Revision 7

#6997

Store at -20C

CST Logo
Orders:

877-616-CELL (2355)

[email protected]

Support:

877-678-TECH (8324)

3 Trask Lane | Danvers | Massachusetts | 01923 | USA

For Research Use Only. Not for Use in Diagnostic Procedures.

Applications:
W, IP, IHC-Bond, IHC-P, IF-IC

Reactivity:
H M R Mk

Sensitivity:
Endogenous

MW (kDa):
125

Source/Isotype:
Rabbit IgG

UniProt ID:
#P29317

Entrez-Gene Id:
1969

Product Usage Information

Application Dilution
Western Blotting 1:1000
Immunoprecipitation 1:100
IHC Leica Bond 1:50 - 1:200
Immunohistochemistry (Paraffin) 1:100 - 1:400
Immunofluorescence (Immunocytochemistry) 1:200 - 1:800

Storage

Supplied in 10 mM sodium HEPES (pH 7.5), 150 mM NaCl, 100 µg/ml BSA, 50% glycerol and less than 0.02% sodium azide. Store at –20°C. Do not aliquot the antibody.

For a carrier free (BSA and azide free) version of this product see product #27968.

Specificity/Sensitivity

EphA2 (D4A2) Rabbit Monoclonal Antibody recognizes endogenous levels of total EphA2 protein.

Source / Purification

Monoclonal antibody is produced by immunizing animals with human EphA2 recombinant protein. The antibody recognizes residues surrounding Arg907 of human EphA2.

Background

The Eph receptors are the largest known family of receptor tyrosine kinases (RTKs). They can be divided into two groups based on sequence similarity and on their preference for a subset of ligands: EphA receptors bind to a glycosylphosphatidylinositol-anchored ephrin A ligand; EphB receptors bind to ephrin B proteins that have a transmembrane and cytoplasmic domain (1,2). Research studies have shown that Eph receptors and ligands may be involved in many diseases including cancer (3). Both ephrin A and B ligands have dual functions. As RTK ligands, ephrins stimulate the kinase activity of Eph receptors and activate signaling pathways in receptor-expressing cells. The ephrin extracellular domain is sufficient for this function as long as it is clustered (4). The second function of ephrins has been described as "reverse signaling", whereby the cytoplasmic domain becomes tyrosine phosphorylated, allowing interactions with other proteins that may activate signaling pathways in the ligand-expressing cells (5). Various stimuli can induce tyrosine phosphorylation of ephrin B, including binding to EphB receptors, activation of Src kinase, and stimulation by PDGF and FGF (6). Tyr324 and Tyr327 have been identified as major phosphorylation sites of ephrin B1 in vivo (7).

EphA2 is overexpressed in various tumor cells, and it has been suggested that EphA2 may promote malignancy. However, several studies demonstrate that EphA2 plays an important role in tumor suppression (8). The role of EphA2 in tumor development may depend upon regulation of its tyrosine kinase activity.

Species Reactivity

Species reactivity is determined by testing in at least one approved application (e.g., western blot).

Western Blot Buffer

IMPORTANT: For western blots, incubate membrane with diluted primary antibody in 5% w/v BSA, 1X TBS, 0.1% Tween® 20 at 4°C with gentle shaking, overnight.

Applications Key

W: Western Blotting IP: Immunoprecipitation IHC-Bond: IHC Leica Bond IHC-P: Immunohistochemistry (Paraffin) IF-IC: Immunofluorescence (Immunocytochemistry)

Cross-Reactivity Key

H: Human M: Mouse R: Rat Mk: Monkey

Trademarks and Patents

Cell Signaling Technology is a trademark of Cell Signaling Technology, Inc.

All other trademarks are the property of their respective owners. Visit cellsignal.com/trademarks for more information.

Limited Uses

Except as otherwise expressly agreed in a writing signed by a legally authorized representative of CST, the following terms apply to Products provided by CST, its affiliates or its distributors. Any Customer's terms and conditions that are in addition to, or different from, those contained herein, unless separately accepted in writing by a legally authorized representative of CST, are rejected and are of no force or effect.

