Revision 1

#84223

Store at -20C

CST Logo
Orders:

877-616-CELL (2355)

[email protected]

Support:

877-678-TECH (8324)

3 Trask Lane | Danvers | Massachusetts | 01923 | USA

For Research Use Only. Not for Use in Diagnostic Procedures.

Product Includes Product # Quantity Mol. Wt Isotype/Source
CD68 (D4B9C) Rabbit Monoclonal Antibody7643720 µlRabbit IgG
CD163 (D6U1J) Rabbit Monoclonal Antibody9349820 µl160, 170 kDaRabbit IgG
CD206/MRC1 (E2L9N) Rabbit Monoclonal Antibody9199220 µl190-250 kDaRabbit IgG
CD11c (D3V1E) Rabbit Monoclonal Antibody4558120 µl145 kDaRabbit IgG
CD86 (E2G8P) Rabbit Monoclonal Antibody9188220 µl60-85 kDaRabbit IgG
HLA-DRA (E9R2Q) Rabbit Monoclonal Antibody9797120 µl30-40 kDaRabbit IgG
Phospho-Stat1 (Tyr701) (58D6) Rabbit Monoclonal Antibody916720 µl84, 91 kDaRabbit IgG
Anti-rabbit IgG, HRP-linked Antibody7074100 µlGoat

Please visit cellsignal.com for individual component applications, species cross-reactivity, dilutions, protocols, and additional product information.

Description

The Human Reactive M1 vs M2 Macrophage IHC Antibody Sampler Kit provides an economical means of characterizing the extent of M1 and M2 macrophages in formalin-fixed, paraffin-embedded tissue samples.

Storage

Supplied in 10 mM sodium HEPES (pH 7.5), 150 mM NaCl, 100 µg/ml BSA, 50% glycerol and less than 0.02% sodium azide. Store at –20°C. Do not aliquot the antibodies.

Background

Macrophages are myeloid cells of the innate immune system that are found in all human tissues in the body and exhibit anatomical and functional diversity. These heterogenous cells are derived from monocyte precursors in the blood that infiltrate into the tissues and differentiate in the presence of cytokines and growth factors. A spectrum of different macrophage phenotypes, or polarizations, have been described based on their secretory profiles, gene expression, and functions. Macrophages have great plasticity and can switch from one phenotype to another under different conditions. At the opposite extremes of this spectrum are so called M1, or classically activated phenotype, and M2 or alternatively activated phenotype. M1 macrophages are generally inflammatory and anti-tumor, while M2 macrophages, commonly referred to as tumor-associated macrophages (TAMs), are generally anti-inflammatory and pro-tumor. Relative contents of M1 and M2 macrophages in the tumor microenvironment may have prognostic values. Modulating macrophage polarization is actively pursued as a therapeutic intervention for many different diseases (1-6).
In humans, CD68 is considered a general marker for macrophages. CD11c, CD86, HLA-DRA, phospho-STAT1 (Tyr701), and others have been used as markers for M1 macrophages, while CD163, CD206, and others have been used as markers for M2 macrophages (7-10).

Trademarks and Patents

Cell Signaling Technology is a trademark of Cell Signaling Technology, Inc.

All other trademarks are the property of their respective owners. Visit cellsignal.com/trademarks for more information.

Limited Uses

Except as otherwise expressly agreed in a writing signed by a legally authorized representative of CST, the following terms apply to Products provided by CST, its affiliates or its distributors. Any Customer's terms and conditions that are in addition to, or different from, those contained herein, unless separately accepted in writing by a legally authorized representative of CST, are rejected and are of no force or effect.

Products are labeled with For Research Use Only or a similar labeling statement and have not been approved, cleared, or licensed by the FDA or other regulatory foreign or domestic entity, for any purpose. Customer shall not use any Product for any diagnostic or therapeutic purpose, or otherwise in any manner that conflicts with its labeling statement. Products sold or licensed by CST are provided for Customer as the end-user and solely for research and development uses. Any use of Product for diagnostic, prophylactic or therapeutic purposes, or any purchase of Product for resale (alone or as a component) or other commercial purpose, requires a separate license from CST. Customer shall (a) not sell, license, loan, donate or otherwise transfer or make available any Product to any third party, whether alone or in combination with other materials, or use the Products to manufacture any commercial products, (b) not copy, modify, reverse engineer, decompile, disassemble or otherwise attempt to discover the underlying structure or technology of the Products, or use the Products for the purpose of developing any products or services that would compete with CST products or services, (c) not alter or remove from the Products any trademarks, trade names, logos, patent or copyright notices or markings, (d) use the Products solely in accordance with CST Product Terms of Sale and any applicable documentation, and (e) comply with any license, terms of service or similar agreement with respect to any third party products or services used by Customer in connection with the Products.

Orders: 877-616-CELL (2355) [email protected] Support: 877-678-TECH (8324) [email protected] Web: cellsignal.com
For Research Use Only. Not for Use in Diagnostic Procedures.

Revision 1

Cell Signaling Technology Logo
Western blot analysis of extracts from THP-1, Raji, or Jurkat cells using CD11c (D3V1E) XP® Rabbit mAb (upper) or β-Actin (D6A8) Rabbit mAb #8457 (lower).
undefined Image 1: Human Reactive M1 vs M2 Macrophage IHC Antibody Sampler Kit
After the primary antibody is bound to the target protein, a complex with HRP-linked secondary antibody is formed. The LumiGLO® is added and emits light during enzyme catalyzed decomposition.
undefined Image 2: Human Reactive M1 vs M2 Macrophage IHC Antibody Sampler Kit
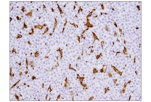
Immunohistochemical analysis of paraffin-embedded human tonsil using CD68 (D4B9C) XP® Rabbit mAb.
undefined Image 3: Human Reactive M1 vs M2 Macrophage IHC Antibody Sampler Kit
Orders: 877-616-CELL (2355) [email protected] Support: 877-678-TECH (8324) [email protected] Web: cellsignal.com
For Research Use Only. Not for Use in Diagnostic Procedures.

