Revision 4

#83651

Store at -20C

CST Logo
Orders:

877-616-CELL (2355)

[email protected]

Support:

877-678-TECH (8324)

3 Trask Lane | Danvers | Massachusetts | 01923 | USA

For Research Use Only. Not for Use in Diagnostic Procedures.

Applications:
W, W-S, IHC-Bond, IHC-P

Reactivity:
H

Sensitivity:
Endogenous

MW (kDa):
80

Source/Isotype:
Rabbit IgG

UniProt ID:
#P10645

Entrez-Gene Id:
1113

Product Usage Information

Application Dilution
Western Blotting 1:1000
Simple Western™ 1:10 - 1:50
IHC Leica Bond 1:500 - 1:2000
Immunohistochemistry (Paraffin) 1:100 - 1:400

Storage

Supplied in 10 mM sodium HEPES (pH 7.5), 150 mM NaCl, 100 µg/mL BSA, 50% glycerol, and less than 0.02% sodium azide. Store at –20°C. Do not aliquot the antibody.

For a carrier free (BSA and azide free) version of this product see product #48041.

Specificity/Sensitivity

CHGA (F7D6H) Rabbit Monoclonal Antibody recognizes endogenous levels of total CHGA protein.

Source / Purification

Monoclonal antibody is produced by immunizing animals with recombinant protein specific to the carboxy terminus of human CHGA protein.

Background

Chromogranin A (CHGA) and Chromogranin B (CHGB) are members of the chromogranin/secretogranin family of neuroendocrine secretory proteins. They reside in the secretory vesicles of neurons and endocrine cells and are debated to regulate cargo in the secretory pathway (1,2).
CHGA is also useful as a serological and immunohistological marker for the presence of neuroendocrine tumors (NETs) from various tissue sources (3,4). CHGA may also be useful for the assessment of disease progression (5,6).

Species Reactivity

Species reactivity is determined by testing in at least one approved application (e.g., western blot).

Western Blot Buffer

IMPORTANT: For western blots, incubate membrane with diluted primary antibody in 5% w/v BSA, 1X TBS, 0.1% Tween® 20 at 4°C with gentle shaking, overnight.

Applications Key

W: Western Blotting W-S: Simple Western™ IHC-Bond: IHC Leica Bond IHC-P: Immunohistochemistry (Paraffin)

Cross-Reactivity Key

H: Human

Trademarks and Patents

Cell Signaling Technology is a trademark of Cell Signaling Technology, Inc.

All other trademarks are the property of their respective owners. Visit cellsignal.com/trademarks for more information.

Limited Uses

Except as otherwise expressly agreed in a writing signed by a legally authorized representative of CST, the following terms apply to Products provided by CST, its affiliates or its distributors. Any Customer's terms and conditions that are in addition to, or different from, those contained herein, unless separately accepted in writing by a legally authorized representative of CST, are rejected and are of no force or effect.

Products are labeled with For Research Use Only or a similar labeling statement and have not been approved, cleared, or licensed by the FDA or other regulatory foreign or domestic entity, for any purpose. Customer shall not use any Product for any diagnostic or therapeutic purpose, or otherwise in any manner that conflicts with its labeling statement. Products sold or licensed by CST are provided for Customer as the end-user and solely for research and development uses. Any use of Product for diagnostic, prophylactic or therapeutic purposes, or any purchase of Product for resale (alone or as a component) or other commercial purpose, requires a separate license from CST. Customer shall (a) not sell, license, loan, donate or otherwise transfer or make available any Product to any third party, whether alone or in combination with other materials, or use the Products to manufacture any commercial products, (b) not copy, modify, reverse engineer, decompile, disassemble or otherwise attempt to discover the underlying structure or technology of the Products, or use the Products for the purpose of developing any products or services that would compete with CST products or services, (c) not alter or remove from the Products any trademarks, trade names, logos, patent or copyright notices or markings, (d) use the Products solely in accordance with CST Product Terms of Sale and any applicable documentation, and (e) comply with any license, terms of service or similar agreement with respect to any third party products or services used by Customer in connection with the Products.

