Revision 1

#88548

Store at -20C

DNA Methylation Antibody Sampler Kit

1 Kit

(3 x 20 microliters)

CST Logo
Orders:

877-616-CELL (2355)

[email protected]

Support:

877-678-TECH (8324)

3 Trask Lane | Danvers | Massachusetts | 01923 | USA

For Research Use Only. Not for Use in Diagnostic Procedures.

Product Includes Product # Quantity Mol. Wt Isotype/Source
DNMT1 (D63A6) XP® Rabbit mAb503220 µl200 kDaRabbit IgG
DNMT3A (E9P2F) Rabbit mAb4976820 µl85, 95, 130 kDaRabbit IgG
DNMT3B (E8A8A) XP® Rabbit mAb5786820 µl96 kDaRabbit IgG
Anti-rabbit IgG, HRP-linked Antibody7074100 µlGoat

Please visit cellsignal.com for individual component applications, species cross-reactivity, dilutions, protocols, and additional product information.

Description

The DNA Methylation Antibody Sampler Kit provides an economical means of detecting DNA methyltransferase enzymes. The kit includes enough antibodies to perform two western blot experiments with each primary antibody.

Storage

Supplied in 10 mM sodium HEPES (pH 7.5), 150 mM NaCl, 100 µg/mL BSA, 50% glycerol, and less than 0.02% sodium azide. Store at –20°C. Do not aliquot the antibodies.

Background

Methylation of DNA at cytosine residues in mammalian cells is a heritable, epigenetic modification that is critical for proper regulation of gene expression, genomic imprinting and development (1,2). Three families of mammalian DNA methyltransferases have been identified: DNMT1, DNMT2, and DNMT3 (1,2). DNMT1 is constitutively expressed in proliferating cells and functions as a maintenance methyltransferase, transferring proper methylation patterns to newly synthesized DNA during replication. DNMT3A and DNMT3B are strongly expressed in embryonic stem cells with reduced expression in adult somatic tissues. DNMT3A and DNMT3B function as de novo methyltransferases that methylate previously unmethylated regions of DNA. DNMT2 is expressed at low levels in adult somatic tissues and its inactivation affects neither de novo nor maintenance DNA methylation. DNMT1, DNMT3A, and DNMT3B together form a protein complex that interacts with histone deacetylases (HDAC1, HDAC2, Sin3A), transcriptional repressor proteins (RB, TAZ-1), and heterochromatin proteins (HP1, SUV39H1) to maintain proper levels of DNA methylation and facilitate gene silencing (3-8). Improper DNA methylation contributes to diseased states such as cancer (1,2). Hypermethylation of promoter CpG islands within tumor suppressor genes correlates with gene silencing and the development of cancer. In addition, hypomethylation of bulk genomic DNA correlates with and may contribute to the onset of cancer. DNMT1, DNMT3A, and DNMT3B are overexpressed in many cancers, including acute and chronic myelogenous leukemias, in addition to colon, breast, and stomach carcinomas (9-12).

Trademarks and Patents

Cell Signaling Technology is a trademark of Cell Signaling Technology, Inc.

XP is a registered trademark of Cell Signaling Technology, Inc.

All other trademarks are the property of their respective owners. Visit cellsignal.com/trademarks for more information.

Limited Uses

Except as otherwise expressly agreed in a writing signed by a legally authorized representative of CST, the following terms apply to Products provided by CST, its affiliates or its distributors. Any Customer's terms and conditions that are in addition to, or different from, those contained herein, unless separately accepted in writing by a legally authorized representative of CST, are rejected and are of no force or effect.

