Revision 1

#9961

Store at -20C

Cadherin-Catenin Antibody Sampler Kit

1 Kit

(6 x 20 microliters)

CST Logo
Orders:

877-616-CELL (2355)

[email protected]

Support:

877-678-TECH (8324)

3 Trask Lane | Danvers | Massachusetts | 01923 | USA

For Research Use Only. Not for Use in Diagnostic Procedures.

Product Includes Product # Quantity Mol. Wt Isotype/Source
alpha-E-Catenin (23B2) Rabbit Monoclonal Antibody324020 µl100 kDaRabbit IgG
N-Cadherin (D4R1H) Rabbit Monoclonal Antibody1311620 µl140 kDaRabbit IgG
E-Cadherin (24E10) Rabbit Monoclonal Antibody319520 µl135 kDaRabbit IgG
P-Cadherin (C13F9) Rabbit Monoclonal Antibody218920 µl120 kDaRabbit IgG
Pan-Cadherin (28E12) Rabbit Monoclonal Antibody407320 µl130-150 kDaRabbit IgG
beta-Catenin (D10A8) Rabbit Monoclonal Antibody848020 µl92 kDaRabbit IgG
Anti-rabbit IgG, HRP-linked Antibody7074100 µlGoat

Please visit cellsignal.com for individual component applications, species cross-reactivity, dilutions, protocols, and additional product information.

Description

This Cadherin-Catenin Antibody Sampler kit contains reagents to examine the total protein levels of key proteins found in cell-cell adherens junctions. The kit contains enough primary and secondary antibodies to perform two Western blot experiments.

Storage

Supplied in 10 mM sodium HEPES (pH 7.5), 150 mM NaCl, 100 µg/ml BSA, 50% glycerol and less than 0.02% sodium azide. Store at –20°C. Do not aliquot the antibody.

Background

Adherens junctions are dynamic structures that form cell-cell contacts and are important in development, differentiation, tissue integrity, morphology and cell polarity. They are composed of cadherins that are transmembrane proteins that bind cadherins on adjacent cells in a calcium dependent manner. On the cytoplasmic side of adherens junctions, the cadherins associate with β-catenin, γ-catenin and p120 catenin (δ). β-catenin and γ-catenin associate with α-catenin, which links the cadherin-catenin complex to the actin cytoskeleton (1,2). Recent studies indicate that cancer cells exhibit increased N-cadherin and diminished E-cadherin expression. E-cadherin is considered a suppressor of invasive cancer cell growth and this change in cadherin expression associated with cancer progression is termed the “cadherin switch”. β-catenin is one of the key downstream effectors in the Wnt signaling pathway and has been implicated in early embryonic development and tumorigenesis (3-5).

Trademarks and Patents

Cell Signaling Technology is a trademark of Cell Signaling Technology, Inc.

All other trademarks are the property of their respective owners. Visit cellsignal.com/trademarks for more information.

Limited Uses

Except as otherwise expressly agreed in a writing signed by a legally authorized representative of CST, the following terms apply to Products provided by CST, its affiliates or its distributors. Any Customer's terms and conditions that are in addition to, or different from, those contained herein, unless separately accepted in writing by a legally authorized representative of CST, are rejected and are of no force or effect.

Products are labeled with For Research Use Only or a similar labeling statement and have not been approved, cleared, or licensed by the FDA or other regulatory foreign or domestic entity, for any purpose. Customer shall not use any Product for any diagnostic or therapeutic purpose, or otherwise in any manner that conflicts with its labeling statement. Products sold or licensed by CST are provided for Customer as the end-user and solely for research and development uses. Any use of Product for diagnostic, prophylactic or therapeutic purposes, or any purchase of Product for resale (alone or as a component) or other commercial purpose, requires a separate license from CST. Customer shall (a) not sell, license, loan, donate or otherwise transfer or make available any Product to any third party, whether alone or in combination with other materials, or use the Products to manufacture any commercial products, (b) not copy, modify, reverse engineer, decompile, disassemble or otherwise attempt to discover the underlying structure or technology of the Products, or use the Products for the purpose of developing any products or services that would compete with CST products or services, (c) not alter or remove from the Products any trademarks, trade names, logos, patent or copyright notices or markings, (d) use the Products solely in accordance with CST Product Terms of Sale and any applicable documentation, and (e) comply with any license, terms of service or similar agreement with respect to any third party products or services used by Customer in connection with the Products.

