Revision 2

#68309

Store at -20C

CST Logo
Orders:

877-616-CELL (2355)

[email protected]

Support:

877-678-TECH (8324)

3 Trask Lane | Danvers | Massachusetts | 01923 | USA

For Research Use Only. Not for Use in Diagnostic Procedures.

Product Includes Product # Quantity Mol. Wt Isotype/Source
Notch1 (D1E11) Rabbit Monoclonal Antibody360820 µl120, 300 kDaRabbit IgG
Cleaved Notch1 (Val1744) (D3B8) Rabbit Monoclonal Antibody414720 µl110 kDaRabbit IgG
RBPSUH (D10A4) Rabbit Monoclonal Antibody531320 µl61 kDaRabbit IgG
MAML1 (D3K7B) Rabbit Monoclonal Antibody1216620 µl130 kDaRabbit IgG
c-Myc (D84C12) Rabbit Monoclonal Antibody560520 µl57-65 kDaRabbit IgG
p21 Waf1/Cip1 (12D1) Rabbit Monoclonal Antibody294720 µl21 kDaRabbit IgG
HES1 (D6P2U) Rabbit Monoclonal Antibody1198820 µl30 kDaRabbit IgG
Cyclin D3 (DCS22) Mouse Monoclonal Antibody293620 µl31 kDaMouse IgG1
Anti-rabbit IgG, HRP-linked Antibody7074100 µlGoat
Anti-mouse IgG, HRP-linked Antibody7076100 µlHorse

Please visit cellsignal.com for individual component applications, species cross-reactivity, dilutions, protocols, and additional product information.

Description

The Notch Activated Targets Antibody Sampler Kit provides an economical means of detecting target proteins of activated Notch. The kit contains enough primary antibody to perform four western blot experiments per primary antibody.

Storage

Supplied in 10 mM sodium HEPES (pH 7.5), 150 mM NaCl, 100 µg/ml BSA, 50% glycerol and less than 0.02% sodium azide. Store at –20°C. Do not aliquot the antibody.

Background

Notch proteins (Notch1-4) are a family of transmembrane receptors that play important roles in development and the determination of cell fate (1). Mature Notch receptors are processed and assembled as heterodimeric proteins, with each dimer comprised of a large extracellular ligand-binding domain, a single-pass transmembrane domain, and a smaller cytoplasmic subunit (Notch intracellular domain, NICD) (2). Binding of Notch receptors to ligands of the Delta-Serrate-Lag2 (DSL) family triggers heterodimer dissociation, exposing the receptors to proteolytic cleavages; these result in release of the NICD, which translocates to the nucleus and activates transcription of downstream target genes (3,4).  RBPSUH (Recombining Binding Protein, SUppressor of Hairless), is the DNA-binding component of the transcription complex regulated by canonical Notch signaling. Binding of Notch with RBPSUH activates a transcription activation complex that includes Mastermind-like (MAML) proteins, leading to transcriptional activation of Notch target genes (5-7). The NICD binds and activates c-Myc which functions as a transcriptional regulator with roles in various aspects of cell behavior including proliferation, differentiation and apoptosis (8).  The tumor suppressor protein p21 Waf1/Cip1 acts as an inhibitor of cell cycle progression. The NICD-RBPSUH complex binds and activates p21 for transcription (15).  HES1 (Hairy and Enhancer of Split 1) is one of seven members of the HES family of basic helix-loop-helix (bHLH) transcription factors that is particularly well known as a repressive mediator of the canonical Notch signaling pathway (10). HES1 plays a key role in mediating Notch-dependent T cell lineage commitment (11), and has been reported to be an essential mediator of Notch-induced T cell acute lymphoblastic leukemia (T-ALL) (11,12). The active complex of cyclin D/CDK4 targets the retinoblastoma protein for phosphorylation, allowing the release of E2F transcription factors that activate G1/S-phase gene expression (13).  Transcription of cyclin D is in part regulated by the NICD binding to the promoter region of cyclin D (14).

