Revision 1

#48267

Store at -20C

CST Logo
Orders:

877-616-CELL (2355)

[email protected]

Support:

877-678-TECH (8324)

3 Trask Lane | Danvers | Massachusetts | 01923 | USA

For Research Use Only. Not for Use in Diagnostic Procedures.

Product Includes Product # Quantity Mol. Wt Isotype/Source
mGluR1 (D5H10) Rabbit Monoclonal Antibody1255120 µl145, >300 kDaRabbit IgG
mGluR5 (D6E7B) Rabbit Monoclonal Antibody5592020 µl300, 150 kDaRabbit IgG
FMRP (D14F4) Rabbit Monoclonal Antibody710420 µl80 kDaRabbit IgG
FXR1 (D10A2) Rabbit Monoclonal Antibody1229520 µl78-80, 82-84 kDaRabbit IgG
FXR2 (D85D6) Rabbit Monoclonal Antibody709820 µl95 kDaRabbit IgG
CYFIP1 Antibody4435320 µl145 kDaRabbit
Phospho-eEF2 (Thr56) Antibody233120 µl95 kDaRabbit
eEF2 Antibody233220 µl95 kDaRabbit
Anti-rabbit IgG, HRP-linked Antibody7074100 µlGoat

Please visit cellsignal.com for individual component applications, species cross-reactivity, dilutions, protocols, and additional product information.

Description

The Fragile X/FMRP Signaling Pathway Antibody Sampler Kit provides an economical means of detecting signaling components of the Fragile X/FMRP signaling pathway. The kit includes enough antibodies to perform two western blot experiments with each primary antibody.

Storage

Supplied in 10 mM sodium HEPES (pH 7.5), 150 mM NaCl, 100 µg/ml BSA, 50% glycerol and less than 0.02% sodium azide. Store at –20°C. Do not aliquot the antibodies.

Background

Fragile X syndrome, a frequent cause of inherited mental retardation, often results from expansion of the CGG trinucleotide repeat in the gene that encodes the fragile X mental retardation protein (FMRP, [1]). FMRP (also known as FMR1) and its two autosomal homologs (FXR1 and FXR2) all bind RNA and play a role in the pathogenesis of fragile X syndrome (1-3). Each of these related proteins can associate with one another as well as form homodimers and complexes with other RNA-binding proteins like cytoplasmic FMRP interacting protein 1 (CYFIP1, [3,4]). FMRP, FXR1, FXR2, and CYFIP1 have been implicated in the translational regulation of mRNAs (5,6). Importantly, this complex of proteins may be dynamically regulated to drive protein synthesis-dependent forms of synaptic plasticity in response to specific activity. That is, activation of metabotropic glutamate receptors, including mGluR1 and mGlur5, can regulate FMRP-dependent forms of translation via post-translational modification of eukaryotic elongation factor 2 (eEF2) to locally control dynamic translation of important synaptic proteins, which, subsequently, alter synaptic function (7-9).   

Trademarks and Patents

Cell Signaling Technology is a trademark of Cell Signaling Technology, Inc.

All other trademarks are the property of their respective owners. Visit cellsignal.com/trademarks for more information.

Limited Uses

Except as otherwise expressly agreed in a writing signed by a legally authorized representative of CST, the following terms apply to Products provided by CST, its affiliates or its distributors. Any Customer's terms and conditions that are in addition to, or different from, those contained herein, unless separately accepted in writing by a legally authorized representative of CST, are rejected and are of no force or effect.

Products are labeled with For Research Use Only or a similar labeling statement and have not been approved, cleared, or licensed by the FDA or other regulatory foreign or domestic entity, for any purpose. Customer shall not use any Product for any diagnostic or therapeutic purpose, or otherwise in any manner that conflicts with its labeling statement. Products sold or licensed by CST are provided for Customer as the end-user and solely for research and development uses. Any use of Product for diagnostic, prophylactic or therapeutic purposes, or any purchase of Product for resale (alone or as a component) or other commercial purpose, requires a separate license from CST. Customer shall (a) not sell, license, loan, donate or otherwise transfer or make available any Product to any third party, whether alone or in combination with other materials, or use the Products to manufacture any commercial products, (b) not copy, modify, reverse engineer, decompile, disassemble or otherwise attempt to discover the underlying structure or technology of the Products, or use the Products for the purpose of developing any products or services that would compete with CST products or services, (c) not alter or remove from the Products any trademarks, trade names, logos, patent or copyright notices or markings, (d) use the Products solely in accordance with CST Product Terms of Sale and any applicable documentation, and (e) comply with any license, terms of service or similar agreement with respect to any third party products or services used by Customer in connection with the Products.

