Revision 1

#37438

Store at -20C

CST Logo
Orders:

877-616-CELL (2355)

[email protected]

Support:

877-678-TECH (8324)

3 Trask Lane | Danvers | Massachusetts | 01923 | USA

For Research Use Only. Not for Use in Diagnostic Procedures.

Applications:
W, IHC-P

Reactivity:
H

Sensitivity:
Endogenous

MW (kDa):
15

Source/Isotype:
Rabbit IgG

UniProt ID:
#Q07325

Entrez-Gene Id:
4283

Product Usage Information

This product is the carrier-free version of product #30327. All data were generated using the same antibody clone in the standard formulation which contains BSA and glycerol.

This formulation is ideal for use with technologies requiring specialized or custom antibody labeling, including fluorophores, metals, lanthanides, and oligonucleotides. It is not recommended for ChIP, ChIP-seq, CUT&RUN or CUT&Tag assays. If you require a carrier-free formulation for chromatin profiling, please contact us. Optimal dilutions/concentrations should be determined by the end user.

BSA and Azide Free antibodies are quality control tested by size exclusion chromatography (SEC) to determine antibody integrity.

Formulation

Supplied in 1X PBS (10 mM Na2HPO4, 3 mM KCl, 2 mM KH2PO4, and 140 mM NaCl (pH 7.8)). BSA and Azide Free.

For standard formulation of this product see product #30327.

Storage

Store at -20°C. This product will freeze at -20°C so it is recommended to aliquot into single-use vials to avoid multiple freeze/thaw cycles. A slight precipitate may be present and can be dissolved by gently vortexing. This will not interfere with antibody performance.

Specificity/Sensitivity

CXCL9/MIG (E6Z5W) Rabbit Monoclonal Antibody (BSA and Azide Free) recognizes endogenous levels of total CXCL9/MIG protein. This antibody does not cross-react with CXCL10, CXCL11, or CXCL2 protein.

Source / Purification

Monoclonal antibody is produced by immunizing animals with recombinant protein specific to full-length human CXCL9/MIG protein.

Background

C-X-C motif chemokine ligand 9 (CXCL9, MIG) is a soluble chemokine expressed by multiple cell types, such as endothelial cells, monocytes, and tumor cells. The expression of CXCL9 is upregulated in response to proinflammatory cytokines, such as IFN-γ and TNF-α. (1,2). CXCL9 binds to CXCR3, a GPCR that is expressed on the surface of multiple populations of immune cells, particularly exclusively activated T lymphocytes (3). Binding of CXCL9 to CXCR3 promotes T cell chemotaxis and infiltration into sites of inflammation that form in settings such as viral infection and tumorigenesis (4-6). Research studies have demonstrated production of CXCL9 by tumor cells mediates tumor suppression through the recruitment of tumor antigen-specific T cells (7).

Species Reactivity

Species reactivity is determined by testing in at least one approved application (e.g., western blot).

Applications Key

W: Western Blotting IHC-P: Immunohistochemistry (Paraffin)

Cross-Reactivity Key

H: Human

Trademarks and Patents

Cell Signaling Technology is a trademark of Cell Signaling Technology, Inc.

SignalStain is a registered trademark of Cell Signaling Technology, Inc.

All other trademarks are the property of their respective owners. Visit cellsignal.com/trademarks for more information.

Limited Uses

Except as otherwise expressly agreed in a writing signed by a legally authorized representative of CST, the following terms apply to Products provided by CST, its affiliates or its distributors. Any Customer's terms and conditions that are in addition to, or different from, those contained herein, unless separately accepted in writing by a legally authorized representative of CST, are rejected and are of no force or effect.

