Revision 1

#44463

Store at -20C

CST Logo
Orders:

877-616-CELL (2355)

[email protected]

Support:

877-678-TECH (8324)

3 Trask Lane | Danvers | Massachusetts | 01923 | USA

For Research Use Only. Not for Use in Diagnostic Procedures.

Applications:
W, IP

Reactivity:
H

Sensitivity:
Transfected Only

MW (kDa):
110-130, 125-140, 180-200

Source/Isotype:
Rabbit IgG

UniProt ID:
#Q06418, #P30530, #Q12866

Entrez-Gene Id:
7301, 558, 10461

Product Usage Information

Application Dilution
Western Blotting 1:1000
Immunoprecipitation 1:50

Storage

Supplied in 10 mM sodium HEPES (pH 7.5), 150 mM NaCl, 100 µg/ml BSA, 50% glycerol and less than 0.02% sodium azide. Store at –20°C. Do not aliquot the antibody.

Specificity/Sensitivity

Phospho-Axl (Tyr698)/Mer (Tyr749)/Tyro3 (Tyr681) (D6M4W) Rabbit Monoclonal Antibody detects immunoprecipitated or transfected levels of Axl/Mer/Tyro3 protein phosphorylated at Axl (Tyr698)/Mer (Tyr749)/Tyro3 (Tyr681). This antibody may cross-react with other phosphorylated tyrosine proteins.

Species predicted to react based on 100% sequence homology

Mouse, Rat

Source / Purification

Monoclonal antibody is produced by immunizing animals with synthetic phospho-peptides corresponding to residues surrounding Tyr698/Tyr749 of human Axl/Mer protein.

Background

Axl, Mer and Tyro3 are three members of the TAM family receptor tyrosine kinase that share a common NCAM (neural adhesion molecule)-related extracellular domain and a conserved intracellular tyrosine kinase domain. These receptors bind common homologous vitamin K dependent protein GAS6 and protein S to activate downstream signaling pathways (1). TAM family receptors are involved in the development of immune, nervous, vascular and reproductive systems, autoimmune disease, cancer drug resistance and tumor immunity response (2-5). Axl (Tyr698), Axl (Tyr702), Mer Tyr(749) and Tyro3 (Tyr681) are conserved autophosphorylation sites located in the activation loop of the respective tyrosine kinase domains. Phosphorylation at these sites is required for full kinase activation of each of the corresponding receptors (6,7).

Species Reactivity

Species reactivity is determined by testing in at least one approved application (e.g., western blot).

Western Blot Buffer

IMPORTANT: For western blots, incubate membrane with diluted primary antibody in 5% w/v BSA, 1X TBS, 0.1% Tween® 20 at 4°C with gentle shaking, overnight.

Applications Key

W: Western Blotting IP: Immunoprecipitation

Cross-Reactivity Key

H: Human

Trademarks and Patents

Cell Signaling Technology is a trademark of Cell Signaling Technology, Inc.

All other trademarks are the property of their respective owners. Visit cellsignal.com/trademarks for more information.

Limited Uses

Except as otherwise expressly agreed in a writing signed by a legally authorized representative of CST, the following terms apply to Products provided by CST, its affiliates or its distributors. Any Customer's terms and conditions that are in addition to, or different from, those contained herein, unless separately accepted in writing by a legally authorized representative of CST, are rejected and are of no force or effect.

Products are labeled with For Research Use Only or a similar labeling statement and have not been approved, cleared, or licensed by the FDA or other regulatory foreign or domestic entity, for any purpose. Customer shall not use any Product for any diagnostic or therapeutic purpose, or otherwise in any manner that conflicts with its labeling statement. Products sold or licensed by CST are provided for Customer as the end-user and solely for research and development uses. Any use of Product for diagnostic, prophylactic or therapeutic purposes, or any purchase of Product for resale (alone or as a component) or other commercial purpose, requires a separate license from CST. Customer shall (a) not sell, license, loan, donate or otherwise transfer or make available any Product to any third party, whether alone or in combination with other materials, or use the Products to manufacture any commercial products, (b) not copy, modify, reverse engineer, decompile, disassemble or otherwise attempt to discover the underlying structure or technology of the Products, or use the Products for the purpose of developing any products or services that would compete with CST products or services, (c) not alter or remove from the Products any trademarks, trade names, logos, patent or copyright notices or markings, (d) use the Products solely in accordance with CST Product Terms of Sale and any applicable documentation, and (e) comply with any license, terms of service or similar agreement with respect to any third party products or services used by Customer in connection with the Products.

