Revision 2

#9967

Store at -20C

Actin Reorganization Antibody Sampler Kit

1 Kit

(7 x 20 microliters)

CST Logo
Orders:

877-616-CELL (2355)

[email protected]

Support:

877-678-TECH (8324)

3 Trask Lane | Danvers | Massachusetts | 01923 | USA

For Research Use Only. Not for Use in Diagnostic Procedures.

Product Includes Product # Quantity Mol. Wt Isotype/Source
Phospho-Cofilin (Ser3) (77G2) Rabbit Monoclonal Antibody331320 µl19 kDaRabbit IgG
Cofilin (D3F9) Rabbit Monoclonal Antibody517520 µl19 kDaRabbit IgG
Phospho-Ezrin (Thr567)/Radixin (Thr564)/Moesin (Thr558) (48G2) Rabbit Monoclonal Antibody372620 µl75 Moesin. 80 Ezrin, Radixin. kDaRabbit IgG
Ezrin/Radixin/Moesin Antibody314220 µl75 Moesin. 80 Ezrin and Radixin. kDaRabbit
Phospho-VASP (Ser157) Antibody311120 µl50 kDaRabbit
Phospho-VASP (Ser239) Antibody311420 µl48, 50 kDaRabbit
VASP (9A2) Rabbit Monoclonal Antibody313220 µl46, 50 kDaRabbit
Anti-rabbit IgG, HRP-linked Antibody7074100 µlGoat

Please visit cellsignal.com for individual component applications, species cross-reactivity, dilutions, protocols, and additional product information.

Description

The Actin Reorganization Antibody Sampler Kit contains reagents to examine proteins that help regulate the dynamic actin cytoskeleton. This kit includes enough primary and secondary antibodies to perform two Western blot experiments with each primary antibody.

Storage

Supplied in 10 mM sodium HEPES (pH 7.5), 150 mM NaCl, 100 µg/ml BSA, 50% glycerol and less than 0.02% sodium azide. Store at –20°C. Do not aliquot the antibody.

Background

Ubiquitous actin protein comprises the major structural component of the eukaryotic cytoskeleton. The formation and continual reorganization of the actin cytoskeleton is a key step in many biological processes, including cell motility, cytokinesis, endocytosis, embryonic development, tissue regeneration and the stress response (1). The small protein cofilin is one of a conserved family of actin-binding proteins that promote actin filament regeneration by severing preexisting filaments (2). Phosphorylation of cofilin at Ser3 by LIMK or TESK inhibits cofilin severing activity (3-5). Ezrin, radixin, and moesin (ERM) proteins function as linker proteins and signal transducers between the plasma membrane and actin cytoskeleton. These proteins are involved in cell adhesion, membrane ruffling, and microvilli formation (6,7). Interactive cytosolic ERM proteins exist as monomers or dimers that form both intra- and intermolecular associations through their amino- and carboxy-terminal domains (8). Phosphorylation at carboxy-terminal threonine residues (Thr567 of ezrin, radixin at Thr564 and Thr558 of moesin) may alter protein conformation and disrupt these protein associations and result in ERM protein activation (9,10). Vasodilator-stimulated phosphoprotein (VASP) is an adaptor protein that links the cytoskeleton with signal transduction pathways to act in fibroblast migration, platelet activation and axon guidance (11,12). Three phosphorylation sites (Ser157, Ser239, and Thr278) have been identified, with phosphorylation of Ser239 by PKG serving as a marker for nitric oxide and cGMP signaling (13). VASP Ser157 can act as a substrate for both PKA and PKC (14,15). Active VASP appears to promote actin polymerization by restricting actin filament capping, with PKA phosphorylation inhibiting this anti-capping activity (16).

Trademarks and Patents

Cell Signaling Technology is a trademark of Cell Signaling Technology, Inc.

All other trademarks are the property of their respective owners. Visit cellsignal.com/trademarks for more information.

Limited Uses

Except as otherwise expressly agreed in a writing signed by a legally authorized representative of CST, the following terms apply to Products provided by CST, its affiliates or its distributors. Any Customer's terms and conditions that are in addition to, or different from, those contained herein, unless separately accepted in writing by a legally authorized representative of CST, are rejected and are of no force or effect.

Products are labeled with For Research Use Only or a similar labeling statement and have not been approved, cleared, or licensed by the FDA or other regulatory foreign or domestic entity, for any purpose. Customer shall not use any Product for any diagnostic or therapeutic purpose, or otherwise in any manner that conflicts with its labeling statement. Products sold or licensed by CST are provided for Customer as the end-user and solely for research and development uses. Any use of Product for diagnostic, prophylactic or therapeutic purposes, or any purchase of Product for resale (alone or as a component) or other commercial purpose, requires a separate license from CST. Customer shall (a) not sell, license, loan, donate or otherwise transfer or make available any Product to any third party, whether alone or in combination with other materials, or use the Products to manufacture any commercial products, (b) not copy, modify, reverse engineer, decompile, disassemble or otherwise attempt to discover the underlying structure or technology of the Products, or use the Products for the purpose of developing any products or services that would compete with CST products or services, (c) not alter or remove from the Products any trademarks, trade names, logos, patent or copyright notices or markings, (d) use the Products solely in accordance with CST Product Terms of Sale and any applicable documentation, and (e) comply with any license, terms of service or similar agreement with respect to any third party products or services used by Customer in connection with the Products.

