Revision 1

#9916

Store at -20C

Phospho-Akt Pathway Antibody Sampler Kit

1 Kit

(7 x 20 microliters)

CST Logo
Orders:

877-616-CELL (2355)

[email protected]

Support:

877-678-TECH (8324)

3 Trask Lane | Danvers | Massachusetts | 01923 | USA

For Research Use Only. Not for Use in Diagnostic Procedures.

Product Includes Product # Quantity Mol. Wt Isotype/Source
Phospho-Akt (Ser473) (D9E) Rabbit Monoclonal Antibody406020 µl60 kDaRabbit IgG
Akt (pan) (C67E7) Rabbit Monoclonal Antibody469120 µl60 kDaRabbit IgG
Phospho-c-Raf (Ser259) Antibody942120 µl74 kDaRabbit
Phospho-GSK-3 beta (Ser9) (D85E12) Rabbit Monoclonal Antibody555820 µl46 kDaRabbit IgG
Phospho-PTEN (Ser380) Antibody955120 µl54 kDaRabbit
Phospho-PDK1 (Ser241) (C49H2) Rabbit Monoclonal Antibody343820 µl58 to 68 kDaRabbit IgG
Phospho-Akt (Thr308) (D25E6) Rabbit Monoclonal Antibody1303820 µl60 kDaRabbit IgG
Anti-rabbit IgG, HRP-linked Antibody7074100 µlGoat

Please visit cellsignal.com for individual component applications, species cross-reactivity, dilutions, protocols, and additional product information.

Description

The Phospho-Akt Pathway Antibody Sampler Kit provides an economical means to evaluate the activation status of the Akt signaling pathway, including PTEN and phosphorylated Akt, GSK-3beta, c-Raf and PDK1. The kit includes enough primary and secondary antibodies to perform two Western blot experiments.

Storage

Supplied in 10 mM sodium HEPES (pH 7.5), 150 mM NaCl, 100 µg/ml BSA, 50% glycerol and less than 0.02% sodium azide. Store at –20°C. Do not aliquot the antibody.

Background

Akt, also referred to as PKB or Rac, plays a critical role in controlling cell survival and apoptosis (1-3). This protein kinase is activated by insulin and various growth and survival factors to function in a wortmannin-sensitive pathway involving PI3 kinase (2,3). Akt is activated by phospholipid binding and activation loop phosphorylation at Thr308 by PDK1 (4) and by phosphorylation within the carboxy terminus at Ser473. The previously elusive PDK2 responsible for phosphorylation of Akt at Ser473 has been identified as mammalian target of rapamycin (mTOR) in a rapamycin-insensitive complex with rictor and Sin1 (5,6). Akt promotes cell survival by inhibiting apoptosis through phosphorylation and inactivation of several targets, including Bad (7), forkhead transcription factors (8), c-Raf (9), and caspase-9. PTEN phosphatase is a major negative regulator of the PI3K/Akt signaling pathway (10). LY294002 is a specific PI3 kinase inhibitor (11). Another essential Akt function is the regulation of glycogen synthesis through phosphorylation and inactivation of GSK-3α and β (12,13). Akt may also play a role in insulin stimulation of glucose transport (12). In addition to its role in survival and glycogen synthesis, Akt is involved in cell cycle regulation by preventing GSK-3β-mediated phosphorylation and degradation of cyclin D1 (14) and by negatively regulating the cyclin-dependent kinase inhibitors p27 Kip1 (15) and p21 Waf1/Cip1 (16). Akt also plays a critical role in cell growth by directly phosphorylating mTOR in a rapamycin-sensitive complex containing raptor (17). More importantly, Akt phosphorylates and inactivates tuberin (TSC2), an inhibitor of mTOR within the mTOR-raptor complex (18,19).

Trademarks and Patents

Cell Signaling Technology is a trademark of Cell Signaling Technology, Inc.

All other trademarks are the property of their respective owners. Visit cellsignal.com/trademarks for more information.

Limited Uses

Except as otherwise expressly agreed in a writing signed by a legally authorized representative of CST, the following terms apply to Products provided by CST, its affiliates or its distributors. Any Customer's terms and conditions that are in addition to, or different from, those contained herein, unless separately accepted in writing by a legally authorized representative of CST, are rejected and are of no force or effect.

