Revision 6

#9930

Store at -20C

CST Logo
Orders:

877-616-CELL (2355)

[email protected]

Support:

877-678-TECH (8324)

3 Trask Lane | Danvers | Massachusetts | 01923 | USA

For Research Use Only. Not for Use in Diagnostic Procedures.

Product Includes Product # Quantity Mol. Wt Isotype/Source
Caspase-3 (D3R6Y) Rabbit Monoclonal Antibody1422020 µl35, 19, 17 kDaRabbit IgG
Cleaved Caspase-3 (Asp175) (5A1E) Rabbit Monoclonal Antibody966420 µl17, 19 kDaRabbit IgG
Caspase-8 Antibody492720 µl45, 57 kDaRabbit
Cleaved Caspase-8 (Asp387) (D5B2) Rabbit Monoclonal Antibody859220 µl18, 43 kDaRabbit IgG
Caspase-9 Antibody950420 µl37, 39, 49 kDaRabbit
Cleaved Caspase-9 (Asp353) Antibody950920 µl37 kDaRabbit
Cleaved PARP (Asp214) (7C9) Mouse Monoclonal Antibody954820 µl89 kDaMouse IgG2b
Caspase-12 (E9T3W) Rabbit Monoclonal Antibody5820820 µl55, 38, 28 kDaRabbit IgG
Anti-rabbit IgG, HRP-linked Antibody7074100 µlGoat
Anti-mouse IgG, HRP-linked Antibody7076100 µlHorse

Please visit cellsignal.com for individual component applications, species cross-reactivity, dilutions, protocols, and additional product information.

Description

The Apoptosis Antibody Sampler Kit (Mouse Specific) is designed for use with mouse samples and offers an economical means to evaluate the levels of active and inactive caspases. The kit contains enough primary and secondary antibodies to perform two Western blot experiments with each antibody.

Storage

Supplied in 10 mM sodium HEPES (pH 7.5), 150 mM NaCl, 100 µg/ml BSA, 50% glycerol and less than 0.02% sodium azide. Store at –20°C. Do not aliquot the antibody.

Background

Apoptosis is a regulated physiological process leading to cell death. Caspases, a family of cysteine acid proteases, are central regulators of apoptosis. Initiator caspases (including 8, 9, 10, and 12) are closely coupled to proapoptotic signals. Once activated, these caspases cleave and activate downstream effector caspases (including 3, 6, and 7), which in turn cleave cytoskeletal and nuclear proteins like PARP, α-fodrin, DFF, and lamin A and induce apoptosis. Cytochrome c released from mitochondria is coupled to the activation of caspase-9, a key initiator caspase (1). Proapoptotic stimuli include FasL, TNF-α, DNA damage and ER stress. Fas and TNFR activate caspase-8 and -10 (2), DNA damage leads to the activation of caspase-9 and ER stress leads to the calcium-mediated activation of caspase-12 (3). The inhibitor of apoptosis protein (IAP) family includes XIAP and survivin and functions by binding and inhibiting several caspases (4,5). Smac/Diablo, a mitochondrial protein, is released into the cytosol upon mitochondrial stress and competes with caspases for binding of IAPs. The interaction of Smac/Diablo with IAPs relieves the inhibitory effects of IAPs on caspases (6).

Trademarks and Patents

Cell Signaling Technology is a trademark of Cell Signaling Technology, Inc.

All other trademarks are the property of their respective owners. Visit cellsignal.com/trademarks for more information.

Limited Uses

Except as otherwise expressly agreed in a writing signed by a legally authorized representative of CST, the following terms apply to Products provided by CST, its affiliates or its distributors. Any Customer's terms and conditions that are in addition to, or different from, those contained herein, unless separately accepted in writing by a legally authorized representative of CST, are rejected and are of no force or effect.

Products are labeled with For Research Use Only or a similar labeling statement and have not been approved, cleared, or licensed by the FDA or other regulatory foreign or domestic entity, for any purpose. Customer shall not use any Product for any diagnostic or therapeutic purpose, or otherwise in any manner that conflicts with its labeling statement. Products sold or licensed by CST are provided for Customer as the end-user and solely for research and development uses. Any use of Product for diagnostic, prophylactic or therapeutic purposes, or any purchase of Product for resale (alone or as a component) or other commercial purpose, requires a separate license from CST. Customer shall (a) not sell, license, loan, donate or otherwise transfer or make available any Product to any third party, whether alone or in combination with other materials, or use the Products to manufacture any commercial products, (b) not copy, modify, reverse engineer, decompile, disassemble or otherwise attempt to discover the underlying structure or technology of the Products, or use the Products for the purpose of developing any products or services that would compete with CST products or services, (c) not alter or remove from the Products any trademarks, trade names, logos, patent or copyright notices or markings, (d) use the Products solely in accordance with CST Product Terms of Sale and any applicable documentation, and (e) comply with any license, terms of service or similar agreement with respect to any third party products or services used by Customer in connection with the Products.

