Revision 2

#4749

Store at -20C

Integrin Antibody Sampler Kit

1 Kit

(7 x 20 microliters)

CST Logo
Orders:

877-616-CELL (2355)

[email protected]

Support:

877-678-TECH (8324)

3 Trask Lane | Danvers | Massachusetts | 01923 | USA

For Research Use Only. Not for Use in Diagnostic Procedures.

Product Includes Product # Quantity Mol. Wt Isotype/Source
Integrin alpha5 Antibody470520 µl150 kDaRabbit
Integrin alphaV Antibody471120 µl135, 140 kDaRabbit
Integrin beta4 (D8P6C) Rabbit Monoclonal Antibody1480320 µl210 kDaRabbit IgG
Integrin alpha4 (D2E1) Rabbit Monoclonal Antibody844020 µl70, 140, 150, kDaRabbit IgG
Integrin beta1 (D2E5) Rabbit Monoclonal Antibody969920 µl115, 135 kDaRabbit IgG
Integrin beta3 (D7X3P) Rabbit Monoclonal Antibody1316620 µl100 kDaRabbit IgG
Integrin beta5 (D24A5) Rabbit Monoclonal Antibody362920 µl90 kDaRabbit IgG
Anti-rabbit IgG, HRP-linked Antibody7074100 µlGoat

Please visit cellsignal.com for individual component applications, species cross-reactivity, dilutions, protocols, and additional product information.

Description

The Integrin Antibody Sampler Kit provides an economical means to screen samples for α and β subunits of integrin molecules. The kit includes enough primary and secondary antibody to perform two Western blot experiments with each antibody.

Storage

Supplied in 10 mM sodium HEPES (pH 7.5), 150 mM NaCl, 100 µg/ml BSA, 50% glycerol and less than 0.02% sodium azide. Store at –20°C. Do not aliquot the antibody.

Background

Integrins are α/β heterodimeric cell surface receptors that play a pivotal role in cell adhesion and migration, as well as in growth and survival (1,2). The integrin family contains at least 18 α and 8 β subunits that form 24 known integrins with distinct tissue distribution and overlapping ligand specificities (3). Integrins not only transmit signals to cells in response to the extracellular environment (outside-in signaling), but also sense intracellular cues to alter their interaction with the extracellular environment (inside-out signaling) (1,2).

Trademarks and Patents

Cell Signaling Technology is a trademark of Cell Signaling Technology, Inc.

All other trademarks are the property of their respective owners. Visit cellsignal.com/trademarks for more information.

Limited Uses

Except as otherwise expressly agreed in a writing signed by a legally authorized representative of CST, the following terms apply to Products provided by CST, its affiliates or its distributors. Any Customer's terms and conditions that are in addition to, or different from, those contained herein, unless separately accepted in writing by a legally authorized representative of CST, are rejected and are of no force or effect.

Products are labeled with For Research Use Only or a similar labeling statement and have not been approved, cleared, or licensed by the FDA or other regulatory foreign or domestic entity, for any purpose. Customer shall not use any Product for any diagnostic or therapeutic purpose, or otherwise in any manner that conflicts with its labeling statement. Products sold or licensed by CST are provided for Customer as the end-user and solely for research and development uses. Any use of Product for diagnostic, prophylactic or therapeutic purposes, or any purchase of Product for resale (alone or as a component) or other commercial purpose, requires a separate license from CST. Customer shall (a) not sell, license, loan, donate or otherwise transfer or make available any Product to any third party, whether alone or in combination with other materials, or use the Products to manufacture any commercial products, (b) not copy, modify, reverse engineer, decompile, disassemble or otherwise attempt to discover the underlying structure or technology of the Products, or use the Products for the purpose of developing any products or services that would compete with CST products or services, (c) not alter or remove from the Products any trademarks, trade names, logos, patent or copyright notices or markings, (d) use the Products solely in accordance with CST Product Terms of Sale and any applicable documentation, and (e) comply with any license, terms of service or similar agreement with respect to any third party products or services used by Customer in connection with the Products.

Orders: 877-616-CELL (2355) [email protected] Support: 877-678-TECH (8324) [email protected] Web: cellsignal.com
For Research Use Only. Not for Use in Diagnostic Procedures.