Products are labeled with For Research Use Only or a similar labeling statement and have not been approved, cleared, or licensed by the FDA or other regulatory foreign or domestic entity, for any purpose. Customer shall not use any Product for any diagnostic or therapeutic purpose, or otherwise in any manner that conflicts with its labeling statement. Products sold or licensed by CST are provided for Customer as the end-user and solely for research and development uses. Any use of Product for diagnostic, prophylactic or therapeutic purposes, or any purchase of Product for resale (alone or as a component) or other commercial purpose, requires a separate license from CST. Customer shall (a) not sell, license, loan, donate or otherwise transfer or make available any Product to any third party, whether alone or in combination with other materials, or use the Products to manufacture any commercial products, (b) not copy, modify, reverse engineer, decompile, disassemble or otherwise attempt to discover the underlying structure or technology of the Products, or use the Products for the purpose of developing any products or services that would compete with CST products or services, (c) not alter or remove from the Products any trademarks, trade names, logos, patent or copyright notices or markings, (d) use the Products solely in accordance with CST Product Terms of Sale and any applicable documentation, and (e) comply with any license, terms of service or similar agreement with respect to any third party products or services used by Customer in connection with the Products.

Orders: 877-616-CELL (2355) [email protected] Support: 877-678-TECH (8324) [email protected] Web: cellsignal.com
For Research Use Only. Not for Use in Diagnostic Procedures.

Revision 1

Cell Signaling Technology Logo
Western blot analysis of extracts from various cell lines using DNMT3A (E9P2F) Rabbit mAb.
undefined Image 1: DNA Methylation Antibody Sampler Kit
Western blot analysis of extracts from 293 and F9 cells using DNMT1 (D63A6) XP® Rabbit mAb.
undefined Image 2: DNA Methylation Antibody Sampler Kit
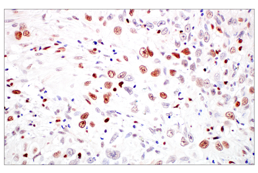
Immunohistochemical analysis of paraffin-embedded human ovarian serous adenocarcinoma using DNMT1 (D63A6) XP® Rabbit mAb.
undefined Image 3: DNA Methylation Antibody Sampler Kit
Orders: 877-616-CELL (2355) [email protected] Support: 877-678-TECH (8324) [email protected] Web: cellsignal.com
For Research Use Only. Not for Use in Diagnostic Procedures.

Revision 1

Cell Signaling Technology Logo
Western blot analysis of extracts from various cell lines using DNMT3B (E8A8A) XP® Rabbit mAb.
undefined Image 4: DNA Methylation Antibody Sampler Kit
CUT&Tag was performed with NCCIT cells and DNMT3B (E8A8A) XP® Rabbit mAb, using CUT&Tag Assay Kit #77552. DNA library was prepared using CUT&Tag Dual Index Primers and PCR Master Mix for Illumina Systems #47415. The figure shows binding across the HUWE1 gene.
undefined Image 5: DNA Methylation Antibody Sampler Kit
CUT&RUN was performed with NCCIT cells and either DNMT3B (E8A8A) XP® Rabbit mAb or DNMT3B (E2Q3Z) Rabbit mAb #72335, using CUT&RUN Assay Kit #86652. DNA libraries were prepared using DNA Library Prep Kit for Illumina (ChIP-seq, CUT&RUN) #56795. The figures show binding across HUWE1, a known target gene of DNMT3B (see additional figures containing CUT&RUN-qPCR data).
undefined Image 6: DNA Methylation Antibody Sampler Kit
Orders: 877-616-CELL (2355) [email protected] Support: 877-678-TECH (8324) [email protected] Web: cellsignal.com
For Research Use Only. Not for Use in Diagnostic Procedures.

Revision 1

Cell Signaling Technology Logo
After the primary antibody is bound to the target protein, a complex with HRP-linked secondary antibody is formed. The LumiGLO® is added and emits light during enzyme catalyzed decomposition.
undefined Image 7: DNA Methylation Antibody Sampler Kit
Immunoprecipitation of DNMT3A from NCCIT cell extracts. Lane 1 is 10% input, lane 2 is Rabbit (DA1E) mAb IgG XP® Isotype Control #3900, and lane 3 is DNMT3A (E9P2F) Rabbit mAb. Western blot analysis was performed using DNMT3A (E9P2F) Rabbit mAb.
undefined Image 8: DNA Methylation Antibody Sampler Kit
Confocal immunofluorescent analysis of COS cells using DNMT1 (D63A6) XP® Rabbit mAb (green). Actin filaments were labeled using DY-554 phalloidin (red).
undefined Image 9: DNA Methylation Antibody Sampler Kit
Orders: 877-616-CELL (2355) [email protected] Support: 877-678-TECH (8324) [email protected] Web: cellsignal.com
For Research Use Only. Not for Use in Diagnostic Procedures.