Products are labeled with For Research Use Only or a similar labeling statement and have not been approved, cleared, or licensed by the FDA or other regulatory foreign or domestic entity, for any purpose. Customer shall not use any Product for any diagnostic or therapeutic purpose, or otherwise in any manner that conflicts with its labeling statement. Products sold or licensed by CST are provided for Customer as the end-user and solely for research and development uses. Any use of Product for diagnostic, prophylactic or therapeutic purposes, or any purchase of Product for resale (alone or as a component) or other commercial purpose, requires a separate license from CST. Customer shall (a) not sell, license, loan, donate or otherwise transfer or make available any Product to any third party, whether alone or in combination with other materials, or use the Products to manufacture any commercial products, (b) not copy, modify, reverse engineer, decompile, disassemble or otherwise attempt to discover the underlying structure or technology of the Products, or use the Products for the purpose of developing any products or services that would compete with CST products or services, (c) not alter or remove from the Products any trademarks, trade names, logos, patent or copyright notices or markings, (d) use the Products solely in accordance with CST Product Terms of Sale and any applicable documentation, and (e) comply with any license, terms of service or similar agreement with respect to any third party products or services used by Customer in connection with the Products.

Orders: 877-616-CELL (2355) [email protected] Support: 877-678-TECH (8324) [email protected] Web: cellsignal.com
For Research Use Only. Not for Use in Diagnostic Procedures.

Revision 1

Cell Signaling Technology Logo
Western blot analysis of extracts from NIH/3T3 cells, untreated (-) or treated with Human Platelet-Derived Growth Factor AA (hPDGF-AA) #8913 (100 ng/ml, 5 min; +), and untreated (-) LNCaP and PC-3 cells, using Phospho-Akt (Thr308) (D25E6) XP® Rabbit mAb (upper) or Akt (pan) (C67E7) Rabbit mAb #4691 (lower).
undefined Image 1: Phospho-Akt Pathway Antibody Sampler Kit
Western blot analysis of extracts from PC3 cells, HCT116 wild-type and HCT116 PDK1 -/- cells using Phospho-PDK1 (Ser241) (C49H2) Rabbit mAb (upper) and Akt (pan) (C67E7) Rabbit mAb #4691 (lower). (HCT116 wild-type and HCT116 PDK1 -/- cells were kindly provided by Dr. Bert Vogelstein, Johns Hopkins University, Baltimore, MD).
undefined Image 2: Phospho-Akt Pathway Antibody Sampler Kit
Western blot analysis of extracts from PC-3 cells, untreated or LY294002/wortmannin-treated, and NIH/3T3 cells, serum-starved or PDGF-treated, using Phospho-Akt (Ser473) (D9E) XP® Rabbit mAb (upper) or Akt (pan) (C67E7) Rabbit mAb #4691 (lower).
undefined Image 3: Phospho-Akt Pathway Antibody Sampler Kit
Orders: 877-616-CELL (2355) [email protected] Support: 877-678-TECH (8324) [email protected] Web: cellsignal.com
For Research Use Only. Not for Use in Diagnostic Procedures.

Revision 1

Cell Signaling Technology Logo
Western blot analysis of recombinant Akt1, Akt2 and Akt3 proteins, and extracts from various cell lines, using Akt (pan) (C67E7) Rabbit mAb.
undefined Image 4: Phospho-Akt Pathway Antibody Sampler Kit
Western blot analysis of extracts from GSK-3α (-/-) (lanes 1,2) and GSK-3β (-/-) (lanes 3,4) mouse embryonic fibroblast (MEF) cells, λ phosphatase or PDGF-treated, using Phospho-GSK-3β (Ser9) (D85E12) XP® Rabbit mAb (upper) and α/β-Tubulin Antibody #2148 (lower). (MEF wild type, GSK-3α (-/-) and GSK-3β (-/-) cells were kindly provided by Dr. Jim Woodgett, University of Toronto, Canada).
undefined Image 5: Phospho-Akt Pathway Antibody Sampler Kit
After the primary antibody is bound to the target protein, a complex with HRP-linked secondary antibody is formed. The LumiGLO® is added and emits light during enzyme catalyzed decomposition.
undefined Image 6: Phospho-Akt Pathway Antibody Sampler Kit
Orders: 877-616-CELL (2355) [email protected] Support: 877-678-TECH (8324) [email protected] Web: cellsignal.com
For Research Use Only. Not for Use in Diagnostic Procedures.

