terms of Sale and any applicable documentation, and (e) comply with any license, terms of service or similar agreement with respect to any third party products or services used by Customer in connection with the Products.

Orders: 877-616-CELL (2355) [email protected] Support: 877-678-TECH (8324) [email protected] Web: cellsignal.com
For Research Use Only. Not for Use in Diagnostic Procedures.

Revision 5

Cell Signaling Technology Logo
Western blot analysis of extracts from COS-7 and HeLa cells, untreated (-) or treated with Trichostatin A (TSA) #9950 (1 µM, 6 hr; +), using Acetylated-Lysine (Ac-K-100) MultiMab® Rabbit mAb mix.
Western Blotting Image 1: Acetylated-Lysine (Ac-K<sup>2</sup>-100) MultiMab<sup>®</sup> Rabbit Monoclonal Antibody mix
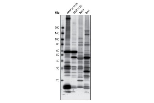
Western blot analysis of extracts from various mouse tissues using Acetylated-Lysine (Ac-K-100) MultiMab® Rabbit mAb mix.
Western Blotting Image 2: Acetylated-Lysine (Ac-K<sup>2</sup>-100) MultiMab<sup>®</sup> Rabbit Monoclonal Antibody mix
Chromatin immunoprecipitations were performed with cross-linked chromatin from HeLa cells and either Acetylated-Lysine (Ac-K-100) MultiMab® Rabbit mAb mix #9814 or Normal Rabbit IgG #2729, using SimpleChIP® Plus Enzymatic Chromatin IP Kit (Magnetic Beads) #9005. The enriched DNA was quantified by real-time PCR using SimpleChIP® Human GAPDH Exon 1 Primers #5516, SimpleChIP® Human RPL30 Exon 3 Primers #7014, SimpleChIP® Human MYT-1 Exon 1 Primers #4493, and SimpleChIP® Human α Satellite Repeat Primers #4486. The amount of immunoprecipitated DNA in each sample is represented as signal relative to the total amount of input chromatin, which is equivalent to one.
Chromatin Immunoprecipitation Image 1: Acetylated-Lysine (Ac-K<sup>2</sup>-100) MultiMab<sup>®</sup> Rabbit Monoclonal Antibody mix
Orders: 877-616-CELL (2355) [email protected] Support: 877-678-TECH (8324) [email protected] Web: cellsignal.com
For Research Use Only. Not for Use in Diagnostic Procedures.