Orders: 877-616-CELL (2355) [email protected] Support: 877-678-TECH (8324) [email protected] Web: cellsignal.com
For Research Use Only. Not for Use in Diagnostic Procedures.

Revision 1

Cell Signaling Technology Logo
Western blot analysis of extracts from various cell lines using FXR1 (D10A2) XP® Rabbit mAb.
undefined Image 1: Fragile X/FMRP Signaling Pathway Antibody Sampler Kit
Western blot analysis of extracts from neonatal mouse brain and rat brain using mGluR1 (D5H10) Rabbit mAb.
undefined Image 2: Fragile X/FMRP Signaling Pathway Antibody Sampler Kit
Western blot analysis of extracts from C6 cells, untreated or forskolin-treated (10 µM for 60 minutes), using Phospho-eEF2 (Thr56) Antibody (upper) or eEF2 Antibody #2332 (lower).
undefined Image 3: Fragile X/FMRP Signaling Pathway Antibody Sampler Kit
Orders: 877-616-CELL (2355) [email protected] Support: 877-678-TECH (8324) [email protected] Web: cellsignal.com
For Research Use Only. Not for Use in Diagnostic Procedures.

Revision 1

Cell Signaling Technology Logo
Western blot analysis of extracts from various cell lines using eEF2 Antibody.
undefined Image 4: Fragile X/FMRP Signaling Pathway Antibody Sampler Kit
Western blot analysis of CAKI-1 and SU-DHL-4 cells, and human brain extracts, using CYFIP1 Antibody (upper) and β-Actin (D6A8) Rabbit mAb #8457 (lower).
undefined Image 5: Fragile X/FMRP Signaling Pathway Antibody Sampler Kit
Western blot analysis of extracts from the indicated tissues using mGluR5 (D6E7B) Rabbit mAb (upper) and α-Actinin (D6F6) XP® Rabbit mAb #6487 (lower).
undefined Image 6: Fragile X/FMRP Signaling Pathway Antibody Sampler Kit
Orders: 877-616-CELL (2355) [email protected] Support: 877-678-TECH (8324) [email protected] Web: cellsignal.com
For Research Use Only. Not for Use in Diagnostic Procedures.

Revision 1

Cell Signaling Technology Logo
After the primary antibody is bound to the target protein, a complex with HRP-linked secondary antibody is formed. The LumiGLO® is added and emits light during enzyme catalyzed decomposition.
undefined Image 7: Fragile X/FMRP Signaling Pathway Antibody Sampler Kit
Western blot analysis of extracts from various cell lines using FXR2 (D85D6) Rabbit mAb.
undefined Image 8: Fragile X/FMRP Signaling Pathway Antibody Sampler Kit
Western blot analysis of extracts from various cell lines using FMRP (D14F4) Rabbit mAb.
undefined Image 9: Fragile X/FMRP Signaling Pathway Antibody Sampler Kit
Orders: 877-616-CELL (2355) [email protected] Support: 877-678-TECH (8324) [email protected] Web: cellsignal.com
For Research Use Only. Not for Use in Diagnostic Procedures.

Revision 1

Cell Signaling Technology Logo
Western blot analysis of extracts from human and mouse skeletal muscle tissues using FXR1 (D10A2) XP® Rabbit mAb.
undefined Image 10: Fragile X/FMRP Signaling Pathway Antibody Sampler Kit
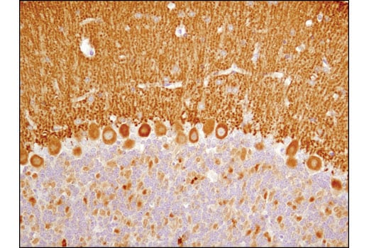
Immunohistochemical analysis of paraffin-embedded mouse cerebellum using mGlur1 (D5H10) Rabbit mAb.
undefined Image 11: Fragile X/FMRP Signaling Pathway Antibody Sampler Kit
Confocal immunofluorescent analysis of HeLa cells using eEF2 Antibody (green). Actin filaments have been labeled with DY-554 phalloidin (red). Blue pseudocolor = DRAQ5® #4084 (fluorescent DNA dye).
undefined Image 12: Fragile X/FMRP Signaling Pathway Antibody Sampler Kit
Orders: 877-616-CELL (2355) [email protected] Support: 877-678-TECH (8324) [email protected] Web: cellsignal.com
For Research Use Only. Not for Use in Diagnostic Procedures.

