Revision 1

#52901

Store at -20C

CST Logo
Orders:

877-616-CELL (2355)

[email protected]

Support:

877-678-TECH (8324)

3 Trask Lane | Danvers | Massachusetts | 01923 | USA

For Research Use Only. Not for Use in Diagnostic Procedures.

Applications:
W, IHC-P, IF-F, IF-IC

Reactivity:
H M R Mk

Sensitivity:
Endogenous

MW (kDa):
100

Source/Isotype:
Rabbit IgG

UniProt ID:
#Q08J23

Entrez-Gene Id:
54888

Product Usage Information

Application Dilution
Western Blotting 1:1000
Immunohistochemistry (Paraffin) 1:200 - 1:800
Immunofluorescence (Frozen) 1:1600 - 1:3200
Immunofluorescence (Immunocytochemistry) 1:3200 - 1:12800

Storage

Supplied in 10 mM sodium HEPES (pH 7.5), 150 mM NaCl, 100 µg/mL BSA, 50% glycerol, and less than 0.02% sodium azide. Store at –20°C. Do not aliquot the antibody.

Specificity/Sensitivity

NSUN2 (E9Y5E) Rabbit Monoclonal Antibody recognizes endogenous levels of total NSUN2 protein. Species reactivity for IHC-P is human only.

Source / Purification

Monoclonal antibody is produced by immunizing animals with recombinant protein specific to the amino terminus of human NSUN2 protein.

Background

Chemical modifications of RNA regulate many cellular processes. One particular RNA modification, 5-methylcytosine (5-mC), regulates ribosome assembly, translation, and RNA stability (1). In eukaryotes, this modification is added to RNA by the DNA methyltransferase homologue 2 protein (DNMT2; also known as TRDMT1), and also by members of the NOL1/NOP2/SUN domain (NSUN) family of proteins. NSUN proteins are putative S-adenosylmethionine (SAM)-dependent methyltransferases that carry out their enzymatic activity by utilizing two cysteine residues in their active sites (2). There are currently seven known members of this family, consisting of NOP2 (NSUN1) and NSUN2-7.

NSUN2 is an 86 kDa member of the NSUN family that is predominantly localized to the nucleus and methylates a variety of tRNAs and other RNA substrates (3). NSUN2 has been found to play a role in the methylation of pre-tRNALeu, tRNAGly, tRNAVal, tRNALeu, and tRNAAsp (1,4,5). It has also been found to methylate mRNAs and several ncRNAs, such as vtRNAs (6-8). Elevated NSUN2 protein levels have been reported in multiple types of human cancers, including breast, prostate, kidney, bladder, and liver, among others (9). The methyltransferase activity of NSUN2 is reduced upon Aurora B kinase-mediated phosphorylation at Ser139 (10), and there is potential for NSUN2 to be used as a therapeutic target or diagnostic marker for Aurora B linked cancers (9).

Species Reactivity

Species reactivity is determined by testing in at least one approved application (e.g., western blot).

Western Blot Buffer

IMPORTANT: For western blots, incubate membrane with diluted primary antibody in 5% w/v nonfat dry milk, 1X TBS, 0.1% Tween® 20 at 4°C with gentle shaking, overnight.

Applications Key

W: Western Blotting IHC-P: Immunohistochemistry (Paraffin) IF-F: Immunofluorescence (Frozen) IF-IC: Immunofluorescence (Immunocytochemistry)

Cross-Reactivity Key

H: Human M: Mouse R: Rat Mk: Monkey

Trademarks and Patents

Cell Signaling Technology is a trademark of Cell Signaling Technology, Inc.

Alexa Fluor is a registered trademark of Life Technologies Corporation.

All other trademarks are the property of their respective owners. Visit cellsignal.com/trademarks for more information.

Limited Uses

Except as otherwise expressly agreed in a writing signed by a legally authorized representative of CST, the following terms apply to Products provided by CST, its affiliates or its distributors. Any Customer's terms and conditions that are in addition to, or different from, those contained herein, unless separately accepted in writing by a legally authorized representative of CST, are rejected and are of no force or effect.