Revision 1

Cell Signaling Technology Logo
Western blot analysis of extracts from HeLa cells, untreated or treated with IFNa (#36000, 100 ng/mL, 5 min) or IFNg (#80385, 100 ng/mL, 30 min); using Phospho-Stat1 (Tyr701) (58D6) Rabbit mAb #9167 (upper), Stat1 (D1K9Y) Rabbit mAb #14994 (middle), and β-Actin (D6A8) Rabbit mAb #8457 (lower).
undefined Image 4: Human Reactive M1 vs M2 Macrophage IHC Antibody Sampler Kit
Flow cytometric analysis of U266B1 cells, untreated (blue) or treated with hIFN-β (100 ng/ml, 5 mins; green) using Phospho-Stat1 (Tyr701) (58D6) Rabbit mAb (solid lines) or concentration-matched Rabbit (DA1E) mAb IgG XP® Isotype Control #3900 (dashed lines). Anti-rabbit IgG (H+L), F(ab')2 Fragment (Alexa Fluor® 488 Conjugate) #4412.
undefined Image 5: Human Reactive M1 vs M2 Macrophage IHC Antibody Sampler Kit
Western blot analysis of extracts from various cell lines using CD86 (E2G8P) Rabbit mAb (upper) or β-Actin (D6A8) Rabbit mAb #8457 (lower).
undefined Image 6: Human Reactive M1 vs M2 Macrophage IHC Antibody Sampler Kit
Orders: 877-616-CELL (2355) [email protected] Support: 877-678-TECH (8324) [email protected] Web: cellsignal.com
For Research Use Only. Not for Use in Diagnostic Procedures.

Revision 1

Cell Signaling Technology Logo
Immunohistochemical analysis of paraffin-embedded human lung adenocarcinoma using CD86 (E2G8P) Rabbit mAb performed on the Leica® BOND™ Rx.
undefined Image 7: Human Reactive M1 vs M2 Macrophage IHC Antibody Sampler Kit
Western blot analysis of extracts from various cell lines using CD206/MRC1 (E2L9N) Rabbit mAb (upper) or β-Actin (D6A8) Rabbit mAb #8457 (lower).
undefined Image 8: Human Reactive M1 vs M2 Macrophage IHC Antibody Sampler Kit
Western blot analysis of extracts from SU-DHL-1 and A-375 cells using CD163 (D6U1J) Rabbit mAb (upper) and β-Actin (D6A8) Rabbit mAb #8457 (lower)
undefined Image 9: Human Reactive M1 vs M2 Macrophage IHC Antibody Sampler Kit
Orders: 877-616-CELL (2355) [email protected] Support: 877-678-TECH (8324) [email protected] Web: cellsignal.com
For Research Use Only. Not for Use in Diagnostic Procedures.

Revision 1

Cell Signaling Technology Logo
Western blot analysis of extracts from 293T cells, mock transfected (-) or transfected (+) with constructs expressing full-length human Myc/DDK-tagged HLA-DRA (hHLA-DRA-Myc/DDK), HLA-DPA1 (hHLA-DPA1-Myc/DDK), HLA-DOA (hHLA-DOA-Myc/DDK), HLA-DQA1 (hHLA-DQA1-MycDDK), HLA-DQA2 (hHLA-DQA2-Myc/DKK), or HLA-DMA (hHLA-DMA-Myc/DKK), using HLA-DRA (E9R2Q) XP® Rabbit mAb (upper), Myc-Tag (71D10) Rabbit mAb #2278 (middle), and β-Actin (D6A8) Rabbit mAb #8457 (lower).
undefined Image 10: Human Reactive M1 vs M2 Macrophage IHC Antibody Sampler Kit
Immunohistochemical analysis of paraffin-embedded human bladder adenocarcinoma using HLA-DRA (E9R2Q) XP® Rabbit mAb performed on the Leica® BOND™ Rx.
undefined Image 11: Human Reactive M1 vs M2 Macrophage IHC Antibody Sampler Kit
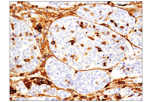
Immunohistochemical analysis of paraffin-embedded human prostate adenocarcinoma using CD11c (D3V1E) XP® Rabbit mAb performed on the Leica® BOND™ Rx.
undefined Image 12: Human Reactive M1 vs M2 Macrophage IHC Antibody Sampler Kit
Orders: 877-616-CELL (2355) [email protected] Support: 877-678-TECH (8324) [email protected] Web: cellsignal.com
For Research Use Only. Not for Use in Diagnostic Procedures.

