Revision 1

#9868

Store at -20C

CDK Antibody Sampler Kit

1 Kit

(6 x 20 microliters)

CST Logo
Orders:

877-616-CELL (2355)

[email protected]

Support:

877-678-TECH (8324)

3 Trask Lane | Danvers | Massachusetts | 01923 | USA

For Research Use Only. Not for Use in Diagnostic Procedures.

Product Includes Product # Quantity Mol. Wt Isotype/Source
cdc2 (POH1) Mouse Monoclonal Antibody911620 µl34 kDaMouse IgG2a
CDK2 (78B2) Rabbit Monoclonal Antibody254620 µl33 kDaRabbit
CDK4 (D9G3E) Rabbit Monoclonal Antibody1279020 µl30 kDaRabbit IgG
CDK6 (D4S8S) Rabbit Monoclonal Antibody1333120 µl36 kDaRabbit IgG
CDK7 (MO1) Mouse Monoclonal Antibody291620 µl40 kDaMouse IgG2b
CDK9 (C12F7) Rabbit Monoclonal Antibody231620 µl42, 55 kDaRabbit IgG
Anti-rabbit IgG, HRP-linked Antibody7074100 µlGoat
Anti-mouse IgG, HRP-linked Antibody7076100 µlHorse

Please visit cellsignal.com for individual component applications, species cross-reactivity, dilutions, protocols, and additional product information.

Description

The CDK Antbody Sampler Kit provides and economical means of evaluating Cdk proteins. The kit contains enough primary and secondary antibodies to perform two western blot experiments.

Storage

Supplied in 10 mM sodium HEPES (pH 7.5), 150 mM NaCl, 100 µg/ml BSA, 50% glycerol and less than 0.02% sodium azide. Store at –20°C. Do not aliquot the antibody.

Background

Cyclin-dependent kinases (CDKs) are the core effectors of cell cycle progression. CDK activity is regulated through association with their cyclin partners and cyclin-dependent kinase inhibitors (CKIs) as well as by activating and inhibitory phosphorylation events. Inhibition is mediated by Wee1 and Myt1 kinases that target residues at the amino terminus of CDK1 (1,2). Dephosphorylation of these residues by cdc25 phosphatase leads to activation of CDK kinase activity (3). The CDK7/cyclinH complex is the ubiquitous mammalian CDK-activating kinase (CAK) that phosphorylates a conserved threonine residue in the T-loop domain of CDKs. The carboxy-terminal domain of RNA polymerase II is also a target of CAK as well as CDK9/cyclinT (4,5). CDK4/6 associate with cyclinD and phosphorylate retinoblastoma protein and initiate progression through the restriction point in G1 (6). CDK2 associates with cyclinE in early S phase and cyclinA later in G2. CDK1/cyclinB regulates the initiation of mitotic events (7).

Trademarks and Patents

Cell Signaling Technology is a trademark of Cell Signaling Technology, Inc.

All other trademarks are the property of their respective owners. Visit cellsignal.com/trademarks for more information.

Limited Uses

Except as otherwise expressly agreed in a writing signed by a legally authorized representative of CST, the following terms apply to Products provided by CST, its affiliates or its distributors. Any Customer's terms and conditions that are in addition to, or different from, those contained herein, unless separately accepted in writing by a legally authorized representative of CST, are rejected and are of no force or effect.

Products are labeled with For Research Use Only or a similar labeling statement and have not been approved, cleared, or licensed by the FDA or other regulatory foreign or domestic entity, for any purpose. Customer shall not use any Product for any diagnostic or therapeutic purpose, or otherwise in any manner that conflicts with its labeling statement. Products sold or licensed by CST are provided for Customer as the end-user and solely for research and development uses. Any use of Product for diagnostic, prophylactic or therapeutic purposes, or any purchase of Product for resale (alone or as a component) or other commercial purpose, requires a separate license from CST. Customer shall (a) not sell, license, loan, donate or otherwise transfer or make available any Product to any third party, whether alone or in combination with other materials, or use the Products to manufacture any commercial products, (b) not copy, modify, reverse engineer, decompile, disassemble or otherwise attempt to discover the underlying structure or technology of the Products, or use the Products for the purpose of developing any products or services that would compete with CST products or services, (c) not alter or remove from the Products any trademarks, trade names, logos, patent or copyright notices or markings, (d) use the Products solely in accordance with CST Product Terms of Sale and any applicable documentation, and (e) comply with any license, terms of service or similar agreement with respect to any third party products or services used by Customer in connection with the Products.

