Revision 3

#33437

Store at -20C

ECM Profiling Antibody Sampler Kit

1 Kit

(9 x 20 microliters)

CST Logo
Orders:

877-616-CELL (2355)

[email protected]

Support:

877-678-TECH (8324)

3 Trask Lane | Danvers | Massachusetts | 01923 | USA

For Research Use Only. Not for Use in Diagnostic Procedures.

Product Includes Product # Quantity Mol. Wt Isotype/Source
MMP-1 (E9S9N) Rabbit Monoclonal Antibody5437620 µl55 kDaRabbit IgG
MMP-2 (D4M2N) Rabbit Monoclonal Antibody4099420 µl64,72 kDaRabbit IgG
MMP-9 (D6O3H) Rabbit Monoclonal Antibody1366720 µl84, 92 kDaRabbit IgG
MMP-13 (E4W3T) Rabbit Monoclonal Antibody6992620 µl60 kDaRabbit IgG
Fibronectin/FN1 (E5H6X) Rabbit Monoclonal Antibody2683620 µl300 kDaRabbit IgG
MMP-3 (D7F5B) Rabbit Monoclonal Antibody1435120 µl60 kDaRabbit IgG
LOX (D8F2K) Rabbit Monoclonal Antibody5813520 µl54, 56 kDaRabbit IgG
COL11A1 (E6O7R) Rabbit Monoclonal Antibody7045820 µl250 kDaRabbit IgG
COL1A1 (E6A8E) Rabbit Monoclonal Antibody3995220 µl220 kDaRabbit IgG
Anti-rabbit IgG, HRP-linked Antibody7074100 µlGoat

Please visit cellsignal.com for individual component applications, species cross-reactivity, dilutions, protocols, and additional product information.

Description

The ECM Profiling Antibody Sampler Kit provides an economical means of detecting endogenous levels of the specific ECM components using the corresponding antibodies. The kit includes enough antibodies to perform two western blot experiments with each primary antibody.

Storage

Supplied in 10 mM sodium HEPES (pH 7.5), 150 mM NaCl, 100 µg/ml BSA, 50% glycerol and less than 0.02% sodium azide. Store at –20°C. Do not aliquot the antibody.

Background

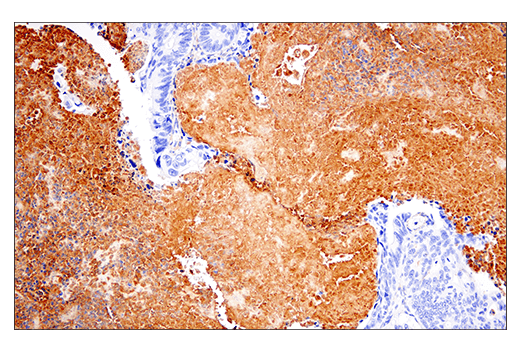
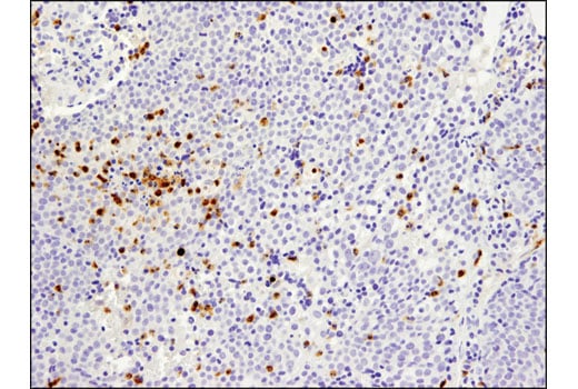
The extracellular matrix (ECM) is a cell surface associated three-dimensional macromolecular network composed of collagens, proteoglycans/glycosaminoglycans, elastin, fibronectin, laminins, and several other glycoproteins (1). The network provides a dynamic microenvironment surrounding the cell enabling it to carry on its function. Among the ECM proteins, fibronectin functions as a mediator to bridge distinct ECM components such as collagens, growth factors, as well as cell surface integrins to regulate ECM structural change and initiate signaling pathways (2). During normal development and pathological conditions, the ECM network is highly dynamic and continuously undergoes remodeling marked by the change of the ECM structural components, such as COL1A1, COL11A1, fibronectin, and versican. The matrix-degrading enzyme MMPs such as MMP1, MMP2, and MMP9 are highly involved in this process (4). Additional players in this process are the LOX family members of lysyl oxidase. They catalyze the first step of the covalent cross-linking of ECM proteins, collagens, and elastin, which contributes to ECM stiffness and mechanical properties (5).

