Revision 1

#9326

Store at -20C

p90RSK Antibody Sampler Kit

1 Kit

(4 x 20 microliters)

CST Logo
Orders:

877-616-CELL (2355)

[email protected]

Support:

877-678-TECH (8324)

3 Trask Lane | Danvers | Massachusetts | 01923 | USA

For Research Use Only. Not for Use in Diagnostic Procedures.

Product Includes Product # Quantity Mol. Wt Isotype/Source
Phospho-p90RSK (Thr359) (D1E9) Rabbit Monoclonal Antibody875320 µl90 kDaRabbit IgG
Phospho-p90RSK (Ser380) (D3H11) Rabbit Monoclonal Antibody1198920 µl90 kDaRabbit IgG
Phospho-p90RSK (Thr573) Antibody934620 µl90 kDaRabbit
RSK1/RSK2/RSK3 (32D7) Rabbit Monoclonal Antibody935520 µl90 kDaRabbit IgG
Anti-rabbit IgG, HRP-linked Antibody7074100 µlGoat

Please visit cellsignal.com for individual component applications, species cross-reactivity, dilutions, protocols, and additional product information.

Description

The p90RSK Antibody Sampler Kit provides an economical means of evaluating levels of p90RSK protein phosphorylated at specific sites, as well as total p90RSK protein levels. The kit contains enough primary and secondary antibody to perform two Western blot experiments.

Storage

Supplied in 10 mM sodium HEPES (pH 7.5), 150 mM NaCl, 100 µg/ml BSA, 50% glycerol and less than 0.02% sodium azide. Store at –20°C. Do not aliquot the antibody.

Background

The 90 kDa ribosomal S6 kinases (RSK1-4) are a family of widely expressed Ser/Thr kinases characterized by two nonidentical, functional kinase domains (1) and a carboxy-terminal docking site for extracellular signal-regulated kinases (ERKs) (2). Several sites both within and outside of the RSK kinase domain, including Ser380, Thr359, Ser363, and Thr573, are important for kinase activation (3). RSK1-3 are activated via coordinated phosphorylation by MAPKs, autophosphorylation, and phosphoinositide-3-OH kinase (PI3K) in response to many growth factors, polypeptide hormones, and neurotransmitters (3).

Trademarks and Patents

Cell Signaling Technology is a trademark of Cell Signaling Technology, Inc.

All other trademarks are the property of their respective owners. Visit cellsignal.com/trademarks for more information.

Limited Uses

Except as otherwise expressly agreed in a writing signed by a legally authorized representative of CST, the following terms apply to Products provided by CST, its affiliates or its distributors. Any Customer's terms and conditions that are in addition to, or different from, those contained herein, unless separately accepted in writing by a legally authorized representative of CST, are rejected and are of no force or effect.

Products are labeled with For Research Use Only or a similar labeling statement and have not been approved, cleared, or licensed by the FDA or other regulatory foreign or domestic entity, for any purpose. Customer shall not use any Product for any diagnostic or therapeutic purpose, or otherwise in any manner that conflicts with its labeling statement. Products sold or licensed by CST are provided for Customer as the end-user and solely for research and development uses. Any use of Product for diagnostic, prophylactic or therapeutic purposes, or any purchase of Product for resale (alone or as a component) or other commercial purpose, requires a separate license from CST. Customer shall (a) not sell, license, loan, donate or otherwise transfer or make available any Product to any third party, whether alone or in combination with other materials, or use the Products to manufacture any commercial products, (b) not copy, modify, reverse engineer, decompile, disassemble or otherwise attempt to discover the underlying structure or technology of the Products, or use the Products for the purpose of developing any products or services that would compete with CST products or services, (c) not alter or remove from the Products any trademarks, trade names, logos, patent or copyright notices or markings, (d) use the Products solely in accordance with CST Product Terms of Sale and any applicable documentation, and (e) comply with any license, terms of service or similar agreement with respect to any third party products or services used by Customer in connection with the Products.

Orders: 877-616-CELL (2355) [email protected] Support: 877-678-TECH (8324) [email protected] Web: cellsignal.com
For Research Use Only. Not for Use in Diagnostic Procedures.