Orders: 877-616-CELL (2355) [email protected] Support: 877-678-TECH (8324) [email protected] Web: cellsignal.com
For Research Use Only. Not for Use in Diagnostic Procedures.

Revision 4

Cell Signaling Technology Logo
Western blot analysis of extracts from various cell lines using CHGA (F7D6H) Rabbit mAb (upper) or GAPDH (D16H11) XP® Rabbit mAb #5174. Negative expression of CHGA protein in HuH-6 cells is consistent with the predicted expression pattern.
Western Blotting Image 1: CHGA (F7D6H) Rabbit Monoclonal Antibody
Simple WesternTM analysis of lysates (0.1mg/mL) from SH-SY5Y cells using CHGA (F7D6H) Rabbit mAb #83651. The virtual lane view (left) shows the target band (as indicated) at 1:10 and 1:50 dilutions of primary antibody.  The corresponding electropherogram view (right) plots chemiluminescence by molecular weight along the capillary at 1:10 (blue line) and 1:50 (green line) dilutions of primary antibody.  This experiment was performed under reducing conditions on the JessTM Simple Western instrument from ProteinSimple, a BioTechne brand, using the 12-230 kDa separation module.
Western Blotting Image 1: CHGA (F7D6H) Rabbit Monoclonal Antibody

Immunohistochemical analysis of paraffin-embedded human gastric adenocarcinoma using CHGA (F7D6H) Rabbit mAb performed on the Leica BOND RX.

Immunohistochemistry Image 1: CHGA (F7D6H) Rabbit Monoclonal Antibody
Orders: 877-616-CELL (2355) [email protected] Support: 877-678-TECH (8324) [email protected] Web: cellsignal.com
For Research Use Only. Not for Use in Diagnostic Procedures.

