Revision 3

#9329

Store at -20C

MAPKAPK-2 Antibody Sampler Kit

1 Kit

(3 x 20 microliters)

CST Logo
Orders:

877-616-CELL (2355)

[email protected]

Support:

877-678-TECH (8324)

3 Trask Lane | Danvers | Massachusetts | 01923 | USA

For Research Use Only. Not for Use in Diagnostic Procedures.

Product Includes Product # Quantity Mol. Wt Isotype/Source
Phospho-MAPKAPK-2 (Thr334) (27B7) Rabbit mAb300720 µl49 kDaRabbit IgG
Phospho-MAPKAPK-2 (Thr222) (9A7) Rabbit mAb331620 µl49 kDaRabbit IgG
MAPKAPK-2 (D1E11) Rabbit mAb1215520 µl47, 49 (Phosphorylated) kDaRabbit IgG
Anti-rabbit IgG, HRP-linked Antibody7074100 µlGoat

Please visit cellsignal.com for individual component applications, species cross-reactivity, dilutions, protocols, and additional product information.

Description

The MAPKAPK-2 Antibody Sampler Kit provides an economical means of evaluating levels of MAPKAPK-2 protein phosphorylated at specific sites, as well as total MAPKAPK-2 protein levels. The kit contains enough primary and secondary antibodies to perform two Western blot experiments.

Storage

Supplied in 10 mM sodium HEPES (pH 7.5), 150 mM NaCl, 100 µg/ml BSA, 50% glycerol and less than 0.02% sodium azide. Store at –20°C. Do not aliquot the antibody.

Background

In response to cytokines, stress, and chemotactic factors, MAP kinase-activated protein kinase 2 (MAPKAPK-2) is rapidly phosphorylated and activated. It has been shown that MAPKAPK-2 is a direct target of p38 MAPK (1). Multiple residues of MAPKAPK-2 are phosphorylated in vivo in response to stress. However, only four residues (Thr25, Thr222, Ser272, and Thr334) are phosphorylated by p38 MAPK in an in vitro kinase assay (2). Phosphorylation at Thr222, Ser272, and Thr334 appears to be essential for the activity of MAPKAPK-2 (2). Thr25 is phosphorylated by p42 MAPK in vitro, but is not required for the activation of MAPKAPK-2 (2).

Trademarks and Patents

Cell Signaling Technology is a trademark of Cell Signaling Technology, Inc.

All other trademarks are the property of their respective owners. Visit cellsignal.com/trademarks for more information.

Limited Uses

Except as otherwise expressly agreed in a writing signed by a legally authorized representative of CST, the following terms apply to Products provided by CST, its affiliates or its distributors. Any Customer's terms and conditions that are in addition to, or different from, those contained herein, unless separately accepted in writing by a legally authorized representative of CST, are rejected and are of no force or effect.

Products are labeled with For Research Use Only or a similar labeling statement and have not been approved, cleared, or licensed by the FDA or other regulatory foreign or domestic entity, for any purpose. Customer shall not use any Product for any diagnostic or therapeutic purpose, or otherwise in any manner that conflicts with its labeling statement. Products sold or licensed by CST are provided for Customer as the end-user and solely for research and development uses. Any use of Product for diagnostic, prophylactic or therapeutic purposes, or any purchase of Product for resale (alone or as a component) or other commercial purpose, requires a separate license from CST. Customer shall (a) not sell, license, loan, donate or otherwise transfer or make available any Product to any third party, whether alone or in combination with other materials, or use the Products to manufacture any commercial products, (b) not copy, modify, reverse engineer, decompile, disassemble or otherwise attempt to discover the underlying structure or technology of the Products, or use the Products for the purpose of developing any products or services that would compete with CST products or services, (c) not alter or remove from the Products any trademarks, trade names, logos, patent or copyright notices or markings, (d) use the Products solely in accordance with CST Product Terms of Sale and any applicable documentation, and (e) comply with any license, terms of service or similar agreement with respect to any third party products or services used by Customer in connection with the Products.

Orders: 877-616-CELL (2355) [email protected] Support: 877-678-TECH (8324) [email protected] Web: cellsignal.com
For Research Use Only. Not for Use in Diagnostic Procedures.