Orders: 877-616-CELL (2355) [email protected] Support: 877-678-TECH (8324) [email protected] Web: cellsignal.com
For Research Use Only. Not for Use in Diagnostic Procedures.

Revision 6

Cell Signaling Technology Logo
Western blot analysis of various cell lines, untreated (-) or treated with Staurosporine #9953 (1 μM; 3 hr) or with Etoposide #2200 (25 μM, overnight), using Caspase-3 (D3R6Y) Rabbit mAb (upper) or β-Actin (D6A8) Rabbit mAb #8457 (lower). MCF7 cells are negative for caspase-3 expression.
undefined Image 1: Apoptosis Antibody Sampler Kit (Mouse Preferred)
Western blot analysis of extracts from BaF3, Raw264.7 and C2C12 cell lines, using Caspase-8 Antibody.
undefined Image 2: Apoptosis Antibody Sampler Kit (Mouse Preferred)
Western blot analysis of extracts from varioius cells using Caspase-12 (E9T3W) Rabbit mAb (upper) or GAPDH (D16H11) XP® Rabbit mAb #5174 (lower). Negative expression of caspase-12 in J774A.1 cells is consistent with the predicted expression pattern.
undefined Image 3: Apoptosis Antibody Sampler Kit (Mouse Preferred)
Orders: 877-616-CELL (2355) [email protected] Support: 877-678-TECH (8324) [email protected] Web: cellsignal.com
For Research Use Only. Not for Use in Diagnostic Procedures.

Revision 6

Cell Signaling Technology Logo
After the primary antibody is bound to the target protein, a complex with HRP-linked secondary antibody is formed. The LumiGLO® is added and emits light during enzyme catalyzed decomposition.
undefined Image 4: Apoptosis Antibody Sampler Kit (Mouse Preferred)
After the primary antibody is bound to the target protein, a complex with HRP-linked secondary antibody is formed. The LumiGLO* is added and emits light during enzyme catalyzed decomposition.
undefined Image 5: Apoptosis Antibody Sampler Kit (Mouse Preferred)
Western blot analysis of extracts from 293T cells, mock transfected (-) or transfected with a construct overexpressing mouse caspase-8 (mCasp8) (+), using Cleaved Caspase-8 (Asp387) (D5B2) XP® Rabbit mAb.
undefined Image 6: Apoptosis Antibody Sampler Kit (Mouse Preferred)
Orders: 877-616-CELL (2355) [email protected] Support: 877-678-TECH (8324) [email protected] Web: cellsignal.com
For Research Use Only. Not for Use in Diagnostic Procedures.

Revision 6

Cell Signaling Technology Logo
Western blot analysis of extracts from NIH/3T3 cells, untreated, staurosporine-treated (1 µM), or cytochrome c-treated (0.25 mg/ml), using Caspase-9 Antibody. p39: caspase-9 cleaved at Asp368. p37: caspase-9 cleaved at Asp353.
undefined Image 7: Apoptosis Antibody Sampler Kit (Mouse Preferred)
Western blot analysis of extracts from L929 cells, untreated or staurosporine-treated, using Cleaved Caspase-9 (Asp353) Antibody (upper) or Caspase-9 Antibody #9504 (lower).
undefined Image 8: Apoptosis Antibody Sampler Kit (Mouse Preferred)
Western blot analysis of NIH/3T3 cells, untreated or staurosporine-treated (1 µM), using Cleaved PARP (Asp214) (7C9) Mouse mAb.
undefined Image 9: Apoptosis Antibody Sampler Kit (Mouse Preferred)
Orders: 877-616-CELL (2355) [email protected] Support: 877-678-TECH (8324) [email protected] Web: cellsignal.com
For Research Use Only. Not for Use in Diagnostic Procedures.

