Revision 2

#74113

Store at -20C

CST Logo
Orders:

877-616-CELL (2355)

[email protected]

Support:

877-678-TECH (8324)

3 Trask Lane | Danvers | Massachusetts | 01923 | USA

For Research Use Only. Not for Use in Diagnostic Procedures.

Product Includes Product # Quantity Mol. Wt Isotype/Source
beta-Amyloid (D54D2) Rabbit Monoclonal Antibody824320 µl5 kDaRabbit IgG
beta-Amyloid (1-42) (D9A3A) Rabbit Monoclonal Antibody1497420 µl4 kDaRabbit IgG
beta-Amyloid (1-40) (D8Q7I) Rabbit Monoclonal Antibody1299020 µl4 kDaRabbit IgG
beta-Amyloid (1-43) (E8C2D) Rabbit Monoclonal Antibody3209820 µl6 kDaRabbit IgG
beta-Amyloid (pE3 Peptide) (D5N5H) Rabbit Monoclonal Antibody1497520 µl4 kDaRabbit IgG
Tau (D1M9X) Rabbit Monoclonal Antibody4668720 µl50-80 kDaRabbit IgG
Phospho-Tau (Thr205) (E7D3E) Rabbit Monoclonal Antibody4956120 µl50-80 kDaRabbit IgG
Phospho-Tau (Ser404) (D2Z4G) Rabbit Monoclonal Antibody2019420 µl50-80 kDaRabbit IgG
Phospho-Tau (Thr181) (D9F4G) Rabbit Monoclonal Antibody1288520 µl50-80 kDaRabbit IgG
Anti-rabbit IgG, HRP-linked Antibody7074100 µlGoat

Please visit cellsignal.com for individual component applications, species cross-reactivity, dilutions, protocols, and additional product information.

Description

The Pathological Hallmarks of Alzheimer's Disease Antibody Sampler Kit provides an economical means of detecting the activation of Tau and APP family members using phospho-specific, and control antibodies for both proteins. The kit includes enough antibodies to perform two western blot experiments with each primary antibody.

Storage

Supplied in 10 mM sodium HEPES (pH 7.5), 150 mM NaCl, 100 µg/ml BSA, 50% glycerol and less than 0.02% sodium azide. Store at –20°C. Do not aliquot the antibody.

Background

Tau is a heterogeneous microtubule-associated protein that promotes and stabilizes microtubule assembly, especially in axons. Six isoforms with different amino-terminal inserts and different numbers of tandem repeats near the carboxy terminus have been identified, and tau is hyperphosphorylated at approximately 25 sites by ERK, GSK-3, and CDK5 (1,2). Phosphorylation decreases the ability of tau to bind to microtubules. Neurofibrillary tangles are a major hallmark of Alzheimer's disease; these tangles are bundles of paired helical filaments composed of hyperphosphorylated tau. In particular, phosphorylation at Ser396 by GSK-3 or CDK5 destabilizes microtubules. Furthermore, research studies have shown that inclusions of tau are found in a number of other neurodegenerative diseases, collectively known as tauopathies (1,3). The cerebrospinal fluid concentration of tau phosphorylated at Thr181 has been proposed to be a biomarker for the study of neurodegenerative disorders (4).

Amyloid β (Aβ) precursor protein (APP) is a 100-140 kDa transmembrane glycoprotein that exists as several isoforms (4). The amino acid sequence of APP contains the amyloid domain, which can be released by a two-step proteolytic cleavage (4). The extracellular deposition and accumulation of the released Aβ fragments form the main components of amyloid plaques in Alzheimer's disease (4). APP can be phosphorylated at several sites, which may affect the proteolytic processing and secretion of this protein (5-8). Aβ-43 has been suggested as a biomarker in early onset of Alzheimer's disease, where patients have lower levels of Aβ-43 in cerebrospinal fluid (8-10). Several studies have shown that Aβ toxicity of Aβ-43 is as high as Aβ-42 or Aβ-40 in different models of Alzheimer's disease, including mouse models and human disease (10).

Trademarks and Patents

Cell Signaling Technology is a trademark of Cell Signaling Technology, Inc.

All other trademarks are the property of their respective owners. Visit cellsignal.com/trademarks for more information.