Revision 1

Cell Signaling Technology Logo
Western blot analysis of extracts from various cell lines, starved overnight and either untreated (-) or treated (+) with TPA #4174 (200 nM, 15 min), Human Epidermal Growth Factor (hEGF; 100 ng/mL, 15 min), or Human Platelet-Derived Growth Factor BB (hPDGF-BB; 100 ng/mL, 15 min) as indicated, using Phospho-p90RSK (Ser380) (D3H11) Rabbit mAb.
undefined Image 1: p90RSK Antibody Sampler Kit
After the primary antibody is bound to the target protein, a complex with HRP-linked secondary antibody is formed. The LumiGLO® is added and emits light during enzyme catalyzed decomposition.
undefined Image 2: p90RSK Antibody Sampler Kit
Western blot analysis of extracts from HeLa, COS-7, and A-431 cells, starved overnight and either untreated (-) or treated (+) with TPA #4174 (200 nM, 15 min) or Human Epidermal Growth Factor (hEGF) (100 ng/mL, 15 min), using Phospho-p90RSK (Thr359) (D1E9) Rabbit mAb.
undefined Image 3: p90RSK Antibody Sampler Kit
Orders: 877-616-CELL (2355) [email protected] Support: 877-678-TECH (8324) [email protected] Web: cellsignal.com
For Research Use Only. Not for Use in Diagnostic Procedures.

Revision 1

Cell Signaling Technology Logo
Western blot analysis of extracts from HeLa cells, untreated or TPA-treated (200 nM), using Phospho-p90RSK (Thr573) Antibody (upper) or RSK1/RSK2/RSK3 (32D7) Rabbit mAb #9355 (lower).
undefined Image 4: p90RSK Antibody Sampler Kit
Western blot analysis of extracts from HeLa, L929 and AR42J cells, using RSK1/RSK2/RSK3 (32D7) Rabbit mAb.
undefined Image 5: p90RSK Antibody Sampler Kit
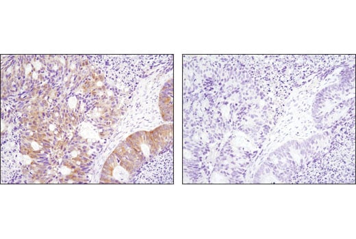
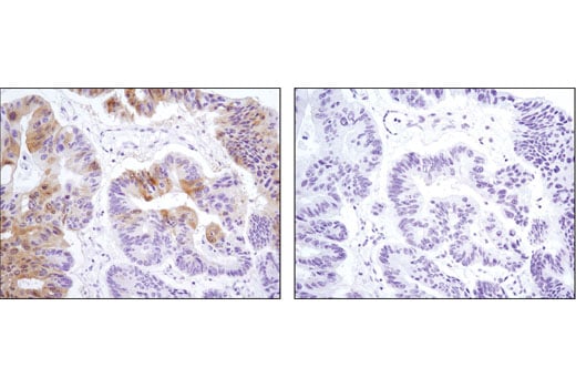
Immunohistochemical analysis of paraffin-embedded human colon carcinoma, control (left) or λ phosphatase-treated (right), using Phospho-p90RSK (Ser380) (D3H11) Rabbit mAb.
undefined Image 6: p90RSK Antibody Sampler Kit
Orders: 877-616-CELL (2355) [email protected] Support: 877-678-TECH (8324) [email protected] Web: cellsignal.com
For Research Use Only. Not for Use in Diagnostic Procedures.