Orders: 877-616-CELL (2355) [email protected] Support: 877-678-TECH (8324) [email protected] Web: cellsignal.com
For Research Use Only. Not for Use in Diagnostic Procedures.

Revision 1

Cell Signaling Technology Logo
Western blot analysis of extracts from A172 and MCF7 cells using N-Cadherin (D4R1H) XP® Rabbit mAb (upper) or β-Actin (D6A8) Rabbit mAb #8457 (lower).
undefined Image 1: Cadherin-Catenin Antibody Sampler Kit
Western blot analysis of extracts from various cell types using P-Cadherin (C13F9) Rabbit mAb.
undefined Image 2: Cadherin-Catenin Antibody Sampler Kit
Immunohistochemical analysis of paraffin-embedded human colon carcinoma using P-Cadherin (C13F9) Rabbit mAb.
undefined Image 3: Cadherin-Catenin Antibody Sampler Kit
Orders: 877-616-CELL (2355) [email protected] Support: 877-678-TECH (8324) [email protected] Web: cellsignal.com
For Research Use Only. Not for Use in Diagnostic Procedures.

Revision 1

Cell Signaling Technology Logo
Western blot analysis of extracts from various cell lines, using E-Cadherin (24E10) Rabbit mAb.
undefined Image 4: Cadherin-Catenin Antibody Sampler Kit
Immunohistochemical analysis of paraffin-embedded human prostate adenocarcinoma using E-Cadherin (24E10) Rabbit mAb performed on the Leica BOND Rx.
undefined Image 5: Cadherin-Catenin Antibody Sampler Kit
Western blot analysis of extracts from HUVEC, NIH/3T3, MCF-7, ZR-75 and A431 cells using α-E-Catenin (23B2) Rabbit mAb.
undefined Image 6: Cadherin-Catenin Antibody Sampler Kit
Orders: 877-616-CELL (2355) [email protected] Support: 877-678-TECH (8324) [email protected] Web: cellsignal.com
For Research Use Only. Not for Use in Diagnostic Procedures.

Revision 1

Cell Signaling Technology Logo
Western blot analysis of extracts from various cell lines, using Pan-Cadherin (28E12) Rabbit mAb.
undefined Image 7: Cadherin-Catenin Antibody Sampler Kit
After the primary antibody is bound to the target protein, a complex with HRP-linked secondary antibody is formed. The LumiGLO® is added and emits light during enzyme catalyzed decomposition.
undefined Image 8: Cadherin-Catenin Antibody Sampler Kit
Western blot analysis of extracts from control HeLa cells (lane 1) or HeLa cells with an apparent in-frame truncation mutation in the gene encoding β-Catenin (lane 2) using β-Catenin (D10A8) XP® Rabbit mAb, #8480 (upper) or β-actin (D6A8) Rabbit mAb #8457 (lower). The change in β-Catenin molecular weight in the mutated HeLa cells is consistent with an in-frame deletion.
undefined Image 9: Cadherin-Catenin Antibody Sampler Kit
Orders: 877-616-CELL (2355) [email protected] Support: 877-678-TECH (8324) [email protected] Web: cellsignal.com
For Research Use Only. Not for Use in Diagnostic Procedures.

Revision 1

Cell Signaling Technology Logo
CUT&RUN was performed with HCT 116 cells and β-Catenin (D10A8) XP® Rabbit mAb, using CUT&RUN Assay Kit #86652. DNA library was prepared using DNA Library Prep Kit for Illumina® (ChIP-seq, CUT&RUN) #56795. The figure shows binding across Axin2, a known target gene of β-Catenin (see additional figure containing CUT&RUN-qPCR data).
undefined Image 10: Cadherin-Catenin Antibody Sampler Kit
Immunohistochemical analysis of paraffin-embedded human prostate adenocarcinoma using ß-Catenin (D10A8) XP® Rabbit mAb performed on the Leica® BOND™ Rx.
undefined Image 11: Cadherin-Catenin Antibody Sampler Kit
Immunohistochemical analysis of paraffin-embedded human non-Hodgkin Lymphoma using N-Cadherin (D4R1H) XP® Rabbit mAb performed on the Leica® BOND™ Rx.
undefined Image 12: Cadherin-Catenin Antibody Sampler Kit
Orders: 877-616-CELL (2355) [email protected] Support: 877-678-TECH (8324) [email protected] Web: cellsignal.com
For Research Use Only. Not for Use in Diagnostic Procedures.

