Cell Signaling Technology Logo - Extra Large
Trial Size Available Flag
Recombinant Flag
Recombinant: Superior lot-to-lot consistency, continuous supply, and animal-free manufacturing.

G9a/EHMT2 (D5R4R) Rabbit Monoclonal Antibody #68851

Filter:
  • WB
  • IP
  • IF
  • ChIP
  • C&R

    Product Specifications

    REACTIVITY H M R Mk
    SENSITIVITY Endogenous
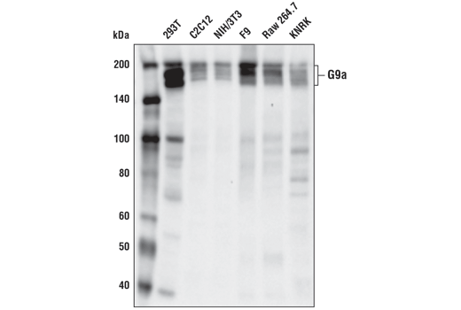
    MW (kDa) 160, 180
    Source/Isotype Rabbit IgG
    Application Key:
    • WB-Western Blotting 
    • IP-Immunoprecipitation 
    • IF-Immunofluorescence 
    • ChIP-Chromatin Immunoprecipitation 
    • C&R-CUT & RUN 
    Species Cross-Reactivity Key:
    • H-Human 
    • M-Mouse 
    • R-Rat 
    • Mk-Monkey 

    Product Information

    Product Usage Information

    For optimal ChIP results, use 10 μl of antibody and 10 μg of chromatin (approximately 4 x 106 cells) per IP. This antibody has been validated using SimpleChIP® Enzymatic Chromatin IP Kits.

    The CUT&RUN dilution was determined using CUT&RUN Assay Kit #86652.

    Application Dilution
    Western Blotting 1:1000
    Immunoprecipitation 1:100
    Immunofluorescence (Immunocytochemistry) 1:3200
    Chromatin IP 1:50
    CUT&RUN 1:50

    Storage

    Supplied in 10 mM sodium HEPES (pH 7.5), 150 mM NaCl, 100 µg/ml BSA, 50% glycerol and less than 0.02% sodium azide. Store at –20°C. Do not aliquot the antibody.

    Protocol

    Specificity / Sensitivity

    G9a/EHMT2 (D5R4R) Rabbit Monoclonal Antibody recognizes endogenous levels of total G9a protein.

    Species Reactivity:

    Human, Mouse, Rat, Monkey

    Source / Purification

    Monoclonal antibody is produced by immunizing animals with recombinant protein specific to the amino terminus of human G9a protein.

    Background

    G9a, also known as Euchromatic histone-lysine N-methyltransferase 2 (EHMT2), is a member of a family of histone lysine methyltransferases, each of which contains a conserved catalytic SET domain originally identified in Drosophila Su[var]3-9, Enhancer of zeste, and Trithorax proteins (1). Recombinant G9a can mono-, di- and tri-methylate histone H3 on Lys9 and Lys27 in vitro (1,2). However, in vivo G9a forms a complex with GLP, a G9a-related histone methyltransferase, and together these proteins function as the major euchromatic histone H3 Lys9 mono- and di-methyltransferases, creating transcriptionally repressive marks that facilitate gene silencing (3,4). G9a methylates itself on Lys165, a modification that regulates the association of HP1 repressor proteins with the G9a/GLP complex (5). The G9a/GLP complex also contains Wiz, a zinc finger protein that is required for G9a/GLP hetero-dimerization and complex stability (6). Wiz contains two CtBP co-repressor binding sites, which mediate the association of the G9a/GLP with the CtBP co-repressor complex (6). In addition, G9a and GLP are components of other large transcriptional co-repressor complexes, such as those involving E2F6 and CDP/cut (7-9). G9a interacts with DNMT1, and both proteins are required for methylation of DNA and histone H3 (Lys9) at replication foci, providing a functional link between histone H3 Lys9 and CpG methylation during DNA replication (10). G9a activity is critical for meiotic prophase progression, as mutant mice deficient in germ line G9a show a large loss of mature gametes (11). In addition, G9a facilitates increased global levels of di-methyl histone H3 (Lys9) during hypoxic stress and increased G9a expression is associated with hepatocelluar carcinoma (12,13).

    Alternate Names

    ankyrin repeat-containing protein; BAT8; C6orf30; EHMT2; euchromatic histone lysine methyltransferase 2; Euchromatic histone-lysine N-methyltransferase 2; G9A; G9A histone methyltransferase; GAT8; H3-K9-HMTase 3; Histone H3-K9 methyltransferase 3; Histone-lysine N-methyltransferase EHMT2; histone-lysine N-methyltransferase, H3 lysine-9 specific 3; HLA-B associated transcript 8; HLA-B-associated transcript 8; KMT1C; Lysine N-methyltransferase 1C; NG36; Protein G9a

    For Research Use Only. Not for Use in Diagnostic Procedures.
    Cell Signaling Technology is a trademark of Cell Signaling Technology, Inc.
    SimpleChIP is a registered trademark of Cell Signaling Technology, Inc.
    All other trademarks are the property of their respective owners. Visit our Trademark Information page.