Revision 1

Cell Signaling Technology Logo
Western blot analysis of extracts from HeLa cells, untreated or TPA-treated, using Phospho-c-Raf (Ser259) Antibody (upper), or a total c-Raf antibody (lower).
undefined Image 7: Phospho-Akt Pathway Antibody Sampler Kit
Western blot analysis of extracts from various cell lines, using Phospho-PTEN (Ser380) Antibody (upper) or PTEN Antibody #9552 (lower). The phospho-specificity of the antibody was confirmed by treating the membrane with calf intestinal alkaline phosphatase (CIP) after Western transfer.
undefined Image 8: Phospho-Akt Pathway Antibody Sampler Kit
Immunoprecipitation of phospho-Akt (Thr308) from Jurkat cell extracts using Rabbit (DA1E) mAb IgG XP® Isotype Control #3900 (lane 2) or Phospho-Akt (Thr308) (D25E6) XP® Rabbit mAb (lane 3). Lane 1 is 10% input. Western blot analysis was performed using Phospho-Akt (Thr308) (D25E6) XP® Rabbit mAb.
undefined Image 9: Phospho-Akt Pathway Antibody Sampler Kit
Orders: 877-616-CELL (2355) [email protected] Support: 877-678-TECH (8324) [email protected] Web: cellsignal.com
For Research Use Only. Not for Use in Diagnostic Procedures.

Revision 1

Cell Signaling Technology Logo
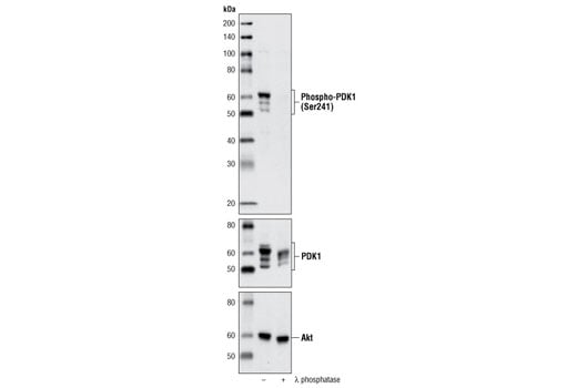
Western blot analysis of extracts from PC3 cells, untreated or λ phosphatase-treated, using Phospho-PDK1 (Ser241) (C49H2) Rabbit mAb (upper), PDK1 Antibody #3062 (middle) or Akt Antibody #9272 (lower).
undefined Image 10: Phospho-Akt Pathway Antibody Sampler Kit
Immunoprecipitation of phospho-Akt (Ser473) from Jurkat extracts treated with Calyculin A #9902 (100nM, 30 min). Lane 1 is 10% input, lane 2 is Phospho-Akt (Ser473) (D9E) XP® Rabbit mAb, and lane 3 is Rabbit (DA1E) mAb IgG XP® Isotype Control #3900. Western blot analysis was performed with Phospho-Akt (Ser473) (D9E) XP® Rabbit mAb. Anti-rabbit IgG, HRP-linked Antibody #7074 was used as a secondary antibody.
undefined Image 11: Phospho-Akt Pathway Antibody Sampler Kit
Immunohistochemical analysis of paraffin-embedded human melanoma using Akt (pan) (C67E7) Rabbit mAb.
undefined Image 12: Phospho-Akt Pathway Antibody Sampler Kit
Orders: 877-616-CELL (2355) [email protected] Support: 877-678-TECH (8324) [email protected] Web: cellsignal.com
For Research Use Only. Not for Use in Diagnostic Procedures.

Revision 1

Cell Signaling Technology Logo
Western blot analysis of extracts from PC-3 cells, untreated or LY294002/wortmannin-treated, using Phospho-GSK-3β (Ser9) (D85E12) XP® Rabbit mAb (upper) or GSK-3β (27C10) Rabbit mAb #9315 (lower).
undefined Image 13: Phospho-Akt Pathway Antibody Sampler Kit
Site specificity of Phospho-c-Raf (Ser259) Antibody: Western blot analysis of recombinant Myc-tagged c-Raf protein, wild-type (lanes 1 and 3) and S259A mutant (lanes 2 and 4), using Phospho-Raf (Ser259) Antibody or a Myc antibody. (Provided by Dr. Guri Tzivion, Massachusetts General Hospital.)
undefined Image 14: Phospho-Akt Pathway Antibody Sampler Kit
Confocal immunofluorescent analysis of C2C12 cells, insulin-treated (100 nM, 15 min; left) or treated with LY294002 #9901 (50 μM, 2 hr; right), using Phospho-Akt (Thr308) (D25E6) XP® Rabbit mAb (green). Actin filaments were labeled with DY-554 phalloidin (red). Blue pseudocolor = DRAQ5® #4084 (fluorescent DNA dye).
undefined Image 15: Phospho-Akt Pathway Antibody Sampler Kit
Orders: 877-616-CELL (2355) [email protected] Support: 877-678-TECH (8324) [email protected] Web: cellsignal.com
For Research Use Only. Not for Use in Diagnostic Procedures.