Revision 3

Cell Signaling Technology Logo
Western blot analysis of extracts from various cell lines, untreated (-) or treated with UV (40 mJ/cm2, 30 min recovery; +), using MAPKAPK-2 (D1E11) Rabbit mAb (upper) or GAPDH (D16H11) XP® Rabbit mAb #5174 (lower).
undefined Image 1: MAPKAPK-2 Antibody Sampler Kit
Western blot analysis of extracts from untreated or UV+TPA-treated HeLa and COS cells, using Phospho-MAPKAPK-2 (Thr334) (27B7) Rabbit mAb (upper), or MAPKAPK-2 Antibody #3042 (lower).
undefined Image 2: MAPKAPK-2 Antibody Sampler Kit
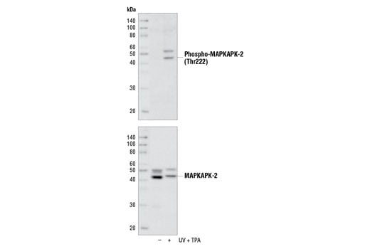
Western blot analysis of extracts from HeLa cells, untreated (-) or UV- and TPA-treated (+), using Phospho-MAPKAPK-2 (Thr222) (9A7) Rabbit mAb (upper), or MAPKAPK-2 Antibody #3042 (lower).
undefined Image 3: MAPKAPK-2 Antibody Sampler Kit
Orders: 877-616-CELL (2355) [email protected] Support: 877-678-TECH (8324) [email protected] Web: cellsignal.com
For Research Use Only. Not for Use in Diagnostic Procedures.

Revision 3

Cell Signaling Technology Logo
After the primary antibody is bound to the target protein, a complex with HRP-linked secondary antibody is formed. The LumiGLO® is added and emits light during enzyme catalyzed decomposition.
undefined Image 4: MAPKAPK-2 Antibody Sampler Kit
Western blot analysis of cell extracts from MAPKAPK-2 wild type (WT) and knockout (KO) mouse embryonic fibroblasts (MEF) using MAPKAPK-2 (D1E11) Rabbit mAb (upper) or GAPDH (D16H11) XP® Rabbit mAb #5174 (lower). MAPKAPK-2 WT and KO MEFs were generously provided by Drs. Sandra Morandell and Michael Yaffe, David H. Koch Institute for Integrative Cancer Research, Massachusetts Institute of Technology, Cambridge, MA.
undefined Image 5: MAPKAPK-2 Antibody Sampler Kit
Western blot analysis of extracts from NIH/3T3 cells, untreated (-) or UV- and TPA-treated (+), using Phospho-MAPKAPK-2 (Thr222) (9A7) Rabbit mAb (upper) or MAPKAPK-2 Antibody #3042 (lower).
undefined Image 6: MAPKAPK-2 Antibody Sampler Kit
Orders: 877-616-CELL (2355) [email protected] Support: 877-678-TECH (8324) [email protected] Web: cellsignal.com
For Research Use Only. Not for Use in Diagnostic Procedures.

Revision 3

Cell Signaling Technology Logo
Immunoprecipitation of MAPKAPK-2 from HeLa cell extracts using MAPKAPK-2 (D1E11) Rabbit mAb (lane 2), MAPKAPK-2 Antibody #3042 (lane 3), or Rabbit (DA1E) mAb IgG XP® Isotype Control #3900 (lane 4). Lane 1 is 10% input. Western blot analysis was performed using MAPKAPK-2 (D1E11) Rabbit mAb. Mouse Anti-rabbit IgG (Conformation Specific) (L27A9) mAb #3678 was used as a secondary antibody.
undefined Image 7: MAPKAPK-2 Antibody Sampler Kit
Simple WesternTM analysis of lysates (1 mg/mL) from MEF cells using MAPKAPK-2 (D1E11) Rabbit mAb #12155. The virtual lane view (left) shows a single target band (as indicated) at 1:50 and 1:250 dilutions of primary antibody.  The corresponding electropherogram view (right) plots chemiluminescence by molecular weight along the capillary at 1:50 (blue line) and 1:250 (green line) dilutions of primary antibody.  This experiment was performed under reducing conditions on the JessTM Simple Western instrument from ProteinSimple, a BioTechne brand, using the 12-230 kDa separation module.
undefined Image 8: MAPKAPK-2 Antibody Sampler Kit
Orders: 877-616-CELL (2355) [email protected] Support: 877-678-TECH (8324) [email protected] Web: cellsignal.com
For Research Use Only. Not for Use in Diagnostic Procedures.