Revision 3

#89985

Store at -20C

Huntingtin Interaction Antibody Sampler Kit

1 Kit

(6 x 20 microliters)

CST Logo
Orders:

877-616-CELL (2355)

[email protected]

Support:

877-678-TECH (8324)

3 Trask Lane | Danvers | Massachusetts | 01923 | USA

For Research Use Only. Not for Use in Diagnostic Procedures.

Product Includes Product # Quantity Mol. Wt Isotype/Source
PPAR gamma (C26H12) Rabbit Monoclonal Antibody243520 µl53, 57 kDaRabbit IgG
CtBP1 (D2D6) Rabbit Monoclonal Antibody868420 µl47 kDaRabbit IgG
p53 (7F5) Rabbit Monoclonal Antibody252720 µl53 kDaRabbit IgG
SUMO-1 (C9H1) Rabbit Monoclonal Antibody494020 µlRabbit IgG
NF-kappaB1 p105/p50 (D4P4D) Rabbit Monoclonal Antibody1358620 µl50 Active form. 120 Precursor kDaRabbit IgG
ACF1 Antibody625520 µl203 kDaRabbit
Anti-rabbit IgG, HRP-linked Antibody7074100 µlGoat

Please visit cellsignal.com for individual component applications, species cross-reactivity, dilutions, protocols, and additional product information.

Description

The Huntingtin Interaction Antibody Sampler kit provides an economical means of detecting transcription-related proteins that interact with Huntingtin (Htt). This kit contains enough antibody to perform two western blot experiments per primary antibody.

Storage

Supplied in 10 mM sodium HEPES (pH 7.5), 150 mM NaCl, 100 µg/ml BSA, 50% glycerol and less than 0.02% sodium azide. Store at –20°C. Do not aliquot the antibody.

Background

Peroxisome proliferator-activated receptor gamma (PPARG) is a member of the ligand-activated nuclear receptor superfamily and functions as a transcriptional activator (1). Besides its role in mediating adipogenesis and lipid metabolism (2), PPAR gamma also modulates insulin sensitivity, cell proliferation and inflammation (3). CtBP1 is able to regulate gene activity through its intrinsic dehydrogenase activity (4,5) and by interacting with Polycomb Group (PcG) proteins during development (6). Along with its homologue, CtBP2, it acts as a transcriptional corepressor of zinc-finger homeodomain factor deltaEF1 to regulate a wide range of cellular processes through transrepression mechanisms (7). The p53 tumor suppressor protein plays a major role in cellular response to DNA damage and other genomic aberrations. Activation of p53 can lead to either cell cycle arrest and DNA repair or apoptosis (8). DNA damage induces phosphorylation of p53 at Ser15 and Ser20 and leads to a reduced interaction between p53 and its negative regulator, the oncoprotein MDM2 (9). MDM2 inhibits p53 accumulation by targeting it for ubiquitination and proteasomal degradation (10,11). Phosphorylation impairs the ability of MDM2 to bind p53, promoting both the accumulation and activation of p53 in response to DNA damage (9,12). Acetylation appears to play a positive role in the accumulation of p53 protein in stress response (13). Deacetylation of p53 occurs through interaction with the SIRT1 protein, a deacetylase that may be involved in cellular aging and the DNA damage response (14). Small ubiquitin-related modifier 1, 2 and 3 (SUMO-1, -2 and -3) are members of the ubiquitin-like protein family (15). The covalent attachment of the SUMO-1, -2 or -3 (SUMOylation) to target proteins is analogous to ubiquitination. Ubiquitin and the individual SUMO family members are all targeted to different proteins with diverse biological functions. Ubiquitin predominantly regulates degradation of its target (1). In contrast, SUMO-1 is conjugated to RanGAP, PML, p53 and IkB-alpha to regulate nuclear trafficking, formation of subnuclear structures, regulation of transcriptional activity and protein stability (16-20). Transcription factors of the nuclear factor kappaB (NF-kB)/Rel family play a pivotal role in inflammatory and immune responses (21, 22). In unstimulated cells, NF-kB is sequestered in the cytoplasm by IkB inhibitory proteins (23-25). NF-kB-activating agents can induce the phosphorylation of IkB proteins, targeting them for rapid degradation through the ubiquitin-proteasome pathway and releasing NF-kB to enter the nucleus where it regulates gene expression (26-28). ACF1 (BAZ1A) has distinct roles in development (29), regulation of chromatin structure (30), and DNA damage response (31, 32). Different developmental stages dictate the expression of ACF1 in Drosophila, and alterations in ACF1 expression during Drosophila development leads to deviation from normal chromatin organization (29).

