Revision 1

#78779

Store at -20C

PBAF Complex Antibody Sampler Kit

1 Kit

(5 x 20 microliters)

CST Logo
Orders:

877-616-CELL (2355)

[email protected]

Support:

877-678-TECH (8324)

3 Trask Lane | Danvers | Massachusetts | 01923 | USA

For Research Use Only. Not for Use in Diagnostic Procedures.

Product Includes Product # Quantity Mol. Wt Isotype/Source
Brg1 (D1Q7F) Rabbit Monoclonal Antibody4936020 µl220 kDaRabbit IgG
BRD7 (D9K2T) Rabbit Monoclonal Antibody1512520 µl85 kDaRabbit IgG
PBRM1/BAF180 (E9X2Z) Rabbit Monoclonal Antibody8912320 µl205 kDaRabbit IgG
ARID2 (D8D8U) Rabbit Monoclonal Antibody8234220 µl220 kDaRabbit IgG
SMARCC1/BAF155 (D7F8S) Rabbit Monoclonal Antibody1195620 µl155 kDaRabbit IgG
Anti-rabbit IgG, HRP-linked Antibody7074100 µlGoat

Please visit cellsignal.com for individual component applications, species cross-reactivity, dilutions, protocols, and additional product information.

Description

The PBAF Complex Antibody Sampler Kit provides an economical means of detecting members of the PBAF chromatin remodeling complex. ARID2, BRD7, and PBRM1/BAF180 are unique members of the PBAF complex, while Brg1 and SMARCC1/BAF155 are shared with BAF and non-canonical BAF complexes. The kit includes enough antibody to perform two western blot experiments with each primary antibody.

Storage

Supplied in 10 mM sodium HEPES (pH 7.5), 150 mM NaCl, 100 µg/ml BSA, 50% glycerol and less than 0.02% sodium azide. Store at –20°C. Do not aliquot the antibody.

Background

ATP-dependent chromatin remodeling complexes play an essential role in the regulation of various nuclear processes, such as gene expression, DNA replication, and repair (1,2). The SWI/SNF chromatin remodeling complex consists of more than 10 subunits with a single molecule of the ATPase catalytic subunit BRM or BRG1, but not both. The activities of these two subunits drive the disruption of histone-DNA contacts that lead to changes in accessibility of crucial regulatory elements within chromatin (2-5). The BRM/BRG1 containing SWI/SNF complexes are recruited to target promoters by transcription factors, such as nuclear receptors, p53, RB, and BRCA1 to regulate gene activation, cell growth, the cell cycle, and differentiation processes (1,6-9).

PBRM1/BAF180, ARID2, and BRD7 are unique members of the SWI/SNF complex PBAF, which binds to kinetochores in mitotic chromatin (10,11). PBAF is involved in nuclear receptor-mediated transcription and retinoic acid driven gene activation (12,13). PBRM1/BAF180 has been shown to be a potent tumor suppressor, as it is the second-most mutated gene in renal carcinomas (14). ARID2 is the targeting subunit of the PBAF complex and critical for complex stability (15). Bromodomain-containing BRD7 interacts with acetylated histones to regulate gene transcription (16,17). SMARCC1/BAF155 is a core subunit of all BAF complexes including PBAF, and is necessary for efficient nucleosome remodeling by BRG1 in vitro (18).

Trademarks and Patents

Cell Signaling Technology is a trademark of Cell Signaling Technology, Inc.

SimpleChIP is a registered trademark of Cell Signaling Technology, Inc.

All other trademarks are the property of their respective owners. Visit cellsignal.com/trademarks for more information.

Limited Uses

Except as otherwise expressly agreed in a writing signed by a legally authorized representative of CST, the following terms apply to Products provided by CST, its affiliates or its distributors. Any Customer's terms and conditions that are in addition to, or different from, those contained herein, unless separately accepted in writing by a legally authorized representative of CST, are rejected and are of no force or effect.