Orders: 877-616-CELL (2355) [email protected] Support: 877-678-TECH (8324) [email protected] Web: cellsignal.com
For Research Use Only. Not for Use in Diagnostic Procedures.

Revision 2

Cell Signaling Technology Logo
Western blot analysis of extracts from A-431 cells, untreated (-) or treated with Forskolin #3828 (+), using Phospho-VASP (Ser157) Antibody (upper) and VASP (9A2) Rabbit mAb #3132 (lower).
undefined Image 1: Actin Reorganization Antibody Sampler Kit
Western blot analysis of extracts from NIH/3T3 and C6 cells, untreated, 8-Br-cGMP-treated, 8-Br-cAMP-treated or forskolin-treated as indicated, using Phospho-VASP (Ser239) Antibody.
undefined Image 2: Actin Reorganization Antibody Sampler Kit
Western blot analysis of extracts from various cell lines using VASP (9A2) Rabbit mAb.
undefined Image 3: Actin Reorganization Antibody Sampler Kit
Orders: 877-616-CELL (2355) [email protected] Support: 877-678-TECH (8324) [email protected] Web: cellsignal.com
For Research Use Only. Not for Use in Diagnostic Procedures.

Revision 2

Cell Signaling Technology Logo
Western blot analysis of extracts from various cell lines using Ezrin/Radixin/Moesin Antibody.
undefined Image 4: Actin Reorganization Antibody Sampler Kit
Western blot analysis of COS cells, untreated or λ phosphatase-treated, using Phospho-Cofilin (Ser3) (77G2) Rabbit mAb (upper) or Cofilin Antibody (lower).
undefined Image 5: Actin Reorganization Antibody Sampler Kit
Western blot analysis of various cell extracts, using Phospho-Ezrin (Thr567)/Radixin (Thr564)/Moesin (Thr558) (48G2) Rabbit mAb.
undefined Image 6: Actin Reorganization Antibody Sampler Kit
Orders: 877-616-CELL (2355) [email protected] Support: 877-678-TECH (8324) [email protected] Web: cellsignal.com
For Research Use Only. Not for Use in Diagnostic Procedures.

Revision 2

Cell Signaling Technology Logo
Western blot analysis of extracts from various cell types using Cofilin (D3F9) XP® Rabbit mAb.
undefined Image 7: Actin Reorganization Antibody Sampler Kit
After the primary antibody is bound to the target protein, a complex with HRP-linked secondary antibody is formed. The LumiGLO® is added and emits light during enzyme catalyzed decomposition.
undefined Image 8: Actin Reorganization Antibody Sampler Kit
Western blot analysis of extracts from NIH/3T3 and C6 cells, untreated, 8-Br-cGMP-treated, 8-Br-cAMP-treated or forskolin-treated as indicated, using Phospho-VASP (Ser157) Antibody.
undefined Image 9: Actin Reorganization Antibody Sampler Kit
Orders: 877-616-CELL (2355) [email protected] Support: 877-678-TECH (8324) [email protected] Web: cellsignal.com
For Research Use Only. Not for Use in Diagnostic Procedures.

Revision 2

Cell Signaling Technology Logo
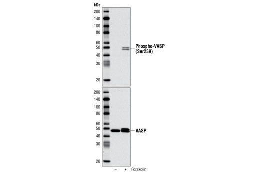
Western blot analysis of extracts from A-431 cells, untreated (-) or treated with Forskolin #3828 (+), using Phospho-VASP (Ser239) Antibody (upper) and VASP (9A2) Rabbit mAb #3132 (lower).
undefined Image 10: Actin Reorganization Antibody Sampler Kit
Immunoprecipitation of VASP from HeLa cell extracts using VASP Rabbit mAb. The same antibody was used for Western detection.
undefined Image 11: Actin Reorganization Antibody Sampler Kit
Western blot analysis of NIH/3T3 cells, λ phosphatase-treated or untreated, and various other cell lines, using Phospho-Cofilin (Ser3) (77G2) Rabbit mAb.
undefined Image 12: Actin Reorganization Antibody Sampler Kit
Orders: 877-616-CELL (2355) [email protected] Support: 877-678-TECH (8324) [email protected] Web: cellsignal.com
For Research Use Only. Not for Use in Diagnostic Procedures.

