Revision 1

#91138

Store at -20C

CST Logo
Orders:

877-616-CELL (2355)

[email protected]

Support:

877-678-TECH (8324)

3 Trask Lane | Danvers | Massachusetts | 01923 | USA

For Research Use Only. Not for Use in Diagnostic Procedures.

Applications:
W, IF-IC

Reactivity:
H

Sensitivity:
Endogenous

MW (kDa):
195

Source/Isotype:
Rabbit IgG

UniProt ID:
#Q70E73

Entrez-Gene Id:
65059

Product Usage Information

Application Dilution
Western Blotting 1:1000
Immunofluorescence (Immunocytochemistry) 1:200

Storage

Supplied in 10 mM sodium HEPES (pH 7.5), 150 mM NaCl, 100 µg/ml BSA, 50% glycerol and less than 0.02% sodium azide. Store at –20°C. Do not aliquot the antibody.

Specificity/Sensitivity

Lamellipodin (D8A2K) Rabbit Monoclonal Antibody recognizes endogenous levels of total lamellipodin protein. Based on the amino acid sequence of the immunogenic peptide, this antibody is expected to detect the canonical isoform (RMO1-RAPH1) only.

Source / Purification

Monoclonal antibody is produced by immunizing animals with a synthetic peptide corresponding to residues surrounding Pro990 of human lamellipodin protein.

Background

Regulation of actin dynamics at the leading edge of the cell drives cell adhesion, migration, and invasion. These processes are crucial for normal development, immune cell function, angiogenesis and cell division, and are dysregulated in diseases such as metastatic cancer (1, 2).
Lamellipodin (Lpd) is a member of the Mig-10/RIAM/lamellipodin (MRL) family of adaptor proteins. Lamellipodin regulates the formation of lamellipodia at the leading edge through its interaction with and recruitment of actin-modulating proteins such as Ena/VASP (3) and the Scar/WAVE complex (4). Lamellipodin and Mena cooperate with endophilin to regulate EGFR endocytosis (5). MRL proteins can also form complexes with talin and activated integrins, guiding the formation of cell protrusions and the direction of cell migration (6).

Species Reactivity

Species reactivity is determined by testing in at least one approved application (e.g., western blot).

Western Blot Buffer

IMPORTANT: For western blots, incubate membrane with diluted primary antibody in 5% w/v nonfat dry milk, 1X TBS, 0.1% Tween® 20 at 4°C with gentle shaking, overnight.

Applications Key

W: Western Blotting IF-IC: Immunofluorescence (Immunocytochemistry)

Cross-Reactivity Key

H: Human

Trademarks and Patents

Cell Signaling Technology is a trademark of Cell Signaling Technology, Inc.

All other trademarks are the property of their respective owners. Visit cellsignal.com/trademarks for more information.

Limited Uses

Except as otherwise expressly agreed in a writing signed by a legally authorized representative of CST, the following terms apply to Products provided by CST, its affiliates or its distributors. Any Customer's terms and conditions that are in addition to, or different from, those contained herein, unless separately accepted in writing by a legally authorized representative of CST, are rejected and are of no force or effect.

Products are labeled with For Research Use Only or a similar labeling statement and have not been approved, cleared, or licensed by the FDA or other regulatory foreign or domestic entity, for any purpose. Customer shall not use any Product for any diagnostic or therapeutic purpose, or otherwise in any manner that conflicts with its labeling statement. Products sold or licensed by CST are provided for Customer as the end-user and solely for research and development uses. Any use of Product for diagnostic, prophylactic or therapeutic purposes, or any purchase of Product for resale (alone or as a component) or other commercial purpose, requires a separate license from CST. Customer shall (a) not sell, license, loan, donate or otherwise transfer or make available any Product to any third party, whether alone or in combination with other materials, or use the Products to manufacture any commercial products, (b) not copy, modify, reverse engineer, decompile, disassemble or otherwise attempt to discover the underlying structure or technology of the Products, or use the Products for the purpose of developing any products or services that would compete with CST products or services, (c) not alter or remove from the Products any trademarks, trade names, logos, patent or copyright notices or markings, (d) use the Products solely in accordance with CST Product Terms of Sale and any applicable documentation, and (e) comply with any license, terms of service or similar agreement with respect to any third party products or services used by Customer in connection with the Products.

Orders: 877-616-CELL (2355) [email protected] Support: 877-678-TECH (8324) [email protected] Web: cellsignal.com
For Research Use Only. Not for Use in Diagnostic Procedures.

Revision 1

Cell Signaling Technology Logo
Western blot analysis of extracts from various cell lines using Lamellipodin (D8A2K) Rabbit mAb.
Western Blotting Image 1: Lamellipodin (D8A2K) Rabbit Monoclonal Antibody
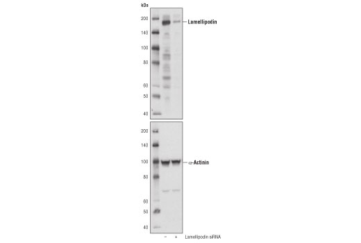
Western blot analysis of extracts from MCF7 cells, tranfected with control (-) or Lamellipodin siRNA (+), using Lamellipodin (D8A2K) Rabbit mAb (upper) or α-Actinin (D6F6) Rabbit mAb #6487.
Western Blotting Image 2: Lamellipodin (D8A2K) Rabbit Monoclonal Antibody
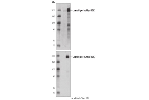
Western blot analysis of extracts from 293T cells, mock transfected (-) or transfected with full length human lamellipodin/Myc-DDK (+), using Lamellipodin (D8A2K) Rabbit mAb (upper) or Myc-Tag (71D10) Rabbit mAb #2278 (lower).
Western Blotting Image 3: Lamellipodin (D8A2K) Rabbit Monoclonal Antibody
Orders: 877-616-CELL (2355) [email protected] Support: 877-678-TECH (8324) [email protected] Web: cellsignal.com
For Research Use Only. Not for Use in Diagnostic Procedures.

Revision 1

Cell Signaling Technology Logo
Confocal immunofluorescent analysis of SNB-19 cells using Lamellipodin (D8A2K) Rabbit mAb (green). Actin filaments were labeled with DyLight® 554 Phalloidin #13054 (red). Blue pseudocolor = DRAQ5® #4084 (fluorescent DNA dye).
Immunofluorescence Image 1: Lamellipodin (D8A2K) Rabbit Monoclonal Antibody
Orders: 877-616-CELL (2355) [email protected] Support: 877-678-TECH (8324) [email protected] Web: cellsignal.com
For Research Use Only. Not for Use in Diagnostic Procedures.