Background References

  1. Tontonoz, P. et al. (1995) Curr Opin Genet Dev 5, 571-6.
  2. Rosen, E.D. et al. (1999) Mol Cell 4, 611-7.
  3. Murphy, G.J. and Holder, J.C. (2000) Trends Pharmacol Sci 21, 469-74.
  4. Balasubramanian, P. et al. (2003) FEBS Lett 537, 157-60.
  5. Kumar, V. et al. (2002) Mol Cell 10, 857-69.
  6. Sewalt, R.G. et al. (1999) Mol Cell Biol 19, 777-87.
  7. Furusawa, T. et al. (1999) Mol Cell Biol 19, 8581-90.
  8. Levine, A.J. (1997) Cell 88, 323-31.
  9. Shieh, S.Y. et al. (1997) Cell 91, 325-34.
  10. Chehab, N.H. et al. (1999) Proc Natl Acad Sci U S A 96, 13777-82.
  11. Honda, R. et al. (1997) FEBS Lett 420, 25-7.
  12. Tibbetts, R.S. et al. (1999) Genes Dev 13, 152-7.
  13. Ito, A. et al. (2001) EMBO J 20, 1331-40.
  14. Solomon, J.M. et al. (2006) Mol Cell Biol 26, 28-38.
  15. Schwartz, D.C. and Hochstrasser, M. (2003) Trends Biochem Sci 28, 321-8.
  16. Matunis, M.J. et al. (1996) J Cell Biol 135, 1457-70.
  17. Duprez, E. et al. (1999) J Cell Sci 112 ( Pt 3), 381-93.
  18. Gostissa, M. et al. (1999) EMBO J 18, 6462-71.
  19. Rodriguez, M.S. et al. (1999) EMBO J 18, 6455-61.
  20. Desterro, J.M. et al. (1998) Mol Cell 2, 233-9.
  21. Baeuerle, P.A. and Henkel, T. (1994) Annu Rev Immunol 12, 141-79.
  22. Baeuerle, P.A. and Baltimore, D. (1996) Cell 87, 13-20.
  23. Haskill, S. et al. (1991) Cell 65, 1281-9.
  24. Thompson, J.E. et al. (1995) Cell 80, 573-82.
  25. Whiteside, S.T. et al. (1997) EMBO J 16, 1413-26.
  26. Traenckner, E.B. et al. (1995) EMBO J 14, 2876-83.
  27. Scherer, D.C. et al. (1995) Proc Natl Acad Sci U S A 92, 11259-63.
  28. Chen, Z.J. et al. (1996) Cell 84, 853-62.
  29. Chioda, M. et al. (2010) Development 137, 3513-22.
  30. Ho, L. and Crabtree, G.R. (2010) Nature 463, 474-84.
  31. Sánchez-Molina, S. et al. (2011) Nucleic Acids Res 39, 8445-56.
  32. Lan, L. et al. (2010) Mol Cell 40, 976-87.

Trademarks and Patents

Cell Signaling Technology is a trademark of Cell Signaling Technology, Inc.

U.S. Patent No. 7,429,487, foreign equivalents, and child patents deriving therefrom.

All other trademarks are the property of their respective owners. Visit cellsignal.com/trademarks for more information.

Limited Uses

Except as otherwise expressly agreed in a writing signed by a legally authorized representative of CST, the following terms apply to Products provided by CST, its affiliates or its distributors. Any Customer's terms and conditions that are in addition to, or different from, those contained herein, unless separately accepted in writing by a legally authorized representative of CST, are rejected and are of no force or effect.