Orders: 877-616-CELL (2355) [email protected] Support: 877-678-TECH (8324) [email protected] Web: cellsignal.com
For Research Use Only. Not for Use in Diagnostic Procedures.

Revision 1

Cell Signaling Technology Logo
Western blot analysis of extracts from various cell lines using CDK4 (D9G3E) Rabbit mAb.
undefined Image 1: CDK Antibody Sampler Kit
Western blot analysis of extracts from HeLa, Jurkat, and COS-7 cells using CDK6 (D4S8S) Rabbit mAb.
undefined Image 2: CDK Antibody Sampler Kit
Western blot analysis of extracts from various cell types using CDK9 (C12F7) Rabbit mAb.
undefined Image 3: CDK Antibody Sampler Kit
Orders: 877-616-CELL (2355) [email protected] Support: 877-678-TECH (8324) [email protected] Web: cellsignal.com
For Research Use Only. Not for Use in Diagnostic Procedures.

Revision 1

Cell Signaling Technology Logo
CUT&RUN was performed with HeLa cells and CDK9 (C12F7) Rabbit mAb, using CUT&RUN Assay Kit #86652. DNA Library was prepared using DNA Library Prep Kit for Illumina® (ChIP-seq, CUT&RUN) #56795. The figure shows binding across the SLC25A25 gene.
undefined Image 4: CDK Antibody Sampler Kit
Western blot analysis of extracts from HeLa, NIH/3T3, C6 and COS cells, using CDK2 (78B2) Rabbit mAb.
undefined Image 5: CDK Antibody Sampler Kit
Western blot analysis of extracts from various cell lines using CDK7 (MO1) Mouse mAb.
undefined Image 6: CDK Antibody Sampler Kit
Orders: 877-616-CELL (2355) [email protected] Support: 877-678-TECH (8324) [email protected] Web: cellsignal.com
For Research Use Only. Not for Use in Diagnostic Procedures.

Revision 1

Cell Signaling Technology Logo
After the primary antibody is bound to the target protein, a complex with HRP-linked secondary antibody is formed. The LumiGLO® is added and emits light during enzyme catalyzed decomposition.
undefined Image 7: CDK Antibody Sampler Kit
After the primary antibody is bound to the target protein, a complex with HRP-linked secondary antibody is formed. The LumiGLO* is added and emits light during enzyme catalyzed decomposition.
undefined Image 8: CDK Antibody Sampler Kit
Western blot analysis of extracts from HeLa cells synchronized at various stages of the cell cycle, using cdc2 (POH1) Mouse mAb.
undefined Image 9: CDK Antibody Sampler Kit
Orders: 877-616-CELL (2355) [email protected] Support: 877-678-TECH (8324) [email protected] Web: cellsignal.com
For Research Use Only. Not for Use in Diagnostic Procedures.

Revision 1

Cell Signaling Technology Logo
Immunohistochemical analysis of paraffin-embedded human breast carcinoma using CDK4 (D9G3E) Rabbit mAb.
undefined Image 10: CDK Antibody Sampler Kit
Immunoprecipitation of CDK6 from HeLa cell extracts using Rabbit (DA1E) mAb IgG XP® Isotype Control #3900 (lane 2) or CDK6 (D4S8S) Rabbit mAb (lane 3). Lane 1 is 10% input. Western blot was performed using CDK6 (DCS83) Mouse mAb #3136.
undefined Image 11: CDK Antibody Sampler Kit
Immunoprecipitation of CDK9 from HeLa cells using CDK9 (C12F7) Rabbit mAb. Western blot detection was performed using the same antibody. Lane 1 is 5% input.
undefined Image 12: CDK Antibody Sampler Kit
Orders: 877-616-CELL (2355) [email protected] Support: 877-678-TECH (8324) [email protected] Web: cellsignal.com
For Research Use Only. Not for Use in Diagnostic Procedures.