Products are labeled with For Research Use Only or a similar labeling statement and have not been approved, cleared, or licensed by the FDA or other regulatory foreign or domestic entity, for any purpose. Customer shall not use any Product for any diagnostic or therapeutic purpose, or otherwise in any manner that conflicts with its labeling statement. Products sold or licensed by CST are provided for Customer as the end-user and solely for research and development uses. Any use of Product for diagnostic, prophylactic or therapeutic purposes, or any purchase of Product for resale (alone or as a component) or other commercial purpose, requires a separate license from CST. Customer shall (a) not sell, license, loan, donate or otherwise transfer or make available any Product to any third party, whether alone or in combination with other materials, or use the Products to manufacture any commercial products, (b) not copy, modify, reverse engineer, decompile, disassemble or otherwise attempt to discover the underlying structure or technology of the Products, or use the Products for the purpose of developing any products or services that would compete with CST products or services, (c) not alter or remove from the Products any trademarks, trade names, logos, patent or copyright notices or markings, (d) use the Products solely in accordance with CST Product Terms of Sale and any applicable documentation, and (e) comply with any license, terms of service or similar agreement with respect to any third party products or services used by Customer in connection with the Products.

Orders: 877-616-CELL (2355) [email protected] Support: 877-678-TECH (8324) [email protected] Web: cellsignal.com
For Research Use Only. Not for Use in Diagnostic Procedures.

Revision 7

Cell Signaling Technology Logo
Western blot analysis of extracts from various cell lines using EphA2 (D4A2) XP® Rabbit mAb
Western Blotting Image 1: EphA2 (D4A2) Rabbit Monoclonal Antibody
Immunoprecipitation of EphA2 from MDA-MB-231 cell extracts. Lane 1 is 10% input, lane 2 is Rabbit (DA1E) mAb IgG XP® Isotype Control #3900, and lane 3 is EphA2 (D4A2) XP® Rabbit mAb. Western blot was performed using EphA2 (D4A2) XP® Rabbit mAb.
Immunoprecipitation Image 1: EphA2 (D4A2) Rabbit Monoclonal Antibody
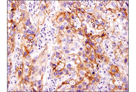
Immunohistochemical analysis of paraffin-embedded human urothelial carcinoma using EphA2 (D4A2) XP® Rabbit mAb performed on the Leica BOND Rx.
Immunohistochemistry Image 1: EphA2 (D4A2) Rabbit Monoclonal Antibody
Orders: 877-616-CELL (2355) [email protected] Support: 877-678-TECH (8324) [email protected] Web: cellsignal.com
For Research Use Only. Not for Use in Diagnostic Procedures.

Revision 7

Cell Signaling Technology Logo
Immunohistochemical analysis of paraffin-embedded normal human salivary gland using EphA2 (D4A2) XP® Rabbit mAb performed on the Leica BOND Rx.
Immunohistochemistry Image 2: EphA2 (D4A2) Rabbit Monoclonal Antibody
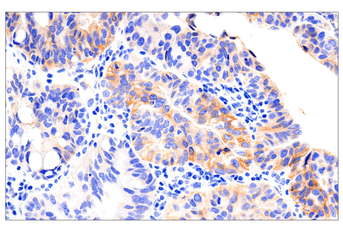
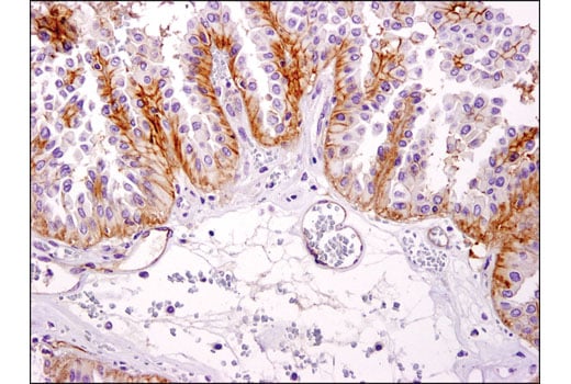
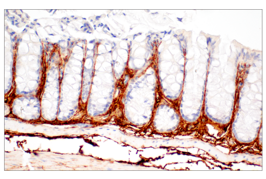
Immunohistochemical analysis of paraffin-embedded human colon carcinoma using EphA2 (D4A2) XP® Rabbit mAb performed on the Leica BOND Rx.
Immunohistochemistry Image 3: EphA2 (D4A2) Rabbit Monoclonal Antibody
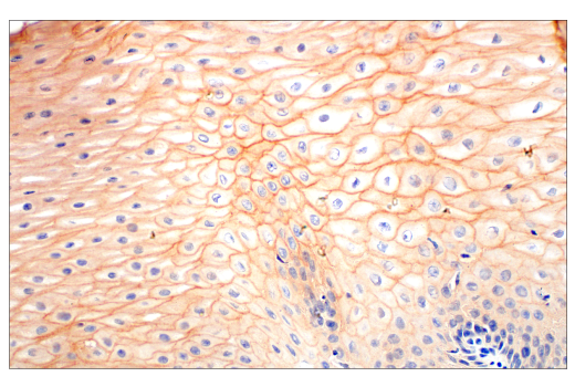
Immunohistochemical analysis of paraffin-embedded human esophageal carcinoma using EphA2 (D4A2) XP®Rabbit mAb performed on the Leica BOND Rx.
Immunohistochemistry Image 4: EphA2 (D4A2) Rabbit Monoclonal Antibody
Orders: 877-616-CELL (2355) [email protected] Support: 877-678-TECH (8324) [email protected] Web: cellsignal.com
For Research Use Only. Not for Use in Diagnostic Procedures.