Products are labeled with For Research Use Only or a similar labeling statement and have not been approved, cleared, or licensed by the FDA or other regulatory foreign or domestic entity, for any purpose. Customer shall not use any Product for any diagnostic or therapeutic purpose, or otherwise in any manner that conflicts with its labeling statement. Products sold or licensed by CST are provided for Customer as the end-user and solely for research and development uses. Any use of Product for diagnostic, prophylactic or therapeutic purposes, or any purchase of Product for resale (alone or as a component) or other commercial purpose, requires a separate license from CST. Customer shall (a) not sell, license, loan, donate or otherwise transfer or make available any Product to any third party, whether alone or in combination with other materials, or use the Products to manufacture any commercial products, (b) not copy, modify, reverse engineer, decompile, disassemble or otherwise attempt to discover the underlying structure or technology of the Products, or use the Products for the purpose of developing any products or services that would compete with CST products or services, (c) not alter or remove from the Products any trademarks, trade names, logos, patent or copyright notices or markings, (d) use the Products solely in accordance with CST Product Terms of Sale and any applicable documentation, and (e) comply with any license, terms of service or similar agreement with respect to any third party products or services used by Customer in connection with the Products.

Orders: 877-616-CELL (2355) [email protected] Support: 877-678-TECH (8324) [email protected] Web: cellsignal.com
For Research Use Only. Not for Use in Diagnostic Procedures.

Revision 3

Cell Signaling Technology Logo
Western blot analysis of extracts from various cell lines and rat spleen using NF-κB1 p105/p50 (D4P4D) Rabbit mAb.
undefined Image 1: Huntingtin Interaction Antibody Sampler Kit
CUT&RUN was performed with HeLa cells treated with human TNF-α #8902 (30 ng/ml, 1 hr) and NF-κB1 p105/p50 (D4P4D) Rabbit mAb, using CUT&RUN Assay Kit #86652. DNA Libraries were prepared using DNA Library Prep Kit for Illumina® (ChIP-seq, CUT&RUN) #56795. The figure shows binding across NFKBIA, a known target gene of NFkB (see additional figure containing CUT&RUN-qPCR data).
undefined Image 2: Huntingtin Interaction Antibody Sampler Kit
Chromatin immunoprecipitations were performed with cross-linked chromatin from untreated HDLM-2 cells and PPARγ (C26H12) Rabbit mAb using SimpleChIP® Plus Enzymatic Chromatin IP Kit (Magnetic Beads) #9005. DNA Library was prepared using DNA Library Prep Kit for Illumina (ChIP-seq, CUT&RUN) #56795. The figure shows binding across FOXN3, a known target gene of PPARγ.
undefined Image 3: Huntingtin Interaction Antibody Sampler Kit
Orders: 877-616-CELL (2355) [email protected] Support: 877-678-TECH (8324) [email protected] Web: cellsignal.com
For Research Use Only. Not for Use in Diagnostic Procedures.

Revision 3

Cell Signaling Technology Logo
Western blot analysis of extracts from 293 and COS cells, using p53 (7F5) Rabbit mAb.
undefined Image 4: Huntingtin Interaction Antibody Sampler Kit
Western blot analysis of recombinant GST-SUMO-1 protein (38 kDa) and extracts from Jurkat cells using SUMO-1 (C9H1) Rabbit mAb.
undefined Image 5: Huntingtin Interaction Antibody Sampler Kit
Western blot analysis of extracts from various cell lines using ACF1 Antibody.
undefined Image 6: Huntingtin Interaction Antibody Sampler Kit
Orders: 877-616-CELL (2355) [email protected] Support: 877-678-TECH (8324) [email protected] Web: cellsignal.com
For Research Use Only. Not for Use in Diagnostic Procedures.

Revision 3

Cell Signaling Technology Logo
After the primary antibody is bound to the target protein, a complex with HRP-linked secondary antibody is formed. The LumiGLO® is added and emits light during enzyme catalyzed decomposition.
undefined Image 7: Huntingtin Interaction Antibody Sampler Kit
Western blot analysis of extracts from various cell lines using CtBP1 (D2D6) Rabbit mAb.
undefined Image 8: Huntingtin Interaction Antibody Sampler Kit
Immunoprecipitation of NF-κB1 p105/p50 from Raji cell extracts using Rabbit (DA1E) mAb IgG XP® Isotype Control #3900 (lane 2) or NF-κB1 (D4P4D) Rabbit mAb (lane 3). Lane 1 is 10% input. Western blot was performed using NF-κB1 p105/p50 (D4P4D) Rabbit mAb. Mouse Anti-rabbit IgG (Light-Chain Specific) (L57A3) mAb #3677 was used as a secondary antibody.
undefined Image 9: Huntingtin Interaction Antibody Sampler Kit
Orders: 877-616-CELL (2355) [email protected] Support: 877-678-TECH (8324) [email protected] Web: cellsignal.com
For Research Use Only. Not for Use in Diagnostic Procedures.