Revision 1

Cell Signaling Technology Logo
Immunohistochemical analysis of paraffin-embedded human serous papillary carcinoma of the ovary using CD68 (D4B9C) XP® Rabbit mAb.
undefined Image 13: Human Reactive M1 vs M2 Macrophage IHC Antibody Sampler Kit
Western blot analysis of extracts from various cell lines, untreated or treated with EGF (100 ng/mL, 30 min), IFNa (100 ng/mL, 5 min), or PDGF (100 ng/mL, 5 min); using Phospho-Stat1 (Tyr701) (58D6) Rabbit mAb #9167 (upper), and β-Actin (D6A8) Rabbit mAb #8457 (lower).
undefined Image 14: Human Reactive M1 vs M2 Macrophage IHC Antibody Sampler Kit
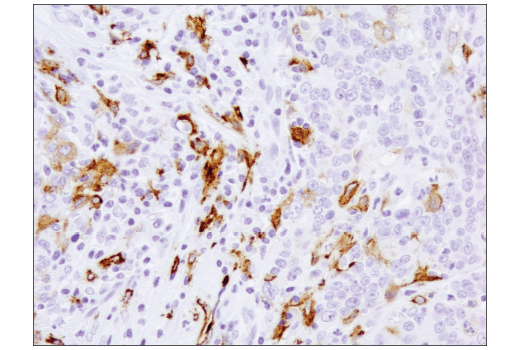
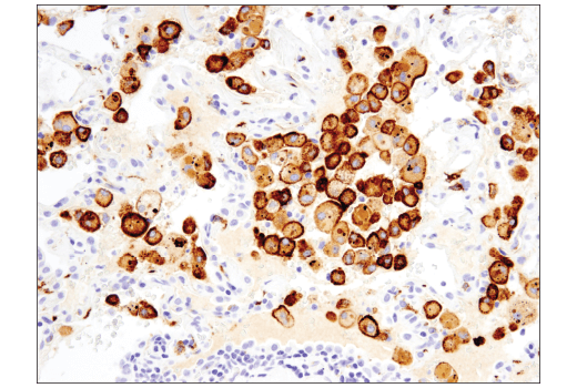
Immunohistochemical analysis of paraffin-embedded human gastric adenocarcinoma using CD86 (E2G8P) Rabbit mAb performed on the Leica® BOND™ Rx.
undefined Image 15: Human Reactive M1 vs M2 Macrophage IHC Antibody Sampler Kit
Orders: 877-616-CELL (2355) [email protected] Support: 877-678-TECH (8324) [email protected] Web: cellsignal.com
For Research Use Only. Not for Use in Diagnostic Procedures.

Revision 1

Cell Signaling Technology Logo
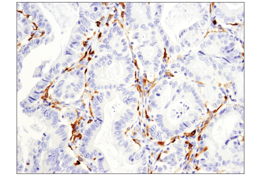
Immunohistochemical analysis of paraffin-embedded human non-small cell lung carcinoma using CD206/MRC1 (E2L9N) Rabbit mAb performed on the Leica® BOND™ Rx.
undefined Image 16: Human Reactive M1 vs M2 Macrophage IHC Antibody Sampler Kit
Immunohistochemical analysis of paraffin-embedded human non-small cell lung carcinoma using CD163 (D6U1J) Rabbit mAb performed on the Leica® Bond™ Rx.
undefined Image 17: Human Reactive M1 vs M2 Macrophage IHC Antibody Sampler Kit
Western blot analysis of extracts from various cell lines using HLA-DRA (E9R2Q) XP® Rabbit mAb (upper) or β-Actin (D6A8) Rabbit mAb #8457 (lower).
undefined Image 18: Human Reactive M1 vs M2 Macrophage IHC Antibody Sampler Kit
Orders: 877-616-CELL (2355) [email protected] Support: 877-678-TECH (8324) [email protected] Web: cellsignal.com
For Research Use Only. Not for Use in Diagnostic Procedures.

Revision 1

Cell Signaling Technology Logo
Immunohistochemical analysis of paraffin-embedded human prostate carcinoma using HLA-DRA (E9R2Q) XP® Rabbit mAb performed on the Leica® BOND™ Rx.
undefined Image 19: Human Reactive M1 vs M2 Macrophage IHC Antibody Sampler Kit
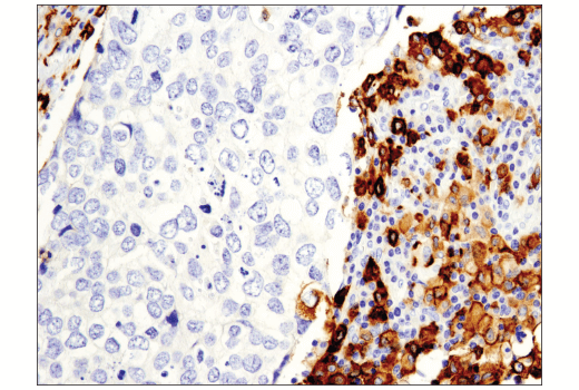
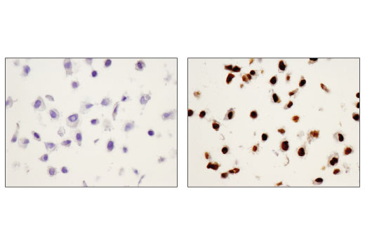
Immunohistochemical analysis of paraffin-embedded THP-1 cell pellet (left, positive) or Raji cell pellet (right, negative) using CD11c (D3V1E) XP® Rabbit mAb.
undefined Image 20: Human Reactive M1 vs M2 Macrophage IHC Antibody Sampler Kit
Immunohistochemical analysis of paraffin-embedded human lung carcinoma using CD68 (D4B9C) XP® Rabbit mAb.
undefined Image 21: Human Reactive M1 vs M2 Macrophage IHC Antibody Sampler Kit
Orders: 877-616-CELL (2355) [email protected] Support: 877-678-TECH (8324) [email protected] Web: cellsignal.com
For Research Use Only. Not for Use in Diagnostic Procedures.