Trademarks and Patents

Cell Signaling Technology is a trademark of Cell Signaling Technology, Inc.

All other trademarks are the property of their respective owners. Visit cellsignal.com/trademarks for more information.

Limited Uses

Except as otherwise expressly agreed in a writing signed by a legally authorized representative of CST, the following terms apply to Products provided by CST, its affiliates or its distributors. Any Customer's terms and conditions that are in addition to, or different from, those contained herein, unless separately accepted in writing by a legally authorized representative of CST, are rejected and are of no force or effect.

Products are labeled with For Research Use Only or a similar labeling statement and have not been approved, cleared, or licensed by the FDA or other regulatory foreign or domestic entity, for any purpose. Customer shall not use any Product for any diagnostic or therapeutic purpose, or otherwise in any manner that conflicts with its labeling statement. Products sold or licensed by CST are provided for Customer as the end-user and solely for research and development uses. Any use of Product for diagnostic, prophylactic or therapeutic purposes, or any purchase of Product for resale (alone or as a component) or other commercial purpose, requires a separate license from CST. Customer shall (a) not sell, license, loan, donate or otherwise transfer or make available any Product to any third party, whether alone or in combination with other materials, or use the Products to manufacture any commercial products, (b) not copy, modify, reverse engineer, decompile, disassemble or otherwise attempt to discover the underlying structure or technology of the Products, or use the Products for the purpose of developing any products or services that would compete with CST products or services, (c) not alter or remove from the Products any trademarks, trade names, logos, patent or copyright notices or markings, (d) use the Products solely in accordance with CST Product Terms of Sale and any applicable documentation, and (e) comply with any license, terms of service or similar agreement with respect to any third party products or services used by Customer in connection with the Products.

Orders: 877-616-CELL (2355) [email protected] Support: 877-678-TECH (8324) [email protected] Web: cellsignal.com
For Research Use Only. Not for Use in Diagnostic Procedures.

Revision 3

Cell Signaling Technology Logo
Western blot analysis of concentrated, serum-free cultured medium from U-2 OS cells, untreated (-) or treated with TPA #4174 (200 nM, 48 hr; +), using MMP-9 (D6O3H) XP® Rabbit mAb.
undefined Image 1: ECM Profiling Antibody Sampler Kit
Western blot analysis of extracts from various cell lines using MMP-3 (D7F5B) Rabbit mAb.
undefined Image 2: ECM Profiling Antibody Sampler Kit
Western blot analysis of extracts from various cell lines using Fibronectin/FN1 (E5H6X) Rabbit mAb (upper) and β-Actin (D6A8) Rabbit mAb #8457 (lower). The absence of Fibronectin/FN1 expression in PANC-1 cell extracts is consistent with molecular and proteomic expression profiling data, confirming specificity of the antibody.
undefined Image 3: ECM Profiling Antibody Sampler Kit
Orders: 877-616-CELL (2355) [email protected] Support: 877-678-TECH (8324) [email protected] Web: cellsignal.com
For Research Use Only. Not for Use in Diagnostic Procedures.

Revision 3

Cell Signaling Technology Logo
Western blot analysis of extracts from various cell lines using COL1A1 (E6A8E) Rabbit mAb (upper) and β-Actin (D6A8) Rabbit mAb #8457 (lower).
undefined Image 4: ECM Profiling Antibody Sampler Kit
Western blot analysis of extracts from various cell lines using MMP-2 (D4M2N) Rabbit mAb (upper) and β-Actin (D6A8) Rabbit mAb #8457 (lower).
undefined Image 5: ECM Profiling Antibody Sampler Kit
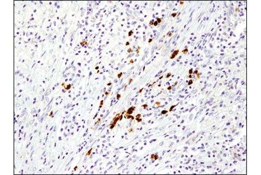
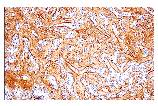
Immunohistochemical analysis of paraffin-embedded human colon carcinoma using MMP-1 (E9S9N) Rabbit Monoclonal Antibody.
undefined Image 6: ECM Profiling Antibody Sampler Kit
Orders: 877-616-CELL (2355) [email protected] Support: 877-678-TECH (8324) [email protected] Web: cellsignal.com
For Research Use Only. Not for Use in Diagnostic Procedures.