Trademarks and Patents

Cell Signaling Technology is a trademark of Cell Signaling Technology, Inc.

All other trademarks are the property of their respective owners. Visit cellsignal.com/trademarks for more information.

Limited Uses

Except as otherwise expressly agreed in a writing signed by a legally authorized representative of CST, the following terms apply to Products provided by CST, its affiliates or its distributors. Any Customer's terms and conditions that are in addition to, or different from, those contained herein, unless separately accepted in writing by a legally authorized representative of CST, are rejected and are of no force or effect.

Products are labeled with For Research Use Only or a similar labeling statement and have not been approved, cleared, or licensed by the FDA or other regulatory foreign or domestic entity, for any purpose. Customer shall not use any Product for any diagnostic or therapeutic purpose, or otherwise in any manner that conflicts with its labeling statement. Products sold or licensed by CST are provided for Customer as the end-user and solely for research and development uses. Any use of Product for diagnostic, prophylactic or therapeutic purposes, or any purchase of Product for resale (alone or as a component) or other commercial purpose, requires a separate license from CST. Customer shall (a) not sell, license, loan, donate or otherwise transfer or make available any Product to any third party, whether alone or in combination with other materials, or use the Products to manufacture any commercial products, (b) not copy, modify, reverse engineer, decompile, disassemble or otherwise attempt to discover the underlying structure or technology of the Products, or use the Products for the purpose of developing any products or services that would compete with CST products or services, (c) not alter or remove from the Products any trademarks, trade names, logos, patent or copyright notices or markings, (d) use the Products solely in accordance with CST Product Terms of Sale and any applicable documentation, and (e) comply with any license, terms of service or similar agreement with respect to any third party products or services used by Customer in connection with the Products.

Orders: 877-616-CELL (2355) [email protected] Support: 877-678-TECH (8324) [email protected] Web: cellsignal.com
For Research Use Only. Not for Use in Diagnostic Procedures.

Revision 2

Cell Signaling Technology Logo
Western blot analysis of extracts from various cell lines using HES1 (D6P2U) Rabbit mAb.
undefined Image 1: Notch Activated Targets Antibody Sampler Kit
Western blot analysis of extracts from various cell lines using MAML1 (D3K7B) Rabbit mAb.
undefined Image 2: Notch Activated Targets Antibody Sampler Kit
Western blot analysis of extracts from SK-N-MC, C6 and IMCD3 cells, using Cyclin D3 (DCS22) Mouse mAb.
undefined Image 3: Notch Activated Targets Antibody Sampler Kit
Orders: 877-616-CELL (2355) [email protected] Support: 877-678-TECH (8324) [email protected] Web: cellsignal.com
For Research Use Only. Not for Use in Diagnostic Procedures.

Revision 2

Cell Signaling Technology Logo
Western blot analysis from control HeLa cells (lane 1) or p21 Waf1/Cip1 knockout HeLa cells (lane 2) using p21 Waf1/Cip1 (12D1) Rabbit mAb (upper) or β-Actin (D6A8) Rabbit mAb #8457 (lower). The absence of signal in the p21 Waf1/Cip1 knockout HeLa cells confirms specificity of the antibody for p21 Waf1/Cip1.
undefined Image 4: Notch Activated Targets Antibody Sampler Kit
Western blot analysis of total cell extract from various cell types using Notch1 (D1E11) XP® Rabbit mAb. The full-length (FL) Notch protein and the cleaved transmembrane/intracellular region (NTM) are indicated.
undefined Image 5: Notch Activated Targets Antibody Sampler Kit
Western blot analysis of extracts from various cell lines using Cleaved Notch1 (Val1744) (D3B8) Rabbit mAb (upper) or Notch1 (D1E11) XP® Rabbit mAb #3608 (lower).
undefined Image 6: Notch Activated Targets Antibody Sampler Kit
Orders: 877-616-CELL (2355) [email protected] Support: 877-678-TECH (8324) [email protected] Web: cellsignal.com
For Research Use Only. Not for Use in Diagnostic Procedures.