Products are labeled with For Research Use Only or a similar labeling statement and have not been approved, cleared, or licensed by the FDA or other regulatory foreign or domestic entity, for any purpose. Customer shall not use any Product for any diagnostic or therapeutic purpose, or otherwise in any manner that conflicts with its labeling statement. Products sold or licensed by CST are provided for Customer as the end-user and solely for research and development uses. Any use of Product for diagnostic, prophylactic or therapeutic purposes, or any purchase of Product for resale (alone or as a component) or other commercial purpose, requires a separate license from CST. Customer shall (a) not sell, license, loan, donate or otherwise transfer or make available any Product to any third party, whether alone or in combination with other materials, or use the Products to manufacture any commercial products, (b) not copy, modify, reverse engineer, decompile, disassemble or otherwise attempt to discover the underlying structure or technology of the Products, or use the Products for the purpose of developing any products or services that would compete with CST products or services, (c) not alter or remove from the Products any trademarks, trade names, logos, patent or copyright notices or markings, (d) use the Products solely in accordance with CST Product Terms of Sale and any applicable documentation, and (e) comply with any license, terms of service or similar agreement with respect to any third party products or services used by Customer in connection with the Products.

Orders: 877-616-CELL (2355) [email protected] Support: 877-678-TECH (8324) [email protected] Web: cellsignal.com
For Research Use Only. Not for Use in Diagnostic Procedures.

Revision 1

Cell Signaling Technology Logo
Western blot analysis of extracts from various cell lines using SMARCC1/BAF155 (D7F8S) Rabbit mAb.
undefined Image 1: PBAF Complex Antibody Sampler Kit
CUT&Tag was performed with NCCIT cells and SMARCC1/BAF155 (D7F8S) Rabbit mAb, using CUT&Tag Assay Kit #77552. DNA library was prepared using CUT&Tag Dual Index Primers and PCR Master Mix for Illumina Systems #47415. The figure shows binding across SOX2.
undefined Image 2: PBAF Complex Antibody Sampler Kit
Western blot analysis of extracts from various cell lines using BRD7 (D9K2T) Rabbit mAb.
undefined Image 3: PBAF Complex Antibody Sampler Kit
Orders: 877-616-CELL (2355) [email protected] Support: 877-678-TECH (8324) [email protected] Web: cellsignal.com
For Research Use Only. Not for Use in Diagnostic Procedures.

Revision 1

Cell Signaling Technology Logo
Western blot analysis of extracts from various cell lines using Brg1 (D1Q7F) Rabbit mAb.
undefined Image 4: PBAF Complex Antibody Sampler Kit
CUT&RUN was performed with NCCIT cells and Brg1 (D1Q7F) Rabbit mAb, using CUT&RUN Assay Kit #86652. DNA Library was prepared using DNA Library Prep Kit for Illumina® (ChIP-seq, CUT&RUN) #56795. The figure shows binding across TNN gene.
undefined Image 5: PBAF Complex Antibody Sampler Kit
After the primary antibody is bound to the target protein, a complex with HRP-linked secondary antibody is formed. The LumiGLO® is added and emits light during enzyme catalyzed decomposition.
undefined Image 6: PBAF Complex Antibody Sampler Kit
Orders: 877-616-CELL (2355) [email protected] Support: 877-678-TECH (8324) [email protected] Web: cellsignal.com
For Research Use Only. Not for Use in Diagnostic Procedures.

Revision 1

Cell Signaling Technology Logo
Western blot analysis of extracts from various cell lines using ARID2 (D8D8U) Rabbit mAb (upper) and α-Actinin (D6F6) XP® Rabbit mAb #6487 (lower).
undefined Image 7: PBAF Complex Antibody Sampler Kit
Western blot analysis of extracts from various cell lines using PBRM1/BAF180 (E9X2Z) Rabbit mAb (upper) or α-Actinin (D6F6) XP® Rabbit mAb #6487 (lower). As expected, HCC1143 cells are negative for PBRM1/BAF180 expression.
undefined Image 8: PBAF Complex Antibody Sampler Kit
Immunoprecipitation of SMARCC1/BAF155 from HeLa cell extracts using Rabbit (DA1E) mAb IgG XP® Isotype Control #3900 (lane 2) or SMARCC1/BAF155 (D7F8S) Rabbit mAb (lane 3). Lane 1 is 10% input. Western blot analysis was performed using SMARCC1/BAF155 (D7F8S) Rabbit mAb.
undefined Image 9: PBAF Complex Antibody Sampler Kit
Orders: 877-616-CELL (2355) [email protected] Support: 877-678-TECH (8324) [email protected] Web: cellsignal.com
For Research Use Only. Not for Use in Diagnostic Procedures.