Revision 3

Cell Signaling Technology Logo
Western blot analysis of extracts from various cell lines using LOX (D8F2K) Rabbit mAb (upper) and β-Actin (D6A8) Rabbit mAb #8457 (lower).
undefined Image 7: ECM Profiling Antibody Sampler Kit
Western blot analysis of extracts from various cell lines using MMP-13 (E4W3T) Rabbit mAb (upper) and β-Actin (D6A8) Rabbit mAb #8457 (lower).
undefined Image 8: ECM Profiling Antibody Sampler Kit
Western blot analysis of extracts from various cell lines using COL11A1 (E6O7R) Rabbit mAb (upper), or

β-Actin (D6A8) Rabbit mAb #8457 (lower). As expected, A-204 cells have higher levels of COL11A1 expression as compared to the other cell lines shown.

undefined Image 9: ECM Profiling Antibody Sampler Kit
Orders: 877-616-CELL (2355) [email protected] Support: 877-678-TECH (8324) [email protected] Web: cellsignal.com
For Research Use Only. Not for Use in Diagnostic Procedures.

Revision 3

Cell Signaling Technology Logo
After the primary antibody is bound to the target protein, a complex with HRP-linked secondary antibody is formed. The LumiGLO® is added and emits light during enzyme catalyzed decomposition.
undefined Image 10: ECM Profiling Antibody Sampler Kit
Western blot analysis of extracts and concentrated culture medium from U-2 OS cells, untreated (-) or treated with TPA #4174 (200 nM, 48 hr; +) using MMP-9 (D6O3H) XP® Rabbit mAb. MMP-9 is induced by TPA treatment as expected.
undefined Image 11: ECM Profiling Antibody Sampler Kit
Immunoprecipitation of Fibronectin/FN1 protein from Hep G2 cell extracts. Lane 1 is 10% input, lane 2 is Rabbit (DA1E) mAb IgG XP® Isotype Control #3900, and lane 3 is Fibronectin/FN1 (E5H6X) Rabbit mAb. Western blot analysis was performed using Fibronectin/FN1 (E5H6X) Rabbit mAb. Anti-rabbit IgG, HRP-linked Antibody #7074 was used as a secondary antibody.
undefined Image 12: ECM Profiling Antibody Sampler Kit
Orders: 877-616-CELL (2355) [email protected] Support: 877-678-TECH (8324) [email protected] Web: cellsignal.com
For Research Use Only. Not for Use in Diagnostic Procedures.

Revision 3

Cell Signaling Technology Logo
Immunoprecipitation of COL1A1 protein from SK-N-SH cell extracts. Lane 1 is 10% input, lane 2 is Rabbit (DA1E) mAb IgG XP® Isotype Control #3900, and lane 3 is COL1A1 (E6A8E) Rabbit mAb. Western blot analysis was performed using COL1A1 (E6A8E) Rabbit mAb. Anti-rabbit IgG, HRP-linked Antibody #7074 was used as secondary antibody..
undefined Image 13: ECM Profiling Antibody Sampler Kit
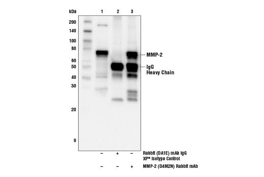
Immunoprecipitation of MMP-2 protein from U-118MG cell extracts. Lane 1 is 10% input, lane 2 is Rabbit (DA1E) mAb IgG XP® Isotype Control #3900, and lane 3 is MMP-2 (D4M2N) Rabbit mAb. Western blot analysis was performed using MMP-2 (D4M2N) Rabbit mAb as primary antibody. Anti-rabbit IgG, HRP-linked Antibody #7074 was used as secondary antibody.
undefined Image 14: ECM Profiling Antibody Sampler Kit
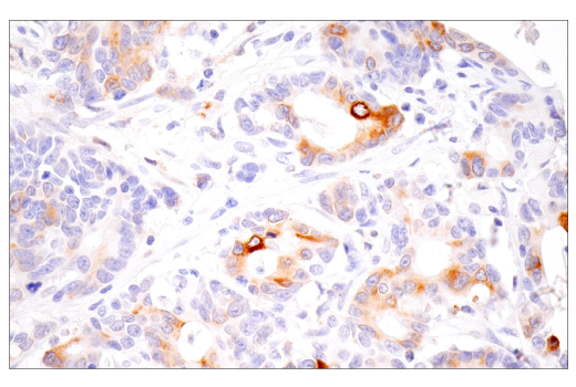
Immunohistochemical analysis of paraffin-embedded human mucinous cystadenocarcinoma of the ovary using MMP-1 (E9S9N) Rabbit Monoclonal Antibody.
undefined Image 15: ECM Profiling Antibody Sampler Kit
Orders: 877-616-CELL (2355) [email protected] Support: 877-678-TECH (8324) [email protected] Web: cellsignal.com
For Research Use Only. Not for Use in Diagnostic Procedures.