Products are labeled with For Research Use Only or a similar labeling statement and have not been approved, cleared, or licensed by the FDA or other regulatory foreign or domestic entity, for any purpose. Customer shall not use any Product for any diagnostic or therapeutic purpose, or otherwise in any manner that conflicts with its labeling statement. Products sold or licensed by CST are provided for Customer as the end-user and solely for research and development uses. Any use of Product for diagnostic, prophylactic or therapeutic purposes, or any purchase of Product for resale (alone or as a component) or other commercial purpose, requires a separate license from CST. Customer shall (a) not sell, license, loan, donate or otherwise transfer or make available any Product to any third party, whether alone or in combination with other materials, or use the Products to manufacture any commercial products, (b) not copy, modify, reverse engineer, decompile, disassemble or otherwise attempt to discover the underlying structure or technology of the Products, or use the Products for the purpose of developing any products or services that would compete with CST products or services, (c) not alter or remove from the Products any trademarks, trade names, logos, patent or copyright notices or markings, (d) use the Products solely in accordance with CST Product Terms of Sale and any applicable documentation, and (e) comply with any license, terms of service or similar agreement with respect to any third party products or services used by Customer in connection with the Products.

Orders: 877-616-CELL (2355) [email protected] Support: 877-678-TECH (8324) [email protected] Web: cellsignal.com
For Research Use Only. Not for Use in Diagnostic Procedures.

Revision 1

Cell Signaling Technology Logo
Western blot analysis of extracts from 293T cells, transfected with control siRNA (-) or NSUN2 siRNA (+), using NSUN2 (E9Y5E) Rabbit mAb (upper) or α-Actinin (D6F6) XP® Rabbit mAb #6487 (lower).
Western Blotting Image 1: NSUN2 (E9Y5E) Rabbit Monoclonal Antibody
Western blot analysis of extracts from HeLa, HT-1080, and Neuro-2a cells using NSUN2 (E9Y5E) Rabbit mAb.
Western Blotting Image 2: NSUN2 (E9Y5E) Rabbit Monoclonal Antibody
Immunohistochemical analysis of paraffin-embedded human colon adenocarcinoma using NSUN2 (E9Y5E) Rabbit mAb.
Immunohistochemistry Image 1: NSUN2 (E9Y5E) Rabbit Monoclonal Antibody
Orders: 877-616-CELL (2355) [email protected] Support: 877-678-TECH (8324) [email protected] Web: cellsignal.com
For Research Use Only. Not for Use in Diagnostic Procedures.

Revision 1

Cell Signaling Technology Logo

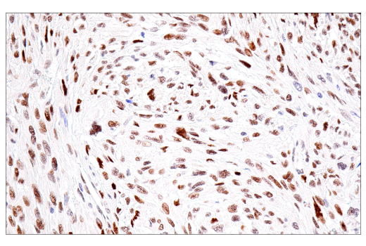
Immunohistochemical analysis of paraffin-embedded human gastrointestinal stromal tumor using NSUN2 (E9Y5E) Rabbit mAb.

Immunohistochemistry Image 2: NSUN2 (E9Y5E) Rabbit Monoclonal Antibody
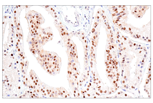
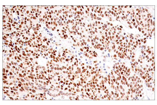
Immunohistochemical analysis of paraffin-embedded human prostate adenocarcinoma using NSUN2 (E9Y5E) Rabbit mAb.
Immunohistochemistry Image 3: NSUN2 (E9Y5E) Rabbit Monoclonal Antibody
Immunohistochemical analysis of paraffin-embedded human gastric adenocarcinoma using NSUN2 (E9Y5E) Rabbit mAb.
Immunohistochemistry Image 4: NSUN2 (E9Y5E) Rabbit Monoclonal Antibody
Orders: 877-616-CELL (2355) [email protected] Support: 877-678-TECH (8324) [email protected] Web: cellsignal.com
For Research Use Only. Not for Use in Diagnostic Procedures.

