Render Target: STATIC
Render Timestamp:
5/29/2026, 5:51:04 AM EDT
5/29/2026, 9:51:04 AM UTC
Commit: 7ed46ecc04b401f23a28df741b5078df405d23e4
XML generation date: 2025-11-12 16:10:30.559
Product last modified at: 2026-03-20T08:06:26.981Z
Cell Signaling Technology Logo - Extra Large
1% for the planet logo
PDP - Template Name: Monoclonal Antibody
PDP - Template ID: *******c5e4b77
Trial Size Available Flag
Recombinant Flag
Recombinant: Superior lot-to-lot consistency, continuous supply, and animal-free manufacturing.

EphA2 (D4A2) Rabbit Monoclonal Antibody #6997

Filter:
  • WB
  • IP
  • IHC
  • IF

    Product Specifications

    REACTIVITY H M R Mk
    SENSITIVITY Endogenous
    MW (kDa) 125
    Source/Isotype Rabbit IgG
    Application Key:
    • WB-Western Blotting 
    • IP-Immunoprecipitation 
    • IHC-Immunohistochemistry 
    • IF-Immunofluorescence 
    Species Cross-Reactivity Key:
    • H-Human 
    • M-Mouse 
    • R-Rat 
    • Mk-Monkey 

    Product Information

    Product Usage Information

    Application Dilution
    Western Blotting 1:1000
    Immunoprecipitation 1:100
    IHC Leica Bond 1:50 - 1:200
    Immunohistochemistry (Paraffin) 1:100 - 1:400
    Immunofluorescence (Immunocytochemistry) 1:200 - 1:800

    Storage

    Supplied in 10 mM sodium HEPES (pH 7.5), 150 mM NaCl, 100 µg/ml BSA, 50% glycerol and less than 0.02% sodium azide. Store at –20°C. Do not aliquot the antibody.

    For a carrier free (BSA and azide free) version of this product see product #27968.

    Protocol

    Specificity / Sensitivity

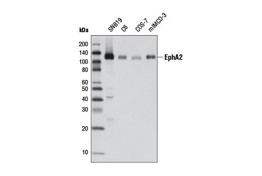
    EphA2 (D4A2) Rabbit Monoclonal Antibody recognizes endogenous levels of total EphA2 protein.

    Species Reactivity:

    Human, Mouse, Rat, Monkey

    Source / Purification

    Monoclonal antibody is produced by immunizing animals with human EphA2 recombinant protein. The antibody recognizes residues surrounding Arg907 of human EphA2.

    Background

    The Eph receptors are the largest known family of receptor tyrosine kinases (RTKs). They can be divided into two groups based on sequence similarity and on their preference for a subset of ligands: EphA receptors bind to a glycosylphosphatidylinositol-anchored ephrin A ligand; EphB receptors bind to ephrin B proteins that have a transmembrane and cytoplasmic domain (1,2). Research studies have shown that Eph receptors and ligands may be involved in many diseases including cancer (3). Both ephrin A and B ligands have dual functions. As RTK ligands, ephrins stimulate the kinase activity of Eph receptors and activate signaling pathways in receptor-expressing cells. The ephrin extracellular domain is sufficient for this function as long as it is clustered (4). The second function of ephrins has been described as "reverse signaling", whereby the cytoplasmic domain becomes tyrosine phosphorylated, allowing interactions with other proteins that may activate signaling pathways in the ligand-expressing cells (5). Various stimuli can induce tyrosine phosphorylation of ephrin B, including binding to EphB receptors, activation of Src kinase, and stimulation by PDGF and FGF (6). Tyr324 and Tyr327 have been identified as major phosphorylation sites of ephrin B1 in vivo (7).

    EphA2 is overexpressed in various tumor cells, and it has been suggested that EphA2 may promote malignancy. However, several studies demonstrate that EphA2 plays an important role in tumor suppression (8). The role of EphA2 in tumor development may depend upon regulation of its tyrosine kinase activity.

    Alternate Names

    ARCC2; CTPA; CTPP1; CTRCT6; ECK; EPH receptor A2; EPHA2; ephrin receptor EphA2; Ephrin type-A receptor 2; Epithelial cell kinase; epithelial cell receptor protein tyrosine kinase; protein tyrosine kinase; soluble EPHA2 variant 1; Tyrosine-protein kinase receptor ECK

    For Research Use Only. Not for Use in Diagnostic Procedures.
    Cell Signaling Technology is a trademark of Cell Signaling Technology, Inc.
    All other trademarks are the property of their respective owners. Visit our Trademark Information page.