Revision 2

Cell Signaling Technology Logo
Western blot analysis of extracts from various cell lines using RBPSUH (D10A4) XP® Rabbit mAb.
undefined Image 7: Notch Activated Targets Antibody Sampler Kit
Western blot analysis of extracts from control HEK293 cells (lane 1) or c-Myc knockout HEK293 cells (lane 2) using c-Myc (D84C12) Rabbit mAb Antibody, #5605 (upper) or β-actin (13E5) Rabbit mAb, #4970 (lower). The absence of signal in the c-Myc knockout HEK293 cells confirms specificity of the antibody for c-Myc.
undefined Image 8: Notch Activated Targets Antibody Sampler Kit
After the primary antibody is bound to the target protein, a complex with HRP-linked secondary antibody is formed. The LumiGLO® is added and emits light during enzyme catalyzed decomposition.
undefined Image 9: Notch Activated Targets Antibody Sampler Kit
Orders: 877-616-CELL (2355) [email protected] Support: 877-678-TECH (8324) [email protected] Web: cellsignal.com
For Research Use Only. Not for Use in Diagnostic Procedures.

Revision 2

Cell Signaling Technology Logo
After the primary antibody is bound to the target protein, a complex with HRP-linked secondary antibody is formed. The LumiGLO* is added and emits light during enzyme catalyzed decomposition.
undefined Image 10: Notch Activated Targets Antibody Sampler Kit
Immunohistochemical analysis of paraffin-embedded human lung carcinoma using HES1 (D6P2U) Rabbit mAb.
undefined Image 11: Notch Activated Targets Antibody Sampler Kit
Immunoprecipitation of MAML1 protein from 293T cell extracts, using Rabbit (DA1E) mAb IgG XP® Isotype Control #3900 (lane 2) or MAML1 (D3K7B) Rabbit mAb (lane 3). Lane 1 is 10% input. Western blot analysis was performed using MAML1 Antibody #4608.
undefined Image 12: Notch Activated Targets Antibody Sampler Kit
Orders: 877-616-CELL (2355) [email protected] Support: 877-678-TECH (8324) [email protected] Web: cellsignal.com
For Research Use Only. Not for Use in Diagnostic Procedures.

Revision 2

Cell Signaling Technology Logo
Immunohistochemical analysis of paraffin-embedded human breast carcinoma, using Cyclin D3 (DCS22) Mouse mAb.
undefined Image 13: Notch Activated Targets Antibody Sampler Kit
Western blot analysis of extracts from various cell types using p21 Waf1/Cip1 (12D1) Rabbit mAb.
undefined Image 14: Notch Activated Targets Antibody Sampler Kit
Immunohistochemical analysis of paraffin-embedded human inflammatory granulation tissue using Notch1 (D1E11) XP® Rabbit mAb.
undefined Image 15: Notch Activated Targets Antibody Sampler Kit
Orders: 877-616-CELL (2355) [email protected] Support: 877-678-TECH (8324) [email protected] Web: cellsignal.com
For Research Use Only. Not for Use in Diagnostic Procedures.