Revision 4

Cell Signaling Technology Logo
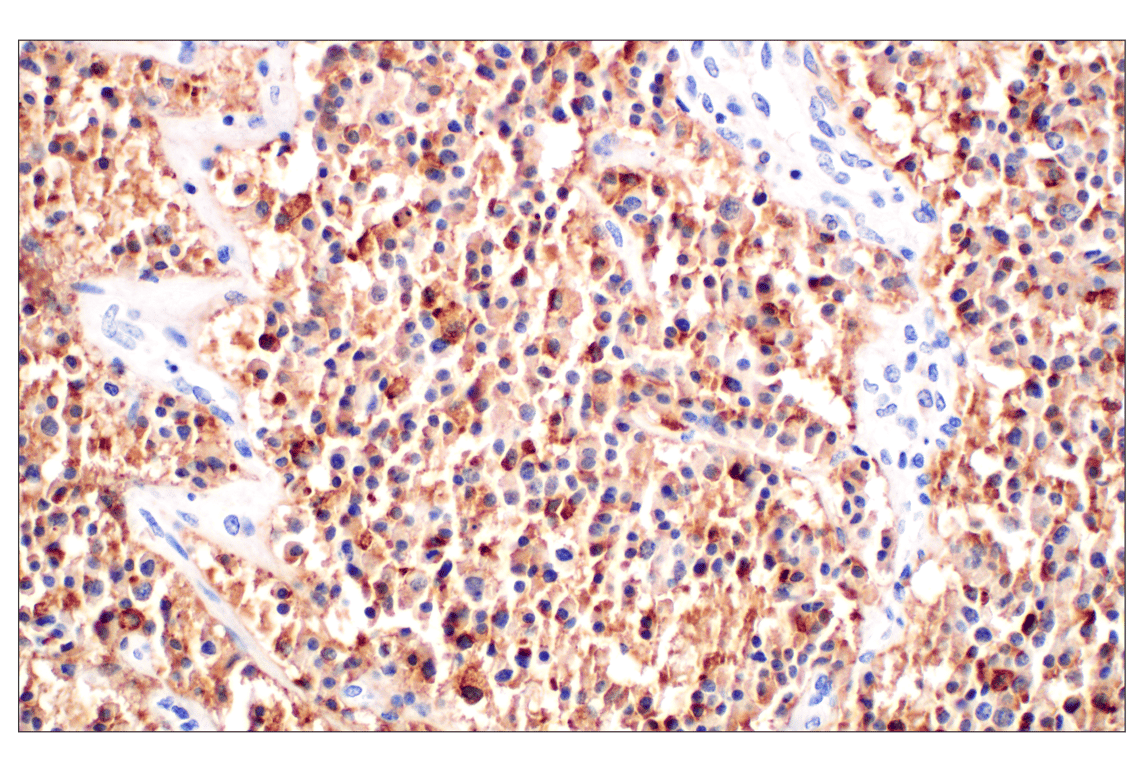
Immunohistochemical analysis of paraffin-embedded human neuroendocrine carcinoma of the pancreas using CHGA (F7D6H) Rabbit mAb performed on the Leica BOND RX.
Immunohistochemistry Image 2: CHGA (F7D6H) Rabbit Monoclonal Antibody
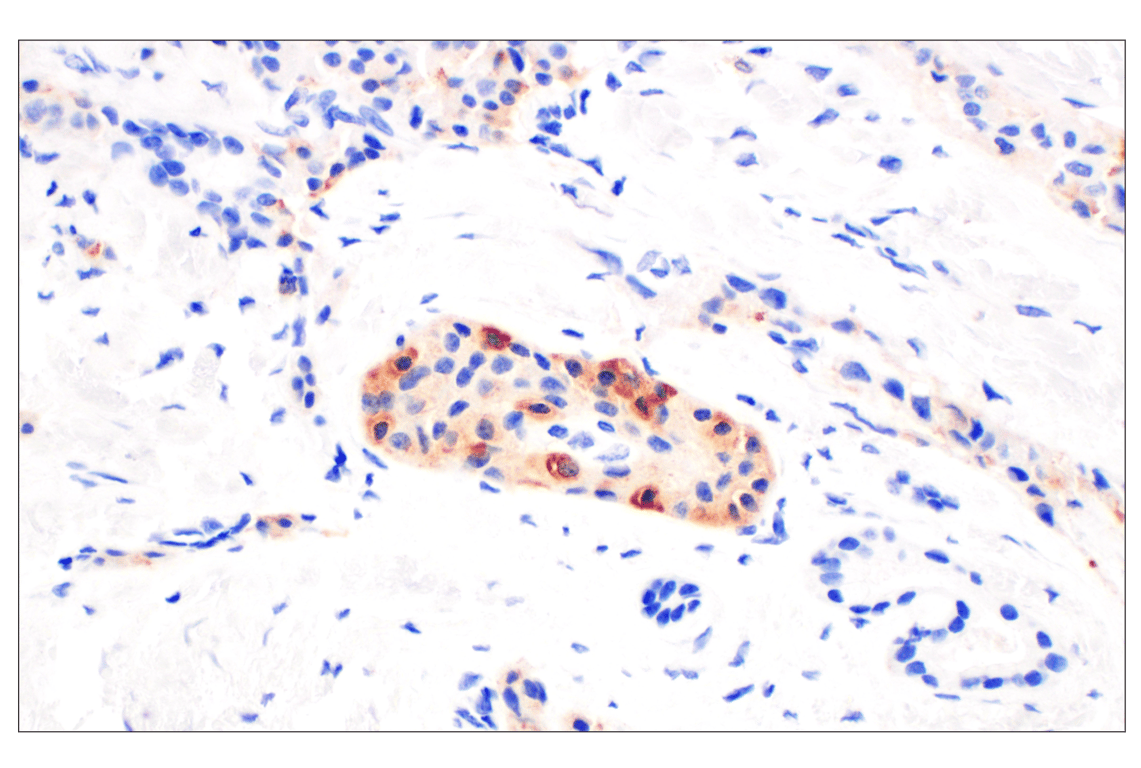
Immunohistochemical analysis of paraffin-embedded normal human small intestine using CHGA (F7D6H) Rabbit mAb performed on the Leica BOND RX.