Revision 1

Cell Signaling Technology Logo
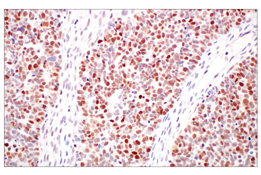
Immunohistochemical analysis of paraffin-embedded human soft tissue squamous cell carcinoma using DNMT1 (D63A6) XP® Rabbit mAb.
undefined Image 10: DNA Methylation Antibody Sampler Kit
Immunoprecipitation of DNMT3B from NCCIT cell extracts. Lane 1 is 10% input, lane 2 is Rabbit (DA1E) mAb IgG XP® Isotype Control #3900, and lane 3 is DNMT3B (E8A8A) XP® Rabbit mAb. Western blot analysis was performed using DNMT3B (E8A8A) XP® Rabbit mAb and Mouse Anti-rabbit IgG (Conformation Specific) (L27A9) mAb (HRP Conjugate) #5127.
undefined Image 11: DNA Methylation Antibody Sampler Kit
CUT&Tag was performed with NCCIT cells and DNMT3B (E8A8A) XP® Rabbit mAb, using CUT&Tag Assay Kit #77552. DNA library was prepared using CUT&Tag Dual Index Primers and PCR Master Mix for Illumina Systems #47415. The figures show binding across the HUWE1 gene (upper) and the SMARCA1 gene (lower).
undefined Image 12: DNA Methylation Antibody Sampler Kit
Orders: 877-616-CELL (2355) [email protected] Support: 877-678-TECH (8324) [email protected] Web: cellsignal.com
For Research Use Only. Not for Use in Diagnostic Procedures.

Revision 1

Cell Signaling Technology Logo
CUT&RUN was performed with NCCIT cells and either DNMT3B (E8A8A) XP® Rabbit mAb or DNMT3B (E2Q3Z) Rabbit mAb #72335, using CUT&RUN Assay Kit #86652. DNA libraries were prepared using DNA Library Prep Kit for Illumina (ChIP-seq, CUT&RUN) #56795. The figures show binding across HUWE1 (upper) and SMARCA1 (lower), known target genes of DNMT3B (see additional figures containing CUT&RUN-qPCR data).
undefined Image 13: DNA Methylation Antibody Sampler Kit
Chromatin immunoprecipitations were performed with cross-linked chromatin from NCCIT cells and either DNMT3A (E9P2F) Rabbit mAb or DNMT3A (D2H4B) Rabbit mAb #32578, using SimpleChIP Plus Enzymatic Chromatin IP Kit (Magnetic Beads) #9005. DNA libraries were prepared using DNA Library Prep Kit for Illumina #56795. The figures show binding across HUWE1, a known target gene of DNMT3A (see additional figures containing ChIP-qPCR data).
undefined Image 14: DNA Methylation Antibody Sampler Kit
Flow cytometric analysis of COS7 cells using DNMT1 (D63A6) XP® Rabbit mAb (solid line) compared to concentration-matched Rabbit (DA1E) mAb IgG XP® Isotype Control #3900 (dashed line). Anti-rabbit IgG (H+L) F(ab')2 Fragment (Alexa Fluor® 488 Conjugate) #4412 was used as a secondary antibody.
undefined Image 15: DNA Methylation Antibody Sampler Kit
Orders: 877-616-CELL (2355) [email protected] Support: 877-678-TECH (8324) [email protected] Web: cellsignal.com
For Research Use Only. Not for Use in Diagnostic Procedures.