Limited Uses

Except as otherwise expressly agreed in a writing signed by a legally authorized representative of CST, the following terms apply to Products provided by CST, its affiliates or its distributors. Any Customer's terms and conditions that are in addition to, or different from, those contained herein, unless separately accepted in writing by a legally authorized representative of CST, are rejected and are of no force or effect.

Products are labeled with For Research Use Only or a similar labeling statement and have not been approved, cleared, or licensed by the FDA or other regulatory foreign or domestic entity, for any purpose. Customer shall not use any Product for any diagnostic or therapeutic purpose, or otherwise in any manner that conflicts with its labeling statement. Products sold or licensed by CST are provided for Customer as the end-user and solely for research and development uses. Any use of Product for diagnostic, prophylactic or therapeutic purposes, or any purchase of Product for resale (alone or as a component) or other commercial purpose, requires a separate license from CST. Customer shall (a) not sell, license, loan, donate or otherwise transfer or make available any Product to any third party, whether alone or in combination with other materials, or use the Products to manufacture any commercial products, (b) not copy, modify, reverse engineer, decompile, disassemble or otherwise attempt to discover the underlying structure or technology of the Products, or use the Products for the purpose of developing any products or services that would compete with CST products or services, (c) not alter or remove from the Products any trademarks, trade names, logos, patent or copyright notices or markings, (d) use the Products solely in accordance with CST Product Terms of Sale and any applicable documentation, and (e) comply with any license, terms of service or similar agreement with respect to any third party products or services used by Customer in connection with the Products.

Orders: 877-616-CELL (2355) [email protected] Support: 877-678-TECH (8324) [email protected] Web: cellsignal.com
For Research Use Only. Not for Use in Diagnostic Procedures.

Revision 2

Cell Signaling Technology Logo
Western blot analysis of normal mouse brain and Tau KO (-/-) mouse brain with Phospho-Tau (Thr181) (D9F4G) Rabbit mAb (upper) and β-Actin (D6A8) Rabbit mAb #8457 (lower). Tau-KO mouse brain tissue was kindly provided by Dr. Dominic Walsh at Brigham and Women's Hospital and Harvard Medical School.
undefined Image 1: Pathological Hallmarks of Alzheimer's Disease Antibody Sampler Kit
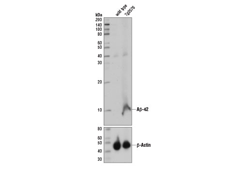
Western blot analysis of brain extracts from 13-month old wild-type and TG2576 mice using β-Amyloid (1-40) (D8Q7I) Rabbit mAb (upper) and β-Actin (D6A8) Rabbit mAb #8457 (lower).
undefined Image 2: Pathological Hallmarks of Alzheimer's Disease Antibody Sampler Kit
Western blot analysis of human Aβ-37, Aβ-38, Aβ-39, Aβ-40, Aβ-42, and Aβ-43 peptides (2.5 ng) using β-Amyloid (1-42) (D9A3A) Rabbit mAb (upper) and β-Amyloid (D54D2) XP® Rabbit mAb #8243 (lower).</p>
undefined Image 3: Pathological Hallmarks of Alzheimer's Disease Antibody Sampler Kit
Orders: 877-616-CELL (2355) [email protected] Support: 877-678-TECH (8324) [email protected] Web: cellsignal.com
For Research Use Only. Not for Use in Diagnostic Procedures.

Revision 2

Cell Signaling Technology Logo
β-Amyloid (pE3 Peptide) (D5N5H) Rabbit mAb specificity is demonstrated using peptide dot blot. β-Amyloid (pE3 Peptide) (D5N5H) Rabbit mAb binds to pre-coated β-amyloid (pE3) peptide but not to β-amyloid (E3) peptide or scrambled β-amyloid (pE3) peptide.
undefined Image 4: Pathological Hallmarks of Alzheimer's Disease Antibody Sampler Kit
Western blot analysis of normal mouse brain and Tau KO (-/-) mouse brain with Phospho-Tau (Ser404) (D2Z4G) Rabbit mAb (upper) and β-Actin (D6A8) Rabbit mAb #8457 (lower). Tau-KO mouse brain tissue was kindly provided by Dr. Dominic Walsh at Brigham and Women's Hospital and Harvard Medical School.
undefined Image 5: Pathological Hallmarks of Alzheimer's Disease Antibody Sampler Kit
Western blot analysis with the indicated amounts of human β-amyloid (1-43) protein using β-Amyloid (1-43) (E8C2D) Rabbit mAb.
undefined Image 6: Pathological Hallmarks of Alzheimer's Disease Antibody Sampler Kit
Orders: 877-616-CELL (2355) [email protected] Support: 877-678-TECH (8324) [email protected] Web: cellsignal.com
For Research Use Only. Not for Use in Diagnostic Procedures.