Revision 1

Cell Signaling Technology Logo
Simple Western™ analysis of lysates (0.1 mg/mL) from A172 lysate using N-Cadherin (D4R1H) XP® Rabbit mAb #13116. The virtual lane view (left) shows the target band (as indicated) at 1:10 and 1:50 dilutions of primary antibody. The corresponding electropherogram view (right) plots chemiluminescence by molecular weight along the capillary at 1:10 (blue line) and 1:50 (green line) dilutions of primary antibody. This experiment was performed under reducing conditions on the Jess™ Simple Western instrument from ProteinSimple, a BioTechne brand, using the 12-230 kDa separation module.
undefined Image 13: Cadherin-Catenin Antibody Sampler Kit
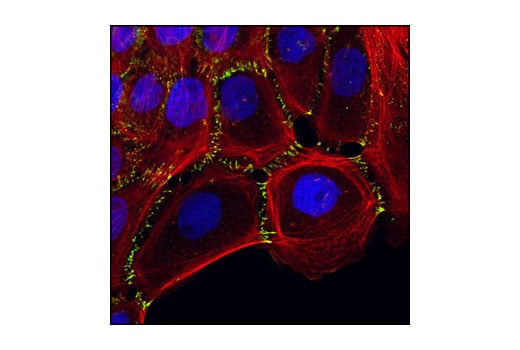
Confocal immunofluorescent analysis of A431 cells using P-Cadherin (C13F9) Rabbit mAb (green). Actin filaments have been labeled with Alexa Fluor® 555 phalloidin (red). Blue pseudocolor = DRAQ5™ (fluorescent DNA dye).
undefined Image 14: Cadherin-Catenin Antibody Sampler Kit
Immunohistochemical analysis of paraffin-embedded human squamous cell lung carcinoma using P-Cadherin (C13F9) Rabbit mAb.
undefined Image 15: Cadherin-Catenin Antibody Sampler Kit
Orders: 877-616-CELL (2355) [email protected] Support: 877-678-TECH (8324) [email protected] Web: cellsignal.com
For Research Use Only. Not for Use in Diagnostic Procedures.

Revision 1

Cell Signaling Technology Logo
Immunohistochemical analysis of paraffin-embedded human papillary thyroid carcinoma using E-Cadherin (24E10) Rabbit mAb performed on the Leica BOND Rx.
undefined Image 16: Cadherin-Catenin Antibody Sampler Kit
Western blot analysis of extracts from various cell lines using β-Catenin (D10A8) XP® Rabbit mAb.
undefined Image 17: Cadherin-Catenin Antibody Sampler Kit
CUT&RUN was performed with HCT 116 cells and β-Catenin (D10A8) XP® Rabbit mAb, using CUT&RUN Assay Kit #86652. DNA Libraries were prepared using DNA Library Prep Kit for Illumina® (ChIP-seq, CUT&RUN) #56795. The figures show binding across chromosome 17 (upper), including Axin2 (lower), a known target gene of β-Catenin (see additional figure containing CUT&RUN-qPCR data).
undefined Image 18: Cadherin-Catenin Antibody Sampler Kit
Orders: 877-616-CELL (2355) [email protected] Support: 877-678-TECH (8324) [email protected] Web: cellsignal.com
For Research Use Only. Not for Use in Diagnostic Procedures.