Revision 1

Cell Signaling Technology Logo
CUT&RUN was performed with HeLa cells and CDK9 (C12F7) Rabbit mAb, using CUT&RUN Assay Kit #86652. DNA Library was prepared using DNA Library Prep Kit for Illumina® (ChIP-seq, CUT&RUN) #56795. The figures show binding across chromosome 9 (upper), including the SLC25A25 gene (lower).
undefined Image 13: CDK Antibody Sampler Kit
Flow cytometric analysis of Jurkat cells using CDK2 (78B2) Rabbit mAb (right) and Propidium Iodide (PI)/RNase Staining Solution #4087, compared to a secondary only sample (left). Anti-rabbit IgG (H+L), F(ab')2 Fragment (Alexa Fluor® 488 Conjugate) #4412 was used as a secondary antibody.
undefined Image 14: CDK Antibody Sampler Kit
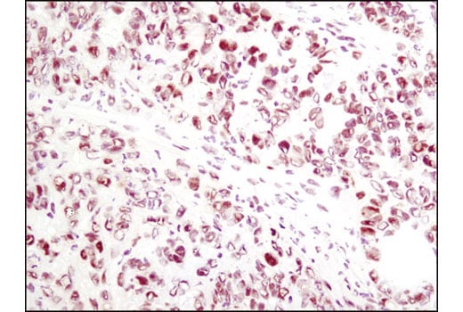
Immunohistochemical analysis of paraffin-embedded human breast carcinoma, showing nuclear localization, using CDK7 (MO1) Mouse mAb.
undefined Image 15: CDK Antibody Sampler Kit
Orders: 877-616-CELL (2355) [email protected] Support: 877-678-TECH (8324) [email protected] Web: cellsignal.com
For Research Use Only. Not for Use in Diagnostic Procedures.

Revision 1

Cell Signaling Technology Logo
Confocal immunofluorescent analysis of HT-29 cells, transfected with SignalSilence® Control siRNA (Unconjugated) #6568 (left), SignalSilence® cdc2 siRNA I (center) or SignalSilence® cdc2 siRNA II (right), using cdc2 (POH1) Mouse mAb (green). Blue pseudocolor = DRAQ5® #4084 (fluorescent DNA dye).
undefined Image 16: CDK Antibody Sampler Kit
Immunohistochemical analysis of paraffin-embedded human lung carcinoma using CDK4 (D9G3E) Rabbit mAb in the presence of control peptide (left) or antigen-specific peptide (right).
undefined Image 17: CDK Antibody Sampler Kit
CUT&RUN was performed with HeLa cells and either CDK9 (C12F7) Rabbit mAb or Rabbit (DA1E) mAb IgG XP® Isotype Control (CUT&RUN) #66362, using CUT&RUN Assay Kit #86652. The enriched DNA was quantified by real-time PCR using human SLC25A25 promoter primers and Myc intron 1 primers. The amount of immunoprecipitated DNA in each sample is represented as signal relative to the total amount of input chromatin, which is equivalent to one.
undefined Image 18: CDK Antibody Sampler Kit
Orders: 877-616-CELL (2355) [email protected] Support: 877-678-TECH (8324) [email protected] Web: cellsignal.com
For Research Use Only. Not for Use in Diagnostic Procedures.

Revision 1

Cell Signaling Technology Logo
Immunohistochemical analysis of paraffin-embedded human breast carcinoma using CDK9 (C12F7) Rabbit mAb in the presence of control peptide (left) or antigen specific peptide (right).
undefined Image 19: CDK Antibody Sampler Kit
Confocal immunofluorescent analysis of MCF7 cells using CDK4 (D9G3E) Rabbit mAb (green), p21 Waf1/Cip1 (12D1) Rabbit mAb (Alexa Fluor® 555 Conjugate) #8493 (red), and Phospho-Histone H3 (Ser10) (D2C8) XP® Rabbit mAb (Alexa Fluor® 647 Conjugate) #3458 (blue pseudocolor).
undefined Image 20: CDK Antibody Sampler Kit
Immunohistochemical analysis of paraffin-embedded K7M2 mouse syngeneic tumor using CDK9 (C12F7) Rabbit mAb.
undefined Image 21: CDK Antibody Sampler Kit
Orders: 877-616-CELL (2355) [email protected] Support: 877-678-TECH (8324) [email protected] Web: cellsignal.com
For Research Use Only. Not for Use in Diagnostic Procedures.