Revision 7

Cell Signaling Technology Logo
Immunohistochemical analysis of paraffin-embedded human papillary thyroid carcinoma using EphA2 (D4A2) XP® Rabbit mAb performed on the Leica BOND Rx.
Immunohistochemistry Image 5: EphA2 (D4A2) Rabbit Monoclonal Antibody
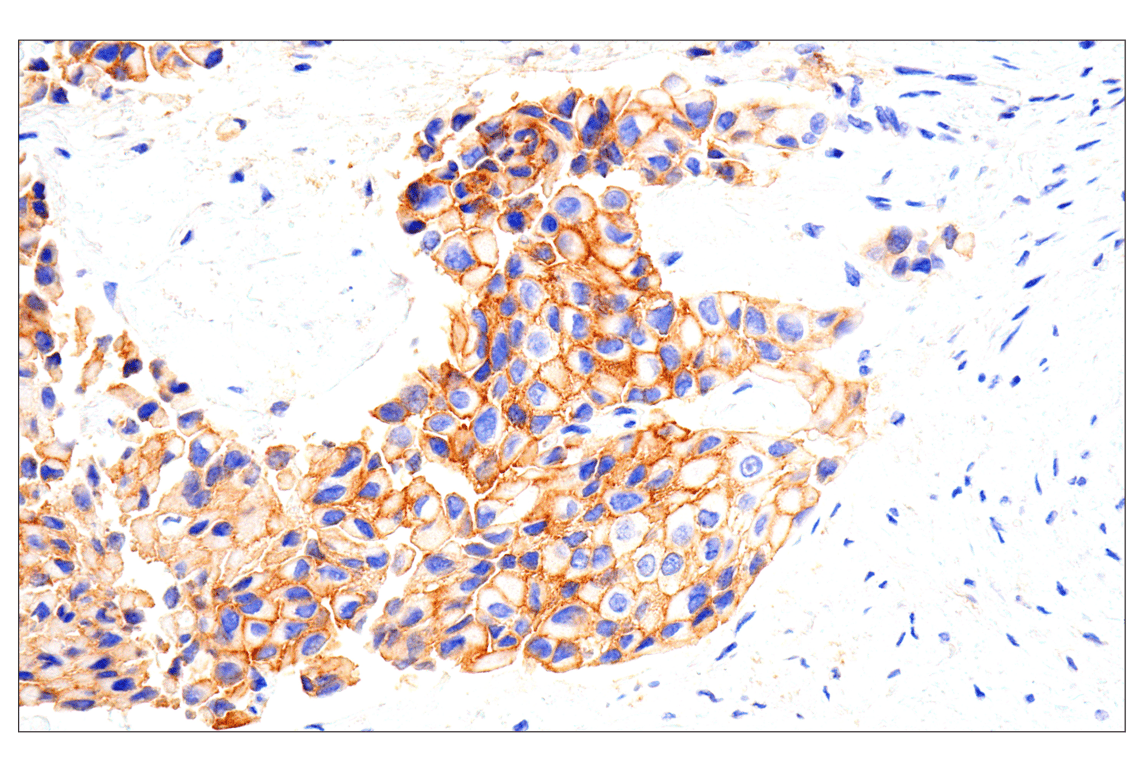
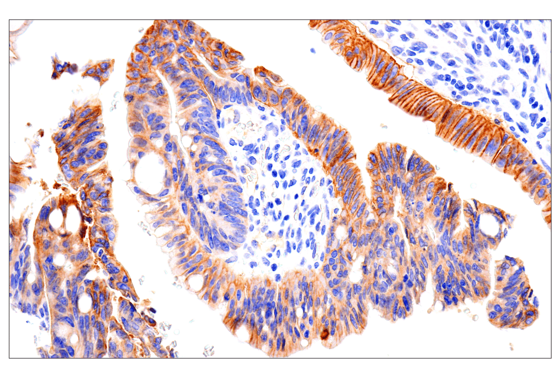
Immunohistochemical analysis of paraffin-embedded human non-small cell lung carcinoma using EphA2 (D4A2) XP® Rabbit mAb.
Immunohistochemistry Image 1: EphA2 (D4A2) Rabbit Monoclonal Antibody
Immunohistochemical analysis of paraffin-embedded ovarian carcinoma using EphA2 (D4A2) XP® Rabbit mAb.
Immunohistochemistry Image 2: EphA2 (D4A2) Rabbit Monoclonal Antibody
Orders: 877-616-CELL (2355) [email protected] Support: 877-678-TECH (8324) [email protected] Web: cellsignal.com
For Research Use Only. Not for Use in Diagnostic Procedures.