Revision 3

Cell Signaling Technology Logo
Immunohistochemical analysis of paraffin-embedded human breast carcinoma using MMP-9 (D6O3H) XP® Rabbit mAb.
undefined Image 16: ECM Profiling Antibody Sampler Kit
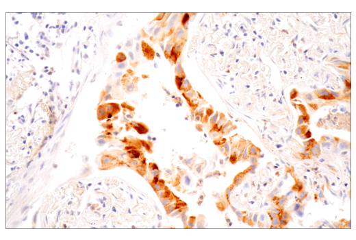
Immunohistochemical analysis of paraffin-embedded human neuroendocrine carcinoma of the lung using Fibronectin/FN1 (E5H6X) Rabbit mAb performed on the Leica® BOND™ Rx.
undefined Image 17: ECM Profiling Antibody Sampler Kit
Confocal immunofluorescent analysis of U-118 MG cells (left, positive) and HT-29 cells (right, negative) using COL1A1 (E6A8E) Rabbit mAb (green). Actin filaments were labeled with DyLight™ 554 Phalloidin #13054 (red). Samples were mounted in ProLong® Gold Antifade Reagent with DAPI #8961 (blue).
undefined Image 18: ECM Profiling Antibody Sampler Kit
Orders: 877-616-CELL (2355) [email protected] Support: 877-678-TECH (8324) [email protected] Web: cellsignal.com
For Research Use Only. Not for Use in Diagnostic Procedures.

Revision 3

Cell Signaling Technology Logo
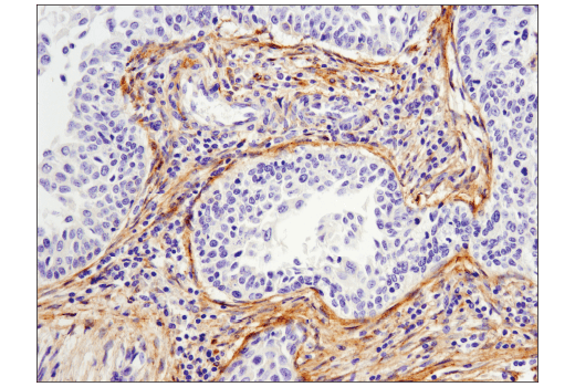
Immunohistochemical analysis of paraffin-embedded human bladder adenocarcinoma using MMP-2 (D4M2N) Rabbit mAb.
undefined Image 19: ECM Profiling Antibody Sampler Kit
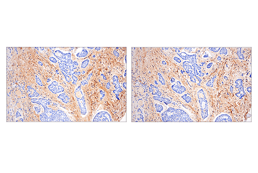
Immunohistochemical analysis of paraffin-embedded human squamous cell lung carcinoma using MMP-1 (E9S9N) Rabbit Monoclonal Antibody.
undefined Image 20: ECM Profiling Antibody Sampler Kit
Immunohistochemical analysis of paraffin-embedded human lung carcinoma using MMP-9 (D6O3H) XP® Rabbit mAb.
undefined Image 21: ECM Profiling Antibody Sampler Kit
Orders: 877-616-CELL (2355) [email protected] Support: 877-678-TECH (8324) [email protected] Web: cellsignal.com
For Research Use Only. Not for Use in Diagnostic Procedures.