Revision 1

Cell Signaling Technology Logo
Immunohistochemical analysis of paraffin-embedded human colon adenocarcinoma using ß-Catenin (D10A8) XP® Rabbit mAb performed on the Leica® BOND™ Rx.
undefined Image 19: Cadherin-Catenin Antibody Sampler Kit
Immunohistochemical analysis of paraffin-embedded human granulosa cell tumor of the ovary using N-Cadherin (D4R1H) XP® Rabbit mAb performed on the Leica® BOND™ Rx.
undefined Image 20: Cadherin-Catenin Antibody Sampler Kit
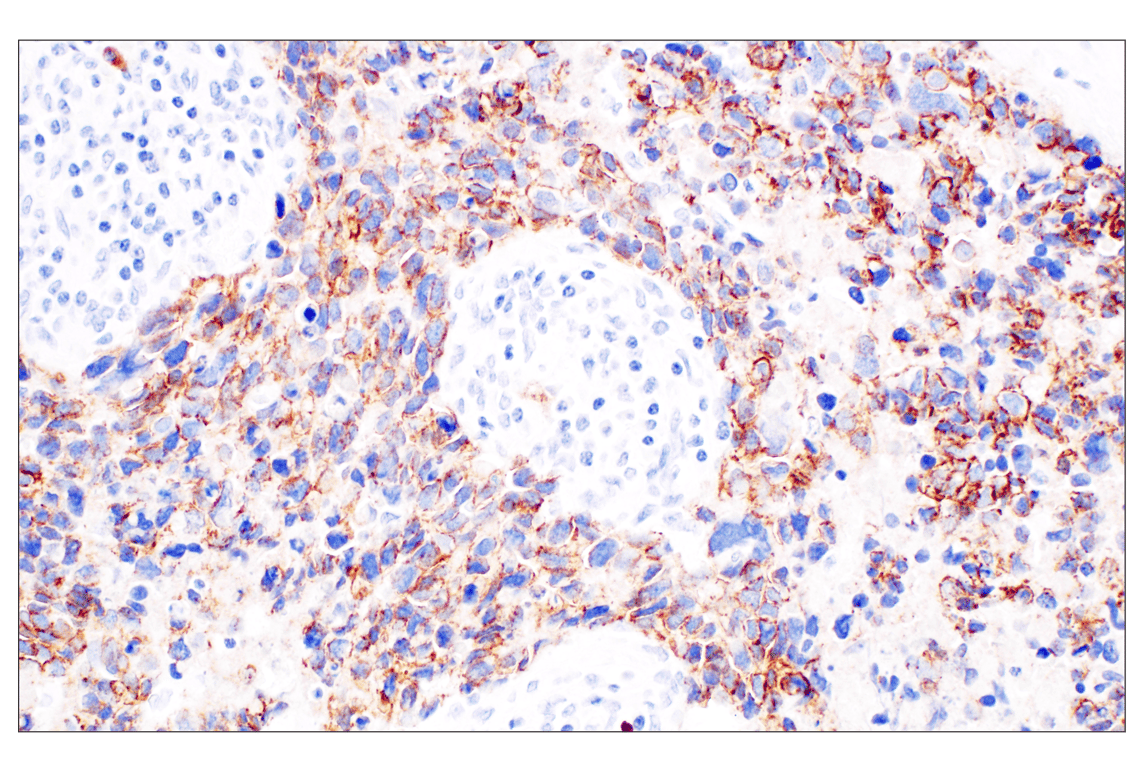
Immunohistochemical analysis of paraffin-embedded human urothelial carcinoma using P-Cadherin (C13F9) Rabbit mAb.
undefined Image 21: Cadherin-Catenin Antibody Sampler Kit
Orders: 877-616-CELL (2355) [email protected] Support: 877-678-TECH (8324) [email protected] Web: cellsignal.com
For Research Use Only. Not for Use in Diagnostic Procedures.

Revision 1

Cell Signaling Technology Logo
Immunohistochemical analysis of paraffin-embedded human lung carcinoma, using E-Cadherin (24E10) Rabbit mAb.
undefined Image 22: Cadherin-Catenin Antibody Sampler Kit
CUT&RUN was performed with HCT 116 cells and either β-Catenin (D10A8) XP® Rabbit mAb or Rabbit (DA1E) mAb IgG XP® Isotype Control (CUT&RUN) #66362, using CUT&RUN Assay Kit #86652. The enriched DNA was quantified by real-time PCR using SimpleChIP® Human Axin2 Intron 1 Primers #8973, SimpleChIP® Human CaMK2D Intron 3 Primers #5111 and SimpleChIP® Human α Satellite Repeat Primers #4486. The amount of immunoprecipitated DNA in each sample is represented as signal relative to the total amount of input chromatin, which is equivalent to one.
undefined Image 23: Cadherin-Catenin Antibody Sampler Kit
Immunohistochemical analysis of paraffin-embedded human serous adenocarcinoma of the ovary using ß-Catenin (D10A8) XP® Rabbit mAb performed on the Leica® BOND™ Rx.
undefined Image 24: Cadherin-Catenin Antibody Sampler Kit
Orders: 877-616-CELL (2355) [email protected] Support: 877-678-TECH (8324) [email protected] Web: cellsignal.com
For Research Use Only. Not for Use in Diagnostic Procedures.

