Revision 7

#36064

Store at -20C

CST Logo
Orders:

877-616-CELL (2355)

[email protected]

Support:

877-678-TECH (8324)

3 Trask Lane | Danvers | Massachusetts | 01923 | USA

For Research Use Only. Not for Use in Diagnostic Procedures.

Product Includes Product # Quantity Mol. Wt Isotype/Source
Anti-rabbit IgG, HRP-linked Antibody7074100 µlGoat
Calreticulin (D3E6) Rabbit Monoclonal Antibody1223820 µl55 kDaRabbit IgG
Ubiquitin (E4I2J) Rabbit Monoclonal Antibody4312420 µlRabbit IgG
HLA-G (E8N9C) Rabbit Monoclonal Antibody7976920 µl30-40 kDaRabbit IgG
Calnexin (C5C9) Rabbit Monoclonal Antibody267920 µl90 kDaRabbit IgG
PSMB8/LMP7 (D1K7X) Rabbit Monoclonal Antibody1363520 µl23, 28 kDaRabbit IgG
beta2-microglobulin (D8P1H) Rabbit Monoclonal Antibody1285120 µl12 kDaRabbit IgG
IFNGR1 (E444) Antibody1040520 µl45-90 kDaRabbit
TAP2 (E8G5I) Rabbit Monoclonal Antibody2565720 µl72 kDaRabbit IgG
TAP1 (E4T4F) Rabbit Monoclonal Antibody4967120 µl68 kDaRabbit IgG

Please visit cellsignal.com for individual component applications, species cross-reactivity, dilutions, protocols, and additional product information.

Description

The MHC Class I Antigen Processing and Presentation Antibody Sampler Kit provides an economical means to examine key proteins associated with the processing and presentation of MHC class I-restricted antigens. The provided antibodies allow monitoring of total protein levels. The kit includes enough antibodies to perform two western blot experiments with each primary antibody.

Storage

Supplied in 10 mM sodium HEPES (pH 7.5), 150 mM NaCl, 100 µg/ml BSA, 50% glycerol and less than 0.02% sodium azide. Store at –20°C. Do not aliquot the antibodies.

Background

The predominant function of class I MHC/β2-microglobulin dimers, which are expressed on the surface of most nucleated cell types, is to modulate the adaptive immune response by presenting proteolytic peptide fragments from cytosolic proteins to cytotoxic CD8+ T cells. In order for self and nonself peptides to be presented by MHC class I molecules, the peptide fragments must first be derived from polyubiquitinated proteins that undergo degradation via the ubiquitin-proteasome system. In the context of inflammatory processes, the enzymatic core of the proteasome can be shaped by IFNγ signaling to contain subunits, such as PSMB8/LMP7, which enhance the presentation of antigenic peptides by antigen presenting cells (1). The resulting cytosolic peptide fragments generated through ubiquitin-dependent proteasomal degradation are then transported into the ER lumen via the peptide transporters, TAP1 and TAP2, where the activity of multiple chaperone proteins, such as calnexin and calreticulin, facilitate loading onto class I MHC/β2-microglobulin dimers for transport to the Golgi and eventually, the cell surface (2-6). Defects in the expression of multiple components of the class I antigen presenting machinery have been observed in both solid and liquid tumors, which serves as a mechanism of tumor-immune evasion (7).

Trademarks and Patents

Cell Signaling Technology is a trademark of Cell Signaling Technology, Inc.

U.S. Patent No. 7,429,487, foreign equivalents, and child patents deriving therefrom.

All other trademarks are the property of their respective owners. Visit cellsignal.com/trademarks for more information.

Limited Uses

Except as otherwise expressly agreed in a writing signed by a legally authorized representative of CST, the following terms apply to Products provided by CST, its affiliates or its distributors. Any Customer's terms and conditions that are in addition to, or different from, those contained herein, unless separately accepted in writing by a legally authorized representative of CST, are rejected and are of no force or effect.