Revision 2

Cell Signaling Technology Logo
Western blot analysis of normal mouse brain and Tau KO (-/-) mouse brain with Tau (D1M9X) XP® Rabbit mAb (upper) and β-Actin (D6A8) Rabbit mAb #8457 (lower). Tau-KO mouse brain tissue was kindly provided by Dr. Dominic Walsh at Brigham and Women's Hospital and Harvard Medical School.
undefined Image 7: Pathological Hallmarks of Alzheimer's Disease Antibody Sampler Kit
Western blot analysis of normal mouse brain and Tau KO (-/-) mouse brain with Phospho-Tau (Thr205) (E7D3E) Rabbit mAb (upper) and β-Actin (D6A8) Rabbit mAb #8457 (lower). Tau-KO mouse brain tissue was kindly provided by Dr. Dominic Walsh at Brigham and Women's Hospital and Harvard Medical School.<
undefined Image 8: Pathological Hallmarks of Alzheimer's Disease Antibody Sampler Kit
After the primary antibody is bound to the target protein, a complex with HRP-linked secondary antibody is formed. The LumiGLO® is added and emits light during enzyme catalyzed decomposition.
undefined Image 9: Pathological Hallmarks of Alzheimer's Disease Antibody Sampler Kit
Orders: 877-616-CELL (2355) [email protected] Support: 877-678-TECH (8324) [email protected] Web: cellsignal.com
For Research Use Only. Not for Use in Diagnostic Procedures.

Revision 2

Cell Signaling Technology Logo
Western blot analysis of human Aβ-42, Aβ-40, Aβ-39, Aβ-38, and Aβ-37 peptides (5 ng) using β-Amyloid (D54D2) XP® Rabbit mAb.
undefined Image 10: Pathological Hallmarks of Alzheimer's Disease Antibody Sampler Kit
Western blot analysis of extracts from mouse and rat brain using Phospho-Tau (Thr181) (D9F4G) Rabbit mAb. The phospho-specificity of Phospho-Tau (Thr181) (D9F4G) Rabbit mAb was verified by peptide blocking using a phosphopeptide or non-phosphopeptide targeting residue Thr181.
undefined Image 11: Pathological Hallmarks of Alzheimer's Disease Antibody Sampler Kit
Western blot analysis of human Aβ-37, Aβ-38, Aβ-39, Aβ-40, Aβ-42 and Aβ-43 peptides (10 ng) using β-Amyloid (1-40) (D8Q7I) Rabbit mAb (upper) and β-Amyloid (D54D2) XP® Rabbit mAb #8243 (lower).
undefined Image 12: Pathological Hallmarks of Alzheimer's Disease Antibody Sampler Kit
Orders: 877-616-CELL (2355) [email protected] Support: 877-678-TECH (8324) [email protected] Web: cellsignal.com
For Research Use Only. Not for Use in Diagnostic Procedures.

Revision 2

Cell Signaling Technology Logo
Western blot analysis of brain extracts from 13-month old wild-type and Tg2576 mouse model of Alzheimer's brain using β-Amyloid (1-42) (D9A3A) Rabbit mAb (upper) and β-Actin (D6A8) Rabbit mAb #8457 (lower).
undefined Image 13: Pathological Hallmarks of Alzheimer's Disease Antibody Sampler Kit
Western blot analysis of the indicated amounts of human Aβ (pE3-42) and Aβ (1-42) peptides using β-Amyloid (pE3 Peptide) (D5N5H) Rabbit mAb (upper) and β-Amyloid (1-42) (D3E10) Rabbit mAb #12843 (lower).
undefined Image 14: Pathological Hallmarks of Alzheimer's Disease Antibody Sampler Kit
Western blot analysis of extracts from human cortex (lane 1), neonatal mouse brain, untreated (lane 2) or phosphatase-treated (lane 3), and fetal rat brain (lane 4), using Phospho-Tau (Ser404) (D2Z4G) Rabbit mAb (upper), Tau (Tau46) Mouse mAb #4019 (middle) and β-Actin (D6A8) Rabbit mAb #8457 (lower).
undefined Image 15: Pathological Hallmarks of Alzheimer's Disease Antibody Sampler Kit
Orders: 877-616-CELL (2355) [email protected] Support: 877-678-TECH (8324) [email protected] Web: cellsignal.com
For Research Use Only. Not for Use in Diagnostic Procedures.