Revision 3

Cell Signaling Technology Logo
Immunohistochemical analysis of paraffin-embedded Hep G2 cell pellet (left, positive) or PANC-1 cell pellet (right, negative) using Fibronectin/FN1 (E5H6X) Rabbit mAb.
undefined Image 22: ECM Profiling Antibody Sampler Kit
Immunohistochemical analysis of paraffin-embedded U-87 MG cell pellet (left, positive) or HCT-15 cell pellet (right, negative) using MMP-2 (D4M2N) Rabbit mAb.
undefined Image 23: ECM Profiling Antibody Sampler Kit
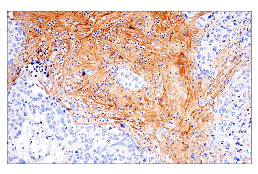
Immunohistochemical analysis of paraffin-embedded normal human gall bladder using MMP-1 (E9S9N) Rabbit Monoclonal Antibody.
undefined Image 24: ECM Profiling Antibody Sampler Kit
Orders: 877-616-CELL (2355) [email protected] Support: 877-678-TECH (8324) [email protected] Web: cellsignal.com
For Research Use Only. Not for Use in Diagnostic Procedures.

Revision 3

Cell Signaling Technology Logo
Immunohistochemical analysis of paraffin-embedded U-2 OS cell pellets, untreated (left) or treated with TPA #4174 (right), using MMP-9 (D6O3H) XP® Rabbit mAb.
undefined Image 25: ECM Profiling Antibody Sampler Kit
Immunohistochemical analysis of paraffin-embedded human colon adenocarcinoma using Fibronectin/FN1 (E5H6X) Rabbit mAb.
undefined Image 26: ECM Profiling Antibody Sampler Kit
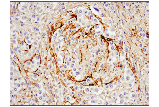
Immunohistochemical analysis of paraffin-embedded human cervical carcinoma using MMP-2 (D4M2N) Rabbit mAb.
undefined Image 27: ECM Profiling Antibody Sampler Kit
Orders: 877-616-CELL (2355) [email protected] Support: 877-678-TECH (8324) [email protected] Web: cellsignal.com
For Research Use Only. Not for Use in Diagnostic Procedures.

Revision 3

Cell Signaling Technology Logo
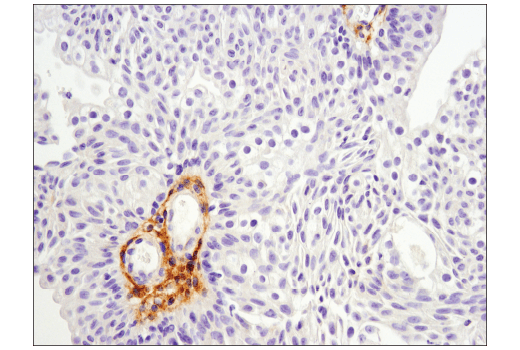
Immunohistochemical analysis of paraffin-embedded human lung adenocarcinoma using MMP-1 (E9S9N) Rabbit mAb.
undefined Image 28: ECM Profiling Antibody Sampler Kit
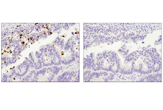
Immunohistochemical analysis of paraffin-embedded human colon carcinoma using MMP-9 (D6O3H) XP® Rabbit mAb in the presence of control peptide (left) or antigen-specific peptide (right).
undefined Image 29: ECM Profiling Antibody Sampler Kit
Immunohistochemical analysis of paraffin-embedded human ductal breast carcinoma using Fibronectin/FN1 (E5H6X) Rabbit mAb.
undefined Image 30: ECM Profiling Antibody Sampler Kit
Orders: 877-616-CELL (2355) [email protected] Support: 877-678-TECH (8324) [email protected] Web: cellsignal.com
For Research Use Only. Not for Use in Diagnostic Procedures.