Products are labeled with For Research Use Only or a similar labeling statement and have not been approved, cleared, or licensed by the FDA or other regulatory foreign or domestic entity, for any purpose. Customer shall not use any Product for any diagnostic or therapeutic purpose, or otherwise in any manner that conflicts with its labeling statement. Products sold or licensed by CST are provided for Customer as the end-user and solely for research and development uses. Any use of Product for diagnostic, prophylactic or therapeutic purposes, or any purchase of Product for resale (alone or as a component) or other commercial purpose, requires a separate license from CST. Customer shall (a) not sell, license, loan, donate or otherwise transfer or make available any Product to any third party, whether alone or in combination with other materials, or use the Products to manufacture any commercial products, (b) not copy, modify, reverse engineer, decompile, disassemble or otherwise attempt to discover the underlying structure or technology of the Products, or use the Products for the purpose of developing any products or services that would compete with CST products or services, (c) not alter or remove from the Products any trademarks, trade names, logos, patent or copyright notices or markings, (d) use the Products solely in accordance with CST Product Terms of Sale and any applicable documentation, and (e) comply with any license, terms of service or similar agreement with respect to any third party products or services used by Customer in connection with the Products.

Orders: 877-616-CELL (2355) [email protected] Support: 877-678-TECH (8324) [email protected] Web: cellsignal.com
For Research Use Only. Not for Use in Diagnostic Procedures.

Revision 7

Cell Signaling Technology Logo
Western blot analysis of extracts from various cell lines with IFNGR1 (E444) Antibody (upper) or β-Actin (D6A8) Rabbit mAb #8457 (lower).
undefined Image 1: MHC Class I Antigen Processing and Presentation Antibody Sampler Kit
Western blot analysis of extracts from SH-SY5Y and KNRK cells using Calreticulin (D3E6) XP® Rabbit mAb.
undefined Image 2: MHC Class I Antigen Processing and Presentation Antibody Sampler Kit
Western blot analysis of extracts from various cell lines using β2-microglobulin (D8P1H) Rabbit mAb (upper) and β-Actin (DA8) Rabbit mAb #8457 (lower). DLD-1 and Daudi cell lines are negative for β2-microglobulin due to genomic deletions at the β2-microglobulin locus.
undefined Image 3: MHC Class I Antigen Processing and Presentation Antibody Sampler Kit
Orders: 877-616-CELL (2355) [email protected] Support: 877-678-TECH (8324) [email protected] Web: cellsignal.com
For Research Use Only. Not for Use in Diagnostic Procedures.

Revision 7

Cell Signaling Technology Logo
Western blot analysis of extracts from various cell lines using PSMB8/LMP7 (D1K7X) Rabbit mAb (upper) and GAPDH (D16H11) XP® Rabbit mAb #5174 (lower). (The T2 cell line contains a homozygous deletion of PSMB8/LMP7 (13)).
undefined Image 4: MHC Class I Antigen Processing and Presentation Antibody Sampler Kit
Western blot analysis of extracts from HeLa and SW620 cells, untreated (-) or treated with Human Interferon-γ (hIFN-γ) #80385 (100 ng/mL, 48 hr; +), using TAP2 (E8G5I) Rabbit mAb (upper) or β-Actin (D6A8) Rabbit mAb #8457 (lower). TAP2 protein expression is induced by IFN-γ treatment, as expected.
undefined Image 5: MHC Class I Antigen Processing and Presentation Antibody Sampler Kit
Western blot analysis of extracts from HeLa, NIH/3T3, and H-4-II-E cells, untreated (-) or treated with MG-132 #2194 (10μM, 90min; +), using Ubiquitin (E4I2J) Rabbit mAb (upper) and β-Actin (D6A8) Rabbit mAb #8457 (lower).
undefined Image 6: MHC Class I Antigen Processing and Presentation Antibody Sampler Kit
Orders: 877-616-CELL (2355) [email protected] Support: 877-678-TECH (8324) [email protected] Web: cellsignal.com
For Research Use Only. Not for Use in Diagnostic Procedures.