Revision 2

Cell Signaling Technology Logo
Western blot analysis of human Aβ-37, Aβ-38, Aβ-39, Aβ-40, Aβ-42 and Aβ-43 peptides (10 ng) using β-Amyloid (1-43) (E8C2D) Rabbit mAb. Note the slight cross-reactivity with Aβ-42.
undefined Image 16: Pathological Hallmarks of Alzheimer's Disease Antibody Sampler Kit
Western blot analysis of extracts from various cell lines and tissues using Tau (D1M9X) XP® Rabbit mAb (upper) and β-Actin (D6A8) Rabbit mAb #8457 (lower).
undefined Image 17: Pathological Hallmarks of Alzheimer's Disease Antibody Sampler Kit
Western blot analysis of extracts from mouse brain, untreated (-) or phosphatase-treated (+), and rat brain using Phospho-Tau (Thr205) (E7D3E) Rabbit mAb (upper) and Tau (D1M9X) Rabbit mAb #46687 (lower).
undefined Image 18: Pathological Hallmarks of Alzheimer's Disease Antibody Sampler Kit
Orders: 877-616-CELL (2355) [email protected] Support: 877-678-TECH (8324) [email protected] Web: cellsignal.com
For Research Use Only. Not for Use in Diagnostic Procedures.

Revision 2

Cell Signaling Technology Logo
Western blot analysis of the indicated amounts of human Aβ-42 (left) and Aβ-40 (right) peptides using β-Amyloid (D54D2) XP® Rabbit mAb.
undefined Image 19: Pathological Hallmarks of Alzheimer's Disease Antibody Sampler Kit
Confocal immunofluorescent analysis of hippocampus from wild-type (left) and TG2576 (right) mice using β-Amyloid (1-40) (D8Q7I) Rabbit mAb (green) and β3-Tubulin (TU-20) Mouse mAb #4466 (red). Blue pseudocolor = DRAQ5® #4084 (fluorescent DNA dye).
undefined Image 20: Pathological Hallmarks of Alzheimer's Disease Antibody Sampler Kit
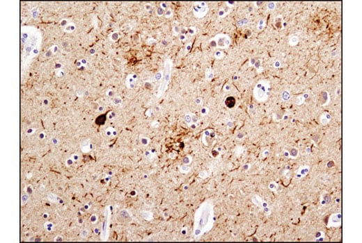
Immunohistochemical analysis of paraffin-embedded human Alzheimer's brain using β-Amyloid (pE3 Peptide) (D5N5H) Rabbit mAb.
undefined Image 21: Pathological Hallmarks of Alzheimer's Disease Antibody Sampler Kit
Orders: 877-616-CELL (2355) [email protected] Support: 877-678-TECH (8324) [email protected] Web: cellsignal.com
For Research Use Only. Not for Use in Diagnostic Procedures.