Revision 1

Cell Signaling Technology Logo
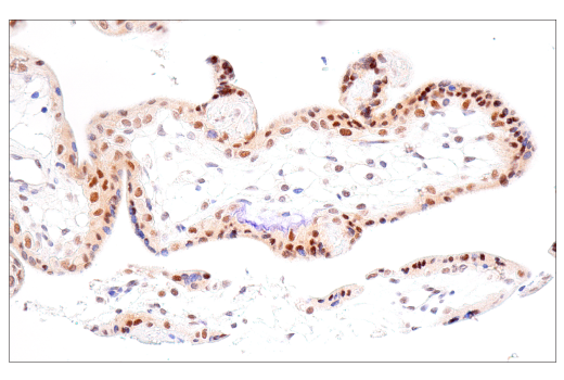
Immunohistochemical analysis of paraffin-embedded normal human placenta using NSUN2 (E9Y5E) Rabbit mAb.
Immunohistochemistry Image 5: NSUN2 (E9Y5E) Rabbit Monoclonal Antibody
Immunohistochemical analysis of paraffin-embedded human colon adenocarcinoma (left), prostate adenocarcinoma (middle), or soft tissue squamous cell carcinoma (right) using NSUN2 (E9Y5E) Rabbit mAb (top) or an NSUN2 Rabbit mAb (bottom). These two antibodies detect unique, non-overlapping epitopes on human NSUN2. The similar staining patterns obtained with both antibodies help to confirm the specificity of the staining. 
Immunohistochemistry Image 6: NSUN2 (E9Y5E) Rabbit Monoclonal Antibody
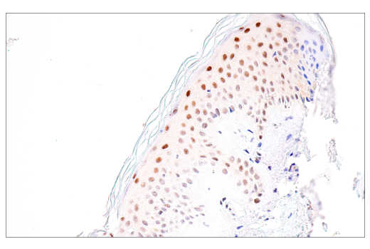
Immunohistochemical analysis of paraffin-embedded normal human skin using NSUN2 (E9Y5E) Rabbit mAb.
Immunohistochemistry Image 7: NSUN2 (E9Y5E) Rabbit Monoclonal Antibody
Orders: 877-616-CELL (2355) [email protected] Support: 877-678-TECH (8324) [email protected] Web: cellsignal.com
For Research Use Only. Not for Use in Diagnostic Procedures.

Revision 1

Cell Signaling Technology Logo
Immunohistochemical analysis of paraffin-embedded human appendix using NSUN2 (E9Y5E) Rabbit mAb (left) compared to concentration-matched Rabbit (DA1E) mAb IgG XP® Isotype Control #3900 (right).
Immunohistochemistry Image 8: NSUN2 (E9Y5E) Rabbit Monoclonal Antibody
Confocal immunofluorescent analysis of fixed frozen mouse colon labeled with NSUN2 (E9Y5E) Rabbit mAb (left, green). Free secondary binding sites were then blocked with Rabbit (DA1E) mAb IgG XP® Isotype Control #3900 prior to co-labeling with Ras (E4K9L) Rabbit mAb (Alexa Fluor® 647 Conjugate) #37182 (right, red) and DAPI #4083 (right, blue).
Immunofluorescence Image 1: NSUN2 (E9Y5E) Rabbit Monoclonal Antibody
Confocal immunofluorescent analysis of fixed frozen mouse testis labeled with NSUN2 (E9Y5E) Rabbit mAb (left, green). Free secondary binding sites were then blocked with Rabbit (DA1E) mAb IgG XP® Isotype Control #3900 prior to co-labeling with Ras (E4K9L) Rabbit mAb (Alexa Fluor® 647 Conjugate) #37182 (right, red) and DAPI #4083 (right, blue).
Immunofluorescence Image 2: NSUN2 (E9Y5E) Rabbit Monoclonal Antibody
Orders: 877-616-CELL (2355) [email protected] Support: 877-678-TECH (8324) [email protected] Web: cellsignal.com
For Research Use Only. Not for Use in Diagnostic Procedures.

Revision 1

Cell Signaling Technology Logo
Confocal immunofluorescent analysis of fixed frozen mouse liver labeled with NSUN2 (E9Y5E) Rabbit mAb (left, green). Free secondary binding sites were then blocked with Rabbit (DA1E) mAb IgG XP® Isotype Control #3900 prior to co-labeling with Ras (E4K9L) Rabbit mAb (Alexa Fluor® 647 Conjugate) #37182 (right, red) and DAPI #4083 (right, blue).
Immunofluorescence Image 3: NSUN2 (E9Y5E) Rabbit Monoclonal Antibody
Confocal immunofluorescent analysis of fixed frozen mouse pancreas labeled with NSUN2 (E9Y5E) Rabbit mAb (left, green). Free secondary binding sites were then blocked with Rabbit (DA1E) mAb IgG XP® Isotype Control #3900 prior to co-labeling with Ras (E4K9L) Rabbit mAb (Alexa Fluor® 647 Conjugate) #37182 (right, red) and DAPI #4083 (right, blue).
Immunofluorescence Image 4: NSUN2 (E9Y5E) Rabbit Monoclonal Antibody
Confocal immunofluorescent analysis of HCT 116 cells, transfected with control siRNA (left) or NSUN2 siRNA (right), using NSUN2 (E9Y5E) Rabbit mAb (green), DyLight™ 650 Phalloidin #12956 (red), and DAPI #4083 (blue).
Immunofluorescence Image 1: NSUN2 (E9Y5E) Rabbit Monoclonal Antibody
Orders: 877-616-CELL (2355) [email protected] Support: 877-678-TECH (8324) [email protected] Web: cellsignal.com
For Research Use Only. Not for Use in Diagnostic Procedures.