Revision 7

Cell Signaling Technology Logo
Western blot analysis of extracts from HeLa and SW620 cells, untreated (-) or treated with Human Interferon-γ (hIFN-γ) #80385 (100 ng/ml, 48 hr; +), using TAP1 (E4T4F) Rabbit mAb (upper) and β-Actin (D6A8) Rabbit mAb #8457 (lower).
undefined Image 7: MHC Class I Antigen Processing and Presentation Antibody Sampler Kit
After the primary antibody is bound to the target protein, a complex with HRP-linked secondary antibody is formed. The LumiGLO® is added and emits light during enzyme catalyzed decomposition.
undefined Image 8: MHC Class I Antigen Processing and Presentation Antibody Sampler Kit
Western blot analysis of extracts from JEG-3 and LNCaP cells using HLA-G (E8N9C) XP® Rabbit mAb (upper) and β-Actin (D6A8) Rabbit mAb #8457 (lower).
undefined Image 9: MHC Class I Antigen Processing and Presentation Antibody Sampler Kit
Orders: 877-616-CELL (2355) [email protected] Support: 877-678-TECH (8324) [email protected] Web: cellsignal.com
For Research Use Only. Not for Use in Diagnostic Procedures.

Revision 7

Cell Signaling Technology Logo
Western blot analysis of extracts from 293T cells, mock transfected (-) or transfected with a construct expressing Myc/DDK-tagged full-length human IFNGR1 protein (hIFNGR1-Myc/DDK; +), using IFNGR1 (E444) Antibody (upper), Myc-Tag (71D10) Rabbit mAb #2278 (middle), and β-Actin (D6A8) Rabbit mAb #8457 (lower).
undefined Image 10: MHC Class I Antigen Processing and Presentation Antibody Sampler Kit
Confocal immunofluorescent analysis of NIH/3T3 cells using Calreticulin (D3E6) XP® Rabbit mAb (green) and β-Actin (13E5) Rabbit mAb (Alexa Fluor® 555 Conjugate) #8046 (red). Blue pseudocolor = DRAQ5® #4084 (fluorescent DNA dye).
undefined Image 11: MHC Class I Antigen Processing and Presentation Antibody Sampler Kit
Immunohistochemical analysis of paraffin-embedded HeLa (left) and DLD-1 (right) cell pellets using β2-microglobulin (D8P1H) Rabbit mAb.
undefined Image 12: MHC Class I Antigen Processing and Presentation Antibody Sampler Kit
Orders: 877-616-CELL (2355) [email protected] Support: 877-678-TECH (8324) [email protected] Web: cellsignal.com
For Research Use Only. Not for Use in Diagnostic Procedures.

Revision 7

Cell Signaling Technology Logo
Western blot analysis of extracts from HeLa and SW620 cells, untreated (-) or treated with Human Interferon-γ (hIFN-γ) (100 ng/ml, 72 hr; +), using PSMB8/LMP7 (D1K7X) Rabbit mAb (upper) and GAPDH (D16H11) XP® Rabbit mAb #5174 (lower).
undefined Image 13: MHC Class I Antigen Processing and Presentation Antibody Sampler Kit
Western blot analysis of extracts from 293T cells, mock transfected (-) or transfected with constructs expressing Myc/DDK-tagged full-length human TAP1 (hTAP1-Myc/DDK; +) and Myc/DDK-tagged full-length human TAP2 (hTAP2-Myc/DDK; +), using TAP2 (E8G5I) Rabbit mAb (upper), DYKDDDDK Tag (D6W5B) Rabbit mAb #14793 (middle), or β-Actin (D6A8) Rabbit mAb #8457 (lower).
undefined Image 14: MHC Class I Antigen Processing and Presentation Antibody Sampler Kit
Western blot analysis of various recombinant linkage-specific polyubiquitin chains, recombinant free monoubiquitin (MonoUb), and recombinant linear polyubiquitin (Ub linear) (300 ng each), using Ubiquitin (E4I2J) Rabbit mAb.
undefined Image 15: MHC Class I Antigen Processing and Presentation Antibody Sampler Kit
Orders: 877-616-CELL (2355) [email protected] Support: 877-678-TECH (8324) [email protected] Web: cellsignal.com
For Research Use Only. Not for Use in Diagnostic Procedures.