Revision 1

Cell Signaling Technology Logo
Immunohistochemical analysis of paraffin-embedded human lung carcinoma using Phospho-Akt (Ser473) (D9E) XP® Rabbit mAb.
undefined Image 16: Phospho-Akt Pathway Antibody Sampler Kit
Immunohistochemical analysis of paraffin-embedded human breast carcinoma using Akt (pan) (C67E7) Rabbit mAb in the presence of control peptide (left) or Akt (pan) Blocking Peptide #1085 (right).
undefined Image 17: Phospho-Akt Pathway Antibody Sampler Kit
Confocal immunofluorescent analysis of wild type mouse embryonic fibroblasts (MEFs) (top row), GSK-3β (-/-) MEFs (middle row) , or PC-3 cells (bottom row), untreated (left), LY294002- and Wortmannin-treated (#9901 and #9951 respectively; center) or lambda phosphatase-treated (right), using Phospho-GSK-3β (Ser9) (D85E12) XP® Rabbit mAb (green). Actin filaments were labeled with DY-554 phalloidin (red). Blue pseudocolor = DRAQ5® #4084 (fluorescent DNA dye). (MEF wild type and GSK-3β (-/-) cells were kindly provided by Dr. Jim Woodgett, University of Toronto, Canada).
undefined Image 18: Phospho-Akt Pathway Antibody Sampler Kit
Orders: 877-616-CELL (2355) [email protected] Support: 877-678-TECH (8324) [email protected] Web: cellsignal.com
For Research Use Only. Not for Use in Diagnostic Procedures.

Revision 1

Cell Signaling Technology Logo
Flow cytometric analysis of Jurkat cells, untreated (green) or treated with LY294002 #9901, Wortmannin #9951 and U0126 #9903 (blue), using Phospho-Akt (Thr308) (D25E6) XP® Rabbit mAb (solid line) compared to a concentration-matched Rabbit (DA1E) mAb IgG XP® Isotype Control #3900 (dashed line). Anti-rabbit IgG (H+L), F(ab')2 Fragment (Alexa Fluor® 488 Conjugate) #4412 was used as a secondary antibody.
undefined Image 19: Phospho-Akt Pathway Antibody Sampler Kit
Immunohistochemical analysis of paraffin-embedded human breast carcinoma using Phospho-Akt (Ser473) (D9E) XP® Rabbit mAb.
undefined Image 20: Phospho-Akt Pathway Antibody Sampler Kit
Immunohistochemical analysis using Akt (pan) (C67E7) Rabbit mAb on SignalSlide (TM) Phospho-Akt (Ser473) IHC Controls #8101 (paraffin-embedded LNCaP cells, untreated (left) or LY294002-treated (right)).
undefined Image 21: Phospho-Akt Pathway Antibody Sampler Kit
Orders: 877-616-CELL (2355) [email protected] Support: 877-678-TECH (8324) [email protected] Web: cellsignal.com
For Research Use Only. Not for Use in Diagnostic Procedures.

Revision 1

Cell Signaling Technology Logo
Flow cytometric analysis of NIH/3T3 cells, untreated (blue) or PDGF-treated (green), using Phospho-GSK-3β (Ser9) (D85E12) XP® Rabbit mAb.
undefined Image 22: Phospho-Akt Pathway Antibody Sampler Kit
Immunohistochemical analysis of paraffin-embedded PTEN heterozygous mutant mouse endometrium using Phospho-Akt (Ser473) (D9E) XP® Rabbit mAb. (Tissue section courtesy of Dr. Sabina Signoretti, Brigham and Women's Hospital, Harvard Medical School, Boston, MA.)
undefined Image 23: Phospho-Akt Pathway Antibody Sampler Kit
Confocal immunofluorescent analysis of C2C12 cells, LY294002-treated (left) or insulin-treated (right), using Akt (pan) (C67E7) Rabbit mAb (green). Actin filaments have been labeled with Alexa Fluor® 555 phalloidin (red). Blue pseudocolor = DRAQ5™ (fluorescent DNA dye).
undefined Image 24: Phospho-Akt Pathway Antibody Sampler Kit
Orders: 877-616-CELL (2355) [email protected] Support: 877-678-TECH (8324) [email protected] Web: cellsignal.com
For Research Use Only. Not for Use in Diagnostic Procedures.