Revision 2

Cell Signaling Technology Logo
CUTLL1 cells were cultured in media with γ-secretase inhibitor (1μM) for 3 days and then either harvested immediately (left panel) or washed and cultured in fresh media for 3h (right panel). Chromatin immunoprecipitations were performed with cross-linked chromatin from cells and Cleaved Notch1 (Val1744) (D3B8) Rabbit mAb or Normal Rabbit IgG #2729 using SimpleChIP® Enzymatic Chromatin IP Kit (Magnetic Beads) #9003. The enriched DNA was quantified by real-time PCR using human HES1 promoter primers, SimpleChIP® Human HES4 Promoter Primers #7273, and SimpleChIP® Human α Satellite Repeat Primers #4486. The amount of immunoprecipitated DNA in each sample is represented as signal relative to the total amount of input chromatin, which is equivalent to one.
undefined Image 16: Notch Activated Targets Antibody Sampler Kit
Immunohistochemical analysis of paraffin-embedded human colon carcinoma using RBPSUH (D10A4) XP® Rabbit mAb.
undefined Image 17: Notch Activated Targets Antibody Sampler Kit
Western blot analysis of extracts from HeLa cells, mock transfected or transfected with SignalSilence® c-Myc siRNA I #6341, using c-Myc (D84C12) Rabbit mAb.
undefined Image 18: Notch Activated Targets Antibody Sampler Kit
Orders: 877-616-CELL (2355) [email protected] Support: 877-678-TECH (8324) [email protected] Web: cellsignal.com
For Research Use Only. Not for Use in Diagnostic Procedures.

Revision 2

Cell Signaling Technology Logo
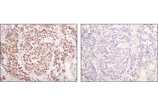
Immunohistochemical analysis of paraffin-embedded human breast carcinoma using HES1 (D6P2U) Rabbit mAb.
undefined Image 19: Notch Activated Targets Antibody Sampler Kit
Chromatin immunoprecipitations were performed with cross-linked chromatin from CUTLL1 cells cultured in media with γ-secretase inhibitor (1 μM) for 3 days and then washed and cultured in fresh media for 3 hr and either MAML1 (D3E9) Rabbit mAb #11959 or MAML1 (D3K7B) Rabbit mAb, using SimpleChIP® Plus Enzymatic Chromatin IP Kit (Magnetic Beads) #9005. DNA Libraries were prepared using DNA Library Prep Kit for Illumina® (ChIP-seq, CUT&RUN) #56795. The figure shows binding across DTX1, a known target gene of MAML1 (see additional figure containing ChIP-qPCR data). For additional ChIP-seq tracks, please download the product datasheet.
undefined Image 20: Notch Activated Targets Antibody Sampler Kit
Immunohistochemical analysis of paraffin-embedded human lung carcinoma, using Cyclin D3 (DCS22) Mouse mAb.
undefined Image 21: Notch Activated Targets Antibody Sampler Kit
Orders: 877-616-CELL (2355) [email protected] Support: 877-678-TECH (8324) [email protected] Web: cellsignal.com
For Research Use Only. Not for Use in Diagnostic Procedures.

Revision 2

Cell Signaling Technology Logo
Western blot analysis of extracts from HeLa cells, transfected with 100 nM SignalSilence® Control siRNA (Fluorescein Conjugate) #6201 (-) or SignalSilence® p21 Waf1/Cip1 siRNA II (+), using p21 Waf1/Cip1 (12D1) Rabbit mAb #2947 and α-Tubulin (11H10) Rabbit mAb #2125. The p21 Waf1/Cip1 (12D1) Rabbit mAb confirms silencing of p21 Waf1/Cip1 expression and α-Tubulin (11H10) Rabbit mAb is used to control for loading and specificity of p21 Waf1/Cip1 siRNA.
undefined Image 22: Notch Activated Targets Antibody Sampler Kit
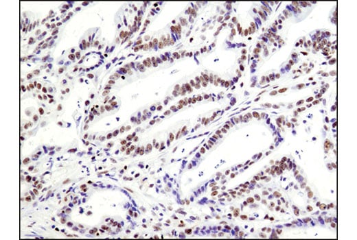
Immunohistochemical analysis of paraffin-embedded human breast carcinoma using Notch1 (D1E11) XP® Rabbit mAb.
undefined Image 23: Notch Activated Targets Antibody Sampler Kit
Immunohistochemical analysis of paraffin-embedded human lung carcinoma using RBPSUH (D10A4) XP® Rabbit mAb in the presence of control peptide (left) or antigen-specific peptide (right).
undefined Image 24: Notch Activated Targets Antibody Sampler Kit
Orders: 877-616-CELL (2355) [email protected] Support: 877-678-TECH (8324) [email protected] Web: cellsignal.com
For Research Use Only. Not for Use in Diagnostic Procedures.

