Revision 1

#14866

Store at -20C

CST Logo
Orders:

877-616-CELL (2355)

[email protected]

Support:

877-678-TECH (8324)

3 Trask Lane | Danvers | Massachusetts | 01923 | USA

For Research Use Only. Not for Use in Diagnostic Procedures.

Applications:
W, IP

Reactivity:
H M R Mk

Sensitivity:
Endogenous

MW (kDa):
51

Source/Isotype:
Rabbit IgG

UniProt ID:
#Q12834

Entrez-Gene Id:
991

Product Usage Information

Application Dilution
Western Blotting 1:1000
Immunoprecipitation 1:200

Storage

Supplied in 10 mM sodium HEPES (pH 7.5), 150 mM NaCl, 100 µg/ml BSA and 50% glycerol. Store at –20°C. Do not aliquot the antibody.

Specificity/Sensitivity

CDC20 (D6C2Q) Rabbit Monoclonal Antibody recognizes endogenous levels of total CDC20 protein. This antibody does not cross-react with FZR1 protein.

Source / Purification

Monoclonal antibody is produced by immunizing animals with a synthetic peptide corresponding to residues near the amino terminus of human CDC20 protein.

Background

The cell division cycle demands accuracy to avoid the accumulation of genetic damage. This process is controlled by molecular circuits called "checkpoints" that are common to all eukaryotic cells (1). Checkpoints monitor DNA integrity and cell growth prior to replication and division at the G1/S and G2/M transitions, respectively. The cdc2-cyclin B kinase is pivotal in regulating the G2/M transition (2,3). Cdc2 is phosphorylated at Thr14 and Tyr15 during G2-phase by the kinases Wee1 and Myt1, rendering it inactive. The tumor suppressor protein retinoblastoma (Rb) controls progression through the late G1 restriction point (R) and is a major regulator of the G1/S transition (4). During early and mid G1-phase, Rb binds to and represses the transcription factor E2F (5). The phosphorylation of Rb late in G1-phase by CDKs induces Rb to dissociate from E2F, permitting the transcription of S-phase-promoting genes. In vitro, Rb can be phosphorylated at multiple sites by cdc2, cdk2, and cdk4/6 (6-8). DNA damage triggers both the G2/M and the G1/S checkpoints. DNA damage activates the DNA-PK/ATM/ATR kinases, which phosphorylate Chk at Ser345 (9), Chk2 at Thr68 (10) and p53 (11). The Chk kinases inactivate cdc25 via phosphorylation at Ser216, blocking the activation of cdc2.
CDC20 binds to and activates the APC/C during mitosis and G1 phase of the cell cycle (12). Moreover, CDC20 is necessary for ubiquitin ligase activity of the APC/C. In metaphase MAD2L1 inactivates the CDC20-APC/C complex, while in anaphase this inhibition is lost and CDC20-APC/C degrades its substrates (13). p53 and p21 suppress expression of CDC20 upon genotoxic stresses and ectopic introduction of p53. siRNA mediated knock-down of CDC20 in cancer cells leads to attenuated cell growth and induces G2/M arrest, suggesting that CDC20 is a possible therapeutic target of cancer (14). Organization of neuronal circuits requires presynaptic axonal differentiation and synapse formation. CDC20-APC regulates presynaptic differentiation in post-mitotic neurons by triggering the required degradation of the transcription factor NeuroD2 (15).

Species Reactivity

Species reactivity is determined by testing in at least one approved application (e.g., western blot).

Western Blot Buffer

IMPORTANT: For western blots, incubate membrane with diluted primary antibody in 5% w/v nonfat dry milk, 1X TBS, 0.1% Tween® 20 at 4°C with gentle shaking, overnight.

Applications Key

W: Western Blotting IP: Immunoprecipitation

Cross-Reactivity Key

H: Human M: Mouse R: Rat Mk: Monkey

Trademarks and Patents

Cell Signaling Technology is a trademark of Cell Signaling Technology, Inc.

All other trademarks are the property of their respective owners. Visit cellsignal.com/trademarks for more information.

Limited Uses

Except as otherwise expressly agreed in a writing signed by a legally authorized representative of CST, the following terms apply to Products provided by CST, its affiliates or its distributors. Any Customer's terms and conditions that are in addition to, or different from, those contained herein, unless separately accepted in writing by a legally authorized representative of CST, are rejected and are of no force or effect.

Products are labeled with For Research Use Only or a similar labeling statement and have not been approved, cleared, or licensed by the FDA or other regulatory foreign or domestic entity, for any purpose. Customer shall not use any Product for any diagnostic or therapeutic purpose, or otherwise in any manner that conflicts with its labeling statement. Products sold or licensed by CST are provided for Customer as the end-user and solely for research and development uses. Any use of Product for diagnostic, prophylactic or therapeutic purposes, or any purchase of Product for resale (alone or as a component) or other commercial purpose, requires a separate license from CST. Customer shall (a) not sell, license, loan, donate or otherwise transfer or make available any Product to any third party, whether alone or in combination with other materials, or use the Products to manufacture any commercial products, (b) not copy, modify, reverse engineer, decompile, disassemble or otherwise attempt to discover the underlying structure or technology of the Products, or use the Products for the purpose of developing any products or services that would compete with CST products or services, (c) not alter or remove from the Products any trademarks, trade names, logos, patent or copyright notices or markings, (d) use the Products solely in accordance with CST Product Terms of Sale and any applicable documentation, and (e) comply with any license, terms of service or similar agreement with respect to any third party products or services used by Customer in connection with the Products.

Orders: 877-616-CELL (2355) [email protected] Support: 877-678-TECH (8324) [email protected] Web: cellsignal.com
For Research Use Only. Not for Use in Diagnostic Procedures.

Revision 1

Cell Signaling Technology Logo
Western blot analysis of extracts from various cell lines using CDC20 (D6C2Q) Rabbit mAb.
Western Blotting Image 1: CDC20 (D6C2Q) Rabbit Monoclonal Antibody
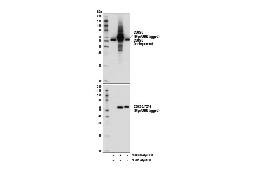
Western blot analysis of extracts from 293T cells, mock transfected (-) or transfected with constructs expressing Myc/DDK-tagged full-length human CDC20 protein (hCDC20-Myc/DDK; +) and Myc/DDK-tagged full-length human FZR1 protein (hFZR1-Myc/DDK; +), using CDC20 (D6C2Q) Rabbit mAb (upper) and DYKDDDDK Tag Antibody #2368 (lower).
Western Blotting Image 2: CDC20 (D6C2Q) Rabbit Monoclonal Antibody
Immunoprecipitation of CDC20 from 293T cell extracts using Rabbit (DA1E) mAb IgG XP® Isotype Control #3900 (lane 2) or CDC20 (D6C2Q) Rabbit mAb (lane 3). Lane 1 is 10% input. Western blot analysis was performed using CDC20 (D6C2Q) Rabbit mAb.
Immunoprecipitation Image 1: CDC20 (D6C2Q) Rabbit Monoclonal Antibody
Orders: 877-616-CELL (2355) [email protected] Support: 877-678-TECH (8324) [email protected] Web: cellsignal.com
For Research Use Only. Not for Use in Diagnostic Procedures.