Revision 1

Cell Signaling Technology Logo
CUT&Tag was performed with NCCIT cells and SMARCC1/BAF155 (D7F8S) Rabbit mAb, using CUT&Tag Assay Kit #77552. DNA library was prepared using CUT&Tag Dual Index Primers and PCR Master Mix for Illumina Systems #47415. The figures show binding across chromosome 3 (upper), including SOX2 gene (lower).
undefined Image 10: PBAF Complex Antibody Sampler Kit
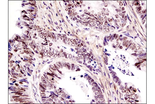
Immunohistochemical analysis of paraffin-embedded human colon carcinoma using BRD7 (D9K2T) Rabbit mAb.
undefined Image 11: PBAF Complex Antibody Sampler Kit
Western blot analysis of extracts from various cell lines using Brg1 (D1Q7F) Rabbit mAb (upper) or BRM (D9E8B) XP® Rabbit mAb (lower).
undefined Image 12: PBAF Complex Antibody Sampler Kit
Orders: 877-616-CELL (2355) [email protected] Support: 877-678-TECH (8324) [email protected] Web: cellsignal.com
For Research Use Only. Not for Use in Diagnostic Procedures.

Revision 1

Cell Signaling Technology Logo
CUT&RUN was performed with NCCIT cells and Brg1 (D1Q7F) Rabbit mAb, using CUT&RUN Assay Kit #86652. DNA Library was prepared using DNA Library Prep Kit for Illumina® (ChIP-seq, CUT&RUN) #56795. The figures show binding across chromosome 1 (upper), including TNN gene (lower).
undefined Image 13: PBAF Complex Antibody Sampler Kit
Immunoprecipitation of ARID2 from Jurkat cell extracts. Lane 1 is 10% input, lane 2 is Rabbit (DA1E) mAb IgG XP® Isotype Control #3900, and lane 3 is ARID2 (D8D8U) Rabbit mAb. Western blot analysis was performed using ARID2 (D8D8U) Rabbit mAb.
undefined Image 14: PBAF Complex Antibody Sampler Kit
Immunoprecipitation of PBRM1/BAF180 protein from Jurkat cell extracts. Lane 1 is 10% input, lane 2 is Rabbit (DA1E) maAb IgG XP® Isotype Control #3900, and lane 3 is PBRM1/BAF180 (E9X2Z) Rabbit mAb. Western blot analysis was performed using PBRM1/BAF180 (E9X2Z) Rabbit mAb. Anti-rabbit IgG, HRP-linked Antibody #7074 was used as a secondary antibody.
undefined Image 15: PBAF Complex Antibody Sampler Kit
Orders: 877-616-CELL (2355) [email protected] Support: 877-678-TECH (8324) [email protected] Web: cellsignal.com
For Research Use Only. Not for Use in Diagnostic Procedures.

Revision 1

Cell Signaling Technology Logo
Chromatin immunoprecipitations were performed with cross-linked chromatin from MCF7 cells grown in phenol red free medium and 5% charcoal stripped FBS for 4 d, followed by treatment with β-estradiol (10 nM, 45 min) and either SMARCC1/BAF155 (D7F8S) Rabbit mAb, SMARCB1/BAF47 (D8M1X) Rabbit mAb #91735, or SS18 (D6I4Z) Rabbit mAb #21792, using SimpleChIP® Plus Enzymatic Chromatin IP Kit (Magnetic Beads) #9005. DNA Libraries were prepared using DNA Library Prep Kit for Illumina® (ChIP-seq, CUT&RUN) #56795. SMARCC1/BAF155, SMARCB1/BAF47, and SS18 are all subunits of SWI/SNF complex. The figure shows binding across pS2/TFF1, a known target gene of SWI/SNF complex (see additional figure containing ChIP-qPCR data).
undefined Image 16: PBAF Complex Antibody Sampler Kit
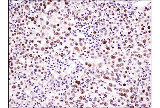
Immunohistochemical analysis of paraffin-embedded human lung carcinoma using BRD7 (D9K2T) Rabbit mAb.
undefined Image 17: PBAF Complex Antibody Sampler Kit
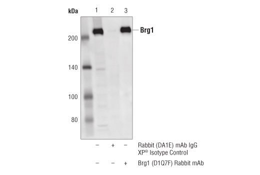
Immunoprecipitation of Brg1 from NCCIT cell extracts. Lane 1 is 10% input, lane 2 is Rabbit (DA1E) mAb IgG XP® Isotype Control #3900, and lane 3 is Brg1 (D1Q7F) Rabbit mAb. Western blot analysis was performed using Brg1 (D1Q7F) Rabbit mAb.
undefined Image 18: PBAF Complex Antibody Sampler Kit
Orders: 877-616-CELL (2355) [email protected] Support: 877-678-TECH (8324) [email protected] Web: cellsignal.com
For Research Use Only. Not for Use in Diagnostic Procedures.