Revision 2

Cell Signaling Technology Logo
Western blot analysis of extracts from various cell lines using c-Myc (D84C12) Rabbit mAb.
undefined Image 25: Notch Activated Targets Antibody Sampler Kit
Immunohistochemical analysis of paraffin-embedded CUTLL1 cell pellets, control (left) or Compound E-treated (right), using HES1 (D6P2U) Rabbit mAb.
undefined Image 26: Notch Activated Targets Antibody Sampler Kit
Chromatin immunoprecipitations were performed with cross-linked chromatin from CUTLL1 cells cultured in media with γ-secretase inhibitor (1 μM) for 3 days and then washed and cultured in fresh media for 3 hr and either MAML1 (D3E9) Rabbit mAb #11959 or MAML1 (D3K7B) Rabbit mAb, using SimpleChIP® Plus Enzymatic Chromatin IP Kit (Magnetic Beads) #9005. DNA Libraries were prepared using DNA Library Prep Kit for Illumina® (ChIP-seq, CUT&RUN) #56795. The figure shows binding across chromosome 12 (upper), including DTX1 (lower), a known target gene of MAML1 (see additional figure containing ChIP-qPCR data).
undefined Image 27: Notch Activated Targets Antibody Sampler Kit
Orders: 877-616-CELL (2355) [email protected] Support: 877-678-TECH (8324) [email protected] Web: cellsignal.com
For Research Use Only. Not for Use in Diagnostic Procedures.

Revision 2

Cell Signaling Technology Logo
Immunoprecipitation of p21 from human umbillical vein endothelial cells (HUVECs) using p21 Waf1/Cip1 (12D1) Rabbit mAb. Western blot detection was performed using the same antibody.
undefined Image 28: Notch Activated Targets Antibody Sampler Kit
Immunohistochemical analysis of paraffin-embedded A2780 (left), Jurkat (center) and RL (right) cell pellets using Notch1 (D1E11) XP® Rabbit mAb. Both A2780 and Jurkat express Notch1, but only Jurkat cells have cleaved Notch1, while RL cells express very low or no Notch1.
undefined Image 29: Notch Activated Targets Antibody Sampler Kit
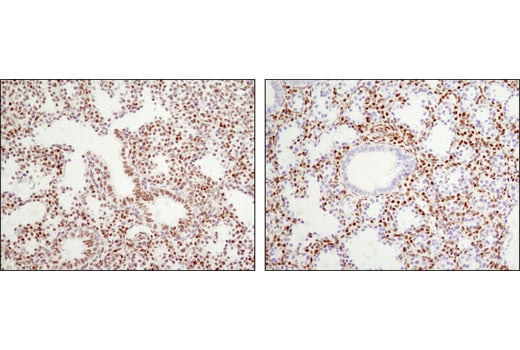
Immunohistochemical analysis of paraffin-embedded E18.5 mouse lung, Rbpjk F/+ Shh+/+ (wild type, left) or Rbpjk F/- Shhcre/+ (Rbpjk conditional knock out, right), using RBPSUH (D10A4) XP® Rabbit mAb. Note lack of staining in the bronchial epithelial cells in the conditional knock out tissue (right). Tissue courtesy of Dr. Wellington Cardosa, Boston University School of Medicine.
undefined Image 30: Notch Activated Targets Antibody Sampler Kit
Orders: 877-616-CELL (2355) [email protected] Support: 877-678-TECH (8324) [email protected] Web: cellsignal.com
For Research Use Only. Not for Use in Diagnostic Procedures.