Revision 2

Cell Signaling Technology Logo
Western blot analysis of Staurosporine #9953 treated (1 μM, 3 hr) or untreated HeLa cells using Phospho-Ezrin (Thr567)/Radixin (Thr564)/Moesin (Thr558) (48G2) Rabbit mAb (upper) and Ezrin/Radixin/Moesin Antibody #3142 (lower).
undefined Image 13: Actin Reorganization Antibody Sampler Kit
Confocal immunofluorescent analysis of HeLa cells using Cofilin (D3F9) XP® Rabbit mAb (green). Actin filaments have been labeled with DY-554 phalloidin (red).
undefined Image 14: Actin Reorganization Antibody Sampler Kit
Confocal immunofluorescent analysis of HUVE cells using VASP (9A2) Rabbit mAb (green) and MEK1/2 (L38C12) Mouse mAb #4694 (red). Blue pseudocolor = DRAQ5™ (fluorescent DNA dye).
undefined Image 15: Actin Reorganization Antibody Sampler Kit
Orders: 877-616-CELL (2355) [email protected] Support: 877-678-TECH (8324) [email protected] Web: cellsignal.com
For Research Use Only. Not for Use in Diagnostic Procedures.

Revision 2

Cell Signaling Technology Logo
Confocal immunofluorescent analysis of MCF7 cells either untreated (left) or λ phosphatase-treated (right), using Phospho-Cofilin (Ser3) (77G2) Rabbit mAb (green). Blue pseudocolor = DRAQ5® #4084 (fluorescent DNA dye).
undefined Image 16: Actin Reorganization Antibody Sampler Kit
Immunohistochemical analysis of paraffin-embedded human breast ductal carcinoma using Phospho-Ezrin (Thr567)/Radixin (Thr564)/Moesin (Thr558) (48G2) Rabbit mAb.
undefined Image 17: Actin Reorganization Antibody Sampler Kit
Immunohistochemical analysis of paraffin-embedded human ovarian endometrioid adenocarcinoma using Phospho-Ezrin (Thr567)/Radixin (Thr564)/Moesin (Thr558) (48G2) Rabbit mAb.
undefined Image 18: Actin Reorganization Antibody Sampler Kit
Orders: 877-616-CELL (2355) [email protected] Support: 877-678-TECH (8324) [email protected] Web: cellsignal.com
For Research Use Only. Not for Use in Diagnostic Procedures.

Revision 2

Cell Signaling Technology Logo
Immunohistochemical analysis of paraffin-embedded human gastric adenocarcinoma, untreated (left) or λ phosphatase treated (right), using Phospho-Ezrin (Thr567)/Radixin (Thr564)/Moesin (Thr558) (48G2) Rabbit mAb.
undefined Image 19: Actin Reorganization Antibody Sampler Kit
Confocal immunofluorescent analysis of HeLa cells, untreated (left), treated with Staurosporine #9953 (1 μM, 1hr; center), or λ phosphatase (right) labeled with Phospho-Ezrin (Thr567)/Radixin (Thr564)/Moesin (Thr558) (48G2) Rabbit mAb (green). Actin filaments were labeled with DyLight™ 554 phalloidin (red). Blue pseudocolor = DRAQ5®#4084 (fluorescent DNA dye).
undefined Image 20: Actin Reorganization Antibody Sampler Kit
Confocal immunofluorescent analysis of fixed frozen mouse colon labeled with VASP (9A2) Rabbit mAb (green), DyLight 650 Phalloidin #12956 (red), and ProLong Gold Antifade Reagent with DAPI #8961 (blue).
undefined Image 21: Actin Reorganization Antibody Sampler Kit
Orders: 877-616-CELL (2355) [email protected] Support: 877-678-TECH (8324) [email protected] Web: cellsignal.com
For Research Use Only. Not for Use in Diagnostic Procedures.

Revision 2

Cell Signaling Technology Logo
Confocal immunofluorescent analysis of fixed frozen mouse spleen labeled with VASP (9A2) Rabbit mAb (green), DyLight 650 Phalloidin #12956 (red), and ProLong Gold Antifade Reagent with DAPI #8961 (blue).
undefined Image 22: Actin Reorganization Antibody Sampler Kit
Simple Western™ analysis of lysates (0.1 mg/mL) from Cos-7 cells using Phospho-Cofilin (Ser3) (77G2) Rabbit mAb #3313. The virtual lane view (left) shows the target band (as indicated) at 1:10 and 1:50 dilutions of primary antibody. The corresponding electropherogram view (right) plots chemiluminescence by molecular weight along the capillary at 1:10 (blue line) and 1:50 (green line) dilutions of primary antibody. This experiment was performed under reducing conditions on the Jess™ Simple Western instrument from ProteinSimple, a BioTechne brand, using the 12-230 kDa separation module.
undefined Image 23: Actin Reorganization Antibody Sampler Kit

Simple Western™ analysis of lysates (0.1 mg/mL) from Cos-7 cells using Cofilin (D3F9) XP® Rabbit mAb #5175. The virtual lane view (left) shows the target band (as indicated) at 1:10 and 1:50 dilutions of primary antibody. The corresponding electropherogram view (right) plots chemiluminescence by molecular weight along the capillary at 1:10 (blue line) and 1:50 (green line) dilutions of primary antibody. This experiment was performed under reducing conditions on the Jess™ Simple Western instrument from ProteinSimple, a BioTechne brand, using the 12-230 kDa separation module.

undefined Image 24: Actin Reorganization Antibody Sampler Kit
Orders: 877-616-CELL (2355) [email protected] Support: 877-678-TECH (8324) [email protected] Web: cellsignal.com
For Research Use Only. Not for Use in Diagnostic Procedures.