Revision 1

Cell Signaling Technology Logo
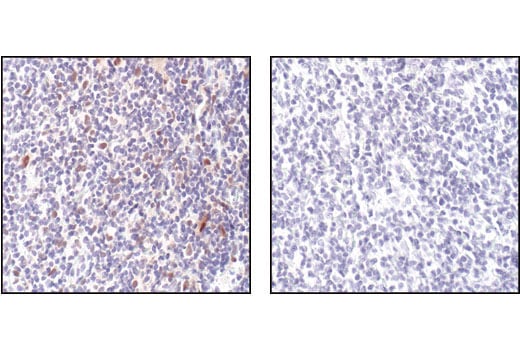
Immunohistochemical analysis of paraffin-embedded Non-Hodgkin lymphoma control (left) or λ phosphatase treated (right), using Phospho-Stat1 (tyr701) (58D6) Rabbit mAb.
undefined Image 22: Human Reactive M1 vs M2 Macrophage IHC Antibody Sampler Kit
Immunohistochemical analysis of paraffin-embedded human tonsil using CD86 (E2G8P) Rabbit mAb performed on the Leica® BOND™ Rx. 
undefined Image 23: Human Reactive M1 vs M2 Macrophage IHC Antibody Sampler Kit
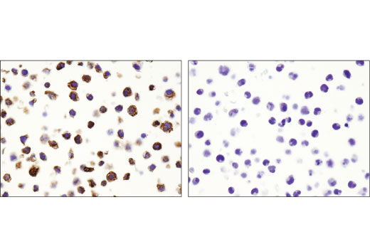
Immunohistochemical analysis of paraffin-embedded MUTZ-3 cell pellet (left, positive) or THP-1 cell pellet (right, negative) using CD206/MRC1 (E2L9N) Rabbit mAb.
undefined Image 24: Human Reactive M1 vs M2 Macrophage IHC Antibody Sampler Kit
Orders: 877-616-CELL (2355) [email protected] Support: 877-678-TECH (8324) [email protected] Web: cellsignal.com
For Research Use Only. Not for Use in Diagnostic Procedures.

Revision 1

Cell Signaling Technology Logo
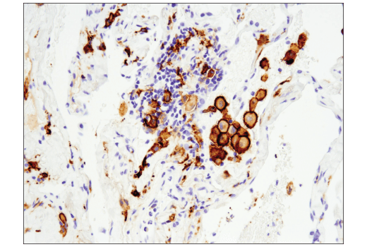
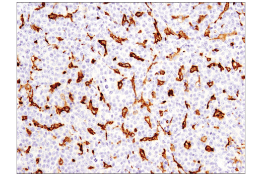
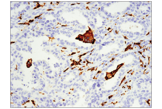
Immunohistochemical analysis of paraffin-embedded human clear cell adenocarcinoma of the ovary using CD163 (D6U1J) Rabbit mAb performed on the Leica® Bond™ Rx.
undefined Image 25: Human Reactive M1 vs M2 Macrophage IHC Antibody Sampler Kit
Immunohistochemical analysis of paraffin-embedded human colon carcinoma using HLA-DRA (E9R2Q) XP® Rabbit mAb performed on the Leica® BOND™ Rx.
undefined Image 26: Human Reactive M1 vs M2 Macrophage IHC Antibody Sampler Kit
Immunohistochemical analysis of paraffin-embedded human colon carcinoma using CD11c (D3V1E) XP® Rabbit mAb.
undefined Image 27: Human Reactive M1 vs M2 Macrophage IHC Antibody Sampler Kit
Orders: 877-616-CELL (2355) [email protected] Support: 877-678-TECH (8324) [email protected] Web: cellsignal.com
For Research Use Only. Not for Use in Diagnostic Procedures.

Revision 1

Cell Signaling Technology Logo
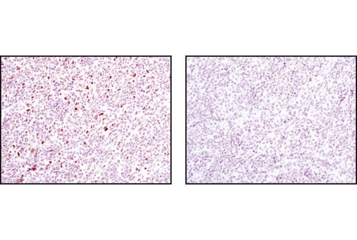
Immunohistochemical analysis of paraffin-embedded Non-Hodgkin lymphoma using Phospho-Stat1 (Tyr701) (58D6) Rabbit mAb #9167 in the presence of control peptide (left) or Phospho-Stat1 (Tyr701) Blocking Peptide (right).
undefined Image 28: Human Reactive M1 vs M2 Macrophage IHC Antibody Sampler Kit
Immunohistochemical analysis of paraffin-embedded human ovarian serous carcinoma using CD86 (E2G8P) Rabbit mAb performed on the Leica® BOND™ Rx.
undefined Image 29: Human Reactive M1 vs M2 Macrophage IHC Antibody Sampler Kit
Immunohistochemical analysis of paraffin-embedded human colon carcinoma using CD206/MRC1 (E2L9N) Rabbit mAb.
undefined Image 30: Human Reactive M1 vs M2 Macrophage IHC Antibody Sampler Kit
Orders: 877-616-CELL (2355) [email protected] Support: 877-678-TECH (8324) [email protected] Web: cellsignal.com
For Research Use Only. Not for Use in Diagnostic Procedures.

Revision 1

Cell Signaling Technology Logo
Immunohistochemical analysis of paraffin-embedded human colon carcinoma using CD163 (D6U1J) Rabbit mAb.
undefined Image 31: Human Reactive M1 vs M2 Macrophage IHC Antibody Sampler Kit
Immunohistochemical analysis of paraffin-embedded human gastric carcinoma using HLA-DRA (E9R2Q) XP® Rabbit mAb.
undefined Image 32: Human Reactive M1 vs M2 Macrophage IHC Antibody Sampler Kit
Immunohistochemical analysis of paraffin-embedded human non-Hodgkin lymphoma using CD11c (D3V1E) XP® Rabbit mAb.
undefined Image 33: Human Reactive M1 vs M2 Macrophage IHC Antibody Sampler Kit
Orders: 877-616-CELL (2355) [email protected] Support: 877-678-TECH (8324) [email protected] Web: cellsignal.com
For Research Use Only. Not for Use in Diagnostic Procedures.