Revision 2

Cell Signaling Technology Logo
Confocal immunofluorescent analysis of HeLa cells, mock-transfected (left) or transfected with SignalSilence® c-Myc siRNA I #6341 (right), using c-Myc (D84C12) Rabbit mAb (green) and DyLight 554 Phalloidin #13054 (red).
undefined Image 31: Notch Activated Targets Antibody Sampler Kit
Chromatin immunoprecipitations were performed with cross-linked chromatin from CUTLL1 cells cultured in media with γ-secretase inhibitor (1 μM) for 3 days and then washed and cultured in fresh media for 3 hr and either MAML1 (D3K7B) Rabbit mAb or Normal Rabbit IgG #2729 using SimpleChIP® Enzymatic Chromatin IP Kit (Magnetic Beads) #9003. The enriched DNA was quantified by real-time PCR using human DTX1 intron 3 primers, SimpleChIP® Human HES4 Promoter Primers #7273, and SimpleChIP® Human α Satellite Repeat Primers #4486. The amount of immunoprecipitated DNA in each sample is represented as signal relative to the total amount of input chromatin, which is equivalent to one.
undefined Image 32: Notch Activated Targets Antibody Sampler Kit
Immunohistochemical analysis of paraffin-embedded human breast carcinoma using p21 Waf1/Cip1 (12D1) Rabbit mAb in the presence of control peptide (left) or antigen-specific peptide (right).
undefined Image 33: Notch Activated Targets Antibody Sampler Kit
Orders: 877-616-CELL (2355) [email protected] Support: 877-678-TECH (8324) [email protected] Web: cellsignal.com
For Research Use Only. Not for Use in Diagnostic Procedures.

Revision 2

Cell Signaling Technology Logo
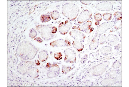
Immunohistochemical analysis of paraffin-embedded human stomach adjacent to MALT (mucosa-associated lymphoid tissue) lymphoma using Notch1 (D1E11) XP® Rabbit mAb.
undefined Image 34: Notch Activated Targets Antibody Sampler Kit
Immunohistochemical analysis of paraffin-embedded human lung carcinoma using RBPSUH (D10A4) XP® Rabbit mAb.
undefined Image 35: Notch Activated Targets Antibody Sampler Kit
Immunohistochemical analysis of paraffin-embedded HeLa cells, transfected with SignalSilence® Control siRNA (Unconjugated) #6568 (left) or SignalSilence® p21 Waf1/Cip1 siRNA II #6558 (right), using p21 Waf1/Cip1 (12D1) Rabbit mAb.
undefined Image 36: Notch Activated Targets Antibody Sampler Kit
Orders: 877-616-CELL (2355) [email protected] Support: 877-678-TECH (8324) [email protected] Web: cellsignal.com
For Research Use Only. Not for Use in Diagnostic Procedures.

Revision 2

Cell Signaling Technology Logo
CUTLL1 cells were cultured in media with γ-secretase inhibitor (1 μM) for 3 days and then either harvested immediately (left panel) or washed and cultured in fresh media for 3 hr (right panel). Chromatin immunoprecipitations were performed with cross-linked chromatin from cells and Notch1 (D1E11) XP® Rabbit mAb or Normal Rabbit IgG #2729 using SimpleChIP® Enzymatic Chromatin IP Kit (Magnetic Beads) #9003. The enriched DNA was quantified by real-time PCR using human HES1 promoter primers, SimpleChIP® Human HES4 Promoter Primers #7273, and SimpleChIP® Human α Satellite Repeat Primers #4486. The amount of immunoprecipitated DNA in each sample is represented as signal relative to the total amount of input chromatin, which is equivalent to one.
undefined Image 37: Notch Activated Targets Antibody Sampler Kit
Immunohistochemical analysis of paraffin-embedded mouse lymph node using RBPSUH (D10A4) XP® Rabbit mAb.
undefined Image 38: Notch Activated Targets Antibody Sampler Kit
Confocal immunofluorescent analysis of MCF7 cells using p21 Waf1/Cip1 (12D1) Rabbit mAb (red) and Phospho-Histone H3 (Ser10) (6G3) Mouse mAb #9706 (green). Blue pseudocolor = DRAQ5® #4084 (fluorescent DNA dye).
undefined Image 39: Notch Activated Targets Antibody Sampler Kit
Orders: 877-616-CELL (2355) [email protected] Support: 877-678-TECH (8324) [email protected] Web: cellsignal.com
For Research Use Only. Not for Use in Diagnostic Procedures.