Revision 1

Cell Signaling Technology Logo
Immunohistochemical analysis of paraffin-embedded MDA-MB-468 xenograft using Phospho-Akt (Ser473) (D9E) XP® Rabbit mAb (left) or PTEN (138G6) Rabbit mAb #9559 (right). Note the presence of P-Akt staining in the PTEN deficient MDA-MB-468 cells.
undefined Image 25: Phospho-Akt Pathway Antibody Sampler Kit
Immunohistochemical analysis of paraffin-embedded human breast carcinoma comparing SignalStain® Antibody Diluent #8112 (left) to TBST/5% normal goat serum (right) using Phospho-Akt (Ser473) (D9E) XP® Rabbit mAb #4060.
undefined Image 26: Phospho-Akt Pathway Antibody Sampler Kit
Immunohistochemical analysis of paraffin-embedded U-87MG xenograft, untreated (left) or lambda phosphatase-treated (right), using Phospho-Akt (Ser473) (D9E) XP® Rabbit mAb.
undefined Image 27: Phospho-Akt Pathway Antibody Sampler Kit
Orders: 877-616-CELL (2355) [email protected] Support: 877-678-TECH (8324) [email protected] Web: cellsignal.com
For Research Use Only. Not for Use in Diagnostic Procedures.

Revision 1

Cell Signaling Technology Logo
Immunohistochemical analysis using Phospho-Akt (Ser473) (D9E) XP® Rabbit mAb on SignalSlide® Phospho-Akt (Ser473) IHC Controls #8101 (paraffin-embedded LNCaP cells, untreated (left) or LY294002-treated (right)).
undefined Image 28: Phospho-Akt Pathway Antibody Sampler Kit
Confocal immunofluorescent analysis of C2C12 cells, LY294002-treated (left) or insulin-treated (right), using Phospho-Akt (Ser473) (D9E) XP® Rabbit mAb (green). Actin filaments have been labeled with Alexa Fluor® 555 phalloidin #8953 (red). Blue pseudocolor = DRAQ5®#4084 (fluorescent DNA dye).
undefined Image 29: Phospho-Akt Pathway Antibody Sampler Kit
Flow cytometric analysis of Jurkat cells, untreated (green) or treated with LY294002 #9901, Wortmannin #9951, and U0126 #9903 (50 μM, 1 μM, and 10 μM, 2 hr; blue) using Phospho-Akt (Ser473) (D9E) XP® Rabbit mAb (solid lines) or concentration-matched Rabbit (DA1E) mAb IgG XP® Isotype Control #3900 (dashed lines). Anti-rabbit IgG (H+L), F(ab')2 Fragment (Alexa Fluor® 488 Conjugate) #4412 was used as a secondary antibody.
undefined Image 30: Phospho-Akt Pathway Antibody Sampler Kit
Orders: 877-616-CELL (2355) [email protected] Support: 877-678-TECH (8324) [email protected] Web: cellsignal.com
For Research Use Only. Not for Use in Diagnostic Procedures.

Revision 1

Cell Signaling Technology Logo
Western blot analysis of extracts from MCF-7 cells, untreated (-) or treated with hIGF-1 (100 ng/ml, 10 min; +), using Akt (pan) (E7J2C) Mouse mAb #58295 (Panel A) and Phospho-Akt (Thr308) (D25E6) XP® Rabbit mAb #13038 (Panel B). Anti-mouse IgG (H+L) (DyLight 680 Conjugate) #5470 (red) and Anti-rabbit IgG (H+L) (DyLight 800 4X PEG Conjugate) #5151 (green) were used as secondary antibodies.
undefined Image 31: Phospho-Akt Pathway Antibody Sampler Kit
Simple Western™ analysis of lysates (0.1 mg/mL) from Jurkat cells treated with Calyculin A (100 uM, 30 min) using Phospho-Akt (Ser473) (D9E) XP® Rabbit mAb #4060. The virtual lane view (left) shows a single target band (as indicated) at 1:10 and 1:50 dilutions of primary antibody. The corresponding electropherogram view (right) plots chemiluminescence by molecular weight along the capillary at 1:10 (blue line) and 1:50 (green line) dilutions of primary antibody. This experiment was performed under reducing conditions on the Jess™ Simple Western instrument from ProteinSimple, a BioTechne brand, using the 12-230 kDa separation module.
undefined Image 32: Phospho-Akt Pathway Antibody Sampler Kit