Revision 1

Cell Signaling Technology Logo
Multiplex immunohistochemical analysis of paraffin-embedded human lung adenocarcinoma using CD68 (D4B9C) XP® rabbit mAb (red), PD-1 (EH33) mouse mAb #43248 (green), CD8α (C8/144B) mouse mAb #70306 (magenta), Pan-keratin (C11) mouse mAb #4545 (cyan), LAG3 (D2G4O™) XP® rabbit mAb #15372 (orange), and TIM-3 (D5D5R™) XP® rabbit mAb #45208 (yellow).
undefined Image 34: Human Reactive M1 vs M2 Macrophage IHC Antibody Sampler Kit
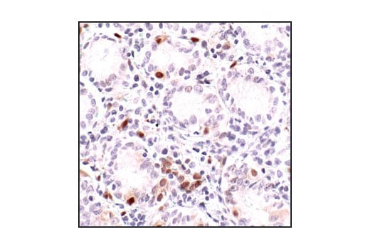
Immunohistochemical analysis of paraffin-embedded stomach (chronic gastritis), using Phospho-Stat1 (Tyr701) (58D6) Rabbit mAb.
undefined Image 35: Human Reactive M1 vs M2 Macrophage IHC Antibody Sampler Kit
Immunohistochemical analysis of paraffin-embedded human colon adenocarcinoma using CD86 (E2G8P) Rabbit mAb.
undefined Image 36: Human Reactive M1 vs M2 Macrophage IHC Antibody Sampler Kit
Orders: 877-616-CELL (2355) [email protected] Support: 877-678-TECH (8324) [email protected] Web: cellsignal.com
For Research Use Only. Not for Use in Diagnostic Procedures.

Revision 1

Cell Signaling Technology Logo
Immunohistochemical analysis of paraffin-embedded human non-small cell lung carcinoma using CD206/MRC1 (E2L9N) Rabbit mAb.
undefined Image 37: Human Reactive M1 vs M2 Macrophage IHC Antibody Sampler Kit
Immunohistochemical analysis of paraffin-embedded human squamous cell lung carcinoma using CD163 (D6U1J) Rabbit mAb.
undefined Image 38: Human Reactive M1 vs M2 Macrophage IHC Antibody Sampler Kit
Immunohistochemical analysis of paraffin-embedded human endometrioid adenocarcinoma using HLA-DRA (E9R2Q) XP® Rabbit mAb.
undefined Image 39: Human Reactive M1 vs M2 Macrophage IHC Antibody Sampler Kit
Orders: 877-616-CELL (2355) [email protected] Support: 877-678-TECH (8324) [email protected] Web: cellsignal.com
For Research Use Only. Not for Use in Diagnostic Procedures.

Revision 1

Cell Signaling Technology Logo
Immunohistochemical analysis of paraffin-embedded human serous papillary carcinoma of the ovary using CD11c (D3V1E) XP® Rabbit mAb.
undefined Image 40: Human Reactive M1 vs M2 Macrophage IHC Antibody Sampler Kit
Multiplex immunohistochemical analysis of paraffin-embedded human ovarian carcinoma using CD68 (D4B9C) XP® rabbit mAb (orange), PD-L1 (E1L3N®) XP® rabbit mAb #13684 (red), PD-L2 (D7U8C™) XP® rabbit mAb (magenta) #82723, Arginase-1 (D4E3M™) XP® rabbit mAb #93668 (green), IDO (D5J4E™) rabbit mAb #86630 (yellow), and Pan-keratin (C11) mouse mAb #4545 (cyan).
undefined Image 41: Human Reactive M1 vs M2 Macrophage IHC Antibody Sampler Kit
Immunohistochemical analysis using Phospho-Stat1 (Tyr701) (58D6) Rabbit mAb on SignalSlide® HeLa -/+ IFNa IHC Controls #55861 (paraffin-embedded HeLa cell pellets, untreated (left) or treated with Human Interferon-α1 (hIFN-α1) #8927 (right)).
undefined Image 42: Human Reactive M1 vs M2 Macrophage IHC Antibody Sampler Kit
Orders: 877-616-CELL (2355) [email protected] Support: 877-678-TECH (8324) [email protected] Web: cellsignal.com
For Research Use Only. Not for Use in Diagnostic Procedures.

Revision 1

Cell Signaling Technology Logo
Immunohistochemical analysis of paraffin-embedded cynomolgus monkey spleen using CD86 (E2G8P) Rabbit mAb.
undefined Image 43: Human Reactive M1 vs M2 Macrophage IHC Antibody Sampler Kit
Immunohistochemical analysis of paraffin-embedded human non-Hodgkin lymphoma using CD206/MRC1 (E2L9N) Rabbit mAb.
undefined Image 44: Human Reactive M1 vs M2 Macrophage IHC Antibody Sampler Kit
Immunohistochemical analysis of paraffin-embedded human non-Hodgkin lymphoma using CD163 (D6U1J) Rabbit mAb.
undefined Image 45: Human Reactive M1 vs M2 Macrophage IHC Antibody Sampler Kit
Orders: 877-616-CELL (2355) [email protected] Support: 877-678-TECH (8324) [email protected] Web: cellsignal.com
For Research Use Only. Not for Use in Diagnostic Procedures.