Revision 1

Cell Signaling Technology Logo
Immunohistochemical analysis of paraffin-embedded human gastric carcinoma using N-Cadherin (D4R1H) XP® Rabbit mAb performed on the Leica® BOND™ Rx.
undefined Image 25: Cadherin-Catenin Antibody Sampler Kit

Simple Western™ analysis of lysates (1 mg/mL) from A431 cells using P-Cadherin (C13F9) Rabbit mAb #2189. The virtual lane view (left) shows the target band (as indicated) at 1:10 and 1:50 dilutions of primary antibody. The corresponding electropherogram view (right) plots chemiluminescence by molecular weight along the capillary at 1:10 (blue line) and 1:50 (green line) dilutions of primary antibody. This experiment was performed under reducing conditions on the Jess™ Simple Western instrument from ProteinSimple, a BioTechne brand, using the 12-230 kDa separation module.

undefined Image 26: Cadherin-Catenin Antibody Sampler Kit
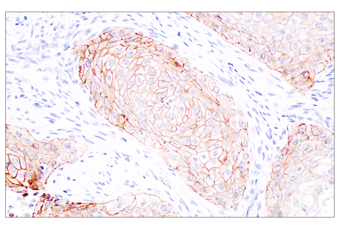
Esophagus N.34: Immunohistochemical analysis of paraffin-embedded normal human esophagus using P-Cadherin (C13F9) Rabbit mAb.
undefined Image 27: Cadherin-Catenin Antibody Sampler Kit
Orders: 877-616-CELL (2355) [email protected] Support: 877-678-TECH (8324) [email protected] Web: cellsignal.com
For Research Use Only. Not for Use in Diagnostic Procedures.

Revision 1

Cell Signaling Technology Logo
Immunohistochemical analysis of paraffin-embedded human metastatic adenocarcinoma in lymph node, using E-Cadherin (24E10) Rabbit mAb.
undefined Image 28: Cadherin-Catenin Antibody Sampler Kit
Immunohistochemical analysis of paraffin-embedded human colon adenocarcinoma using ß-Catenin (D10A8) XP® Rabbit mAb.
undefined Image 29: Cadherin-Catenin Antibody Sampler Kit
Immunohistochemical analysis of paraffin-embedded human colon using N-Cadherin (D4R1H) XP® Rabbit mAb. Note staining of myenteric plexus.
undefined Image 30: Cadherin-Catenin Antibody Sampler Kit
Orders: 877-616-CELL (2355) [email protected] Support: 877-678-TECH (8324) [email protected] Web: cellsignal.com
For Research Use Only. Not for Use in Diagnostic Procedures.

Revision 1

Cell Signaling Technology Logo
Immunohistochemical analysis of paraffin-embedded human tonsil using P-Cadherin (C13F9) Rabbit mAb (left) compared to concentration-matched Rabbit (DA1E) mAb IgG XP® Isotype Control #3900 (right).
undefined Image 31: Cadherin-Catenin Antibody Sampler Kit
Immunohistochemical analysis of paraffin-embedded mouse prostate using E-Cadherin (24E10) Rabbit mAb.
undefined Image 32: Cadherin-Catenin Antibody Sampler Kit
Immunohistochemical analysis of paraffin-embedded human lung carcinoma using β-Catenin (D10A8) XP® Rabbit mAb.
undefined Image 33: Cadherin-Catenin Antibody Sampler Kit
Orders: 877-616-CELL (2355) [email protected] Support: 877-678-TECH (8324) [email protected] Web: cellsignal.com
For Research Use Only. Not for Use in Diagnostic Procedures.

Revision 1

Cell Signaling Technology Logo
Immunohistochemical analysis of paraffin-embedded human ovarian carcinoma using N-Cadherin (D4R1H) XP® Rabbit mAb.
undefined Image 34: Cadherin-Catenin Antibody Sampler Kit
Immunohistochemical analysis of paraffin-embedded BT-20 cell pellet (left, positive) or NCI-H929 cell pellet (right, negative) using P-Cadherin (C13F9) Rabbit mAb.
undefined Image 35: Cadherin-Catenin Antibody Sampler Kit
Immunohistochemical analysis of paraffin-embedded mouse pancreas using E-Cadherin (24E10) Rabbit mAb.
undefined Image 36: Cadherin-Catenin Antibody Sampler Kit
Orders: 877-616-CELL (2355) [email protected] Support: 877-678-TECH (8324) [email protected] Web: cellsignal.com
For Research Use Only. Not for Use in Diagnostic Procedures.