Revision 2

Cell Signaling Technology Logo
Western blot analysis of extracts from MEF cells (lane 1) and mouse brain (lane 2) using Phospho-Tau (Ser404) (D2Z4G) Rabbit mAb (upper), Tau (Tau46) Mouse mAb #4019 (middle) and β-Actin (D6A8) Rabbit mAb #8457 (lower).
undefined Image 22: Pathological Hallmarks of Alzheimer's Disease Antibody Sampler Kit
Confocal immunofluorescent analysis of brain from an amyloid mouse model of Alzheimer's disease using β-Amyloid (1-43) (E8C2D) Rabbit mAb (green). After blocking free secondary antibody binding sites with Rabbit (DA1E) mAb IgG XP® Isotype Control #3900, the tissue was then labeled using GFAP (GA5) Mouse mAb (Alexa Fluor® 555 Conjugate) #3656 (red pseudocolor) and β-Amyloid (D54D2) XP® Rabbit mAb (Alexa Fluor® 647 Conjugate) #42284 (yellow pseudocolor). Samples were mounted in ProLong® Gold Antifade Reagent with DAPI #8961 (blue).
undefined Image 23: Pathological Hallmarks of Alzheimer's Disease Antibody Sampler Kit
Immunohistochemical analysis of paraffin-embedded human Alzheimer's brain using Tau (D1M9X) XP® Rabbit mAb in the presence of control peptide (left) or antigen-specific peptide (right).
undefined Image 24: Pathological Hallmarks of Alzheimer's Disease Antibody Sampler Kit
Orders: 877-616-CELL (2355) [email protected] Support: 877-678-TECH (8324) [email protected] Web: cellsignal.com
For Research Use Only. Not for Use in Diagnostic Procedures.

Revision 2

Cell Signaling Technology Logo
Immunoprecipitation of Phospho-Tau (Thr205) from mouse brain lysates. Lane 1 mouse brain lysate immunoprecipitation, lane 2 is Rabbit (DA1E) mAb IgG XP® Isotype Control #3900, lanes 3, 4, and 5 represent three dilutions of the immunoprecipitation of mouse brain lysates at 1:50, 1:100, 1:200 respectively, and lane 6 is mouse brain lysate. Western blot analysis was performed using Phospho-Tau (Thr205) (E7D3E) Rabbit mAb.
undefined Image 25: Pathological Hallmarks of Alzheimer's Disease Antibody Sampler Kit
Western blot analysis of human Aβ-42 peptide (1 ng) and human cerebrospinal fluid (CSF) of an AD patient using β-Amyloid (D54D2) XP® Rabbit mAb.
undefined Image 26: Pathological Hallmarks of Alzheimer's Disease Antibody Sampler Kit
Immunohistochemical analysis of paraffin-embedded human Alzheimer's brain using Phospho-Tau (Thr181) (D9F4G) Rabbit mAb.
undefined Image 27: Pathological Hallmarks of Alzheimer's Disease Antibody Sampler Kit
Orders: 877-616-CELL (2355) [email protected] Support: 877-678-TECH (8324) [email protected] Web: cellsignal.com
For Research Use Only. Not for Use in Diagnostic Procedures.

Revision 2

Cell Signaling Technology Logo
Confocal immunofluorescent analysis of wild-type (left) and Tg2576 mouse model of Alzheimer's brain (right) using β-Amyloid (1-42) (D9A3A) Rabbit mAb (green) and β3-Tubulin (TU-20) Mouse mAb #4466 (red). Blue pseudocolor = DRAQ5® #4084 (fluorescent DNA dye).
undefined Image 28: Pathological Hallmarks of Alzheimer's Disease Antibody Sampler Kit
Immunohistochemical analysis of paraffin-embedded Tg2576 mouse model of Alzheimer's brain using β-Amyloid (pE3 Peptide) (D5N5H) Rabbit mAb.
undefined Image 29: Pathological Hallmarks of Alzheimer's Disease Antibody Sampler Kit
Immunohistochemical analysis of paraffin-embedded human normal appendix using Tau (D1M9X) XP® Rabbit mAb.
undefined Image 30: Pathological Hallmarks of Alzheimer's Disease Antibody Sampler Kit
Orders: 877-616-CELL (2355) [email protected] Support: 877-678-TECH (8324) [email protected] Web: cellsignal.com
For Research Use Only. Not for Use in Diagnostic Procedures.

Revision 2

Cell Signaling Technology Logo
Immunohistochemical analysis of paraffin-embedded human Alzheimer's disease brain using Phospho-Tau (Thr205) (E7D3E) Rabbit mAb in the presence of non-phospho-Tau (Thr205) peptide (left) or phospho-Tau (Thr205) peptide (right).
undefined Image 31: Pathological Hallmarks of Alzheimer's Disease Antibody Sampler Kit
Immunohistochemical analysis of paraffin-embedded human breast carcinoma using Phospho-Tau (Thr181) (D9F4G) Rabbit mAb.
undefined Image 32: Pathological Hallmarks of Alzheimer's Disease Antibody Sampler Kit
Confocal immunofluorescent analysis of wild-type (left) and Tg2576 mouse model of Alzheimer's brain (right) using β-Amyloid (pE3 Peptide) (D5N5H) Rabbit mAb (green) and β3-Tubulin (TU-20) Mouse mAb #4466 (red). Blue pseudocolor = DRAQ5® #4084 (fluorescent DNA dye).
undefined Image 33: Pathological Hallmarks of Alzheimer's Disease Antibody Sampler Kit
Orders: 877-616-CELL (2355) [email protected] Support: 877-678-TECH (8324) [email protected] Web: cellsignal.com
For Research Use Only. Not for Use in Diagnostic Procedures.