Revision 1

Cell Signaling Technology Logo
Immunohistochemical analysis of paraffin-embedded human T-cell lymphoma using HLA-DRA (E9R2Q) XP® Rabbit mAb.
undefined Image 46: Human Reactive M1 vs M2 Macrophage IHC Antibody Sampler Kit
Immunohistochemical analysis of paraffin-embedded THP-1 (left) and Jurkat (right) cell pellets using CD68 (D4B9C) XP® Rabbit mAb.
undefined Image 47: Human Reactive M1 vs M2 Macrophage IHC Antibody Sampler Kit
Confocal immunofluorescent analysis of HeLa cells, untreated (left) or IFNα-treated #9906 (right), using Phospho-Stat1 (Tyr701) (58D6) Rabbit mAb (green). Blue pseudocolor = DRAQ5® #4084 (fluorescent DNA dye).
undefined Image 48: Human Reactive M1 vs M2 Macrophage IHC Antibody Sampler Kit
Orders: 877-616-CELL (2355) [email protected] Support: 877-678-TECH (8324) [email protected] Web: cellsignal.com
For Research Use Only. Not for Use in Diagnostic Procedures.

Revision 1

Cell Signaling Technology Logo
Immunohistochemical analysis of paraffin-embedded human lung adenocarcinoma using CD86 (E2G8P) Rabbit mAb (left) compared to concentration matched Rabbit (DA1E) mAb IgG XP® Isotype Control #3900 (right).
undefined Image 49: Human Reactive M1 vs M2 Macrophage IHC Antibody Sampler Kit
Confocal immunofluorescent analysis of human MUTZ-3 cells (left, positive) and Jurkat cells (right, negative) using CD206/MRC1 (E2L9N) Rabbit mAb #91992 (green). Samples were mounted in ProLong® Gold Antifade Reagent with DAPI #8961 (blue).
undefined Image 50: Human Reactive M1 vs M2 Macrophage IHC Antibody Sampler Kit
Immunohistochemical analysis of paraffin-embedded human serous carcinoma of the ovary using CD163 (D6U1J) Rabbit mAb.
undefined Image 51: Human Reactive M1 vs M2 Macrophage IHC Antibody Sampler Kit
Orders: 877-616-CELL (2355) [email protected] Support: 877-678-TECH (8324) [email protected] Web: cellsignal.com
For Research Use Only. Not for Use in Diagnostic Procedures.

Revision 1

Cell Signaling Technology Logo
Immunohistochemical analysis of paraffin-embedded human mucoepidermoid carcinoma of the larynx using HLA-DRA (E9R2Q) XP® Rabbit mAb.
undefined Image 52: Human Reactive M1 vs M2 Macrophage IHC Antibody Sampler Kit
Confocal immunofluorescent analysis of THP-1 cells, differentiated with TPA (12-O-Tetradecanoylphorbol-13-Acetate) #4174 (80 nM, 24 hr) followed by 24 hr without TPA, (left, positive) or HeLa cells (right, negative), using CD11c (D3V1E) XP® Rabbit mAb #45581 (green). Samples were mounted in ProLong® Gold Antifade Reagent with DAPI #8961 (blue).
undefined Image 53: Human Reactive M1 vs M2 Macrophage IHC Antibody Sampler Kit
Confocal immunofluorescent analysis of THP-1 (left) and Jurkat (right) cells using CD68 (D4B9C) XP® Rabbit mAb (green). Blue pseudocolor = DRAQ5® #4084 (fluorescent DNA dye). Projected images from a z-stack series are shown.
undefined Image 54: Human Reactive M1 vs M2 Macrophage IHC Antibody Sampler Kit
Orders: 877-616-CELL (2355) [email protected] Support: 877-678-TECH (8324) [email protected] Web: cellsignal.com
For Research Use Only. Not for Use in Diagnostic Procedures.

Revision 1

Cell Signaling Technology Logo
Flow cytometric analysis of Jurkat cells, untreated (blue) or treated with IFN-α (100ng/ml, 5 mins; green) using Phospho-Stat1 (Tyr701) (58D6) Rabbit mAb (solid lines) or concentration-matched Rabbit (DA1E) mAb IgG XP® Isotype Control #3900 (dashed lines). Anti-rabbit IgG (H+L), F(ab')2 Fragment (Alexa Fluor® 488 Conjugate) #4412.
undefined Image 55: Human Reactive M1 vs M2 Macrophage IHC Antibody Sampler Kit
Immunohistochemical analysis of paraffin-embedded HDLM-2 cell pellet (left, positive) or HT-29 cell pellet (right, negative) using CD86 (E2G8P) Rabbit mAb.
undefined Image 56: Human Reactive M1 vs M2 Macrophage IHC Antibody Sampler Kit
Immunohistochemical analysis of paraffin-embedded normal rhesus monkey spleen using CD163 (D6U1J) Rabbit mAb.
undefined Image 57: Human Reactive M1 vs M2 Macrophage IHC Antibody Sampler Kit
Orders: 877-616-CELL (2355) [email protected] Support: 877-678-TECH (8324) [email protected] Web: cellsignal.com
For Research Use Only. Not for Use in Diagnostic Procedures.

