Revision 4

#12692

Store at -20C

CST Logo
Orders:

877-616-CELL (2355)

[email protected]

Support:

877-678-TECH (8324)

3 Trask Lane | Danvers | Massachusetts | 01923 | USA

For Research Use Only. Not for Use in Diagnostic Procedures.

Applications:
IHC-P

Reactivity:
H M

UniProt ID:
#P42574

Entrez-Gene Id:
836

Storage

9579 Cleaved Caspase-3 (Asp175) (D3E9) Rabbit mAb: Store at -20°C.
12960 Rabbit (DA1E) mAb IgG XP® SignalStain® Isotype Control: Store at -20°C.
5425 Normal Goat Serum: Store at -20°C.
8114 SignalStain® Boost IHC Detection Reagent (HRP, Rabbit): Store at 4°C.
11724 SignalStain® DAB Diluent: Store at 4°C.
11725 SignalStain® DAB Chromogen Substrate: Store at 4°C.
8112 SignalStain® Antibody Diluent: Store at 4°C.
9997 Tris Buffered Saline with Tween® 20: Store at room temperature.

Specificity/Sensitivity

SignalStain® Apoptosis (Cleaved Caspase-3) IHC Detection Kit detects endogenous levels of the activated caspase-3 large fragment (17/19 kDa) resulting from cleavage adjacent to Asp175. This antibody does not recognize full-length caspase-3 or other cleaved caspases. This kit was developed for and is recommended for immunohistochemistry only.

Source / Purification

Cleaved Caspase-3 (Asp175) (D3E9) Rabbit mAb is produced by immunizing animals with a synthetic peptide corresponding to residues surrounding Asp175 of human caspase-3 protein. Rabbit (DA1E) mAb IgG XP® SignalStain® Isotype Control is not directed against any known antigen. It functions as an isotype control for rabbit IgG monoclonal antibodies.

Description

SignalStain® Apoptosis (Cleaved Caspase-3) IHC Detection Kit allows the detection of activated caspase-3 in formalin-fixed paraffin-embedded human and mouse tissue samples. Cleaved Caspase-3 (Asp175) (D3E9) Rabbit mAb is detected by the polymer based, HRP-conjugated SignalStain® Boost IHC Detection Reagent in combination with SignalStain® DAB Diluent and Chromogen Concentrate. Also included is a concentration-matched rabbit monoclonal IgG control to verify the specificity of staining.

This combination of reagents provides a sensitive and specific means of detecting apoptotic events in tissue samples.

Background

Caspase-3 (CPP-32, Apopain, Yama, SCA-1) is a critical executioner of apoptosis, as it is either partially or totally responsible for the proteolytic cleavage of many key proteins, such as the nuclear enzyme poly (ADP-ribose) polymerase (PARP) (1). Activation of caspase-3 requires proteolytic processing of its inactive zymogen into activated p17 and p12 fragments. Cleavage of caspase-3 requires the aspartic acid residue at the P1 position (2).

Species Reactivity

Species reactivity is determined by testing in at least one approved application (e.g., western blot).

Applications Key

IHC-P: Immunohistochemistry (Paraffin)

Cross-Reactivity Key

H: Human M: Mouse

Trademarks and Patents

Cell Signaling Technology is a trademark of Cell Signaling Technology, Inc.

SignalStain is a registered trademark of Cell Signaling Technology, Inc.

All other trademarks are the property of their respective owners. Visit cellsignal.com/trademarks for more information.

Limited Uses

Except as otherwise expressly agreed in a writing signed by a legally authorized representative of CST, the following terms apply to Products provided by CST, its affiliates or its distributors. Any Customer's terms and conditions that are in addition to, or different from, those contained herein, unless separately accepted in writing by a legally authorized representative of CST, are rejected and are of no force or effect.

Products are labeled with For Research Use Only or a similar labeling statement and have not been approved, cleared, or licensed by the FDA or other regulatory foreign or domestic entity, for any purpose. Customer shall not use any Product for any diagnostic or therapeutic purpose, or otherwise in any manner that conflicts with its labeling statement. Products sold or licensed by CST are provided for Customer as the end-user and solely for research and development uses. Any use of Product for diagnostic, prophylactic or therapeutic purposes, or any purchase of Product for resale (alone or as a component) or other commercial purpose, requires a separate license from CST. Customer shall (a) not sell, license, loan, donate or otherwise transfer or make available any Product to any third party, whether alone or in combination with other materials, or use the Products to manufacture any commercial products, (b) not copy, modify, reverse engineer, decompile, disassemble or otherwise attempt to discover the underlying structure or technology of the Products, or use the Products for the purpose of developing any products or services that would compete with CST products or services, (c) not alter or remove from the Products any trademarks, trade names, logos, patent or copyright notices or markings, (d) use the Products solely in accordance with CST Product Terms of Sale and any applicable documentation, and (e) comply with any license, terms of service or similar agreement with respect to any third party products or services used by Customer in connection with the Products.

Orders: 877-616-CELL (2355) [email protected] Support: 877-678-TECH (8324) [email protected] Web: cellsignal.com
For Research Use Only. Not for Use in Diagnostic Procedures.

Revision 4

Cell Signaling Technology Logo
Immunohistochemical analysis of paraffin-embedded E14 mouse embryo using Cleaved Caspase-3 (Asp175) (D3E9) Rabbit mAb #9579 (left) or Rabbit (DA1E) mAb IgG XP® SignalStain® Isotype Control #12960 (right).
Immunohistochemistry Image 1: SignalStain<sup>®</sup> Apoptosis (Cleaved Caspase-3) IHC Detection Kit
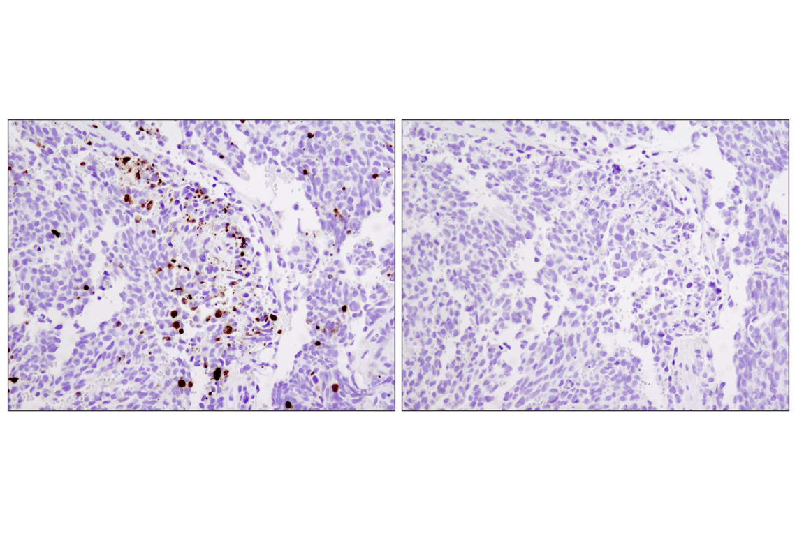
Immunohistochemical analysis of paraffin-embedded Kelly xenograft using Cleaved Caspase-3 (Asp175) (D3E9) Rabbit mAb #9579 (left) or Rabbit (DA1E) mAb IgG XP® SignalStain® Isotype Control #12960 (right).
Immunohistochemistry Image 2: SignalStain<sup>®</sup> Apoptosis (Cleaved Caspase-3) IHC Detection Kit
Orders: 877-616-CELL (2355) [email protected] Support: 877-678-TECH (8324) [email protected] Web: cellsignal.com
For Research Use Only. Not for Use in Diagnostic Procedures.