Revision 1

Cell Signaling Technology Logo
CUT&RUN was performed with NCCIT cells and either Brg1 (D1Q7F) Rabbit mAb or Rabbit (DA1E) mAb IgG XP® Isotype Control (CUT&RUN) #66362, using CUT&RUN Assay Kit #86652. The enriched DNA was quantified by real-time PCR using SimpleChIP® Human HoxA1 Intron 1 Primers #7707, SimpleChIP® Human HoxA2 Promoter Primers #5517, and human ITM2A upstream primers. The amount of immunoprecipitated DNA in each sample is represented as signal relative to the total amount of input chromatin, which is equivalent to one.
undefined Image 19: PBAF Complex Antibody Sampler Kit
Chromatin immunoprecipitations were performed with cross-linked chromatin from MCF7 cells grown in phenol red free medium and 5% charcoal stripped FBS for 4 days, then treated with β-estradiol (100 nM) for 45 minutes and either PBRM1/BAF180 (E9X2Z) Rabbit mAb or Normal Rabbit IgG #2729 using SimpleChIP® Plus Enzymatic Chromatin IP Kit (Magnetic Beads) #9005. The enriched DNA was quantified by real-time PCR using Human ESR1 Intron 1 Primers, SimpleChIP® Human CCND1 Promoter Primers #12531, and SimpleChIP® Human α Satellite Repeat Primers #4486. The amount of immunoprecipitated DNA in each sample is represented as signal relative to the total amount of input chromatin, which is equivalent to one.
undefined Image 20: PBAF Complex Antibody Sampler Kit
Chromatin immunoprecipitations were performed with cross-linked chromatin from MCF7 cells grown in phenol red free medium and 5% charcoal stripped FBS for 4 d, followed by treatment with β-estradiol (10 nM, 45 min) and either SMARCC1/BAF155 (D7F8S) Rabbit mAb, SMARCB1/BAF47 (D8M1X) Rabbit mAb #91735, or SS18 (D6I4Z) Rabbit mAb #21792, using SimpleChIP® Plus Enzymatic Chromatin IP Kit (Magnetic Beads) #9005. DNA Libraries were prepared using DNA Library Prep Kit for Illumina® (ChIP-seq, CUT&RUN) #56795. SMARCC1/BAF155, SMARCB1/BAF47, and SS18 are all subunits of SWI/SNF complex. The figure shows binding across chromosome 21 (upper), including pS2/TFF1 (lower), a known target gene of SWI/SNF complex (see additional figure containing ChIP-qPCR data).
undefined Image 21: PBAF Complex Antibody Sampler Kit
Orders: 877-616-CELL (2355) [email protected] Support: 877-678-TECH (8324) [email protected] Web: cellsignal.com
For Research Use Only. Not for Use in Diagnostic Procedures.

Revision 1

Cell Signaling Technology Logo
Immunohistochemical analysis of paraffin-embedded MDA-MB-231 (left) and SW620 (right) cell pellets using BRD7 (D9K2T) Rabbit mAb.
undefined Image 22: PBAF Complex Antibody Sampler Kit
Chromatin immunoprecipitations were performed with cross-linked chromatin from MCF7 cells grown in phenol red free medium and 5% charcoal stripped FBS for 4 d followed by treatment with β-estradiol (10 nM, 45 min) and Brg1 (D1Q7F) XP® Rabbit mAb, using SimpleChIP® Enzymatic Chromatin IP Kit (Magnetic Beads) #9003. DNA Libraries were prepared using DNA Library Prep Kit for Illumina® (ChIP-seq, CUT&RUN) #56795. The figure shows binding across the ENSA gene.
undefined Image 23: PBAF Complex Antibody Sampler Kit
Chromatin immunoprecipitations were performed with cross-linked chromatin from MCF7 cells, grown in phenol red-free medium and 5% charcoal-stripped FBS for 4 d followed by treatment with β-estradiol (10 nM, 45 min), and either SMARCC1/BAF155 (D7F8S) Rabbit mAb or Normal Rabbit IgG #2729 using SimpleChIP® Plus Enzymatic Chromatin IP Kit (Magnetic Beads) #9005. The enriched DNA was quantified by real-time PCR using SimpleChIP® Human ESR1 Promoter Primers #9673, SimpleChIP® Human pS2 Promoter Primers #9702, and SimpleChIP® Human α Satellite Repeat Primers #4486. The amount of immunoprecipitated DNA in each sample is represented as signal relative to the total amount of input chromatin, which is equivalent to one.
undefined Image 24: PBAF Complex Antibody Sampler Kit
Orders: 877-616-CELL (2355) [email protected] Support: 877-678-TECH (8324) [email protected] Web: cellsignal.com
For Research Use Only. Not for Use in Diagnostic Procedures.