Revision 7

Cell Signaling Technology Logo
Western blot analysis of extracts from 293T cells, mock transfected (-) or transfected with constructs expressing Myc/DDK-tagged full-length human TAP1 protein (hTAP1-Myc/DDK; +) and Myc/DDK-tagged full-length human TAP2 protein (hTAP2-Myc/DDK; +), using TAP1 (E4T4F) Rabbit mAb (upper), DYKDDDDK Tag Antibody #2368 (middle), and β-Actin (D6A8) Rabbit mAb #8457 (lower).
undefined Image 16: MHC Class I Antigen Processing and Presentation Antibody Sampler Kit
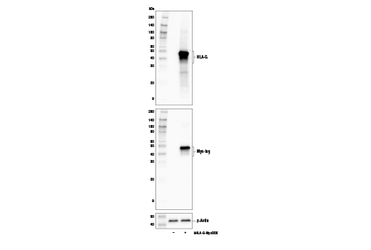
Western blot analysis of extracts from 293T cells, mock transfected (-) or transfected with construct expressing full-length human MycDDK-tagged HLA-G (hHLA-G-MycDDK; +), using HLA-G (E8N9C) XP® Rabbit mAb (upper), Myc-Tag (71D10) Rabbit mAb #2278 (middle), and β-Actin (D6A8) Rabbit mAb #8457 (lower).
undefined Image 17: MHC Class I Antigen Processing and Presentation Antibody Sampler Kit
Immunoprecipitation of IFNGR1 from NCI-H226 cell extracts. Lane 1 is 10% input, lane 2 is Normal Rabbit IgG #2729, and lane 3 is IFNGR1 (E444) Antibody. Western blot analysis was performed using IFNGR1 (E444) Antibody. Mouse Anti-rabbit IgG (Conformation Specific) (L27A9) mAb #3678 was used for detection.
undefined Image 18: MHC Class I Antigen Processing and Presentation Antibody Sampler Kit
Orders: 877-616-CELL (2355) [email protected] Support: 877-678-TECH (8324) [email protected] Web: cellsignal.com
For Research Use Only. Not for Use in Diagnostic Procedures.

Revision 7

Cell Signaling Technology Logo
Flow cytometric analysis of Jurkat cells using Calreticulin (D3E6) XP® Rabbit mAb (solid line) compared to concentration-matched Rabbit (DA1E) mAb IgG XP® Isotype Control #3900 (dashed line). Anti-rabbit IgG (H+L), F(ab')2 Fragment (Alexa Fluor® 488 Conjugate) #4412 was used as a secondary antibody.
undefined Image 19: MHC Class I Antigen Processing and Presentation Antibody Sampler Kit
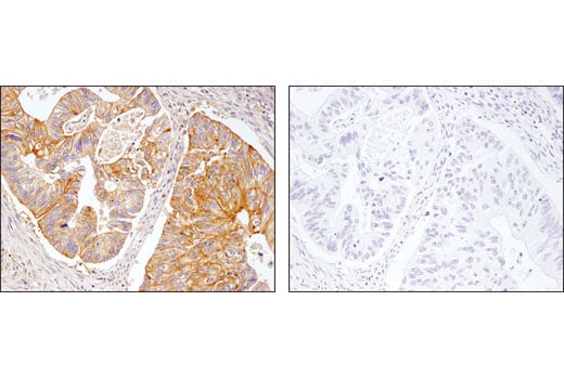
Immunohistochemical analysis of paraffin-embedded colon carcinoma using β2-microglobulin (D8P1H) Rabbit mAb in the presence of control peptide (left) or antigen-specific peptide (right).
undefined Image 20: MHC Class I Antigen Processing and Presentation Antibody Sampler Kit
Western blot analysis of extracts from 293T cells, mock transfected (-) or transfected with constructs expressing Myc/DDK-tagged full-length human PSMB5 (hPSMB5-Myc/DDK; +) or Myc/DDK-tagged full-length human PSMB8 (hPSMB8-Myc/DDK; +), using PSMB8/LMP7 (D1K7X) Rabbit mAb (upper) and DYKDDDDK Tag Antibody #2368 (lower).
undefined Image 21: MHC Class I Antigen Processing and Presentation Antibody Sampler Kit
Orders: 877-616-CELL (2355) [email protected] Support: 877-678-TECH (8324) [email protected] Web: cellsignal.com
For Research Use Only. Not for Use in Diagnostic Procedures.

