Revision 5

#68851

Store at -20C

CST Logo
Orders:

877-616-CELL (2355)

[email protected]

Support:

877-678-TECH (8324)

3 Trask Lane | Danvers | Massachusetts | 01923 | USA

For Research Use Only. Not for Use in Diagnostic Procedures.

Applications:
W, IP, IF-IC, ChIP, C&R

Reactivity:
H M R Mk

Sensitivity:
Endogenous

MW (kDa):
160, 180

Source/Isotype:
Rabbit IgG

UniProt ID:
#Q96KQ7

Entrez-Gene Id:
10919

Product Usage Information

For optimal ChIP results, use 10 μl of antibody and 10 μg of chromatin (approximately 4 x 106 cells) per IP. This antibody has been validated using SimpleChIP® Enzymatic Chromatin IP Kits.

The CUT&RUN dilution was determined using CUT&RUN Assay Kit #86652.

Application Dilution
Western Blotting 1:1000
Immunoprecipitation 1:100
Immunofluorescence (Immunocytochemistry) 1:3200
Chromatin IP 1:50
CUT&RUN 1:50

Storage

Supplied in 10 mM sodium HEPES (pH 7.5), 150 mM NaCl, 100 µg/ml BSA, 50% glycerol and less than 0.02% sodium azide. Store at –20°C. Do not aliquot the antibody.

Specificity/Sensitivity

G9a/EHMT2 (D5R4R) Rabbit Monoclonal Antibody recognizes endogenous levels of total G9a protein.

Source / Purification

Monoclonal antibody is produced by immunizing animals with recombinant protein specific to the amino terminus of human G9a protein.

Background

G9a, also known as Euchromatic histone-lysine N-methyltransferase 2 (EHMT2), is a member of a family of histone lysine methyltransferases, each of which contains a conserved catalytic SET domain originally identified in Drosophila Su[var]3-9, Enhancer of zeste, and Trithorax proteins (1). Recombinant G9a can mono-, di- and tri-methylate histone H3 on Lys9 and Lys27 in vitro (1,2). However, in vivo G9a forms a complex with GLP, a G9a-related histone methyltransferase, and together these proteins function as the major euchromatic histone H3 Lys9 mono- and di-methyltransferases, creating transcriptionally repressive marks that facilitate gene silencing (3,4). G9a methylates itself on Lys165, a modification that regulates the association of HP1 repressor proteins with the G9a/GLP complex (5). The G9a/GLP complex also contains Wiz, a zinc finger protein that is required for G9a/GLP hetero-dimerization and complex stability (6). Wiz contains two CtBP co-repressor binding sites, which mediate the association of the G9a/GLP with the CtBP co-repressor complex (6). In addition, G9a and GLP are components of other large transcriptional co-repressor complexes, such as those involving E2F6 and CDP/cut (7-9). G9a interacts with DNMT1, and both proteins are required for methylation of DNA and histone H3 (Lys9) at replication foci, providing a functional link between histone H3 Lys9 and CpG methylation during DNA replication (10). G9a activity is critical for meiotic prophase progression, as mutant mice deficient in germ line G9a show a large loss of mature gametes (11). In addition, G9a facilitates increased global levels of di-methyl histone H3 (Lys9) during hypoxic stress and increased G9a expression is associated with hepatocelluar carcinoma (12,13).

Species Reactivity

Species reactivity is determined by testing in at least one approved application (e.g., western blot).

Western Blot Buffer

IMPORTANT: For western blots, incubate membrane with diluted primary antibody in 5% w/v nonfat dry milk, 1X TBS, 0.1% Tween® 20 at 4°C with gentle shaking, overnight.

Applications Key

W: Western Blotting IP: Immunoprecipitation IF-IC: Immunofluorescence (Immunocytochemistry) ChIP: Chromatin IP C&R: CUT&RUN

Cross-Reactivity Key

H: Human M: Mouse R: Rat Mk: Monkey

Trademarks and Patents

Cell Signaling Technology is a trademark of Cell Signaling Technology, Inc.

SimpleChIP is a registered trademark of Cell Signaling Technology, Inc.

All other trademarks are the property of their respective owners. Visit cellsignal.com/trademarks for more information.

Limited Uses

Except as otherwise expressly agreed in a writing signed by a legally authorized representative of CST, the following terms apply to Products provided by CST, its affiliates or its distributors. Any Customer's terms and conditions that are in addition to, or different from, those contained herein, unless separately accepted in writing by a legally authorized representative of CST, are rejected and are of no force or effect.

Products are labeled with For Research Use Only or a similar labeling statement and have not been approved, cleared, or licensed by the FDA or other regulatory foreign or domestic entity, for any purpose. Customer shall not use any Product for any diagnostic or therapeutic purpose, or otherwise in any manner that conflicts with its labeling statement. Products sold or licensed by CST are provided for Customer as the end-user and solely for research and development uses. Any use of Product for diagnostic, prophylactic or therapeutic purposes, or any purchase of Product for resale (alone or as a component) or other commercial purpose, requires a separate license from CST. Customer shall (a) not sell, license, loan, donate or otherwise transfer or make available any Product to any third party, whether alone or in combination with other materials, or use the Products to manufacture any commercial products, (b) not copy, modify, reverse engineer, decompile, disassemble or otherwise attempt to discover the underlying structure or technology of the Products, or use the Products for the purpose of developing any products or services that would compete with CST products or services, (c) not alter or remove from the Products any trademarks, trade names, logos, patent or copyright notices or markings, (d) use the Products solely in accordance with CST Product Terms of Sale and any applicable documentation, and (e) comply with any license, terms of service or similar agreement with respect to any third party products or services used by Customer in connection with the Products.