Revision 1

Cell Signaling Technology Logo
Immunohistochemical analysis of paraffin-embedded ovarian carcinoma (left) or colon carcinoma (right) using HLA-DRA (E9R2Q) XP® Rabbit mAb (top) or HLA-DRA Rabbit mAb (bottom). These two antibodies detect unique, non-overlapping epitopes on human HLA-DRA. The similar staining patterns obtained with both antibodies help to confirm the specificity of the staining.
undefined Image 58: Human Reactive M1 vs M2 Macrophage IHC Antibody Sampler Kit
Flow cytometric analysis of live human peripheral blood mononuclear cells co-stained with anti-human CD14 using CD68 (D4B9C) XP® Rabbit mAb (right) compared to a concentration-matched Rabbit (DA1E) mAb IgG XP® Isotype Control #3900 (left). Anti-rabbit IgG (H+L), F(ab')2 Fragment (Alexa Fluor® 488 Conjugate) #4412 was used as a secondary antibody.
undefined Image 59: Human Reactive M1 vs M2 Macrophage IHC Antibody Sampler Kit
Confocal immunofluorescent analysis of HDLM-2 cells (left, positive) and HT-29 cells (right, negative) using CD86 (E2G8P) Rabbit mAb (green). Blue = Hoechst 33342 #4082 (fluorescent DNA dye).
undefined Image 60: Human Reactive M1 vs M2 Macrophage IHC Antibody Sampler Kit
Orders: 877-616-CELL (2355) [email protected] Support: 877-678-TECH (8324) [email protected] Web: cellsignal.com
For Research Use Only. Not for Use in Diagnostic Procedures.

Revision 1

Cell Signaling Technology Logo
Immunohistochemical analysis of paraffin-embedded SU-DHL-1 cell pellet (left, positive) or A-375 cell pellet (right, negative) using CD163 (D6U1J) Rabbit mAb.
undefined Image 61: Human Reactive M1 vs M2 Macrophage IHC Antibody Sampler Kit
Immunohistochemical analysis of paraffin-embedded normal human liver using HLA-DRA (E9R2Q) XP® Rabbit mAb.
undefined Image 62: Human Reactive M1 vs M2 Macrophage IHC Antibody Sampler Kit
Flow cytometric analysis of fixed and permeabilized human peripheral blood mononuclear cells co-stained with anti-human CD14 using CD68 (D4B9C) XP® Rabbit mAb (right) compared to a concentration-matched Rabbit (DA1E) mAb IgG XP® Isotype Control #3900 (left). Anti-rabbit IgG (H+L), F(ab')2 Fragment (Alexa Fluor® 488 Conjugate) #4412 was used as a secondary antibody.
undefined Image 63: Human Reactive M1 vs M2 Macrophage IHC Antibody Sampler Kit
Orders: 877-616-CELL (2355) [email protected] Support: 877-678-TECH (8324) [email protected] Web: cellsignal.com
For Research Use Only. Not for Use in Diagnostic Procedures.

Revision 1

Cell Signaling Technology Logo
Chromatin immunoprecipitations were performed with cross-linked chromatin from HT-1080 cells treated with IFN-γ (50 ng/ml) for 30 minutes and Phospho-Stat1 (Tyr701) (58D6) Rabbit mAb, using SimpleChIP® Plus Enzymatic Chromatin IP Kit (Magnetic Beads) #9005. DNA Libraries were prepared using DNA Library Prep Kit for Illumina® (ChIP-seq, CUT&RUN) #56795. The figure shows binding across IRF-1, a known target gene of Phospho-Stat1 (see additional figure containing ChIP-qPCR data).
undefined Image 64: Human Reactive M1 vs M2 Macrophage IHC Antibody Sampler Kit
Immunohistochemical analysis of paraffin-embedded human lung carcinoma using HLA-DRA (E9R2Q) XP® Rabbit mAb (left) compared to concentration-matched Rabbit (DA1E) mAb IgG XP® Isotype Control #3900 (right).
undefined Image 65: Human Reactive M1 vs M2 Macrophage IHC Antibody Sampler Kit
Flow cytometric analysis of fixed and permeabilized Jurkat cells (blue, negative) and THP-1 cells (green, positive) using CD68 (D4B9C) Rabbit mAb (solid lines) or a concentration-matched Rabbit (DA1E) mAb IgG XP® Isotype Control #3900 (dashed lines). Anti-rabbit IgG (H+L), F(ab')2 Fragment (Alexa Fluor® 488 Conjugate) #4412 was used as a secondary antibody.
undefined Image 66: Human Reactive M1 vs M2 Macrophage IHC Antibody Sampler Kit
Orders: 877-616-CELL (2355) [email protected] Support: 877-678-TECH (8324) [email protected] Web: cellsignal.com
For Research Use Only. Not for Use in Diagnostic Procedures.

Revision 1

Cell Signaling Technology Logo
Chromatin immunoprecipitations were performed with cross-linked chromatin from HT-1080 cells treated with IFN-γ (50 ng/ml) for 30 minutes and Phospho-Stat1 (Tyr701) (58D6) Rabbit mAb, using SimpleChIP® Plus Enzymatic Chromatin IP Kit (Magnetic Beads) #9005. DNA Libraries were prepared using DNA Library Prep Kit for Illumina® (ChIP-seq, CUT&RUN) #56795. The figure shows binding across chromosome 5 (upper), including IRF-1 (lower), a known target gene of Phospho-Stat1 (see additional figure containing ChIP-qPCR data).
undefined Image 67: Human Reactive M1 vs M2 Macrophage IHC Antibody Sampler Kit
Immunohistochemical analysis of paraffin-embedded normal human colon using HLA-DRA (E9R2Q) XP® Rabbit mAb.
undefined Image 68: Human Reactive M1 vs M2 Macrophage IHC Antibody Sampler Kit
Chromatin immunoprecipitations were performed with cross-linked chromatin from HT-1080 cells treated with IFN-γ (50 ng/ml) for 30 minutes and either Phospho-Stat1 (Tyr701) (58D6) Rabbit mAb or Normal Rabbit IgG #2729 using SimpleChIP® Plus Enzymatic Chromatin IP Kit (Magnetic Beads) #9005. The enriched DNA was quantified by real-time PCR using human IRF-1 promoter primers, SimpleChIP® Human TAP1 Promoter Primers #5148, and SimpleChIP® Human α Satellite Repeat Primers #4486. The amount of immunoprecipitated DNA in each sample is represented as signal relative to the total amount of input chromatin, which is equivalent to one.
undefined Image 69: Human Reactive M1 vs M2 Macrophage IHC Antibody Sampler Kit
Orders: 877-616-CELL (2355) [email protected] Support: 877-678-TECH (8324) [email protected] Web: cellsignal.com
For Research Use Only. Not for Use in Diagnostic Procedures.