Revision 2

Cell Signaling Technology Logo
Immunohistochemical analysis of paraffin-embedded T-47D cell pellet (left, positive) or MDA-MB-231 cell pellet (right, negative) using Tau (D1M9X) XP® Rabbit mAb.
undefined Image 34: Pathological Hallmarks of Alzheimer's Disease Antibody Sampler Kit
Immunohistochemical analysis of paraffin-embedded mouse brain using Phospho-Tau (Thr205) (E7D3E) Rabbit mAb.
undefined Image 35: Pathological Hallmarks of Alzheimer's Disease Antibody Sampler Kit
Confocal immunofluorescent analysis of mouse subicular cortex from an amyloid mouse model of Alzheimer's Disease using β-Amyloid (D54D2) XP® Rabbit mAb #8243 (green) and GFAP (GA5) Mouse mAb #3670 (red). Samples were mounted in ProLong® Gold Antifade Reagent with DAPI #8961 (blue).
undefined Image 36: Pathological Hallmarks of Alzheimer's Disease Antibody Sampler Kit
Orders: 877-616-CELL (2355) [email protected] Support: 877-678-TECH (8324) [email protected] Web: cellsignal.com
For Research Use Only. Not for Use in Diagnostic Procedures.

Revision 2

Cell Signaling Technology Logo
Immunohistochemical analysis of paraffin-embedded mouse brain using Phospho-Tau (Thr181) (D9F4G) Rabbit mAb.
undefined Image 37: Pathological Hallmarks of Alzheimer's Disease Antibody Sampler Kit
Immunohistochemical analysis of paraffin-embedded mouse lung using Tau (D1M9X) XP® Rabbit mAb.
undefined Image 38: Pathological Hallmarks of Alzheimer's Disease Antibody Sampler Kit
Immunohistochemical analysis of paraffin-embedded mouse small intestine using Phospho-Tau (Thr205) (E7D3E) Rabbit mAb.
undefined Image 39: Pathological Hallmarks of Alzheimer's Disease Antibody Sampler Kit
Orders: 877-616-CELL (2355) [email protected] Support: 877-678-TECH (8324) [email protected] Web: cellsignal.com
For Research Use Only. Not for Use in Diagnostic Procedures.

Revision 2

Cell Signaling Technology Logo
Immunohistochemical analysis of paraffin-embedded mouse colon, control (left) or λ phosphatase-treated (right), using Phospho-Tau (Thr181) (D9F4G) Rabbit mAb.
undefined Image 40: Pathological Hallmarks of Alzheimer's Disease Antibody Sampler Kit
Confocal immunofluorescent analysis of fixed frozen mouse striatum using Tau (D1M9X) XP® Rabbit mAb (green), TMEM119 (E4B9S) Mouse mAb #98778 (red) and ProLong® Gold Antifade Reagent with DAPI #8961 (blue).
undefined Image 41: Pathological Hallmarks of Alzheimer's Disease Antibody Sampler Kit
Confocal immunofluorescent analysis of mouse medulla oblangata using Phospho-Tau (Thr205) (E7D3E) Rabbit mAb (green). Blue = DAPI #4083 (fluorescent DNA dye).
undefined Image 42: Pathological Hallmarks of Alzheimer's Disease Antibody Sampler Kit
Orders: 877-616-CELL (2355) [email protected] Support: 877-678-TECH (8324) [email protected] Web: cellsignal.com
For Research Use Only. Not for Use in Diagnostic Procedures.

