Render Target: STATIC
Render Timestamp:
5/22/2026, 6:20:52 AM EDT
5/22/2026, 10:20:52 AM UTC
Commit: 7ed46ecc04b401f23a28df741b5078df405d23e4
XML generation date: 2025-11-12 16:09:15.391
Product last modified at: 2026-03-20T08:00:46.625Z
Cell Signaling Technology Logo - Extra Large
1% for the planet logo
PDP - Template Name: Monoclonal Antibody
PDP - Template ID: *******c5e4b77
Trial Size Available Flag

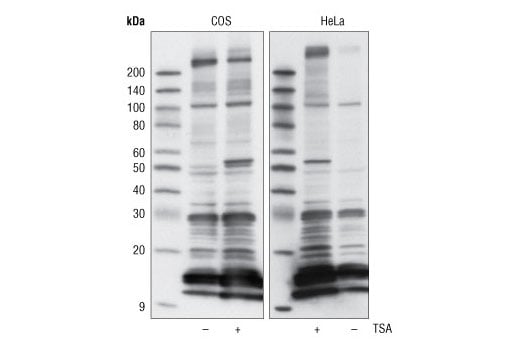
Acetylated-Lysine (Ac-K2-100) MultiMab® Rabbit Monoclonal Antibody mix #9814

Filter:
  • WB
  • IP
  • ChIP

    Product Specifications

    REACTIVITY All
    SENSITIVITY Endogenous
    MW (kDa)
    Source/Isotype Rabbit IgG
    Application Key:
    • WB-Western Blotting 
    • IP-Immunoprecipitation 
    • ChIP-Chromatin Immunoprecipitation 
    Species Cross-Reactivity Key:
    • All-All Species Expected 

    Product Information

    Product Usage Information

    For optimal ChIP results, use 10 μl of antibody and 10 μg of chromatin (approximately 4 x 106 cells) per IP. This antibody has been validated using SimpleChIP® Enzymatic Chromatin IP Kits.
    Application Dilution
    Western Blotting 1:1000
    Immunoprecipitation 1:100
    Chromatin IP 1:50
    Peptide ELISA (DELFIA) 1:1000

    Storage

    Supplied in 10 mM sodium HEPES (pH 7.5), 150 mM NaCl, 100 µg/ml BSA, 50% glycerol and less than 0.02% sodium azide. Store at –20°C. Do not aliquot the antibody.

    Protocol

    Specificity / Sensitivity

    Acetylated-Lysine (Ac-K2-100) MultiMab® Rabbit Monoclonal Antibody mix recognizes proteins post-translationally modified by acetylation on the ε-amine groups of lysine residues. This antibody recognizes acetylated lysine in a wide range of sequence contexts. This antibody has been demonstrated to recognize acetylated histones, p53, CBP, PCAF and chemically acetylated BSA. This antibody has been shown to react with as little as 0.04 ng of chemically acetylated BSA while not recognizing up to 25 µg of non-acetylated BSA.

    Species Reactivity:

    All Species Expected

    Source / Purification

    MultiMab® rabbit monoclonal mix antibodies are prepared by combining individual rabbit monoclonal clones in optimized ratios for the approved applications. Each antibody in the mix is carefully selected based on motif recognition and performance in multiple assays. Each mix is engineered to yield the broadest possible coverage of the modification being studied while ensuring a high degree of specificity for the modification or motif.

    Background

    Acetylation of lysine, like phosphorylation of serine, threonine or tyrosine, is an important reversible modification controlling protein activity. The conserved amino-terminal domains of the four core histones (H2A, H2B, H3, and H4) contain lysines that are acetylated by histone acetyltransferases (HATs) and deacetylated by histone deacetylases (HDACs) (1). Signaling resulting in acetylation/deacetylation of histones, transcription factors, and other proteins affects a diverse array of cellular processes including chromatin structure and gene activity, cell growth, differentiation, and apoptosis (2-6). Recent proteomic surveys suggest that acetylation of lysine residues may be a widespread and important form of post-translational protein modification that affects thousands of proteins involved in control of cell cycle and metabolism, longevity, actin polymerization, and nuclear transport (7,8). The regulation of protein acetylation status is impaired in cancer and polyglutamine diseases (9), and HDACs have become promising targets for anti-cancer drugs currently in development (10).
    For Research Use Only. Not for Use in Diagnostic Procedures.
    Cell Signaling Technology is a trademark of Cell Signaling Technology, Inc.
    MultiMab is a registered trademark of Cell Signaling Technology, Inc.
    All other trademarks are the property of their respective owners. Visit our Trademark Information page.