Revision 1

Cell Signaling Technology Logo
Immunohistochemical analysis of paraffin-embedded rhesus monkey lung using HLA-DRA (E9R2Q) XP® Rabbit mAb.
undefined Image 70: Human Reactive M1 vs M2 Macrophage IHC Antibody Sampler Kit
Western blot analysis of extracts from HeLa cells untreated or treated with interferon-α (IFN-α), using Phospho-Stat1 (Tyr701) (58D6) Rabbit mAb (upper) or Stat1 Antibody (#9172) (lower).
undefined Image 71: Human Reactive M1 vs M2 Macrophage IHC Antibody Sampler Kit
Immunohistochemical analysis of paraffin-embedded rhesus monkey spleen using HLA-DRA (E9R2Q) XP® Rabbit mAb.
undefined Image 72: Human Reactive M1 vs M2 Macrophage IHC Antibody Sampler Kit
Orders: 877-616-CELL (2355) [email protected] Support: 877-678-TECH (8324) [email protected] Web: cellsignal.com
For Research Use Only. Not for Use in Diagnostic Procedures.

Revision 1

Cell Signaling Technology Logo
Immunohistochemical analysis of paraffin-embedded Raji cell pellet (left, positive) or Jurkat cell pellet (right, negative) using HLA-DRA (E9R2Q) XP® Rabbit mAb.
undefined Image 73: Human Reactive M1 vs M2 Macrophage IHC Antibody Sampler Kit
Simple Western™ analysis of lysates (0.1 mg/mL) from THP-1 cells using CD11c (D3V1E) XP® Rabbit mAb #45581. The virtual lane view (left) shows the target band (as indicated) at 1:10 and 1:50 dilutions of primary antibody. The corresponding electropherogram view (right) plots chemiluminescence by molecular weight along the capillary at 1:10 (blue line) and 1:50 (green line) dilutions of primary antibody. This experiment was performed under reducing conditions on the Jess™ Simple Western instrument from ProteinSimple, a BioTechne brand, using the 66 - 440 kDa separation module.
undefined Image 74: Human Reactive M1 vs M2 Macrophage IHC Antibody Sampler Kit
Immunohistochemical analysis of paraffin-embedded normal cynomolgus monkey spleen using CD68 (D4B9C) XP® Rabbit mAb.
undefined Image 75: Human Reactive M1 vs M2 Macrophage IHC Antibody Sampler Kit
Orders: 877-616-CELL (2355) [email protected] Support: 877-678-TECH (8324) [email protected] Web: cellsignal.com
For Research Use Only. Not for Use in Diagnostic Procedures.

Revision 1

Cell Signaling Technology Logo
Simple Western™ analysis of lysates (0.1 mg/mL) from serum-starved HeLa cells treated with IFN-alpha (100 ng/mL, 5 min) using Phospho-Stat1 (Tyr701) (58D6) Rabbit mAb #9167. The virtual lane view (left) shows a single target band (as indicated) at 1:10 and 1:50 dilutions of primary antibody. The corresponding electropherogram view (right) plots chemiluminescence by molecular weight along the capillary at 1:10 (blue line) and 1:50 (green line) dilutions of primary antibody. This experiment was performed under reducing conditions on the Jess™ Simple Western instrument from ProteinSimple, a BioTechne brand, using the 12-230 kDa separation module.
undefined Image 76: Human Reactive M1 vs M2 Macrophage IHC Antibody Sampler Kit
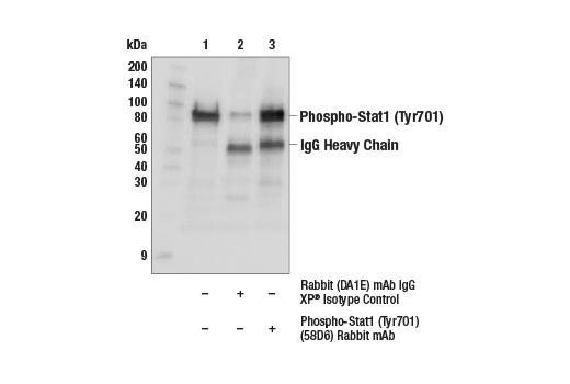
Immunoprecipitation of Phospho-Stat1 (Tyr701) from HeLa cell extracts, treated with treated with IFNa (#36000, 100 ng/mL, 5 min). Lane 1 is 10% input, lane 2 is precipitated with Rabbit (DA1E) mAb IgG XP® Isotype Control #3900, and lane 3 is Phospho-Stat1 (Tyr701) (58D6) Rabbit mAb, #9167.
undefined Image 77: Human Reactive M1 vs M2 Macrophage IHC Antibody Sampler Kit
Orders: 877-616-CELL (2355) [email protected] Support: 877-678-TECH (8324) [email protected] Web: cellsignal.com
For Research Use Only. Not for Use in Diagnostic Procedures.