CXCL9/MIG (E6Z5W) Rabbit Monoclonal Antibody (BSA and Azide Free) #37438
- WB
- IHC
Product Specifications
| REACTIVITY | H |
| SENSITIVITY | Endogenous |
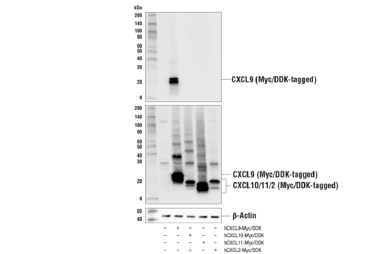
| MW (kDa) | 15 |
| Source/Isotype | Rabbit IgG |
Application Key:
- WB-Western Blotting
- IHC-Immunohistochemistry
Species Cross-Reactivity Key:
- H-Human
Product Information
Product Usage Information
This formulation is ideal for use with technologies requiring specialized or custom antibody labeling, including fluorophores, metals, lanthanides, and oligonucleotides. It is not recommended for ChIP, ChIP-seq, CUT&RUN or CUT&Tag assays. If you require a carrier-free formulation for chromatin profiling, please contact us. Optimal dilutions/concentrations should be determined by the end user.
BSA and Azide Free antibodies are quality control tested by size exclusion chromatography (SEC) to determine antibody integrity.
Formulation
Supplied in 1X PBS (10 mM Na2HPO4, 3 mM KCl, 2 mM KH2PO4, and 140 mM NaCl (pH 7.8)). BSA and Azide Free.
For standard formulation of this product see product #30327.
Storage
Specificity / Sensitivity
Species Reactivity:
Source / Purification
Background
- Shin, S.Y. et al. (2010) J Biol Chem 285, 30731-40.
- Hiroi, M. and Ohmori, Y. (2003) Biochem J 376, 393-402.
- Loetscher, M. et al. (1996) J Exp Med 184, 963-9.
- Tensen, C.P. et al. (1999) J Invest Dermatol 112, 716-22.
- Han, K. et al. (2020) Am J Respir Cell Mol Biol, doi: 10.1165/rcmb.2020-0354OC.
- Russo, E. et al. (2020) J Leukoc Biol 108, 673-685.
- Gorbachev, A.V. et al. (2007) J Immunol 178, 2278-86.
Alternate Names
C-X-C motif chemokine 9; C-X-C motif chemokine ligand 9; chemokine (C-X-C motif) ligand 9; CMK; crg-10; CXCL9; Gamma-interferon-induced monokine; Humig; MIG; monokine induced by gamma interferon; Monokine induced by interferon-gamma; SCYB9; Small-inducible cytokine B9
Limited Uses
Except as otherwise expressly agreed in a writing signed by a legally authorized representative of CST, the following terms apply to Products provided by CST, its affiliates or its distributors. Any Customer's terms and conditions that are in addition to, or different from, those contained herein, unless separately accepted in writing by a legally authorized representative of CST, are rejected and are of no force or effect.
Products are labeled with For Research Use Only or a similar labeling statement and have not been approved, cleared, or licensed by the FDA or other regulatory foreign or domestic entity, for any purpose. Customer shall not use any Product for any diagnostic or therapeutic purpose, or otherwise in any manner that conflicts with its labeling statement. Products sold or licensed by CST are provided for Customer as the end-user and solely for research and development uses. Any use of Product for diagnostic, prophylactic or therapeutic purposes, or any purchase of Product for resale (alone or as a component) or other commercial purpose, requires a separate license from CST. Customer shall (a) not sell, license, loan, donate or otherwise transfer or make available any Product to any third party, whether alone or in combination with other materials, or use the Products to manufacture any commercial products, (b) not copy, modify, reverse engineer, decompile, disassemble or otherwise attempt to discover the underlying structure or technology of the Products, or use the Products for the purpose of developing any products or services that would compete with CST products or services, (c) not alter or remove from the Products any trademarks, trade names, logos, patent or copyright notices or markings, (d) use the Products solely in accordance with CST Product Terms of Sale and any applicable documentation, and (e) comply with any license, terms of service or similar agreement with respect to any third party products or services used by Customer in connection with the Products.