Revision 3

Cell Signaling Technology Logo
Immunohistochemical analysis of paraffin-embedded human urothelial carcinoma using MMP-2 (D4M2N) Rabbit mAb.
undefined Image 31: ECM Profiling Antibody Sampler Kit
Immunohistochemical analysis of paraffin-embedded human esophageal carcinoma using MMP-1 (E9S9N) Rabbit mAb.
undefined Image 32: ECM Profiling Antibody Sampler Kit
Immunohistochemical analysis of paraffin-embedded human adenoid cystic carcinoma of the trachea using Fibronectin/FN1 (E5H6X) Rabbit mAb (left) or Fibronectin Rabbit mAb (right). These two antibodies detect independent, unique epitopes on human Fibronectin/FN1 protein. The similar staining patterns obtained with both antibodies help to confirm the specificity of the staining.
undefined Image 33: ECM Profiling Antibody Sampler Kit
Orders: 877-616-CELL (2355) [email protected] Support: 877-678-TECH (8324) [email protected] Web: cellsignal.com
For Research Use Only. Not for Use in Diagnostic Procedures.

Revision 3

Cell Signaling Technology Logo
Confocal immunofluorescent analysis of U-87MG cells (left, positive) and HCT-15 cells (right, negative) using MMP-2 (D4M2N) Rabbit mAb (green). Actin filaments were labeled with DyLight™ 554 Phalloidin #13054 (red). Blue pseudocolor = DRAQ5® #4084 (fluorescent DNA dye).
undefined Image 34: ECM Profiling Antibody Sampler Kit
Immunohistochemical analysis of paraffin-embedded human ductal breast carcinoma (left), lung adenocarcinoma (middle) or squamous cell lung carcinoma (right) using MMP-1 (E9S9N) Rabbit mAb (top) or an MMP-1 Rabbit mAb (bottom). These two antibodies detect unique, non-overlapping epitopes on human MMP-1. The similar staining patterns obtained with both antibodies help to confirm the specificity of the staining.
undefined Image 35: ECM Profiling Antibody Sampler Kit
Flow cytometric analysis of U-2 OS cells, untreated (blue) or treated with TPA (12-O-Tetradecanoylphorbol-13-Acetate) #4174 (200 nM, 24 hr; green) using MMP-9 (D6O3H) XP® Rabbit mAb (solid lines) or concentration-matched Rabbit (DA1E) mAb IgG XP® Isotype Control #3900 (dashed lines). Anti-rabbit IgG (H+L), F(ab')2 Fragment (Alexa Fluor® 488 Conjugate) #4412 was used as a secondary antibody.
undefined Image 36: ECM Profiling Antibody Sampler Kit
Orders: 877-616-CELL (2355) [email protected] Support: 877-678-TECH (8324) [email protected] Web: cellsignal.com
For Research Use Only. Not for Use in Diagnostic Procedures.

Revision 3

Cell Signaling Technology Logo
Immunohistochemical analysis of paraffin-embedded human colon adenocarcinoma using Fibronectin/FN1 (E5H6X) Rabbit mAb (left) compared to concentration-matched Rabbit (DA1E) mAb IgG XP® Isotype Control #3900 (right).
undefined Image 37: ECM Profiling Antibody Sampler Kit
Immunohistochemical analysis of paraffin-embedded human squamous cell lung carcinoma using MMP-1 (E9S9N) Rabbit mAb (left) compared to concentration-matched Rabbit (DA1E) mAb IgG XP® Isotype Control #3900 (right).
undefined Image 38: ECM Profiling Antibody Sampler Kit
Immunohistochemical analysis of paraffin-embedded human lung adenocarcinoma using Fibronectin/FN1 (E5H6X) Rabbit mAb.
undefined Image 39: ECM Profiling Antibody Sampler Kit
Orders: 877-616-CELL (2355) [email protected] Support: 877-678-TECH (8324) [email protected] Web: cellsignal.com
For Research Use Only. Not for Use in Diagnostic Procedures.

