Revision 3

#37041

Store at -20C

CST Logo
Orders:

877-616-CELL (2355)

[email protected]

Support:

877-678-TECH (8324)

3 Trask Lane | Danvers | Massachusetts | 01923 | USA

For Research Use Only. Not for Use in Diagnostic Procedures.

Applications:
W, W-S

Reactivity:
H M

Sensitivity:
Endogenous

MW (kDa):
75

Source/Isotype:
Rabbit IgG

UniProt ID:
#Q9NUB1

Entrez-Gene Id:
84532

Product Usage Information

Application Dilution
Western Blotting 1:1000
Simple Western™ 1:10 - 1:50

Storage

Supplied in 10 mM sodium HEPES (pH 7.5), 150 mM NaCl, 100 µg/mL BSA, 50% glycerol, and less than 0.02% sodium azide. Store at –20°C. Do not aliquot the antibody.

Specificity/Sensitivity

AceCS2/ACSS1 (E6T5E) Rabbit Monoclonal Antibody recognizes endogenous levels of total AceCS2/ACSS1 protein. This antibody does not cross-react with AceCS1/ACSS2 protein.

Source / Purification

Monoclonal antibody is produced by immunizing animals with a synthetic peptide corresponding to residues surrounding Gly370 of human AceCS2/ACSS1 protein.

Background

Mitochondrial acetyl-CoA synthetase 2 (AceCS2), also known as acyl-CoA synthetase short-chain family member 1 (ACSS1), catalyzes acetyl-CoA biosynthesis from acetate and CoA. Studies show that acetate levels go up dramatically at sites of infection and inflammation, leading to the decrease of acetate assimilating enzymes AceCS2/ACSS1 and AceCS1/ACSS2 levels in memory CD8+ T cells. Acetate not metabolized by these enzymes instead stimulates glutaminase activity in memory CD8+ T cells, enhancing glutaminolysis, mitochondrial respiration, and cell survival (1). In addition, AceCS2/ACSS1 is highly expressed in one of the hepatocellular carcinoma (HCC) subtypes (2).

Species Reactivity

Species reactivity is determined by testing in at least one approved application (e.g., western blot).

Western Blot Buffer

IMPORTANT: For western blots, incubate membrane with diluted primary antibody in 5% w/v BSA, 1X TBS, 0.1% Tween® 20 at 4°C with gentle shaking, overnight.

Applications Key

W: Western Blotting W-S: Simple Western™

Cross-Reactivity Key

H: Human M: Mouse

Trademarks and Patents

Cell Signaling Technology is a trademark of Cell Signaling Technology, Inc.

All other trademarks are the property of their respective owners. Visit cellsignal.com/trademarks for more information.

Limited Uses

Except as otherwise expressly agreed in a writing signed by a legally authorized representative of CST, the following terms apply to Products provided by CST, its affiliates or its distributors. Any Customer's terms and conditions that are in addition to, or different from, those contained herein, unless separately accepted in writing by a legally authorized representative of CST, are rejected and are of no force or effect.

Products are labeled with For Research Use Only or a similar labeling statement and have not been approved, cleared, or licensed by the FDA or other regulatory foreign or domestic entity, for any purpose. Customer shall not use any Product for any diagnostic or therapeutic purpose, or otherwise in any manner that conflicts with its labeling statement. Products sold or licensed by CST are provided for Customer as the end-user and solely for research and development uses. Any use of Product for diagnostic, prophylactic or therapeutic purposes, or any purchase of Product for resale (alone or as a component) or other commercial purpose, requires a separate license from CST. Customer shall (a) not sell, license, loan, donate or otherwise transfer or make available any Product to any third party, whether alone or in combination with other materials, or use the Products to manufacture any commercial products, (b) not copy, modify, reverse engineer, decompile, disassemble or otherwise attempt to discover the underlying structure or technology of the Products, or use the Products for the purpose of developing any products or services that would compete with CST products or services, (c) not alter or remove from the Products any trademarks, trade names, logos, patent or copyright notices or markings, (d) use the Products solely in accordance with CST Product Terms of Sale and any applicable documentation, and (e) comply with any license, terms of service or similar agreement with respect to any third party products or services used by Customer in connection with the Products.