Revision 3

Cell Signaling Technology Logo
CUT&RUN was performed with HeLa cells treated with human TNF-α #8902 (30 ng/ml, 1 hr) and NF-κB1 p105/p50 (D4P4D) Rabbit mAb, using CUT&RUN Assay Kit #86652. DNA Libraries were prepared using DNA Library Prep Kit for Illumina® (ChIP-seq, CUT&RUN) #56795. The figures show binding across chromosome 14 (upper), including NFKBIA (lower), a known target gene of NFkB (see additional figure containing CUT&RUN-qPCR data).
undefined Image 10: Huntingtin Interaction Antibody Sampler Kit
Chromatin immunoprecipitations were performed with cross-linked chromatin from untreated HDLM-2 cells and PPARγ (C26H12) Rabbit mAb, using SimpleChIP® Plus Enzymatic Chromatin IP Kit (Magnetic Beads) #9005. DNA Library was prepared using DNA Library Prep Kit for Illumina (ChIP-seq, CUT&RUN) #56795. The figures show binding across chromosome 14 (upper), including FOXN3 (lower), a known target gene of PPARγ.
undefined Image 11: Huntingtin Interaction Antibody Sampler Kit
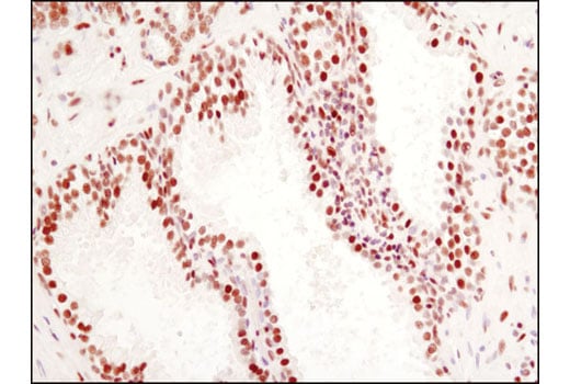
Immunohistochemical analysis of paraffin-embedded human breast carcinoma, using p53 (7F5) Rabbit mAb.
undefined Image 12: Huntingtin Interaction Antibody Sampler Kit
Orders: 877-616-CELL (2355) [email protected] Support: 877-678-TECH (8324) [email protected] Web: cellsignal.com
For Research Use Only. Not for Use in Diagnostic Procedures.

Revision 3

Cell Signaling Technology Logo
Immunohistochemical analysis of paraffin-embedded human lung carcinoma using SUMO-1 (C9H1) Rabbit mAb in the presence of control peptide (left) or antigen specific peptide (right).
undefined Image 13: Huntingtin Interaction Antibody Sampler Kit
Immunohistochemical analysis of paraffin-embedded human colon carcinoma using CtBP1 (D2D6) Rabbit mAb in the presence of control peptide (left) or antigen-specific peptide (right).
undefined Image 14: Huntingtin Interaction Antibody Sampler Kit
Confocal immunofluorescent analysis of C2C12 cells, untreated (left) or treated with Mouse Tumor Necrosis Factor-α (mTNF-α) #5178 (20 ng/ml, 30 min; right), using NF-κB1 p105/p50 (D4P4D) Rabbit mAb (green). Actin filaments were labeled with DyLight™ 554 Phalloidin #13054 (red). Blue pseudocolor= DRAQ5® #4084 (fluorescent DNA dye).
undefined Image 15: Huntingtin Interaction Antibody Sampler Kit
Orders: 877-616-CELL (2355) [email protected] Support: 877-678-TECH (8324) [email protected] Web: cellsignal.com
For Research Use Only. Not for Use in Diagnostic Procedures.