Revision 6

Cell Signaling Technology Logo
Western blot analysis of extracts from C6 (rat), NIH/3T3 (mouse), and Jurkat (human) cells, untreated or treated with staurosporine #9953 (1uM, 3hrs) or etoposide #2200 (25uM, 5hrs) as indicated, using Cleaved Caspase-3 (Asp175) (5A1E) Rabbit mAb.
undefined Image 10: Apoptosis Antibody Sampler Kit (Mouse Preferred)
Western blot analysis of extracts from HCT116 cells (lane 1) or CASP3 knock-out cells (lane 2) using Caspase-3 (D3R6Y) Rabbit mAb #14220 (upper), and α-Actinin (D6F6) XP® Rabbit mAb #6487 (lower). The absence of signal in the CASP3 knock-out HCT116 cells confirms specificity of the antibody for CASP3.
undefined Image 11: Apoptosis Antibody Sampler Kit (Mouse Preferred)
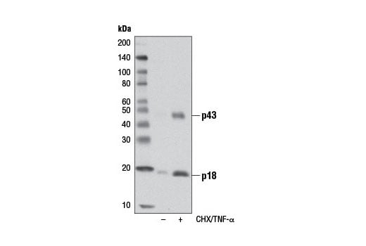
Western blot analysis of extracts from CTLL-2 cells, untreated or treated with cycloheximide (CHX, 10 μg/ml, overnight) followed by hTNF-α #8902 (20 ng/ml, 4 hours), using Cleaved Caspase-8 (Asp387) (D5B2) XP® Rabbit mAb.
undefined Image 12: Apoptosis Antibody Sampler Kit (Mouse Preferred)
Orders: 877-616-CELL (2355) [email protected] Support: 877-678-TECH (8324) [email protected] Web: cellsignal.com
For Research Use Only. Not for Use in Diagnostic Procedures.

Revision 6

Cell Signaling Technology Logo
Confocal immunofluorescent analysis of Raw 264.7 cells, untreated (left) or treated with TNF-α and Cycloheximide (20 ng/ml and 2.5 ug/ml, 4 hours and 3 hours; right), using Cleaved Caspase-8 (Asp387) (D5B2) XP® Rabbit mAb (green). Blue pseudocolor = DRAQ5® #4084 (fluorescent DNA dye).
undefined Image 13: Apoptosis Antibody Sampler Kit (Mouse Preferred)
Confocal immunofluorescent analysis of NIH/3T3 cells, staurosporine-treated (left) or untreated (right), using Cleaved Caspase-9 (Asp353) Antibody (green). Actin filaments have been labeled with Alexa Fluor® 555 phalloidin (red). Blue pseudocolor = DRAQ5® #4084 (fluorescent DNA dye).
undefined Image 14: Apoptosis Antibody Sampler Kit (Mouse Preferred)
Flow cytometric analysis of A20 cells, untreated (blue) or treated with etoposide #2200 (25 uM, overnight; green) using Cleaved Caspase-8 (Asp387) (D5B2) XP® Rabbit mAb Rabbit mAb (solid lines) or concentration-matched Rabbit (DA1E) mAb IgG XP® Isotype Control #3900 (dashed lines). Anti-rabbit IgG (H+L), F(ab')₂ Fragment (Alexa Fluor® 488 Conjugate) #4412 was used as a secondary antibody.
undefined Image 15: Apoptosis Antibody Sampler Kit (Mouse Preferred)
Orders: 877-616-CELL (2355) [email protected] Support: 877-678-TECH (8324) [email protected] Web: cellsignal.com
For Research Use Only. Not for Use in Diagnostic Procedures.

Revision 6

Cell Signaling Technology Logo
Simple Western™ analysis of lysates (1 mg/mL) from Jurkat cells treated with Cytochrome C using Caspase-3 (D3R6Y) Rabbit mAb #14220. The virtual lane view (left) shows the target bands (as indicated) at 1:10 and 1:50 dilutions of primary antibody. The corresponding electropherogram view (right) plots chemiluminescence by molecular weight along the capillary at 1:10 (blue line) and 1:50 (green line) dilutions of primary antibody. This experiment was performed under reducing conditions on the Jess™ Simple Western instrument from ProteinSimple, a BioTechne brand, using the 12-230 kDa separation module.
undefined Image 16: Apoptosis Antibody Sampler Kit (Mouse Preferred)
Western blot analysis of extracts from 293T cells, mock transfected (-) or transfected with a construct expressing N-terminal Myc/DDK-tagged full-length mouse Caspase-12 (Myc/DDK-mCasp12; +) using Caspase-12 (E9T3W) Rabbit mAb (upper), Myc-Tag (71D10) Rabbit mAb #2278 (middle), or GAPDH (D16H11) XP® Rabbit mAb #5174 (lower).
undefined Image 17: Apoptosis Antibody Sampler Kit (Mouse Preferred)
Western blot analysis of extracts from HC11 Mammary Epithelium cells, untreated (-) or treated in vitro with cytochrome c (250 μg/mL, 45 min; +) and dATP (2 mM, 45 min; +), using Caspase-12 (E9T3W) Rabbit mAb (upper) or GAPDH (D16H11) XP® Rabbit mAb #5174 (lower).
undefined Image 18: Apoptosis Antibody Sampler Kit (Mouse Preferred)
Orders: 877-616-CELL (2355) [email protected] Support: 877-678-TECH (8324) [email protected] Web: cellsignal.com
For Research Use Only. Not for Use in Diagnostic Procedures.