Products are labeled with For Research Use Only or a similar labeling statement and have not been approved, cleared, or licensed by the FDA or other regulatory foreign or domestic entity, for any purpose. Customer shall not use any Product for any diagnostic or therapeutic purpose, or otherwise in any manner that conflicts with its labeling statement. Products sold or licensed by CST are provided for Customer as the end-user and solely for research and development uses. Any use of Product for diagnostic, prophylactic or therapeutic purposes, or any purchase of Product for resale (alone or as a component) or other commercial purpose, requires a separate license from CST. Customer shall (a) not sell, license, loan, donate or otherwise transfer or make available any Product to any third party, whether alone or in combination with other materials, or use the Products to manufacture any commercial products, (b) not copy, modify, reverse engineer, decompile, disassemble or otherwise attempt to discover the underlying structure or technology of the Products, or use the Products for the purpose of developing any products or services that would compete with CST products or services, (c) not alter or remove from the Products any trademarks, trade names, logos, patent or copyright notices or markings, (d) use the Products solely in accordance with CST Product Terms of Sale and any applicable documentation, and (e) comply with any license, terms of service or similar agreement with respect to any third party products or services used by Customer in connection with the Products.

Orders: 877-616-CELL (2355) [email protected] Support: 877-678-TECH (8324) [email protected] Web: cellsignal.com
For Research Use Only. Not for Use in Diagnostic Procedures.

Revision 1

Cell Signaling Technology Logo
Western blot analysis of extracts from 293T cells, mock transfected (-) or transfected (+) with constructs expressing Myc/DDK-tagged full-length human CXCL9 protein (hCXCL9-Myc/DDK), Myc/DDK-tagged full-length human CXCL10 protein (hCXCL10-Myc/DDK), Myc/DDK-tagged full-length human CXCL11 protein (hCXCL11-Myc/DDK), and Myc/DDK-tagged full-length human CXCL2 protein (hCXCL2-Myc/DDK), using CXCL9/MIG (E6Z5W) Rabbit mAb (upper), DYKDDDDK Tag Antibody #2368 (middle), or β-Actin (D6A8) Rabbit mAb #8457 (lower). Data were generated using the standard formulation of this product.
Western Blotting Image 1: CXCL9/MIG (E6Z5W) Rabbit Monoclonal Antibody (BSA and Azide Free)
Western blot analysis of extracts from T98G and KATO III cells, untreated (-) or treated (+) with a combination of Human Interferon-γ (hIFN-γ) #80385 (100 ng/mL, 16 hr) and Human Tumor Necrosis Factor-α (hTNF-α) #8902 (100 ng/mL, 16 hr), using CXCL9/MIG (E6Z5W) Rabbit mAb (upper) or β-Actin (D6A8) Rabbit mAb #8457 (lower). Data were generated using the standard formulation of this product.
Western Blotting Image 2: CXCL9/MIG (E6Z5W) Rabbit Monoclonal Antibody (BSA and Azide Free)
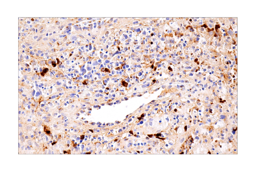
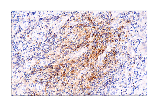
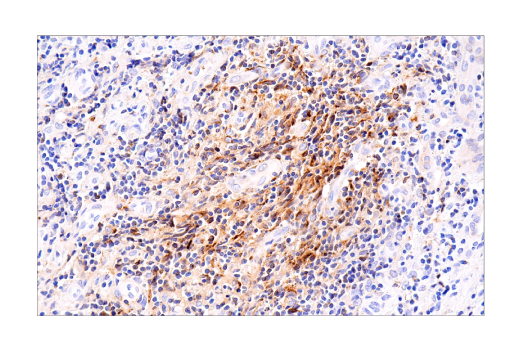
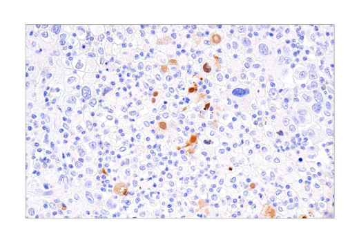
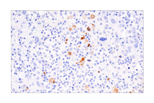
Immunohistochemical analysis of paraffin-embedded human T-cell lymphoma using CXCL9/MIG (E6Z5W) Rabbit mAb. Data were generated using the standard formulation of this product.
Immunohistochemistry Image 1: CXCL9/MIG (E6Z5W) Rabbit Monoclonal Antibody (BSA and Azide Free)
Orders: 877-616-CELL (2355) [email protected] Support: 877-678-TECH (8324) [email protected] Web: cellsignal.com
For Research Use Only. Not for Use in Diagnostic Procedures.