Revision 1

Cell Signaling Technology Logo
Immunoprecipitation of phospho-p90RSK (Thr359) from extracts of HeLa cells, serum starved overnight and either untreated (-) or treated with TPA #4174 (200 nM, 15 min; +), using Normal Rabbit IgG #2729 (lanes 5 and 6) or Phospho-p90RSK (Thr359) (D1E9) Rabbit mAb (lanes 3 and 4). Lanes 1 and 2 are 10% input. Western blot analysis was performed using RSK1/RSK2/RSK3 Antibody #9347.
undefined Image 7: p90RSK Antibody Sampler Kit
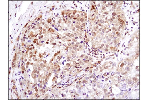
Immunohistochemical analysis of paraffin-embedded human ovarian carcinoma using Phospho-p90RSK (Ser380) (D3H11) Rabbit mAb.
undefined Image 8: p90RSK Antibody Sampler Kit
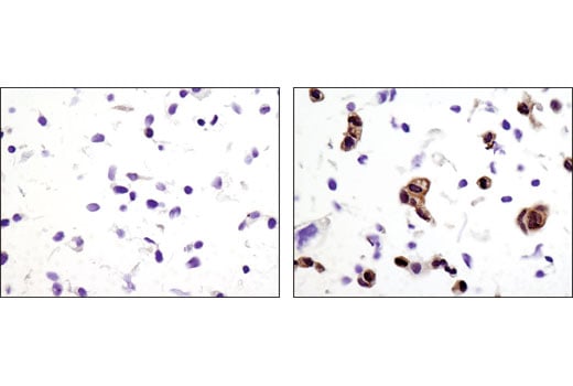
Immunohistochemical analysis of paraffin-embedded human ovarian carcinoma, control (left) or λ phosphatase-treated (right), using Phospho-p90RSK (Thr359) (D1E9) Rabbit mAb.
undefined Image 9: p90RSK Antibody Sampler Kit
Orders: 877-616-CELL (2355) [email protected] Support: 877-678-TECH (8324) [email protected] Web: cellsignal.com
For Research Use Only. Not for Use in Diagnostic Procedures.

Revision 1

Cell Signaling Technology Logo
Immunohistochemical analysis of paraffin-embedded HeLa cell pellets, untreated (left) or treated with TPA #4174 (right), using Phospho-p90RSK (Ser380) (D3H11) Rabbit mAb.
undefined Image 10: p90RSK Antibody Sampler Kit
Immunohistochemical analysis of paraffin-embedded A-431 cell pellets, untreated (left) or treated with hEGF (right), using Phospho-p90RSK (Thr359) (D1E9) Rabbit mAb.
undefined Image 11: p90RSK Antibody Sampler Kit
Confocal immunofluorescent analysis of NIH/3T3 cells, serum-starved (left), treated with TPA #4174 (200 nM, 15 min; center), or treated with TPA followed by λ phosphatase (right), using Phospho-p90RSK (Ser380) (D3H11) Rabbit mAb (green). Actin filaments were labeled with DY-554 phalloidin (red). Blue pseudocolor = DRAQ5® #4084 (fluorescent DNA dye).
undefined Image 12: p90RSK Antibody Sampler Kit
Orders: 877-616-CELL (2355) [email protected] Support: 877-678-TECH (8324) [email protected] Web: cellsignal.com
For Research Use Only. Not for Use in Diagnostic Procedures.

Revision 1

Cell Signaling Technology Logo
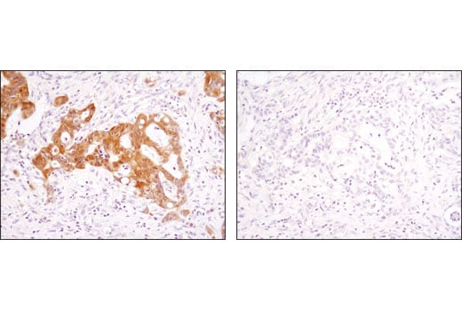
Immunohistochemical analysis of paraffin-embedded colon carcinoma using Phospho-p90RSK (Thr359) (D1E9) Rabbit mAb in the presence of control peptide (left) or antigen-specific peptide (right).
undefined Image 13: p90RSK Antibody Sampler Kit
Confocal immunofluorescent analysis of A-431 cells, serum-starved (left), treated with hEGF (100 ng/mL, 15 min; center), or treated with hEGF and λ phosphatase (right), using Phospho-p90RSK (Thr359) (D1E9) Rabbit mAb (green). Blue pseudocolor = DRAQ5® #4084 (fluorescent DNA dye).
undefined Image 14: p90RSK Antibody Sampler Kit
Orders: 877-616-CELL (2355) [email protected] Support: 877-678-TECH (8324) [email protected] Web: cellsignal.com
For Research Use Only. Not for Use in Diagnostic Procedures.