Revision 3

Cell Signaling Technology Logo
CUT&RUN was performed with HeLa cells treated with human TNF-α #8902 (30 ng/ml, 1 hr) and either NF-κB1 p105/p50 (D4P4D) Rabbit mAb or Rabbit (DA1E) mAb IgG XP® Isotype Control (CUT&RUN) #66362, using CUT&RUN Assay Kit #86652. The enriched DNA was quantified by real-time PCR using SimpleChIP® Human IκBα Promoter Primers #5552 and SimpleChIP® Human α Satellite Repeat Primers #4486. The amount of immunoprecipitated DNA in each sample is represented as signal relative to the total amount of input chromatin, which is equivalent to one.
undefined Image 16: Huntingtin Interaction Antibody Sampler Kit
Chromatin immunoprecipitations were performed with cross-linked chromatin from HDLM-2 cells and either PPARγ (C26H12) Rabbit mAb or Normal Rabbit IgG #2729 using SimpleChIP® Plus Enzymatic Chromatin IP Kit (Magnetic Beads) #9005. The enriched DNA was quantified by real-time PCR using SimpleChIP® Human FOXN3 Intron 3 Primers #95568, human STON2 intron 4 primers, and SimpleChIP® Human α Satellite Repeat Primers #4486. The amount of immunoprecipitated DNA in each sample is represented as signal relative to the total amount of input chromatin, which is equivalent to one.
undefined Image 17: Huntingtin Interaction Antibody Sampler Kit
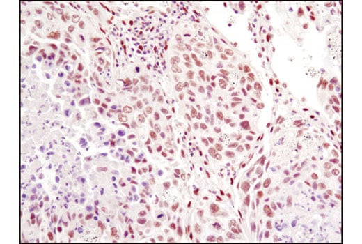
Immunohistochemical analysis of paraffin-embedded human colon carcinoma, using p53 (7F5) Rabbit mAb.
undefined Image 18: Huntingtin Interaction Antibody Sampler Kit
Orders: 877-616-CELL (2355) [email protected] Support: 877-678-TECH (8324) [email protected] Web: cellsignal.com
For Research Use Only. Not for Use in Diagnostic Procedures.

Revision 3

Cell Signaling Technology Logo
Immunohistochemical analysis of paraffin-embedded human lung squamous cell carcinoma using CtBP1 (D2D6) Rabbit mAb.
undefined Image 19: Huntingtin Interaction Antibody Sampler Kit
Flow cytometric analysis of NIH/3T3 cells using NF-κB1 p105/p50 (D4P4D) Rabbit mAb (solid line) compared to concentration-matched Rabbit (DA1E) mAb IgG XP® Isotype Control #3900 (dashed line). Anti-rabbit IgG (H+L), F(ab')2 Fragment (Alexa Fluor® 488 Conjugate) #4412 was used as a secondary antibody.
undefined Image 20: Huntingtin Interaction Antibody Sampler Kit
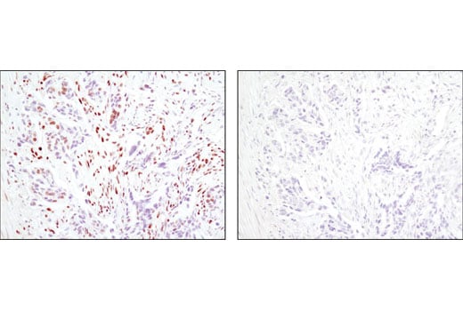
Immunohistochemical analysis of paraffin-embedded HT-29 (left) and SaOs-2 (right) cells, using p53 (7F5) Rabbit mAb. Note the lack of staining in p53-negative SaOs-2 cells.
undefined Image 21: Huntingtin Interaction Antibody Sampler Kit
Orders: 877-616-CELL (2355) [email protected] Support: 877-678-TECH (8324) [email protected] Web: cellsignal.com
For Research Use Only. Not for Use in Diagnostic Procedures.

Revision 3

Cell Signaling Technology Logo
Immunohistochemical analysis of paraffin-embedded human prostate carcinoma using CtBP1 (D2D6) Rabbit mAb.
undefined Image 22: Huntingtin Interaction Antibody Sampler Kit
Confocal Immunofluorescent analysis of HT-29 cells using p53 (7F5) Rabbit mAb (green). Actin filaments have been labeled with DY-554 phalloidin (red).
undefined Image 23: Huntingtin Interaction Antibody Sampler Kit
Chromatin immunoprecipitations were performed with cross-linked chromatin from HeLa cells treated with Human Tumor Necrosis Factor-α (hTNF-α) #8902 (30 ng/ml, 1 hr) and either NF-κB1 p105/p50 (D4P4D) Rabbit mAb or Normal Rabbit IgG #2729 using SimpleChIP® Enzymatic Chromatin IP Kit (Magnetic Beads) #9003. The enriched DNA was quantified by real-time PCR using SimpleChIP® Human IκBα Promoter Primers #5552, human IL-8 promoter primers, and SimpleChIP® Human α Satellite Repeat Primers #4486. The amount of immunoprecipitated DNA in each sample is represented as signal relative to the total amount of input chromatin, which is equivalent to one.
undefined Image 24: Huntingtin Interaction Antibody Sampler Kit
Orders: 877-616-CELL (2355) [email protected] Support: 877-678-TECH (8324) [email protected] Web: cellsignal.com
For Research Use Only. Not for Use in Diagnostic Procedures.