Revision 1

Cell Signaling Technology Logo
Immunohistochemical analysis of paraffin-embedded normal human thymus using DNMT1 (D63A6) XP® Rabbit mAb.
undefined Image 16: DNA Methylation Antibody Sampler Kit
Confocal immunofluorescent analysis of NCCIT cells (left, high-expressing), HCT 116 DNMT3B wild-type cells (middle, low-expressing), and HCT 116 DNMT3B knockout cells (right, negative) using DNMT3B (E8A8A) Rabbit XP® mAb (green). Actin filaments were labeled with DyLight™ 554 Phalloidin #13054 (red). Samples were mounted in ProLong® Gold Antifade Reagent with DAPI #8961 (blue).
undefined Image 17: DNA Methylation Antibody Sampler Kit
CUT&RUN was performed with NCCIT cells and either DNMT3B (E8A8A) XP® Rabbit mAb or Rabbit (DA1E) mAb IgG XP® Isotype Control (CUT&RUN) #66362, using CUT&RUN Assay Kit #86652. The enriched DNA was quantified by real-time PCR using human HUWE1 intron 26 primers, human ARHGEF2 promoter primers, and SimpleChIP® Human GAPDH Exon 1 Primers #5516. The amount of immunoprecipitated DNA in each sample is represented as signal relative to the total amount of input chromatin, which is equivalent to one.
undefined Image 18: DNA Methylation Antibody Sampler Kit
Orders: 877-616-CELL (2355) [email protected] Support: 877-678-TECH (8324) [email protected] Web: cellsignal.com
For Research Use Only. Not for Use in Diagnostic Procedures.

Revision 1

Cell Signaling Technology Logo
Chromatin immunoprecipitations were performed with cross-linked chromatin from NCCIT cells and either DNMT3A (E9P2F) Rabbit mAb #49768 or DNMT3A (D2H4B) Rabbit mAb #32578, using SimpleChIP Plus Enzymatic Chromatin IP Kit (Magnetic Beads) #9005. DNA libraries were prepared using DNA Library Prep Kit for Illumina #56795. The figures show binding across HUWE1 (upper) and ARHGEF2 (lower), known target genes of DNMT3A (see additional figures containing ChIP-qPCR data).
undefined Image 19: DNA Methylation Antibody Sampler Kit
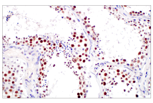
Immunohistochemical analysis of paraffin-embedded normal human testis using DNMT1 (D63A6) XP® Rabbit mAb.
undefined Image 20: DNA Methylation Antibody Sampler Kit
Flow cytometric analysis of NCCIT cells (green), HCT116 WT cells (red) or HCT116 DNMT3B KO cells (blue), using DNMT3A (E8A8A) XP® Rabbit mAb (solid lines) or concentration-matched Rabbit (DA1E) mAb IgG XP® Isotype Control #3900 (dashed lines). Anti-rabbit IgG (H+L), F(ab')2 Fragment (Alexa Fluor® 488 Conjugate) #4412 was used as a secondary antibody.
undefined Image 21: DNA Methylation Antibody Sampler Kit
Orders: 877-616-CELL (2355) [email protected] Support: 877-678-TECH (8324) [email protected] Web: cellsignal.com
For Research Use Only. Not for Use in Diagnostic Procedures.