Revision 1

Cell Signaling Technology Logo
Immunoprecipitation of mGluR5 from mouse brain extracts. Lane 1 is 10% input, lane 2 is Rabbit (DA1E) mAb IgG XP® Isotype Control #3900, and lane 3 is mGluR5 (D6E7B) Rabbit mAb. Western blot analysis was performed using mGluR5 (D6E7B) Rabbit mAb.
undefined Image 13: Fragile X/FMRP Signaling Pathway Antibody Sampler Kit
Confocal immunofluorescent analysis of C2C12 cells, untreated (left) or MG132-treated (10 μg/mL, 3 hr, right) using FXR2 (D85D6) Rabbit mAb (green). Actin filaments were labeled with DY-554 phalloidin (red). Blue pseudocolor = DRAQ5® #4084 (fluorescent DNA dye).
undefined Image 14: Fragile X/FMRP Signaling Pathway Antibody Sampler Kit
Confocal immunofluorescent analysis of C2C12 cells, untreated (left) or treated with MG132 (10 μg/mL, 3 hrs; right), using FMRP (D14F4) Rabbit mAb (green). Actin filaments were labeled with DY-554 phalloidin (red). Blue pseudocolor = DRAQ5® #4084 (fluorescent DNA dye).
undefined Image 15: Fragile X/FMRP Signaling Pathway Antibody Sampler Kit
Orders: 877-616-CELL (2355) [email protected] Support: 877-678-TECH (8324) [email protected] Web: cellsignal.com
For Research Use Only. Not for Use in Diagnostic Procedures.

Revision 1

Cell Signaling Technology Logo
Confocal immunofluorescent analysis of C2C12 cells, untreated (left) or MG-132 treated (10 μg/mL, 3 hr; right), using FXR1 (D10A2) XP® Rabbit mAb (green). Actin filaments were labeled with DY-554 phalloidin (red). Blue pseudocolor = DRAQ5® #4084 (fluorescent DNA dye).
undefined Image 16: Fragile X/FMRP Signaling Pathway Antibody Sampler Kit
Immunohistochemical analysis of paraffin-embedded rat retina using mGlur1 (D5H10) Rabbit mAb.
undefined Image 17: Fragile X/FMRP Signaling Pathway Antibody Sampler Kit
Confocal immunofluorescent analysis of mouse hippocampus (left) and striatum (right) using mGluR5 (D6E7B) Rabbit mAb (green) and GFAP (GA5) Mouse mAb #3670 (red). Blue pseudocolor = DRAQ5® #4084 (fluorescent DNA dye).
undefined Image 18: Fragile X/FMRP Signaling Pathway Antibody Sampler Kit
Orders: 877-616-CELL (2355) [email protected] Support: 877-678-TECH (8324) [email protected] Web: cellsignal.com
For Research Use Only. Not for Use in Diagnostic Procedures.

Revision 1

Cell Signaling Technology Logo
Confocal immunofluorescent analysis of adult mouse cerebellum tissue using mGluR1 (D5H10) Rabbit mAb (green). Blue pseudocolor = DRAQ5® #4084 (fluorescent DNA dye).
undefined Image 19: Fragile X/FMRP Signaling Pathway Antibody Sampler Kit
Confocal immunofluorescent analysis of human iPSC-derived cortical glutamatergic neurons at 7 days in vitro using mGluR5 (D6E7B) Rabbit mAb (green) and DAPI #4083 (blue). iCell GlutaNeurons were kindly provided by FUJIFILM Cellular Dynamics, Inc.
undefined Image 20: Fragile X/FMRP Signaling Pathway Antibody Sampler Kit
Orders: 877-616-CELL (2355) [email protected] Support: 877-678-TECH (8324) [email protected] Web: cellsignal.com
For Research Use Only. Not for Use in Diagnostic Procedures.