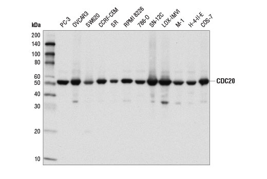
CDC20 (D6C2Q) Rabbit Monoclonal Antibody #14866
- WB
- IP
Product Specifications
| REACTIVITY | H M R Mk |
| SENSITIVITY | Endogenous |
| MW (kDa) | 51 |
| Source/Isotype | Rabbit IgG |
Application Key:
- WB-Western Blotting
- IP-Immunoprecipitation
Species Cross-Reactivity Key:
- H-Human
- M-Mouse
- R-Rat
- Mk-Monkey
Product Information
Product Usage Information
| Application | Dilution |
|---|---|
| Western Blotting | 1:1000 |
| Immunoprecipitation | 1:200 |
Storage
Protocol
Specificity / Sensitivity
Species Reactivity:
Source / Purification
Background
CDC20 binds to and activates the APC/C during mitosis and G1 phase of the cell cycle (12). Moreover, CDC20 is necessary for ubiquitin ligase activity of the APC/C. In metaphase MAD2L1 inactivates the CDC20-APC/C complex, while in anaphase this inhibition is lost and CDC20-APC/C degrades its substrates (13). p53 and p21 suppress expression of CDC20 upon genotoxic stresses and ectopic introduction of p53. siRNA mediated knock-down of CDC20 in cancer cells leads to attenuated cell growth and induces G2/M arrest, suggesting that CDC20 is a possible therapeutic target of cancer (14). Organization of neuronal circuits requires presynaptic axonal differentiation and synapse formation. CDC20-APC regulates presynaptic differentiation in post-mitotic neurons by triggering the required degradation of the transcription factor NeuroD2 (15).
- Nurse, P. (1997) Cell 91, 865-7.
- Norbury, C. and Nurse, P. (1992) Annu Rev Biochem 61, 441-70.
- Watanabe, N. et al. (1995) EMBO J 14, 1878-91.
- Sherr, C.J. (1996) Science 274, 1672-7.
- Dyson, N. (1998) Genes Dev 12, 2245-62.
- Kitagawa, M. et al. (1996) EMBO J 15, 7060-9.
- Lundberg, A.S. and Weinberg, R.A. (1998) Mol Cell Biol 18, 753-61.
- Harbour, J.W. et al. (1999) Cell 98, 859-69.
- Zhao, H. and Piwnica-Worms, H. (2001) Mol Cell Biol 21, 4129-39.
- Matsuoka, S. et al. (2000) Proc Natl Acad Sci USA 97, 10389-94.
- Tibbetts, R.S. et al. (1999) Genes Dev 13, 152-7.
- Fang, G. et al. (1998) Mol Cell 2, 163-71.
- Fang, G. et al. (1998) Genes Dev 12, 1871-83.
- Kidokoro, T. et al. (2008) Oncogene 27, 1562-71.
- Yang, Y. et al. (2009) Science 326, 575-8.
Alternate Names
bA276H19.3; CDC20; CDC20 cell division cycle 20 homolog; CDC20A; cell division cycle 20; cell division cycle 20 homolog; cell division cycle 20 homolog (S. cerevisiae); Cell division cycle protein 20 homolog; MGC102824; p55CDC
Limited Uses
Except as otherwise expressly agreed in a writing signed by a legally authorized representative of CST, the following terms apply to Products provided by CST, its affiliates or its distributors. Any Customer's terms and conditions that are in addition to, or different from, those contained herein, unless separately accepted in writing by a legally authorized representative of CST, are rejected and are of no force or effect.
Products are labeled with For Research Use Only or a similar labeling statement and have not been approved, cleared, or licensed by the FDA or other regulatory foreign or domestic entity, for any purpose. Customer shall not use any Product for any diagnostic or therapeutic purpose, or otherwise in any manner that conflicts with its labeling statement. Products sold or licensed by CST are provided for Customer as the end-user and solely for research and development uses. Any use of Product for diagnostic, prophylactic or therapeutic purposes, or any purchase of Product for resale (alone or as a component) or other commercial purpose, requires a separate license from CST. Customer shall (a) not sell, license, loan, donate or otherwise transfer or make available any Product to any third party, whether alone or in combination with other materials, or use the Products to manufacture any commercial products, (b) not copy, modify, reverse engineer, decompile, disassemble or otherwise attempt to discover the underlying structure or technology of the Products, or use the Products for the purpose of developing any products or services that would compete with CST products or services, (c) not alter or remove from the Products any trademarks, trade names, logos, patent or copyright notices or markings, (d) use the Products solely in accordance with CST Product Terms of Sale and any applicable documentation, and (e) comply with any license, terms of service or similar agreement with respect to any third party products or services used by Customer in connection with the Products.