Revision 7

Cell Signaling Technology Logo
Immunoprecipitation of TAP1 protein from extracts of HeLa cells treated with Human Interferon-γ (hIFN-γ) #80385 (100 ng/mL, 48 hr). Lane 1 is 10% input, lane 2 is Rabbit (DA1E) mAb IgG XP® Isotype Control #3900, and lane 3 is TAP1 (E4T4F) Rabbit mAb. Western blot analysis was performed using TAP1 (E4T4F) Rabbit mAb. Anti-rabbit IgG, HRP-linked Antibody #7074 was used as a secondary antibody.
undefined Image 22: MHC Class I Antigen Processing and Presentation Antibody Sampler Kit
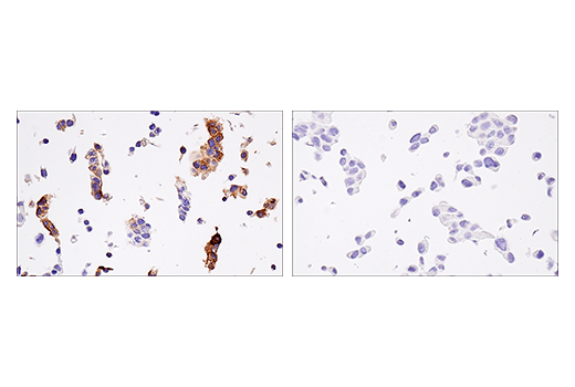
Immunohistochemical analysis of paraffin-embedded JEG-3 cell pellet (left, positive) or LNCaP cell pellet (right, negative) using HLA-G (E8N9C) XP® Rabbit mAb.
undefined Image 23: MHC Class I Antigen Processing and Presentation Antibody Sampler Kit
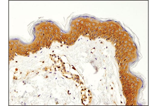
Immunohistochemical analysis of paraffin-embedded human skin using β2-microglobulin (D8P1H) Rabbit mAb.
undefined Image 24: MHC Class I Antigen Processing and Presentation Antibody Sampler Kit
Orders: 877-616-CELL (2355) [email protected] Support: 877-678-TECH (8324) [email protected] Web: cellsignal.com
For Research Use Only. Not for Use in Diagnostic Procedures.

Revision 7

Cell Signaling Technology Logo
Immunohistochemical analysis of paraffin-embedded human placenta using HLA-G (E8N9C) XP® Rabbit mAb (left) compared to concentration matched Rabbit (DA1E) mAb IgG XP® Isotype Control #3900 (right).
undefined Image 25: MHC Class I Antigen Processing and Presentation Antibody Sampler Kit
Confocal immunofluorescent analysis of PANC-1 (positive, left) and DLD-1 (negative, right) cells, using β2-microglobulin (D8P1H) Rabbit mAb (green). Blue pseudocolor= DRAQ5® #4084 (fluorescent DNA dye).
undefined Image 26: MHC Class I Antigen Processing and Presentation Antibody Sampler Kit
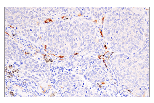
Immunohistochemical analysis of paraffin-embedded human lung adenocarcinoma using HLA-G (E8N9C) XP® Rabbit mAb.
undefined Image 27: MHC Class I Antigen Processing and Presentation Antibody Sampler Kit
Orders: 877-616-CELL (2355) [email protected] Support: 877-678-TECH (8324) [email protected] Web: cellsignal.com
For Research Use Only. Not for Use in Diagnostic Procedures.