Revision 1

Cell Signaling Technology Logo
Immunohistochemical analysis of paraffin-embedded human colon adenocarcinoma using ß-Catenin (D10A8) XP® Rabbit mAb.
undefined Image 37: Cadherin-Catenin Antibody Sampler Kit
Immunohistochemical analysis of paraffin-embedded A172 (positive, left) and MCF7 (negative, right) cell pellets using N-Cadherin (D4R1H) XP® Rabbit mAb.
undefined Image 38: Cadherin-Catenin Antibody Sampler Kit
Confocal immunofluorescent images of MCF7 cells using E-Cadherin (24E10) Rabbit mAb (green, left) compared to an isotype control (right). Blue pseudocolor = DRAQ5® (fluorescent DNA dye).
undefined Image 39: Cadherin-Catenin Antibody Sampler Kit
Orders: 877-616-CELL (2355) [email protected] Support: 877-678-TECH (8324) [email protected] Web: cellsignal.com
For Research Use Only. Not for Use in Diagnostic Procedures.

Revision 1

Cell Signaling Technology Logo
Immunohistochemical analysis of paraffin-embedded mouse small intestine using E-Cadherin (24E10) Rabbit mAb.
undefined Image 40: Cadherin-Catenin Antibody Sampler Kit
Immunohistochemical analysis of paraffin-embedded human colon carcinoma using β-Catenin (D10A8) XP® Rabbit mAb.
undefined Image 41: Cadherin-Catenin Antibody Sampler Kit
Confocal immunofluorescent analysis of A172 (positive, left) and MCF7 (negative, right) cells using N-Cadherin (D4R1H) XP® Rabbit mAb (green). Blue pseudocolor= DRAQ5® #4084 (fluorescent DNA dye).
undefined Image 42: Cadherin-Catenin Antibody Sampler Kit
Orders: 877-616-CELL (2355) [email protected] Support: 877-678-TECH (8324) [email protected] Web: cellsignal.com
For Research Use Only. Not for Use in Diagnostic Procedures.

Revision 1

Cell Signaling Technology Logo
Immunohistochemical analysis of paraffin-embedded mouse lung using E-Cadherin (24E10) Rabbit mAb.
undefined Image 43: Cadherin-Catenin Antibody Sampler Kit
Immunohistochemical analysis of paraffin-embedded human breast carcinoma using β-Catenin (D10A8) XP® Rabbit mAb.
undefined Image 44: Cadherin-Catenin Antibody Sampler Kit
Immunohistochemical analysis of paraffin-embedded mouse stomach using E-Cadherin (24E10) Rabbit mAb.
undefined Image 45: Cadherin-Catenin Antibody Sampler Kit
Orders: 877-616-CELL (2355) [email protected] Support: 877-678-TECH (8324) [email protected] Web: cellsignal.com
For Research Use Only. Not for Use in Diagnostic Procedures.

Revision 1

Cell Signaling Technology Logo
Immunohistochemical analysis of paraffin-embedded mouse colon using β-Catenin (D10A8) XP® Rabbit mAb in the presence of control peptide (left) or antigen-specific peptide (right).
undefined Image 46: Cadherin-Catenin Antibody Sampler Kit
Immunohistochemical analysis of paraffin-embedded human breast carcinoma, using E-Cadherin (24E10) Rabbit mAb in the presence of control peptide (left) or E-Cadherin Blocking Peptide #1056 (right).
undefined Image 47: Cadherin-Catenin Antibody Sampler Kit
Flow cytometric analysis of Jurkat cells (blue, negative) and MCF7 cells (green, positive) using E-Cadherin (24E10) Rabbit mAb (solid lines) or a concentration-matched Rabbit (DA1E) mAb IgG XP® Isotype Control #3900 (dashed lines). Anti-rabbit IgG (H+L), F(ab')₂ Fragment (Alexa Fluor® 488 Conjugate) #4412 was used as a secondary antibody.
undefined Image 48: Cadherin-Catenin Antibody Sampler Kit
Orders: 877-616-CELL (2355) [email protected] Support: 877-678-TECH (8324) [email protected] Web: cellsignal.com
For Research Use Only. Not for Use in Diagnostic Procedures.