Revision 2

Cell Signaling Technology Logo
Western blot analysis of extracts from U-87 MG, HUVEC and C2C12 cell lines using Integrin β3 (D7X3P) XP® Rabbit mAb.
undefined Image 1: Integrin Antibody Sampler Kit
Western blot analysis of extracts from HT-29, LNCaP, and A-204 cells using Integrin β4 (D8P6C) XP® Rabbit mAb (upper) and β-Actin (D6A8) Rabbit mAb #8457 (lower).
undefined Image 2: Integrin Antibody Sampler Kit
Western blot analysis of extracts from various cell lines using Integrin β5 (D24A5) Rabbit mAb.
undefined Image 3: Integrin Antibody Sampler Kit
Orders: 877-616-CELL (2355) [email protected] Support: 877-678-TECH (8324) [email protected] Web: cellsignal.com
For Research Use Only. Not for Use in Diagnostic Procedures.

Revision 2

Cell Signaling Technology Logo
Western blot analysis of extracts from A549, NIH/3T3 and COS cell lines using Integrin α5 Antibody.
undefined Image 4: Integrin Antibody Sampler Kit
Western blot analysis of extracts from A549 and C6 cells using Integrin αV Antibody.
undefined Image 5: Integrin Antibody Sampler Kit
After the primary antibody is bound to the target protein, a complex with HRP-linked secondary antibody is formed. The LumiGLO® is added and emits light during enzyme catalyzed decomposition.
undefined Image 6: Integrin Antibody Sampler Kit
Orders: 877-616-CELL (2355) [email protected] Support: 877-678-TECH (8324) [email protected] Web: cellsignal.com
For Research Use Only. Not for Use in Diagnostic Procedures.

Revision 2

Cell Signaling Technology Logo
Western blot analysis of extracts from various cell lines using Integrin α4 (D2E1) XP® Rabbit mAb.
undefined Image 7: Integrin Antibody Sampler Kit
Western blot analysis of extracts from various cell lines using Integrin β1 (D2E5) Rabbit mAb.
undefined Image 8: Integrin Antibody Sampler Kit
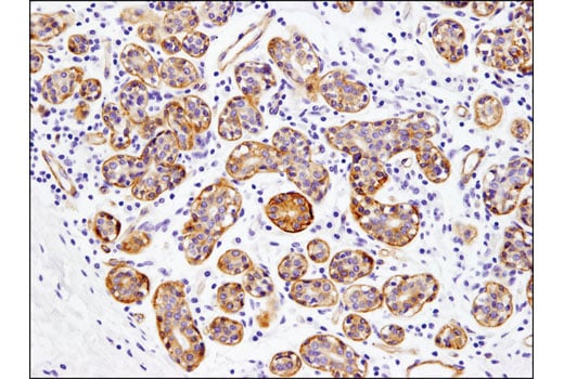
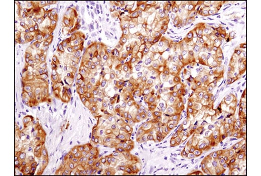
Immunohistochemical analysis of paraffin-embedded human breast carcinoma using Integrin β3 (D7X3P) XP® Rabbit mAb.
undefined Image 9: Integrin Antibody Sampler Kit
Orders: 877-616-CELL (2355) [email protected] Support: 877-678-TECH (8324) [email protected] Web: cellsignal.com
For Research Use Only. Not for Use in Diagnostic Procedures.

Revision 2

Cell Signaling Technology Logo
Immunohistochemical analysis of paraffin-embedded human breast carcinoma using Integrin β4 (D8P6C) XP® Rabbit mAb.
undefined Image 10: Integrin Antibody Sampler Kit
Confocal immunofluorescent analysis of A549 cells using Integrin β5 (D24A5) Rabbit mAb (green). Actin filaments were labeled using DY-554 phalloidin (red). Blue pseudocolor = DRAQ5® #4084 (fluorescent DNA dye).
undefined Image 11: Integrin Antibody Sampler Kit
Confocal immunofluorescent analysis of Jurkat (positive; left) and K-562 (negative; right) cells using Integrin α4 (D2E1) XP® Rabbit mAb (green). Blue pseudocolor = DRAQ5® #4084 (fluorescent DNA dye).
undefined Image 12: Integrin Antibody Sampler Kit
Orders: 877-616-CELL (2355) [email protected] Support: 877-678-TECH (8324) [email protected] Web: cellsignal.com
For Research Use Only. Not for Use in Diagnostic Procedures.