Revision 2

Cell Signaling Technology Logo
Confocal immunofluorescent analysis of mouse brainstem using Phospho-Tau (Thr181) (D9F4G) Rabbit mAb #12885 (green) and S6 Ribosomal Protein (54D2) Mouse mAb #2317 (red). Antibody was pre-incubated with non-phospho-Tau (Thr181) peptide (left), a phospho-Tau (Thr181) peptide (middle), or without peptide (right) to confirm phospho-specificity. Samples were mounted in ProLong® Gold Antifade Reagent with DAPI #8961 (blue).
undefined Image 43: Pathological Hallmarks of Alzheimer's Disease Antibody Sampler Kit
Confocal immunofluorescent analysis of T-47D (positive, left) or MDA-MB-231 (negative, right) cells using Tau (D1M9X) XP® Rabbit mAb (green). Blue pseudocolor = DRAQ5® #4084 (fluorescent DNA dye).
undefined Image 44: Pathological Hallmarks of Alzheimer's Disease Antibody Sampler Kit
Confocal immunofluorescent analysis of dentate gyrus in wild-type mouse brain using Phospho-Tau (Thr205) (E7D3E) Rabbit mAb (green). Antibody was pre-incubated with a non-phospho-Tau peptide (left), a phospho-Tau (Thr205) peptide (center), or without peptide (right) to confirm phospho-specificity. Samples were mounted in ProLong® Gold Antifade Reagent with DAPI #8961 (blue).
undefined Image 45: Pathological Hallmarks of Alzheimer's Disease Antibody Sampler Kit
Orders: 877-616-CELL (2355) [email protected] Support: 877-678-TECH (8324) [email protected] Web: cellsignal.com
For Research Use Only. Not for Use in Diagnostic Procedures.

Revision 2

Cell Signaling Technology Logo
Immunoprecipitation of phospho-Tau (Ser404) from mouse brain tissue extracts. Lane 1 is 10% input, lane 2 is Rabbit (DA1E) mAb IgG XP® Isotype Control #3900, and lane 3 is Phospho-Tau (Ser404) (D2Z4G) Rabbit mAb. Western blot analysis was performed using Phospho-Tau (Ser404) (D2Z4G) Rabbit mAb. Mouse Anti-rabbit IgG (Conformation Specific) (L27A9) mAb (HRP Conjugate) #5127 was used as a secondary antibody.
undefined Image 46: Pathological Hallmarks of Alzheimer's Disease Antibody Sampler Kit
Simple Western™ analysis of lysates (0.1 mg/mL) from Mouse Brain Tissue Extracts using Tau (D1M9X) XP® Rabbit #46687. The virtual lane view (left) shows the target band (as indicated) and a band corresponding to Tau (as indicated) at 1:50 and 1:250 dilutions of primary antibody. The corresponding electropherogram view (right) plots chemiluminescence by molecular weight along the capillary at 1:50 (blue line) and 1:250 (green line) dilutions of primary antibody. This experiment was performed under reducing conditions on the Jess™ Simple Western instrument from ProteinSimple, a BioTechne brand, using the 12-230 kDa separation module.
undefined Image 47: Pathological Hallmarks of Alzheimer's Disease Antibody Sampler Kit
Confocal immunofluorescent analysis of fixed frozen mouse cerebellum using Tau (D1M9X) XP® Rabbit mAb (green), TMEM119 (E4B9S) Mouse mAb #98778 (red) and ProLong® Gold Antifade Reagent with DAPI #8961 (blue).
undefined Image 48: Pathological Hallmarks of Alzheimer's Disease Antibody Sampler Kit
Orders: 877-616-CELL (2355) [email protected] Support: 877-678-TECH (8324) [email protected] Web: cellsignal.com
For Research Use Only. Not for Use in Diagnostic Procedures.

Revision 2

Cell Signaling Technology Logo
Confocal immunofluorescent analysis of fixed frozen mouse hippocampus using Tau (D1M9X) XP® Rabbit mAb (green), TMEM119 (E4B9S) Mouse mAb #98778 (red) and ProLong® Gold Antifade Reagent with DAPI #8961 (blue).
undefined Image 49: Pathological Hallmarks of Alzheimer's Disease Antibody Sampler Kit
Orders: 877-616-CELL (2355) [email protected] Support: 877-678-TECH (8324) [email protected] Web: cellsignal.com
For Research Use Only. Not for Use in Diagnostic Procedures.