Revision 1

Cell Signaling Technology Logo
Immunohistochemical analysis of paraffin-embedded cell pellets, HeLa (left) or NCI-H28 (right), using β-Catenin (D10A8) XP® Rabbit mAb.
undefined Image 49: Cadherin-Catenin Antibody Sampler Kit
Confocal immunofluorescent analysis of mouse colon using β-Catenin (D10A8) XP® Rabbit mAb (green). Actin filaments were labeled with DY-554 phalloidin (red). Blue pseudocolor = DRAQ5® #4084 (fluorescent DNA dye).
undefined Image 50: Cadherin-Catenin Antibody Sampler Kit
Confocal immunofluorescent analysis of HeLa (left) and NCI-H28 (right) cells using β-Catenin (D10A8) XP® Rabbit mAb (green). Blue pseudocolor = DRAQ5® #4084 (fluorescent DNA dye).
undefined Image 51: Cadherin-Catenin Antibody Sampler Kit
Orders: 877-616-CELL (2355) [email protected] Support: 877-678-TECH (8324) [email protected] Web: cellsignal.com
For Research Use Only. Not for Use in Diagnostic Procedures.

Revision 1

Cell Signaling Technology Logo
Flow cytometric analysis of NCI-H28 cells (green) and HeLa cells (blue) using β-Catenin (D10A8) XP® Rabbit mAb (solid lines) or concentration-matched Rabbit Isotype Control #3900 (dashed lines). Anti-rabbit IgG (H+L), F(ab')2 Fragment (Alexa Fluor® 488 Conjugate) #4412 was used as secondary antibody.
undefined Image 52: Cadherin-Catenin Antibody Sampler Kit
Chromatin immunoprecipitations were performed with cross-linked chromatin from HCT116 cells and either β-Catenin (D10A8) XP® Rabbit mAb or Non-phospho (Active) β-Catenin (Ser33/37/Thr41) (D13A1) Rabbit mAb #8814, using SimpleChIP® Enzymatic Chromatin IP Kit (Magnetic Beads) #9005. DNA Libraries were prepared using DNA Library Prep Kit for Illumina® (ChIP-seq, CUT&RUN) #56795. The figure shows binding across AXIN2, a known target gene of β-Catenin (see additional figure containing ChIP-qPCR data).
undefined Image 53: Cadherin-Catenin Antibody Sampler Kit
Chromatin immunoprecipitations were performed with cross-linked chromatin from HCT116 cells and either β-Catenin (D10A8) XP® Rabbit mAb or Non-phospho (Active) β-Catenin (Ser33/37/Thr41) (D13A1) Rabbit mAb #8814, using SimpleChIP® Enzymatic Chromatin IP Kit (Magnetic Beads) #9005. DNA Libraries were prepared using DNA Library Prep Kit for Illumina® (ChIP-seq, CUT&RUN) #56795. The figure shows binding across chromosome 17 (upper), including AXIN2 (lower), a known target gene of β-Catenin (see additional figure containing ChIP-qPCR data).
undefined Image 54: Cadherin-Catenin Antibody Sampler Kit
Orders: 877-616-CELL (2355) [email protected] Support: 877-678-TECH (8324) [email protected] Web: cellsignal.com
For Research Use Only. Not for Use in Diagnostic Procedures.

Revision 1

Cell Signaling Technology Logo
Chromatin immunoprecipitations were performed with cross-linked chromatin from HCT 116 cells and either β-Catenin (D10A8) XP® Rabbit mAb or Normal Rabbit IgG #2729 using SimpleChIP® Enzymatic Chromatin IP Kit (Magnetic Beads) #9003. The enriched DNA was quantified by real-time PCR using SimpleChIP® Human Axin2 Intron 1 Primers #8973, SimpleChIP® Human CaMK2D Intron 3 Primers #5111, human c-Myc promoter primers, and SimpleChIP® Human α Satellite Repeat Primers #4486. The amount of immunoprecipitated DNA in each sample is represented as signal relative to the total amount of input chromatin, which is equivalent to one.
undefined Image 55: Cadherin-Catenin Antibody Sampler Kit
Confocal immunofluorescent analysis of fixed frozen mouse liver labeled with N-Cadherin (D4R1H) XP® Rabbit mAb (green), DyLight 554 Phalloidin #13054 (red) and ProLong® Gold Antifade Reagent with DAPI #8961 (blue).
undefined Image 56: Cadherin-Catenin Antibody Sampler Kit
Confocal immunofluorescent analysis of fixed frozen mouse choroid plexus labeled with N-Cadherin (D4R1H) XP® Rabbit mAb (green) and ProLong® Gold Antifade Reagent with DAPI #8961 (blue).
undefined Image 57: Cadherin-Catenin Antibody Sampler Kit
Orders: 877-616-CELL (2355) [email protected] Support: 877-678-TECH (8324) [email protected] Web: cellsignal.com
For Research Use Only. Not for Use in Diagnostic Procedures.