Revision 1

Cell Signaling Technology Logo
Chromatin immunoprecipitations were performed with cross-linked chromatin from NCCIT cells and eitherDNMT3A (E9P2F) Rabbit mAb or Normal Rabbit IgG #2729 using SimpleChIP® Plus Enzymatic Chromatin IP Kit (Magnetic Beads) #9005. The enriched DNA was quantified by real-time PCR using SimpleChIP® Human HUWE1 Intron 26 Control Primers #33770, human ARHGEF2 intron 13 primers, human SDHAP1 intron 10 primers, and SimpleChIP® Human GAPDH Exon 1 Primers #5516. The amount of immunoprecipitated DNA in each sample is represented as signal relative to the total amount of input chromatin, which is equivalent to one.
undefined Image 22: DNA Methylation Antibody Sampler Kit
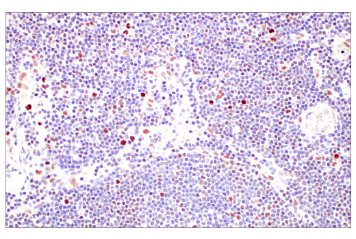
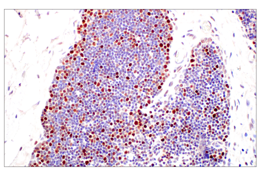
Immunohistochemical analysis of paraffin-embedded normal human lymph node using DNMT1 (D63A6) XP® Rabbit mAb.
undefined Image 23: DNA Methylation Antibody Sampler Kit
Chromatin immunoprecipitations were performed with cross-linked chromatin from NCCIT cells and either DNMT3B (E8A8A) XP® Rabbit mAb #57868 or Normal Rabbit IgG #2729 using SimpleChIP® Plus Enzymatic Chromatin IP Kit (Magnetic Beads) #9005. The enriched DNA was quantified by real-time PCR using SimpleChIP® Human EIF4G1 Intron 8 Primers #29118, human CROCC intron 1 primers, and SimpleChIP® Human GAPDH Promoter Primers #4471. The amount of immunoprecipitated DNA in each sample is represented as signal relative to the total amount of input chromatin, which is equivalent to one.
undefined Image 24: DNA Methylation Antibody Sampler Kit
Orders: 877-616-CELL (2355) [email protected] Support: 877-678-TECH (8324) [email protected] Web: cellsignal.com
For Research Use Only. Not for Use in Diagnostic Procedures.

Revision 1

Cell Signaling Technology Logo
Immunohistochemical analysis of paraffin-embedded normal human placenta using DNMT1 (D63A6) XP® Rabbit mAb (left) or a DNMT1 Rabbit mAb (right). These two antibodies detect unique, non-overlapping epitopes on human DNMT1. The similar staining patterns obtained with both antibodies help to confirm the specificity of the staining.
undefined Image 25: DNA Methylation Antibody Sampler Kit
Immunohistochemical analysis of paraffin-embedded human ductal breast carcinoma using DNMT1 (D63A6) XP® Rabbit mAb (left) compared to concentration-matched Rabbit (DA1E) mAb IgG XP® Isotype Control #3900 (right). 
undefined Image 26: DNA Methylation Antibody Sampler Kit
Immunohistochemical analysis of paraffin-embedded HCT 116 cell pellet, untreated (left) or Doxycycline-treated (10 ng/mL, 72 hr, right), using DNMT1 (D63A6) XP® Rabbit mAb.
undefined Image 27: DNA Methylation Antibody Sampler Kit
Orders: 877-616-CELL (2355) [email protected] Support: 877-678-TECH (8324) [email protected] Web: cellsignal.com
For Research Use Only. Not for Use in Diagnostic Procedures.

Revision 1

Cell Signaling Technology Logo
Chromatin immunoprecipitations were performed with cross-linked chromatin from HCT116 wild type cells (left panel) and HCT116 DNMT3B/DNMT1 double knockout cells (right panel), both treated with doxorubicin (1 uM for 24 hrs), and either DNMT1 (D63A6) XP® Rabbit mAb #5032 or Normal Rabbit IgG #2729, using SimpleChIP® Plus Enzymatic Chromatin IP Kit (Magnetic Beads) #9005. The enriched DNA was quantified by real-time PCR, using human POMC promoter primers and human Stat2 promoter primers. The amount of immunoprecipitated DNA in each sample is represented as signal relative to the total amount of input chromatin, which is equivalent to one.
undefined Image 28: DNA Methylation Antibody Sampler Kit
Orders: 877-616-CELL (2355) [email protected] Support: 877-678-TECH (8324) [email protected] Web: cellsignal.com
For Research Use Only. Not for Use in Diagnostic Procedures.