Revision 7

Cell Signaling Technology Logo
Flow cytometric analysis of DLD-1 cells (blue) and HeLa cells (green) using β2-microglobulin (D8P1H) Rabbit mAb. Anti-rabbit IgG (H+L), F(ab')2 Fragment (Alexa Fluor® 647 Conjugate) #4414 was used as a secondary antibody.
undefined Image 28: MHC Class I Antigen Processing and Presentation Antibody Sampler Kit
Simple WesternTM analysis of lysates (0.1 mg/mL) from HepG2 cells using β2-microglobulin (D8P1H) Rabbit mAb #12851. The virtual lane view (left) shows the target (as indicated) at 1:10 and 1:50 dilutions of primary antibody. The corresponding electropherogram view (right) plots chemiluminescence by molecular weight along the capillary at 1:10 (blue line) and 1:50 (green line) dilutions of primary antibody. This experiment was performed under reducing conditions on the JessTM Simple Western instrument from ProteinSimple, a BioTechne brand, using the 2-40 kDa separation module.
undefined Image 29: MHC Class I Antigen Processing and Presentation Antibody Sampler Kit
Immunoprecipitation of TAP2 protein from HDLM-2 cell extracts. Lane 1 is 10% input, lane 2 is Rabbit (DA1E) mAb IgG XP® Isotype Control #3900, and lane 3 is TAP2 (E8G5I) Rabbit mAb. Western blot analysis was performed using TAP2 (E8G5I) Rabbit mAb. Anti-rabbit IgG, HRP-linked Antibody #7074 was used as a secondary antibody.
undefined Image 30: MHC Class I Antigen Processing and Presentation Antibody Sampler Kit
Orders: 877-616-CELL (2355) [email protected] Support: 877-678-TECH (8324) [email protected] Web: cellsignal.com
For Research Use Only. Not for Use in Diagnostic Procedures.

Revision 7

Cell Signaling Technology Logo
Western blot analysis of extracts from PANC1, HepG2 and A204 cells using Calnexin (C5C9) Rabbit mAb.
undefined Image 31: MHC Class I Antigen Processing and Presentation Antibody Sampler Kit
Immunohistochemical analysis of paraffin-embedded human breast carcinoma using Calnexin (C5C9) Rabbit mAb in the presence of control peptide (left) or antigen-specific peptide (right).
undefined Image 32: MHC Class I Antigen Processing and Presentation Antibody Sampler Kit
Simple Western™ analysis of lysates (0.1 mg/mL) from HepG2 cells using Calnexin (C5C9) Rabbit mAb #2679. The virtual lane view (left) shows the target bands (as indicated) at 1:50 and 1:250 dilutions of primary antibody. The corresponding electropherogram view (right) plots chemiluminescence by molecular weight along the capillary at 1:50 (blue line) and 1:250 (green line) dilutions of primary antibody. This experiment was performed under reducing conditions on the Jess™ ​​​​​​​Simple Western instrument from ProteinSimple, a BioTechne brand, using the 12-230 kDa separation module.
undefined Image 33: MHC Class I Antigen Processing and Presentation Antibody Sampler Kit
Orders: 877-616-CELL (2355) [email protected] Support: 877-678-TECH (8324) [email protected] Web: cellsignal.com
For Research Use Only. Not for Use in Diagnostic Procedures.

Revision 7

Cell Signaling Technology Logo
Confocal immunofluorescent analysis of HeLa cells using Calnexin (C5C9) Rabbit mAb #2679 (green), β-Actin (8H10D10) Mouse mAb #3700 (red), and DAPI #4083 (blue).
undefined Image 34: MHC Class I Antigen Processing and Presentation Antibody Sampler Kit
Orders: 877-616-CELL (2355) [email protected] Support: 877-678-TECH (8324) [email protected] Web: cellsignal.com
For Research Use Only. Not for Use in Diagnostic Procedures.