Immunohistochemistry Image 3: CHGA (F7D6H) Rabbit Monoclonal Antibody
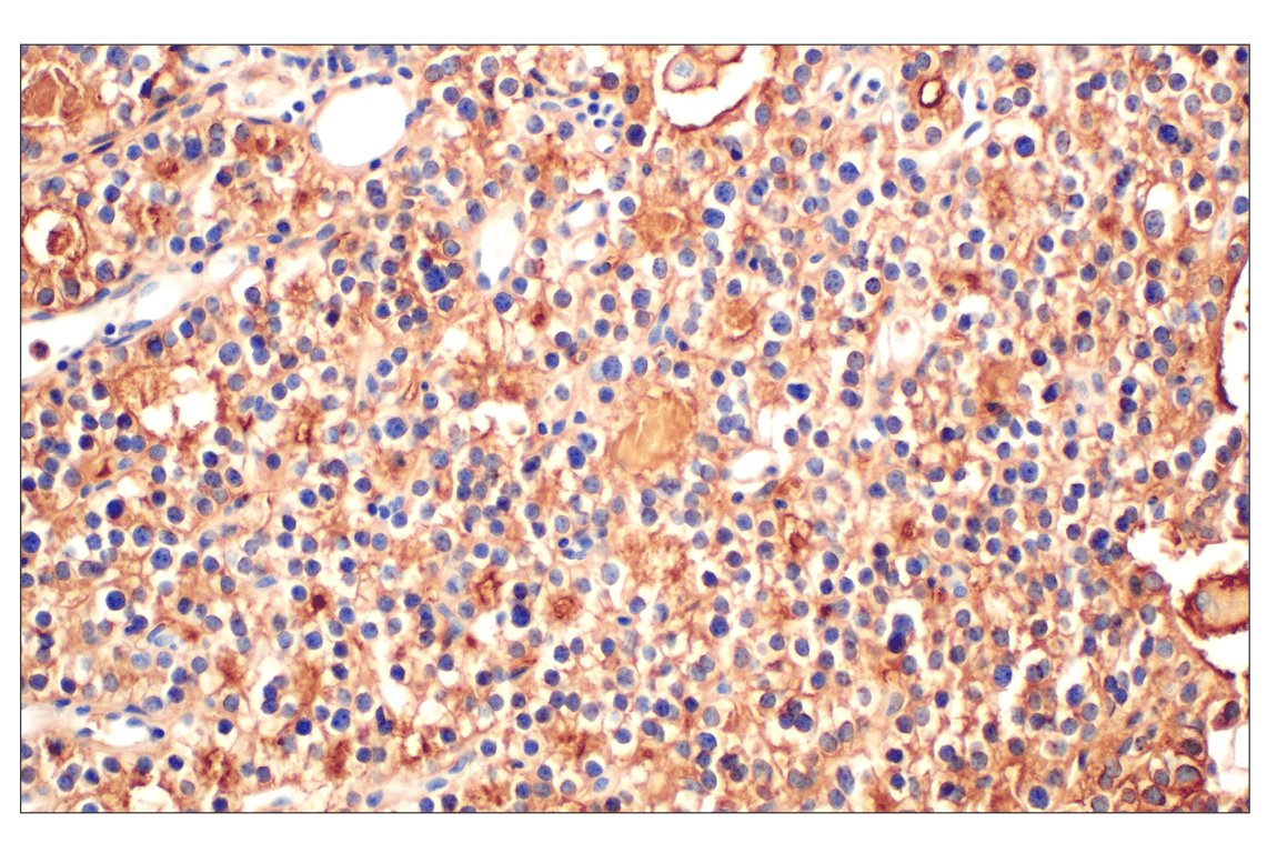
Immunohistochemical analysis of paraffin-embedded human neuroendocrine carcinoma of the pancreas using CHGA (F7D6H) Rabbit mAb.
Immunohistochemistry Image 1: CHGA (F7D6H) Rabbit Monoclonal Antibody
Orders: 877-616-CELL (2355) [email protected] Support: 877-678-TECH (8324) [email protected] Web: cellsignal.com
For Research Use Only. Not for Use in Diagnostic Procedures.