Revision 3

Cell Signaling Technology Logo
Flow cytometric analysis of HT-29 cells using p53 (7F5) Rabbit mAb (solid line) compared to concentration-matched Rabbit (DA1E) mAb IgG XP® Isotype Control #3900 (dashed line). Anti-rabbit IgG (H+L), F(ab')2 Fragment (Alexa Fluor® 488 Conjugate) #4412 was used as a secondary antibody.
undefined Image 25: Huntingtin Interaction Antibody Sampler Kit
Confocal immunofluorescent analysis of 293T cells using CtBP1 (D2D6) Rabbit mAb (green). Actin filaments were labeled with DY-554 phalloidin (red).
undefined Image 26: Huntingtin Interaction Antibody Sampler Kit
Chromatin immunoprecipitations were performed with cross-linked chromatin from HCT116 cells treated with UV (100 J/m2 followed by a 3 hour recovery) and either p53 (7F5) Rabbit mAb or Normal Rabbit IgG #2729 using SimpleChIP® Enzymatic Chromatin IP Kit (Magnetic Beads) #9003. The enriched DNA was quantified by real-time PCR using SimpleChIP® Human CDKN1A Promoter Primers #6449, human MDM2 intron 2 primers, and SimpleChIP® Human α Satellite Repeat Primers #4486. The amount of immunoprecipitated DNA in each sample is represented as signal relative to the total amount of input chromatin, which is equivalent to one.
undefined Image 27: Huntingtin Interaction Antibody Sampler Kit
Orders: 877-616-CELL (2355) [email protected] Support: 877-678-TECH (8324) [email protected] Web: cellsignal.com
For Research Use Only. Not for Use in Diagnostic Procedures.

Revision 3

Cell Signaling Technology Logo
Western blot analysis of extracts from NIH/3T3 and 3T3-L1 cells (differentiated 6 days into adipocytes) using PPARγ (C26H12) Rabbit mAb.
undefined Image 28: Huntingtin Interaction Antibody Sampler Kit
Immunohistochemical analysis of 3T3-L1 cells, undifferentiated (left) or differentiated (right) , using PPARγ (C26H12) Rabbit mAb.
undefined Image 29: Huntingtin Interaction Antibody Sampler Kit
Immunohistochemical analysis of paraffin-embedded mouse brown fat using PPARγ (C26H12) Rabbit mAb.
undefined Image 30: Huntingtin Interaction Antibody Sampler Kit
Orders: 877-616-CELL (2355) [email protected] Support: 877-678-TECH (8324) [email protected] Web: cellsignal.com
For Research Use Only. Not for Use in Diagnostic Procedures.

Revision 3

Cell Signaling Technology Logo
Confocal immunofluorescent analysis of 3T3-L1 cells using PPARγ (C26H12A8) Rabbit mAb (red) showing nuclear localization in differentiated cells. Lipid droplets have been labeled with BODIPY 493/503 (green). Blue pseudocolor = DRAQ5™ (fluorescent DNA dye).
undefined Image 31: Huntingtin Interaction Antibody Sampler Kit
Simple Western™ analysis of lysates (1 mg/mL) from COS-7 cells using p53 (7F5) Rabbit mAb #2527. The virtual lane view (left) shows the target band (as indicated) at 1:10 and 1:50 dilutions of primary antibody. The corresponding electropherogram view (right) plots chemiluminescence by molecular weight along the capillary at 1:10 (blue line) and 1:50 (green line) dilutions of primary antibody. This experiment was performed under reducing conditions on the Jess™ ​​​​​​​ Simple Western instrument from ProteinSimple, a BioTechne brand, using the 12-230 kDa separation module.
undefined Image 32: Huntingtin Interaction Antibody Sampler Kit
Orders: 877-616-CELL (2355) [email protected] Support: 877-678-TECH (8324) [email protected] Web: cellsignal.com
For Research Use Only. Not for Use in Diagnostic Procedures.