Revision 9

#36468

Store at +4C

CST Logo
Orders:

877-616-CELL (2355)

[email protected]

Support:

877-678-TECH (8324)

3 Trask Lane | Danvers | Massachusetts | 01923 | USA

For Research Use Only. Not for Use in Diagnostic Procedures.

Applications:
IHC-Bond, IHC-P

Reactivity:
H

Sensitivity:
Endogenous

Source/Isotype:
Mouse IgG1

UniProt ID:
#P10645

Entrez-Gene Id:
1113

Product Usage Information

Application Dilution
IHC Leica Bond 1:100 - 1:400
Immunohistochemistry (Paraffin) 1:100 - 1:400

Storage

Supplied as liquid tissue culture supernatant containing sodium azide as a preservative. Stable for 12 months when stored at 4°C. Do not aliquot the antibody.

Note: This product is only available in the format listed above. We are unable to provide this in a carrier free, custom formulation.

Specificity/Sensitivity

CHGA (5H7) Mouse Monoclonal Antibody recognizes endogenous levels of CHGA protein.

Source / Purification

Monoclonal antibody is produced by immunizing animals with a prokaryotic recombinant fusion protein corresponding to part of the central region of CHGA protein.

Background

Chromogranin A (CHGA) and Chromogranin B (CHGB) are members of the chromogranin/secretogranin family of neuroendocrine secretory proteins. They reside in the secretory vesicles of neurons and endocrine cells and are debated to regulate cargo in the secretory pathway (1,2).CHGA is also useful as a serological and immunohistological marker for the presence of neuroendocrine tumors (NETs) from various tissue sources (3,4). CHGA may also be useful for the assessment of disease progression (5,6).

Species Reactivity

Species reactivity is determined by testing in at least one approved application (e.g., western blot).

Applications Key

IHC-Bond: IHC Leica Bond IHC-P: Immunohistochemistry (Paraffin)

Cross-Reactivity Key

H: Human

Trademarks and Patents

Cell Signaling Technology is a trademark of Cell Signaling Technology, Inc.

SignalStain is a registered trademark of Cell Signaling Technology, Inc.

All other trademarks are the property of their respective owners. Visit cellsignal.com/trademarks for more information.

Limited Uses

Except as otherwise expressly agreed in a writing signed by a legally authorized representative of CST, the following terms apply to Products provided by CST, its affiliates or its distributors. Any Customer's terms and conditions that are in addition to, or different from, those contained herein, unless separately accepted in writing by a legally authorized representative of CST, are rejected and are of no force or effect.

Products are labeled with For Research Use Only or a similar labeling statement and have not been approved, cleared, or licensed by the FDA or other regulatory foreign or domestic entity, for any purpose. Customer shall not use any Product for any diagnostic or therapeutic purpose, or otherwise in any manner that conflicts with its labeling statement. Products sold or licensed by CST are provided for Customer as the end-user and solely for research and development uses. Any use of Product for diagnostic, prophylactic or therapeutic purposes, or any purchase of Product for resale (alone or as a component) or other commercial purpose, requires a separate license from CST. Customer shall (a) not sell, license, loan, donate or otherwise transfer or make available any Product to any third party, whether alone or in combination with other materials, or use the Products to manufacture any commercial products, (b) not copy, modify, reverse engineer, decompile, disassemble or otherwise attempt to discover the underlying structure or technology of the Products, or use the Products for the purpose of developing any products or services that would compete with CST products or services, (c) not alter or remove from the Products any trademarks, trade names, logos, patent or copyright notices or markings, (d) use the Products solely in accordance with CST Product Terms of Sale and any applicable documentation, and (e) comply with any license, terms of service or similar agreement with respect to any third party products or services used by Customer in connection with the Products.

Orders: 877-616-CELL (2355) [email protected] Support: 877-678-TECH (8324) [email protected] Web: cellsignal.com
For Research Use Only. Not for Use in Diagnostic Procedures.

Revision 9

Cell Signaling Technology Logo
Immunohistochemical analysis of paraffin-embedded human gastric adenocarcinoma using CHGA (5H7) Mouse mAb performed on the Leica® BOND™ Rx.
Immunohistochemistry Image 1: CHGA (5H7) Mouse Monoclonal Antibody
Immunohistochemical analysis of paraffin-embedded human prostate carcinoma using CHGA (5H7) Mouse mAb performed on the Leica® BOND™ Rx.
Immunohistochemistry Image 2: CHGA (5H7) Mouse Monoclonal Antibody
Immunohistochemical analysis of paraffin-embedded normal human parathyroid using CHGA (5H7) Mouse mAb.
Immunohistochemistry Image 1: CHGA (5H7) Mouse Monoclonal Antibody
Orders: 877-616-CELL (2355) [email protected] Support: 877-678-TECH (8324) [email protected] Web: cellsignal.com
For Research Use Only. Not for Use in Diagnostic Procedures.

Revision 9

Cell Signaling Technology Logo
Immunohistochemical analysis of paraffin-embedded normal human pancreas using CHGA (5H7) Mouse mAb.
Immunohistochemistry Image 2: CHGA (5H7) Mouse Monoclonal Antibody
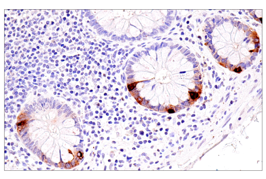
Immunohistochemical analysis of paraffin-embedded normal human colon using CHGA (5H7) Mouse mAb.
Immunohistochemistry Image 3: CHGA (5H7) Mouse Monoclonal Antibody
Immunohistochemical analysis of paraffin-embedded human appendix using CHGA (5H7) Mouse mAb (left) compared to concentration-matched Mouse (G3A1) mAb IgG1 Isotype Control #5415 (right).
Immunohistochemistry Image 4: CHGA (5H7) Mouse Monoclonal Antibody
Orders: 877-616-CELL (2355) [email protected] Support: 877-678-TECH (8324) [email protected] Web: cellsignal.com
For Research Use Only. Not for Use in Diagnostic Procedures.

Revision 9

Cell Signaling Technology Logo
Immunohistochemical analysis of paraffin-embedded TT cell pellet (left, positive) or HuH-6 cell pellet (right, negative) using CHGA (5H7) Mouse mAb.
Immunohistochemistry Image 5: CHGA (5H7) Mouse Monoclonal Antibody
Orders: 877-616-CELL (2355) [email protected] Support: 877-678-TECH (8324) [email protected] Web: cellsignal.com
For Research Use Only. Not for Use in Diagnostic Procedures.