Western blot analysis of extracts from various cell lines, untreated (-) or treated (+) as indicated with human insulin (100 nM, 20 min), mouse PDGF-BB (100 ng/ml, 20 min), or human Insulin-like Growth Factor I (hIGF-I) (100 ng/ml; 5 min), using Phospho-Akt (Ser473) (D9E) XP® Rabbit mAb (upper) or Akt (pan) (C67E7) Rabbit mAb #4691 (lower).

undefined Image 33: Phospho-Akt Pathway Antibody Sampler Kit
Orders: 877-616-CELL (2355) [email protected] Support: 877-678-TECH (8324) [email protected] Web: cellsignal.com
For Research Use Only. Not for Use in Diagnostic Procedures.

Revision 1

Cell Signaling Technology Logo
Western blot analysis of extracts from MCF-7 cells, untreated (-) or treated with hIGF-1 (100 ng/ml, 10 min; +), using Akt (pan) (E7J2C) Mouse mAb #58295 (Panel A) and Phospho-Akt (Ser473) (D9E) XP® Rabbit mAb #4060 (Panel B). Anti-mouse IgG (H+L) (DyLight 680 Conjugate) #5470 (red) and Anti-rabbit IgG (H+L) (DyLight 800 4X PEG Conjugate) #5151 (green) were used as secondary antibodies.
undefined Image 34: Phospho-Akt Pathway Antibody Sampler Kit
Flow cytometric analysis of Jurkat cells using Akt (pan) (C67E7) Rabbit mAb (solid line) compared to concentration-matched Rabbit (DA1E) mAb IgG XP® Isotype control #3900 (dashed line). Anti-rabbit IgG (H+L), F(ab')2 Fragment (Alexa Fluor® 488 Conjugate) #4412 was used as a secondary antibody.
undefined Image 35: Phospho-Akt Pathway Antibody Sampler Kit
Western blot analysis of extracts from various cell lines using Akt (pan) (C67E7) Rabbit mAb #4691
undefined Image 36: Phospho-Akt Pathway Antibody Sampler Kit
Orders: 877-616-CELL (2355) [email protected] Support: 877-678-TECH (8324) [email protected] Web: cellsignal.com
For Research Use Only. Not for Use in Diagnostic Procedures.

Revision 1

Cell Signaling Technology Logo
Immunoprecipitation of Akt from NIH/3T3 cell extracts. Lane 1 is 10% input, lane 2 is Rabbit (DA1E) mAb IgG XP® Isotype Control #3900, and lane 3 is Akt (pan) (C67E7) Rabbit mAb #4691. Western blot analysis was performed using Akt (pan) (40D4) Mouse mAb #2920.
undefined Image 37: Phospho-Akt Pathway Antibody Sampler Kit
Simple Western™ analysis of lysates (0.1 mg/mL) from PDGF-treated 3T3 cells using Phospho-GSK-3β (Ser9) (D85E12) XP® Rabbit mAb #5558. The virtual lane view (left) shows the target band (as indicated) at 1:50 and 1:250 dilutions of primary antibody. The corresponding electropherogram view (right) plots chemiluminescence by molecular weight along the capillary at 1:50 (blue line) and 1:250 (green line) dilutions of primary antibody. This experiment was performed under reducing conditions on the Jess™ Simple Western instrument from ProteinSimple, a BioTechne brand, using the 12-230 kDa separation module.
undefined Image 38: Phospho-Akt Pathway Antibody Sampler Kit
Immunoprecipitation of Phospho-PTEN (Ser380) from C6 cell extracts. Lane 1 is 10% input, lane 2 is Normal Rabbit IgG #2729, and lane 3 is Phospho-PTEN (Ser380) Antibody. Western blot analysis was performed using Phospho-PTEN (Ser380) Antibody. Mouse Anti-rabbit IgG (Conformation Specific) (L27A9) mAb #3678 was used as a secondary antibody.
undefined Image 39: Phospho-Akt Pathway Antibody Sampler Kit
Orders: 877-616-CELL (2355) [email protected] Support: 877-678-TECH (8324) [email protected] Web: cellsignal.com
For Research Use Only. Not for Use in Diagnostic Procedures.