Revision 2

Cell Signaling Technology Logo
Immunohistochemical analysis of paraffin-embedded human breast carcinoma using Integrin β1 (D2E5) Rabbit mAb.
undefined Image 13: Integrin Antibody Sampler Kit
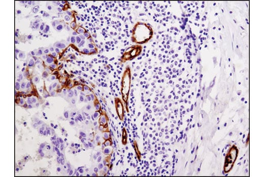
Immunohistochemical analysis of paraffin-embedded human papillary renal cell carcinoma using Integrin β3 (D7X3P) XP® Rabbit mAb.
undefined Image 14: Integrin Antibody Sampler Kit
Immunohistochemical analysis of paraffin-embedded HT-29 (left) and LNCaP (right) cell pellets using Integrin β4 (D8P6C) XP® Rabbit mAb.
undefined Image 15: Integrin Antibody Sampler Kit
Orders: 877-616-CELL (2355) [email protected] Support: 877-678-TECH (8324) [email protected] Web: cellsignal.com
For Research Use Only. Not for Use in Diagnostic Procedures.

Revision 2

Cell Signaling Technology Logo
Flow cytometric analysis of fixed and permeabilized Jurkat cells using Integrin α4 (D2E1) XP® Rabbit mAb (blue) compared to concentration-matched Rabbit (DA1E) mAb IgG XP® Isotype Control #3900 (red). Anti-rabbit IgG (H+L), F(ab')2 Fragment (Alexa Fluor® 488 Conjugate) #4412 was used as a secondary antibody.
undefined Image 16: Integrin Antibody Sampler Kit
Immunohistochemical analysis of paraffin-embedded cell pellets, U-87 MG (left) or SNB19 (right), using Integrin β1 (D2E5) Rabbit mAb.
undefined Image 17: Integrin Antibody Sampler Kit
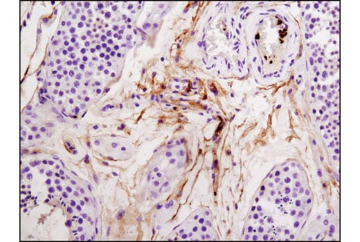
Immunohistochemical analysis of paraffin-embedded human testes using Integrin β3 (D7X3P) XP® Rabbit mAb.
undefined Image 18: Integrin Antibody Sampler Kit
Orders: 877-616-CELL (2355) [email protected] Support: 877-678-TECH (8324) [email protected] Web: cellsignal.com
For Research Use Only. Not for Use in Diagnostic Procedures.

Revision 2

Cell Signaling Technology Logo
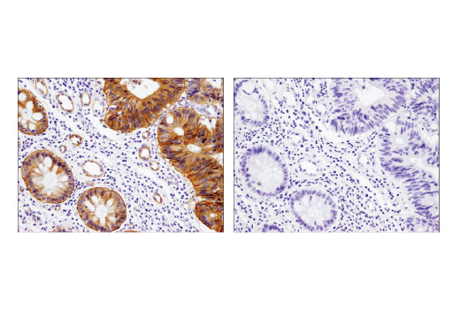
Immunohistochemical analysis of paraffin-embedded human colon carcinoma using Integrin β4 (D8P6C) XP® Rabbit mAb in the presence of control peptide (left) and antigen-specific peptide (right).
undefined Image 19: Integrin Antibody Sampler Kit
Immunohistochemical analysis of paraffin-embedded human lung carcinoma using Integrin β1 (D2E5) Rabbit mAb.
undefined Image 20: Integrin Antibody Sampler Kit
Flow cytometric analysis of fixed and permeabilized A-204 cells (blue, negative) and A-431 cells (green, positive) using Integrin β4 (D8P6C) XP® Rabbit mAb. Anti-rabbit IgG (H+L), F(ab')2 Fragment (Alexa Fluor® 488 Conjugate) #4412 was used as a secondary antibody.
undefined Image 21: Integrin Antibody Sampler Kit
Orders: 877-616-CELL (2355) [email protected] Support: 877-678-TECH (8324) [email protected] Web: cellsignal.com
For Research Use Only. Not for Use in Diagnostic Procedures.

Revision 2

Cell Signaling Technology Logo
Immunohistochemical analysis of paraffin-embedded human skin using Integrin β1 (D2E5) Rabbit mAb.
undefined Image 22: Integrin Antibody Sampler Kit
Orders: 877-616-CELL (2355) [email protected] Support: 877-678-TECH (8324) [email protected] Web: cellsignal.com
For Research Use Only. Not for Use in Diagnostic Procedures.