Revision 7

Cell Signaling Technology Logo
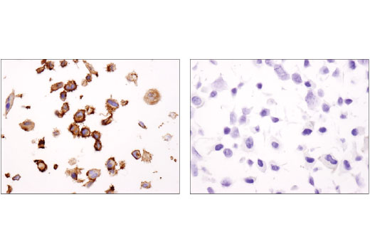
Immunohistochemical analysis of paraffin-embedded SNB19 (left) and SK-MEL-28 (right) cell pellets using EphA2 (D4A2) XP® Rabbit mAb.
Immunohistochemistry Image 3: EphA2 (D4A2) Rabbit Monoclonal Antibody
Immunohistochemical analysis of paraffin-embedded normal human esophagus using EphA2 (D4A2) XP® Rabbit mAb.
Immunohistochemistry Image 4: EphA2 (D4A2) Rabbit Monoclonal Antibody
Immunohistochemical analysis of paraffin-embedded mouse colon using EphA2 (D4A2) XP® Rabbit mAb.
Immunohistochemistry Image 5: EphA2 (D4A2) Rabbit Monoclonal Antibody
Orders: 877-616-CELL (2355) [email protected] Support: 877-678-TECH (8324) [email protected] Web: cellsignal.com
For Research Use Only. Not for Use in Diagnostic Procedures.

Revision 7

Cell Signaling Technology Logo
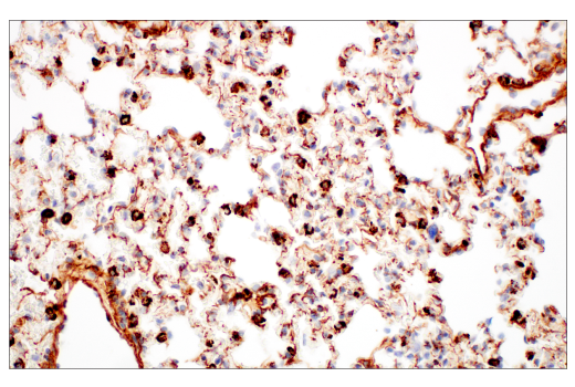
Immunohistochemical analysis of paraffin-embedded mouse lung using EphA2 (D4A2) XP® Rabbit mAb.
Immunohistochemistry Image 6: EphA2 (D4A2) Rabbit Monoclonal Antibody
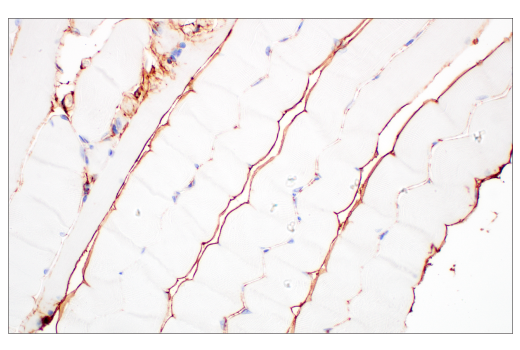
Immunohistochemical analysis of paraffin-embedded mouse skeletal muscle using EphA2 (D4A2) XP® Rabbit mAb.
Immunohistochemistry Image 7: EphA2 (D4A2) Rabbit Monoclonal Antibody
Confocal immunofluorescent analysis of A549 cells (left) and SK-MEL-28 cells (right) using EphA2 (D4A2) XP® Rabbit mAb (green). Blue pseudocolor = DRAQ5® #4084 (fluorescent DNA dye).
Immunofluorescence Image 1: EphA2 (D4A2) Rabbit Monoclonal Antibody
Orders: 877-616-CELL (2355) [email protected] Support: 877-678-TECH (8324) [email protected] Web: cellsignal.com
For Research Use Only. Not for Use in Diagnostic Procedures.