Revision 6

Cell Signaling Technology Logo
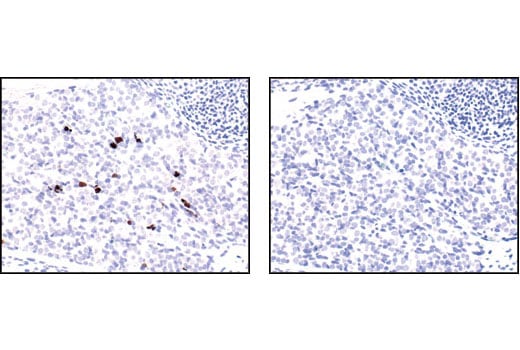
Immunohistochemical analysis of paraffin-embedded mouse embryo, using Cleaved Caspase-3 (Asp175) (5A1E) Rabbit mAb in the presence of control peptide (left) or Cleaved Caspase-3 (Asp175) Blocking Peptide (#1050) (right).
undefined Image 19: Apoptosis Antibody Sampler Kit (Mouse Preferred)
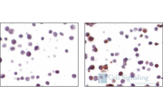
Immunohistochemical analysis using Cleaved Caspase-3 (Asp175) (5A1E) Rabbit mAb on SignalSlide® Cleaved Caspase-3 IHC Controls #8104 (paraffin-embedded Jurkat cells, untreated (left) or etoposide-treated (right)).
undefined Image 20: Apoptosis Antibody Sampler Kit (Mouse Preferred)
Immunohistochemical staining of paraffin-embedded mouse embryo, showing cytoplasmic localization in apoptotic cells, using Cleaved Caspase-3 (Asp175) (5A1E) Rabbit mAb.
undefined Image 21: Apoptosis Antibody Sampler Kit (Mouse Preferred)
Orders: 877-616-CELL (2355) [email protected] Support: 877-678-TECH (8324) [email protected] Web: cellsignal.com
For Research Use Only. Not for Use in Diagnostic Procedures.

Revision 6

Cell Signaling Technology Logo
Confocal immunofluorescent images of HT-29 cells, untreated (left) or Staurosporine #9953 treated (right) labeled with Cleaved Caspase-3 (Asp175) (5A1E) Rabbit mAb (green). Actin filaments have been labeled with Alexa Fluor® 555 phalloidin #8953 (red). Blue pseudocolor = DRAQ5® #4084 (fluorescent DNA dye).
undefined Image 22: Apoptosis Antibody Sampler Kit (Mouse Preferred)
Simple Western™ analysis of lysates (0.1 mg/mL) from Jurkat cells treated with Cytochrome C using Cleaved Caspase-3 (Asp175) (5A1E) Rabbit mAb #9664. The virtual lane view (left) shows the target bands (as indicated) at 1:10 and 1:50 dilutions of primary antibody. The corresponding electropherogram view (right) plots chemiluminescence by molecular weight along the capillary at 1:10 (blue line) and 1:50 (green line) dilutions of primary antibody. This experiment was performed under reducing conditions on the Jess™ Simple Western instrument from ProteinSimple, a BioTechne brand, using the 12-230 kDa separation module.
undefined Image 23: Apoptosis Antibody Sampler Kit (Mouse Preferred)
Flow cytometric analysis of Jurkat cells, untreated (blue) or treated with Etoposide #2200 (25 μM, 18 hr; green) using Cleaved Caspase-3 (Asp175) (5A1E) Rabbit mAb (solid lines) or concentration-matched Rabbit (DA1E) mAb IgG XP® Isotype Control #3900 (dashed lines). Anti-rabbit IgG (H+L), F(ab')2 Fragment (Alexa Fluor® 488 Conjugate) #4412 was used as a secondary antibody.
undefined Image 24: Apoptosis Antibody Sampler Kit (Mouse Preferred)
Orders: 877-616-CELL (2355) [email protected] Support: 877-678-TECH (8324) [email protected] Web: cellsignal.com
For Research Use Only. Not for Use in Diagnostic Procedures.

Revision 6

Cell Signaling Technology Logo
Immunoprecipitation of Cleaved Caspase-3 from Jurkat cells treated with etoposide (25uM, 5hrs). Lane 1 is 10% input, lane 2 is Rabbit (DA1E) mAb IgG XP® Isotype Control #3900, and lane 3 is Cleaved Caspase-3 (Asp175) (5A1E) Rabbit mAb. Western blot was performed using Cleaved Caspase-3 (Asp175) (5A1E) Rabbit mAb. Anti-rabbit IgG, HRP-linked Antibody #7074 was used as a secondary antibody.
undefined Image 25: Apoptosis Antibody Sampler Kit (Mouse Preferred)
Orders: 877-616-CELL (2355) [email protected] Support: 877-678-TECH (8324) [email protected] Web: cellsignal.com
For Research Use Only. Not for Use in Diagnostic Procedures.