Revision 8

#4697

Store at -20C

CST Logo
Orders:

877-616-CELL (2355)

[email protected]

Support:

877-678-TECH (8324)

3 Trask Lane | Danvers | Massachusetts | 01923 | USA

For Research Use Only. Not for Use in Diagnostic Procedures.

Applications:
W

MW (kDa):
26

UniProt ID:
#P12643

Entrez-Gene Id:
650

Background

Bone morphogenetic proteins (BMPs) were first identified as molecules that can induce ectopic bone and cartilage formation (1,2). BMPs are synthesized as precursor proteins that are processed by cleavage to produce mature proteins. BMPs initiate signaling by binding to a receptor complex containing type I and type II serine/threonine receptor kinases that then phosphorylate Smad (mainly Smad1, 5 and 8), resulting in the translocation of Smad to the nucleus. BMP was also reported to activate MAPK pathways in some systems (3,4).

Purity

>95%

Source / Purification

Recombinant human BMP-2 was expressed in E. coli and is supplied in a lyophilized form.

Bioactivity

The ED50 as determined by the cytolysis of MC3T3-E1 cells is less than 50 ng/ml.

Applications Key

W: Western Blotting

Trademarks and Patents

Cell Signaling Technology is a trademark of Cell Signaling Technology, Inc.

All other trademarks are the property of their respective owners. Visit cellsignal.com/trademarks for more information.

Limited Uses

Except as otherwise expressly agreed in a writing signed by a legally authorized representative of CST, the following terms apply to Products provided by CST, its affiliates or its distributors. Any Customer's terms and conditions that are in addition to, or different from, those contained herein, unless separately accepted in writing by a legally authorized representative of CST, are rejected and are of no force or effect.

Products are labeled with For Research Use Only or a similar labeling statement and have not been approved, cleared, or licensed by the FDA or other regulatory foreign or domestic entity, for any purpose. Customer shall not use any Product for any diagnostic or therapeutic purpose, or otherwise in any manner that conflicts with its labeling statement. Products sold or licensed by CST are provided for Customer as the end-user and solely for research and development uses. Any use of Product for diagnostic, prophylactic or therapeutic purposes, or any purchase of Product for resale (alone or as a component) or other commercial purpose, requires a separate license from CST. Customer shall (a) not sell, license, loan, donate or otherwise transfer or make available any Product to any third party, whether alone or in combination with other materials, or use the Products to manufacture any commercial products, (b) not copy, modify, reverse engineer, decompile, disassemble or otherwise attempt to discover the underlying structure or technology of the Products, or use the Products for the purpose of developing any products or services that would compete with CST products or services, (c) not alter or remove from the Products any trademarks, trade names, logos, patent or copyright notices or markings, (d) use the Products solely in accordance with CST Product Terms of Sale and any applicable documentation, and (e) comply with any license, terms of service or similar agreement with respect to any third party products or services used by Customer in connection with the Products.

Orders: 877-616-CELL (2355) [email protected] Support: 877-678-TECH (8324) [email protected] Web: cellsignal.com
For Research Use Only. Not for Use in Diagnostic Procedures.

Revision 8

Cell Signaling Technology Logo
ATDC-5 cells were cultured with 0 to 1000 ng/mL of recombinant hBMP-2. Alkaline phosphatase activity was measured after 67 hours by measuring the OD405.
undefined Image 1: Human BMP-2 Recombinant Protein
The purity of recombinant hBMP-2 was determined by SDS-PAGE of 1 µg reduced (+) and non-reduced (-) recombinant hBMP-2 and staining overnight with Coomassie Blue.
undefined Image 2: Human BMP-2 Recombinant Protein
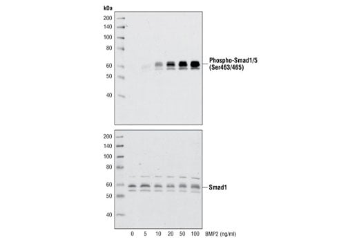
Western blot analysis of extracts from serum-starved HT-1080 cells, untreated and treated for 30 minutes with various concentrations of recombinant hBMP-2, using Phospho-Smad1/5 (Ser463/465) (41D10) Rabbit mAb #9516 (upper) and Smad1 Antibody #9743 (lower).
undefined Image 3: Human BMP-2 Recombinant Protein
Orders: 877-616-CELL (2355) [email protected] Support: 877-678-TECH (8324) [email protected] Web: cellsignal.com
For Research Use Only. Not for Use in Diagnostic Procedures.