Revision 3

Cell Signaling Technology Logo
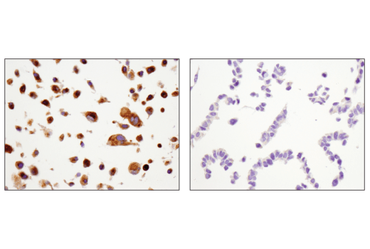
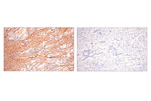
Immunohistochemical analysis of paraffin-embedded SCaBER cell pellet (left, positive) or HT-29 cell pellet (right, negative) using MMP-1 (E9S9N) Rabbit mAb.
undefined Image 40: ECM Profiling Antibody Sampler Kit
Immunohistochemical analysis of paraffin-embedded human B-cell non-Hodgkin lymphoma using Fibronectin/FN1 (E5H6X) Rabbit mAb.
undefined Image 41: ECM Profiling Antibody Sampler Kit
Confocal immunofluorescent analysis of U-118 MG cells (left, positive) and PANC-1 cells (right, negative) using Fibronectin/FN1 (E5H6X) Rabbit mAb (green). Actin filaments were labeled with DyLight™ 650 Phalloidin #12956 (red). Samples were mounted in ProLong® Gold Antifade Reagent with DAPI #8961 (blue).
undefined Image 42: ECM Profiling Antibody Sampler Kit
Orders: 877-616-CELL (2355) [email protected] Support: 877-678-TECH (8324) [email protected] Web: cellsignal.com
For Research Use Only. Not for Use in Diagnostic Procedures.

Revision 3

Cell Signaling Technology Logo
Flow cytometric analysis of serum starved U-2 OS cells, untreated (blue) or treated with TPA (200nM, 24 hours) using MMP-9 (D6O3H) XP Rabbit mAb (green). Anti-rabbit IgG (H+L), F(ab')2 Fragment (PE Conjugate) was used as a secondary antibody.
undefined Image 43: ECM Profiling Antibody Sampler Kit
Orders: 877-616-CELL (2355) [email protected] Support: 877-678-TECH (8324) [email protected] Web: cellsignal.com
For Research Use Only. Not for Use in Diagnostic Procedures.

Revision 3

Cell Signaling Technology Logo
Western blot analysis of extracts from various cell lines using MMP-1 (E9S9N) Rabbit mAb (upper) and β-Actin (D6A8) Rabbit mAb #8457 (lower).
undefined Image 44: ECM Profiling Antibody Sampler Kit
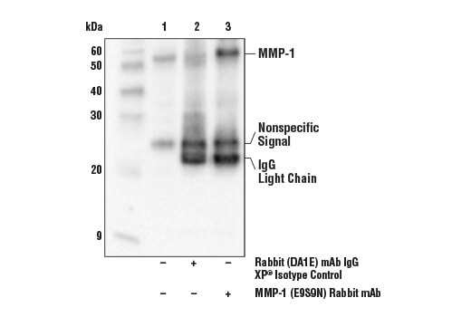
Immunoprecipitation of MMP-1 protein from SCaBER cell extracts. Lane 1 is 10% input, lane 2 is Rabbit (DA1E) mAb IgG XP® Isotype Control #3900, and lane 3 is MMP-1 (E9S9N) Rabbit mAb. Western blot analysis was performed using MMP-1 (E9S9N) Rabbit mAb. Anti-rabbit IgG (light chain specific), HRP-linked Antibody was used as secondary antibody.
undefined Image 45: ECM Profiling Antibody Sampler Kit
Immunohistochemical analysis of paraffin-embedded SCaBER cell pellet (left, positive) or HT-29 cell pellet (right, negative) using MMP-1 (E9S9N) Rabbit mAb.
undefined Image 46: ECM Profiling Antibody Sampler Kit
Orders: 877-616-CELL (2355) [email protected] Support: 877-678-TECH (8324) [email protected] Web: cellsignal.com
For Research Use Only. Not for Use in Diagnostic Procedures.

Revision 3

Cell Signaling Technology Logo
Confocal immunofluorescent analysis of SCaBER cells (left, positive) or HT-29 cells (right, negative), using MMP-1 (E9S9N) Rabbit mAb (green), DyLight 650 Phalloidin #12956 (red), and DAPI #4083 (blue).
undefined Image 47: ECM Profiling Antibody Sampler Kit
Orders: 877-616-CELL (2355) [email protected] Support: 877-678-TECH (8324) [email protected] Web: cellsignal.com
For Research Use Only. Not for Use in Diagnostic Procedures.