Revision 1

Cell Signaling Technology Logo
Flow cytometric analysis of Jurkat cells using CDK4 (D9G3E) Rabbit mAb (right) and Propidium Iodide (PI)/RNase Staining Solution #4087, compared to concentration-matched Rabbit (DA1E) mAb IgG XP® Isotype Control #3900 (left). Anti-rabbit IgG (H+L), F(ab')2 Fragment (Alexa Fluor® 488 Conjugate) #4412 was used as a secondary antibody.
undefined Image 22: CDK Antibody Sampler Kit
Immunohistochemical analysis of frozen SKOV-3 xenograft using CDK9 (C12F7) Rabbit mAb.
undefined Image 23: CDK Antibody Sampler Kit
Confocal immunofluorescent analysis of HeLa cells using CDK9 (C12F7) Rabbit mAb (green). Actin filaments have been labeled with DY-555 phalloidin (red).
undefined Image 24: CDK Antibody Sampler Kit
Orders: 877-616-CELL (2355) [email protected] Support: 877-678-TECH (8324) [email protected] Web: cellsignal.com
For Research Use Only. Not for Use in Diagnostic Procedures.

Revision 1

Cell Signaling Technology Logo
Flow cytometric analysis of HeLa cells using CDK9 (C12F7) Rabbit mAb (solid line) compared to concentration-matched Rabbit (DA1E) mAb IgG XP® Isotype Control #3900 (dashed line). Anti-rabbit IgG (H+L), F(ab')2 Fragment (Alexa Fluor® 488 Conjugate) #4412 was used as a secondary antibody.
undefined Image 25: CDK Antibody Sampler Kit
Simple Western™ analysis of lysates (0.1 mg/mL) from COS-7 cells using CDK6 (D4S8S) Rabbit mAb #13331. The virtual lane view (left) shows the target band (as indicated) at 1:10 and 1:50 dilutions of primary antibody. The corresponding electropherogram view (right) plots chemiluminescence by molecular weight along the capillary at 1:10 (blue line) and 1:50 (green line) dilutions of primary antibody. This experiment was performed under reducing conditions on the Jess™ Simple Western instrument from ProteinSimple, a BioTechne brand, using the 12-230 kDa separation module.
undefined Image 26: CDK Antibody Sampler Kit
Confocal immunofluorescent analysis of T98G cells (left, positive) or VCaP cells (right, negative) using CDK6 (D4S8S) Rabbit mAb (green), DyLight™ 650 Phalloidin #12956 (red), and DAPI #4083 (blue).
undefined Image 27: CDK Antibody Sampler Kit
Orders: 877-616-CELL (2355) [email protected] Support: 877-678-TECH (8324) [email protected] Web: cellsignal.com
For Research Use Only. Not for Use in Diagnostic Procedures.

Revision 1

Cell Signaling Technology Logo
Enhanced cross-linking and immunoprecipitation (eCLIP) was performed with RNA from Hep G2 cells and CDK9 (C12F7) Rabbit mAb using a protocol based on the RBP-eCLIP method from Eclipsebio. The figure shows binding across the PUM2 transcript. Data is kindly provided by the laboratory of Dr. Gene Yeo and used with permission.
undefined Image 28: CDK Antibody Sampler Kit
Simple Western™ analysis of lysates (1.0 mg/mL) from HeLa cells using CDK2 (78B2) Rabbit mAb #2546. The virtual lane view (left) shows a single target band (as indicated) at 1:10 and 1:50 dilutions of primary antibody. The corresponding electropherogram view (right) plots chemiluminescence by molecular weight along the capillary at 1:10 (blue line) and 1:50 (green line) dilutions of primary antibody. This experiment was performed under reducing conditions on the Jess™ Simple Western instrument from ProteinSimple, a BioTechne brand, using the 12-230 kDa separation module.
undefined Image 29: CDK Antibody Sampler Kit
Immunoprecipitation of CDK7 protein from HeLa cell extracts. Lane 1 is 10% input, lane 2 is Mouse (E7Q5L) mAb IgG2b Isotype Control #53484, and lane 3 is CDK7 (MO1) Mouse mAb. Western blot analysis was performed using CDK7 (E4K4W) Rabbit mAb #42863.
undefined Image 30: CDK Antibody Sampler Kit
Orders: 877-616-CELL (2355) [email protected] Support: 877-678-TECH (8324) [email protected] Web: cellsignal.com
For Research Use Only. Not for Use in Diagnostic Procedures.