Revision 1

Cell Signaling Technology Logo
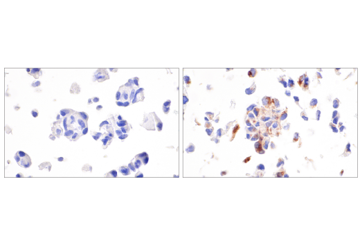
Immunohistochemical analysis of paraffin-embedded T98G cell pellet, untreated (left, negative) or treated with a combination of Human Interferon-γ (hIFN-γ) #80385 (100 ng/mL, 16 hr) and Human Tumor Necrosis Factor-α (hTNF-α) #8902 (100 ng/mL, 16 hr) (right, positive), using CXCL9/MIG (E6Z5W) Rabbit mAb. Data were generated using the standard formulation of this product.
Immunohistochemistry Image 2: CXCL9/MIG (E6Z5W) Rabbit Monoclonal Antibody (BSA and Azide Free)
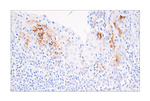
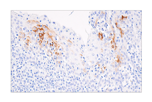
Immunohistochemical analysis of paraffin-embedded human tonsil using CXCL9/MIG (E6Z5W) Rabbit mAb. Data were generated using the standard formulation of this product.
Immunohistochemistry Image 3: CXCL9/MIG (E6Z5W) Rabbit Monoclonal Antibody (BSA and Azide Free)
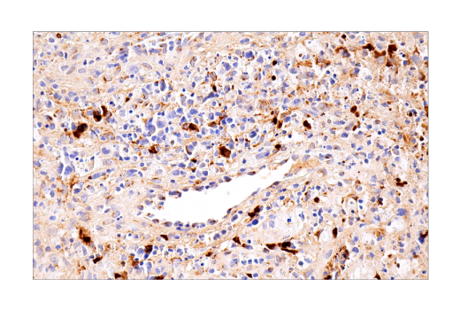
Immunohistochemical analysis of paraffin-embedded human prostate carcinoma using CXCL9/MIG (E6Z5W) Rabbit mAb (left) compared to concentration-matched Rabbit (DA1E) mAb IgG XP® Isotype Control #3900 (right). Data were generated using the standard formulation of this product.
Immunohistochemistry Image 4: CXCL9/MIG (E6Z5W) Rabbit Monoclonal Antibody (BSA and Azide Free)
Orders: 877-616-CELL (2355) [email protected] Support: 877-678-TECH (8324) [email protected] Web: cellsignal.com
For Research Use Only. Not for Use in Diagnostic Procedures.

Revision 1

Cell Signaling Technology Logo
Immunohistochemical analysis of paraffin-embedded human non-small cell lung carcinoma using CXCL9/MIG (E6Z5W) Rabbit mAb. Data were generated using the standard formulation of this product.
Immunohistochemistry Image 5: CXCL9/MIG (E6Z5W) Rabbit Monoclonal Antibody (BSA and Azide Free)
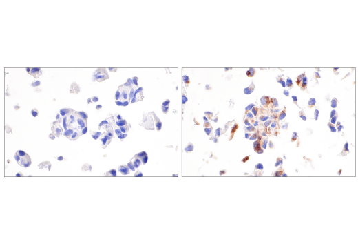
Immunohistochemical analysis of paraffin-embedded 293T cell pellet, untransfected (left) or CXCL9-transfected (right), using CXCL9/MIG (E6Z5W) Rabbit mAb. Data were generated using the standard formulation of this product.
Immunohistochemistry Image 6: CXCL9/MIG (E6Z5W) Rabbit Monoclonal Antibody (BSA and Azide Free)
Immunohistochemical analysis of paraffin-embedded human B-cell non-Hodgkin lymphoma using CXCL9/MIG (E6Z5W) Rabbit mAb. Data were generated using the standard formulation of this product.
Immunohistochemistry Image 7: CXCL9/MIG (E6Z5W) Rabbit Monoclonal Antibody (BSA and Azide Free)
Orders: 877-616-CELL (2355) [email protected] Support: 877-678-TECH (8324) [email protected] Web: cellsignal.com
For Research Use Only. Not for Use in Diagnostic Procedures.