Revision 4

Cell Signaling Technology Logo

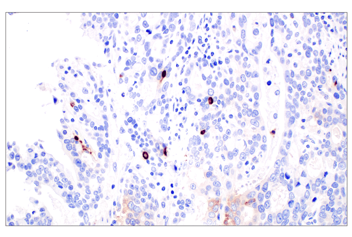
Immunohistochemical analysis of paraffin-embedded human endometrioid adenocarcinoma using CHGA (F7D6H) Rabbit mAb.

Immunohistochemistry Image 2: CHGA (F7D6H) Rabbit Monoclonal Antibody
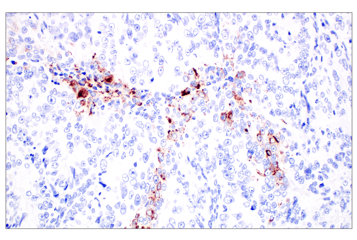
Immunohistochemical analysis of paraffin-embedded human esophageal adenocarcinoma using CHGA (F7D6H) Rabbit mAb.
Immunohistochemistry Image 3: CHGA (F7D6H) Rabbit Monoclonal Antibody

Immunohistochemical analysis of paraffin-embedded normal human pancreas using CHGA (F7D6H) Rabbit mAb.

Immunohistochemistry Image 4: CHGA (F7D6H) Rabbit Monoclonal Antibody
Orders: 877-616-CELL (2355) [email protected] Support: 877-678-TECH (8324) [email protected] Web: cellsignal.com
For Research Use Only. Not for Use in Diagnostic Procedures.

Revision 4

Cell Signaling Technology Logo

Immunohistochemical analysis of paraffin-embedded normal human stomach using CHGA (F7D6H) Rabbit mAb.

Immunohistochemistry Image 5: CHGA (F7D6H) Rabbit Monoclonal Antibody
Immunohistochemical analysis of paraffin-embedded normal human parathyroid gland using CHGA (F7D6H) Rabbit mAb.
Immunohistochemistry Image 6: CHGA (F7D6H) Rabbit Monoclonal Antibody
Immunohistochemical analysis of paraffin-embedded normal human colon using CHGA (F7D6H) Rabbit mAb (left) compared to concentration-matched Rabbit (DA1E) mAb IgG XP® Isotype Control #3900 (right).
Immunohistochemistry Image 7: CHGA (F7D6H) Rabbit Monoclonal Antibody
Orders: 877-616-CELL (2355) [email protected] Support: 877-678-TECH (8324) [email protected] Web: cellsignal.com
For Research Use Only. Not for Use in Diagnostic Procedures.

Revision 4

Cell Signaling Technology Logo
Immunohistochemical analysis of paraffin-embedded TT cell pellet (left, positive) or HuH-6 cell pellet (right, negative) using CHGA (F7D6H) Rabbit mAb.
Immunohistochemistry Image 8: CHGA (F7D6H) Rabbit Monoclonal Antibody
Orders: 877-616-CELL (2355) [email protected] Support: 877-678-TECH (8324) [email protected] Web: cellsignal.com
For Research Use Only. Not for Use in Diagnostic Procedures.