Orders: 877-616-CELL (2355) [email protected] Support: 877-678-TECH (8324) [email protected] Web: cellsignal.com
For Research Use Only. Not for Use in Diagnostic Procedures.

Revision 3

Cell Signaling Technology Logo
Western blot analysis of extracts from various cell lines using AceCS2/ACSS1 (E6T5E) Rabbit mAb (upper) or GAPDH (D16H11) XP® Rabbit mAb #5174 (lower). Negative expression of AceCS2/ACSS1 protein in SW620 and HCT 116 cells is consistent with the predicted expression pattern.
Western Blotting Image 1: AceCS2/ACSS1 (E6T5E) Rabbit Monoclonal Antibody
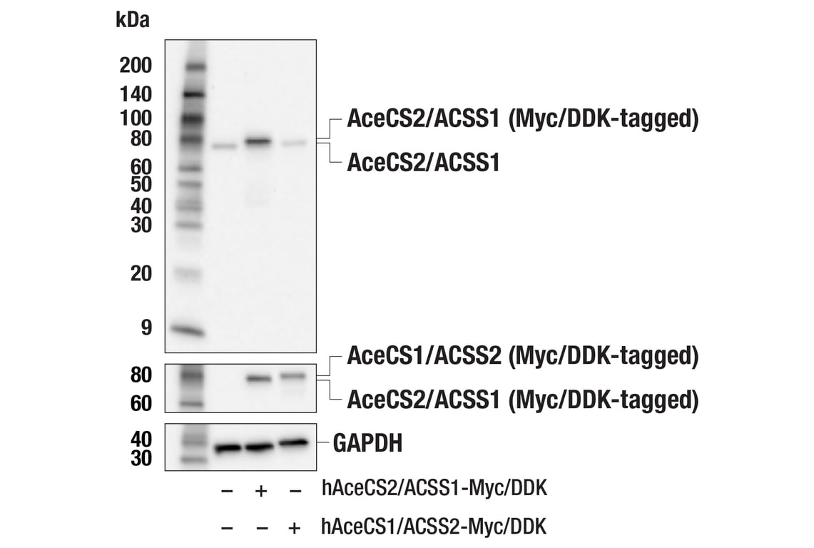
Western blot analysis of extracts from 293T cells, mock transfected (-) or transfected with constructs expressing Myc/DDK-tagged full-length human AceCS2/ACSS1 protein (hAceCS2/ACSS1-Myc/DDK; +) or Myc/DDK-tagged full-length human AceCS1/ACSS2 protein (hAceCS1/ACSS2-Myc/DDK; +), using AceCS2/ACSS1 (E6T5E) Rabbit mAb (upper), Myc-Tag (71D10) Rabbit mAb #2278 (middle), or GAPDH (D16H11) XP® Rabbit mAb #5174 (lower).
Western Blotting Image 2: AceCS2/ACSS1 (E6T5E) Rabbit Monoclonal Antibody
Western blot analysis of extracts from A20 and EL4 cells using AceCS2/ACSS1 (E6T5E) Rabbit mAb (upper) or GAPDH (D16H11) XP® Rabbit mAb #5174 (lower).
Western Blotting Image 3: AceCS2/ACSS1 (E6T5E) Rabbit Monoclonal Antibody
Orders: 877-616-CELL (2355) [email protected] Support: 877-678-TECH (8324) [email protected] Web: cellsignal.com
For Research Use Only. Not for Use in Diagnostic Procedures.

Revision 3

Cell Signaling Technology Logo
Simple Western™️ analysis of lysates (1mg/mL) from KATO III cells using AceCS2/ACSS1 (E6T5E) Rabbit mAb #37041. The virtual lane view (left) shows the target band (as indicated) at 1:10 and 1:50 dilutions of primary antibody. The corresponding electropherogram view (right) plots chemiluminescence by molecular weight along the capillary at 1:10 (blue line) and 1:50 (green line) dilutions of primary antibody. This experiment was performed under reducing conditions on the Jess™️ Simple Western instrument from ProteinSimple, a BioTechne brand, using the 12 – 230 kDa separation module.
Western Blotting Image 1: AceCS2/ACSS1 (E6T5E) Rabbit Monoclonal Antibody
Orders: 877-616-CELL (2355) [email protected] Support: 877-678-TECH (8324) [email protected] Web: cellsignal.com
For Research Use Only. Not for Use in Diagnostic Procedures.