Revision 1

Cell Signaling Technology Logo
Chromatin immunoprecipitations were performed with cross-linked chromatin from MCF7 cells grown in phenol red free medium and 5% charcoal stripped FBS for 4 d followed by treatment with β-estradiol (10 nM, 45 min) and Brg1 (D1Q7F) XP® Rabbit mAb, using SimpleChIP® Enzymatic Chromatin IP Kit (Magnetic Beads) #9003. DNA Libraries were prepared using DNA Library Prep Kit for Illumina® (ChIP-seq, CUT&RUN) #56795. The figure shows binding across ESR1 (upper), a known target gene of Brg1 (see additional figure containing ChIP-qPCR data), and ENSA gene (lower).
undefined Image 25: PBAF Complex Antibody Sampler Kit
CUT&RUN was performed with NCCIT cells and SMARCC1/BAF155 (D7F8S) Rabbit mAb, using CUT&RUN Assay Kit #86652. DNA Libraries were prepared using DNA Library Prep Kit for Illumina® (ChIP-seq, CUT&RUN) #56795. The figure shows binding across Sox2, a known target gene of SMARCC1 (see additional figure containing CUT&RUN-qPCR data).
undefined Image 26: PBAF Complex Antibody Sampler Kit
Chromatin immunoprecipitations were performed with cross-linked chromatin from MCF7 cells grown in phenol red free medium and 5% charcoal stripped FBS for 4 d followed by treatment with β-estradiol (10 nM, 45 min) and either Brg1 (D1Q7F) XP® Rabbit mAb or Normal Rabbit IgG #2729 using SimpleChIP® Enzymatic Chromatin IP Kit (Magnetic Beads) #9003. The enriched DNA was quantified by real-time PCR using SimpleChIP® Human ESR1 Promoter Primers #9673, SimpleChIP® Human pS2 Promoter Primers #9702, and SimpleChIP® Human α Satellite Repeat Primers #4486. The amount of immunoprecipitated DNA in each sample is represented as signal relative to the total amount of input chromatin, which is equivalent to one.
undefined Image 27: PBAF Complex Antibody Sampler Kit
Orders: 877-616-CELL (2355) [email protected] Support: 877-678-TECH (8324) [email protected] Web: cellsignal.com
For Research Use Only. Not for Use in Diagnostic Procedures.

Revision 1

Cell Signaling Technology Logo
CUT&RUN was performed with NCCIT cells and SMARCC1/BAF155 (D7F8S) Rabbit mAb, using CUT&RUN Assay Kit #86652. DNA Libraries were prepared using DNA Library Prep Kit for Illumina® (ChIP-seq, CUT&RUN) #56795. The figures show binding across chromosome 3 (upper), including Sox2 (lower), a known target gene of SMARCC1 (see additional figure containing CUT&RUN-qPCR data).
undefined Image 28: PBAF Complex Antibody Sampler Kit
CUT&RUN was performed with NCCIT cells and either SMARCC1/BAF155 (D7F8S) Rabbit mAb or Rabbit (DA1E) mAb IgG XP® Isotype Control (CUT&RUN) #66362, using CUT&RUN Assay Kit #86652. The enriched DNA was quantified by real-time PCR using SimpleChIP® Human Oct-4 Promoter Primers #4641, SimpleChIP® Human Sox2 Promoter Primers #4649 and SimpleChIP® Human α Satellite Repeat Primers #4486. The amount of immunoprecipitated DNA in each sample is represented as signal relative to the total amount of input chromatin, which is equivalent to one.
undefined Image 29: PBAF Complex Antibody Sampler Kit
Orders: 877-616-CELL (2355) [email protected] Support: 877-678-TECH (8324) [email protected] Web: cellsignal.com
For Research Use Only. Not for Use in Diagnostic Procedures.