Orders: 877-616-CELL (2355) [email protected] Support: 877-678-TECH (8324) [email protected] Web: cellsignal.com
For Research Use Only. Not for Use in Diagnostic Procedures.

Revision 5

Cell Signaling Technology Logo
Western blot analysis of extracts from various cell lines using G9a/EHMT2 (D5R4R) XP® Rabbit mAb.
Western Blotting Image 1: G9a/EHMT2 (D5R4R) Rabbit Monoclonal Antibody
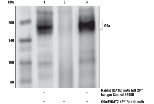
Immunoprecipitation of G9a from 293T cell extracts. Lane 1 is 10% input, lane 2 is Rabbit (DA1E) mAb IgG XP® Isotype Control #3900, and lane 3 is G9a/EHMT2 (D5R4R) XP® Rabbit mAb. Western blot analysis was performed using G9a/EHMT2 (D5R4R) XP® Rabbit mAb.
Immunoprecipitation Image 1: G9a/EHMT2 (D5R4R) Rabbit Monoclonal Antibody
Confocal immunofluorescent analysis of HeLa cells using G9a/EHMT2 (D5R4R) XP® Rabbit mAb (green). Actin filaments were labeled with DyLight™ 554 Phalloidin #13054 (red).
Immunofluorescence Image 1: G9a/EHMT2 (D5R4R) Rabbit Monoclonal Antibody
Orders: 877-616-CELL (2355) [email protected] Support: 877-678-TECH (8324) [email protected] Web: cellsignal.com
For Research Use Only. Not for Use in Diagnostic Procedures.

Revision 5

Cell Signaling Technology Logo
Chromatin immunoprecipitations were performed with cross-linked chromatin from K-562 cells and either G9a/EHMT2 (D5R4R) XP® Rabbit mAb or Normal Rabbit IgG #2729 using SimpleChIP® Plus Enzymatic Chromatin IP Kit (Magnetic Beads) #9005. The enriched DNA was quantified by real-time PCR using human VRK3 intron 11 primers, SimpleChIP® Human ZNF19 Intron 3 Primers #98428, and SimpleChIP® Human α Satellite Repeat Primers #4486. The amount of immunoprecipitated DNA in each sample is represented as signal relative to the total amount of input chromatin, which is equivalent to one.
Chromatin Immunoprecipitation Image 1: G9a/EHMT2 (D5R4R) Rabbit Monoclonal Antibody
CUT&RUN was performed with K562 cells and either G9a/EHMT2 (D5R4R) XP® Rabbit mAb or HDAC1 (D5C6U) XP® Rabbit mAb #34589, using CUT&RUN Assay Kit #86652. DNA libraries were prepared using DNA Library Prep Kit for Illumina Systems (ChIP-seq, CUT&RUN) #56795. The figure shows binding across CTPS1, a known target gene of G9a/EHMT2 (see additional figure containing CUT&RUN-qPCR data).
CUT & RUN Image 1: G9a/EHMT2 (D5R4R) Rabbit Monoclonal Antibody
CUT&RUN was performed with K562 cells and either G9a/EHMT2 (D5R4R) XP® Rabbit mAb or HDAC1 (D5C6U) XP® Rabbit mAb #34589, using CUT&RUN Assay Kit #86652. DNA libraries were prepared using DNA Library Prep Kit for Illumina Systems (ChIP-seq, CUT&RUN) #56795. The figures show binding across chromosome 1 (upper), including CTPS1 (lower), a known target gene of G9a/EHMT2 and HDAC1 (see additional figure containing CUT&RUN-qPCR data).
CUT & RUN Image 2: G9a/EHMT2 (D5R4R) Rabbit Monoclonal Antibody
Orders: 877-616-CELL (2355) [email protected] Support: 877-678-TECH (8324) [email protected] Web: cellsignal.com
For Research Use Only. Not for Use in Diagnostic Procedures.

Revision 5

Cell Signaling Technology Logo
CUT&RUN was performed with K562 cells and either G9a/EHMT2 (D5R4R) XP® Rabbit mAb or Rabbit (DA1E) mAb IgG XP® Isotype Control (CUT&RUN) #66362, using CUT&RUN Assay Kit #86652. The enriched DNA was quantified by real-time PCR using human CTPS1 promoter primers, human RBM15 promoter primers, and human IQCF intron 2 primers. The amount of immunoprecipitated DNA in each sample is represented as signal relative to the total amount of input chromatin, which is equivalent to one.
CUT & RUN Image 3: G9a/EHMT2 (D5R4R) Rabbit Monoclonal Antibody
Orders: 877-616-CELL (2355) [email protected] Support: 877-678-TECH (8324) [email protected] Web: cellsignal.com
For Research Use Only. Not for Use in Diagnostic Procedures.