Revision 1

Cell Signaling Technology Logo
Confocal immunofluorescent analysis of fixed frozen mouse heart labeled with N-Cadherin (D4R1H) XP® Rabbit mAb (green), DyLight 554 Phalloidin #13054 (red) and ProLong® Gold Antifade Reagent with DAPI #8961 (blue).
undefined Image 58: Cadherin-Catenin Antibody Sampler Kit
Flow cytometric analysis of live MCF7 cells (blue, negative) and A-431 cells (green, positive) using P-Cadherin (C13F9) Rabbit mAb (solid lines) or concentration-matched Rabbit (DA1E) mAb IgG XP® Isotype Control #3900 (dashed lines). Anti-rabbit IgG (H+L), F(ab')2 Fragment (Alexa Fluor® 488 Conjugate) #4412 was used as a secondary antibody.
undefined Image 59: Cadherin-Catenin Antibody Sampler Kit
Simple Western™ analysis of lysates (0.1 mg/mL) from MCF-7 cells using E-Cadherin (24E10) Rabbit mAb #3195. The virtual lane view (left) shows a single target band (as indicated) at 1:10 and 1:50 dilutions of primary antibody. The corresponding electropherogram view (right) plots chemiluminescence by molecular weight along the capillary at 1:10 (blue line) and 1:50 (green line) dilutions of primary antibody. This experiment was performed under reducing conditions on the Jess™ Simple Western instrument from ProteinSimple, a BioTechne brand, using the 12-230 kDa separation module.
undefined Image 60: Cadherin-Catenin Antibody Sampler Kit
Orders: 877-616-CELL (2355) [email protected] Support: 877-678-TECH (8324) [email protected] Web: cellsignal.com
For Research Use Only. Not for Use in Diagnostic Procedures.

Revision 1

Cell Signaling Technology Logo
Confocal immunofluorescent analysis of fixed frozen mouse small intestine using E-Cadherin (24E10) Rabbit mAb (green) and ProLong Gold Antifade Reagent with DAPI #8961 (blue).
undefined Image 61: Cadherin-Catenin Antibody Sampler Kit
Confocal immunofluorescent analysis of fixed frozen mouse pancreas using E-Cadherin (24E10) Rabbit mAb (green) and ProLong Gold Antifade Reagent with DAPI #8961 (blue).
undefined Image 62: Cadherin-Catenin Antibody Sampler Kit
Immunoprecipitation of β-Catenin from HeLa cell extracts. Lane 1 is 10% input, lane 2 is precipitated with Rabbit (DA1E) mAb IgG XP® Isotype Control #3900, and lane 3 is β-Catenin (D10A8) XP® Rabbit mAb, #8480. Western blot was performed using β-Catenin (15B8) Mouse mAb, #37447.
undefined Image 63: Cadherin-Catenin Antibody Sampler Kit
Orders: 877-616-CELL (2355) [email protected] Support: 877-678-TECH (8324) [email protected] Web: cellsignal.com
For Research Use Only. Not for Use in Diagnostic Procedures.

Revision 1

Cell Signaling Technology Logo
Simple Western™ analysis of lysates (0.1 mg/mL) from HeLa cells using β-Catenin (D10A8) XP® Rabbit mAb #8480. The virtual lane view (left) shows the target band (as indicated) at 1:10 and 1:50 dilutions of primary antibody. The corresponding electropherogram view (right) plots chemiluminescence by molecular weight along the capillary at 1:10 (blue line) and 1:50 (green line) dilutions of primary antibody. This experiment was performed under reducing conditions on the Jess™ ​​​​​​​ Simple Western instrument from ProteinSimple, a BioTechne brand, using the 12-230 kDa separation module.
undefined Image 64: Cadherin-Catenin Antibody Sampler Kit
Orders: 877-616-CELL (2355) [email protected] Support: 877-678-TECH (8324) [email protected] Web: cellsignal.com
For Research Use Only. Not for Use in Diagnostic Procedures.