Revision 2

Cell Signaling Technology Logo
CUTLL1 cells were cultured in media with γ-secretase inhibitor (1 μM, 3 d) and then either harvested immediately (left panel) or washed and cultured in fresh media for 3 h (right panel). Chromatin immunoprecipitations were performed with cross-linked chromatin from cells and RBPSUH (D10A4) XP® Rabbit mAb or Normal Rabbit IgG #2729 using SimpleChIP® Enzymatic Chromatin IP Kit (Magnetic Beads) #9003. The enriched DNA was quantified by real-time PCR using human HES1 promoter primers, SimpleChIP® Human HES4 Promoter Primers #7273, and SimpleChIP® Human α Satellite Repeat Primers #4486. The amount of immunoprecipitated DNA in each sample is represented as signal relative to the total amount of input chromatin, which is equivalent to one.
undefined Image 40: Notch Activated Targets Antibody Sampler Kit
Flow cytometric analysis of Daudi cells using p21 Waf1/Cip1 (12D1) Rabbit mAb (right) and Propidium Iodide (PI)/RNase Staining Solution #4087, compared to concentration-matched Rabbit (DA1E) mAb IgG XP® Isotype Control #3900 (left). Anti-rabbit IgG (H+L), F(ab')2 Fragment (Alexa Fluor® 488 Conjugate) #4412 was used as a secondary antibody.
undefined Image 41: Notch Activated Targets Antibody Sampler Kit
Simple Western™ analysis of lysates (1.0 mg/mL) from MCF-7 cells using p21 Waf1/Cip1 (12D1) Rabbit mAb #2947. The virtual lane view (left) shows a single target band (as indicated) at 1:10 and 1:50 dilutions of primary antibody. The corresponding electropherogram view (right) plots chemiluminescence by molecular weight along the capillary at 1:10 (blue line) and 1:50 (green line) dilutions of primary antibody. This experiment was performed under reducing conditions on the Jess™ Simple Western instrument from ProteinSimple, a BioTechne brand, using the 12-230 kDa separation module.
undefined Image 42: Notch Activated Targets Antibody Sampler Kit
Orders: 877-616-CELL (2355) [email protected] Support: 877-678-TECH (8324) [email protected] Web: cellsignal.com
For Research Use Only. Not for Use in Diagnostic Procedures.

Revision 2

Cell Signaling Technology Logo
Immunoprecipitation of Notch1 protein from Molt-4 cell extracts. Lane 1 is 10% input, lane 2 is Rabbit (DA1E) mAb IgG XP® Isotype Control #3900, and lane 3 is Notch1 (D1E11) XP® Rabbit mAb. Western blot analysis was performed using Notch1 (D1E11) XP® Rabbit mAb.
undefined Image 43: Notch Activated Targets Antibody Sampler Kit
Simple Western™ analysis of lysates (1 mg/mL) from Raji cells using c-Myc (D84C12) Rabbit mAb #5605. The virtual lane view (left) shows a single target band (as indicated) at 1:50 and 1:250 dilutions of primary antibody. The corresponding electropherogram view (right) plots chemiluminescence by molecular weight along the capillary at 1:50 (blue line) and 1:250 (green line) dilutions of primary antibody. This experiment was performed under reducing conditions on the Jess™ Simple Western instrument from ProteinSimple, a BioTechne brand, using the 12-230 kDa separation module.
undefined Image 44: Notch Activated Targets Antibody Sampler Kit
Orders: 877-616-CELL (2355) [email protected] Support: 877-678-TECH (8324) [email protected] Web: cellsignal.com
For Research Use Only. Not for Use in Diagnostic Procedures.