Orders: 877-616-CELL (2355) [email protected] Support: 877-678-TECH (8324) [email protected] Web: cellsignal.com
For Research Use Only. Not for Use in Diagnostic Procedures.

Revision 1

Cell Signaling Technology Logo
Western blot analysis of extracts from NCI-H1299 and SK-MEL-5 cells, untreated (-) or treated with GAS6 (400 ng/ml) and H2O2 (4 mM) for 10 min, using Phospho-Axl (Tyr698)/Mer (Tyr749)/Tyro3 (Tyr681) (D6M4W) Rabbit mAb (upper) and Axl (C89E7) Rabbit mAb #8661 (lower 1), Mer (D21F11) XP® Rabbit mAb #4319 (lower 2), and Tyro3 (D38C6) Rabbit mAb #5585 (lower 3).
Western Blotting Image 1: Phospho-Axl (Tyr698)/Mer (Tyr749)/Tyro3 (Tyr681) (D6M4W) Rabbit Monoclonal Antibody
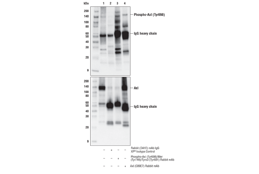
Immunoprecipitation of Phospho-Axl (Tyr698) protein from NCI-H1299 cells treated with GAS6 (400 ng/ml) and H2O2 (4 mM) for 10 min. Lane 1 is 10% input, lane 2 is Rabbit (DA1E) mAb IgG XP® Isotype Control #3900, lane 3 is Phospho-Axl (Tyr698)/Mer (Tyr749)/Tyro3 (Tyr681) Rabbit mAb, and lane 4 is Axl (C89E7) Rabbit mAb #8661. Western blot analysis was performed using Phospho-Axl (Tyr698)/Mer (Tyr749)/Tyro3 (Tyr681) Rabbit mAb (upper) and Axl (C89E7) Rabbit mAb #8661 (lower). Anti-rabbit IgG, HRP-linked Antibody #7074 was used as secondary antibody.
Immunoprecipitation Image 1: Phospho-Axl (Tyr698)/Mer (Tyr749)/Tyro3 (Tyr681) (D6M4W) Rabbit Monoclonal Antibody
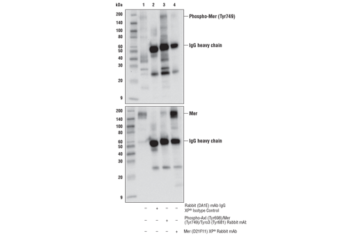
Immunoprecipitation of Phospho-Mer (Tyr749) protein from SK-MEL-5 cells treated with GAS6 (400 ng/ml) and H2O2 (4 mM) for 10 min. Lane 1 is 10% input, lane 2 is Rabbit (DA1E) mAb IgG XP® Isotype Control #3900, lane 3 is Phospho-Axl (Tyr698)/Mer (Tyr749)/Tyro3 (Tyr681) Rabbit mAb, and lane 4 is Mer(D21F11) XP® Rabbit mAb #4319. Western blot analysis was performed using Phospho-Axl (Tyr698)/Mer (Tyr749)/Tyro3 (Tyr681) Rabbit mAb (upper) and Mer (D21F11) XP® Rabbit mAb #4319 (lower). Anti-rabbit IgG, HRP-linked Antibody #7074 was used as secondary antibody.
Immunoprecipitation Image 2: Phospho-Axl (Tyr698)/Mer (Tyr749)/Tyro3 (Tyr681) (D6M4W) Rabbit Monoclonal Antibody
Orders: 877-616-CELL (2355) [email protected] Support: 877-678-TECH (8324) [email protected] Web: cellsignal.com
For Research Use Only. Not for Use in Diagnostic Procedures.

Revision 1

Cell Signaling Technology Logo
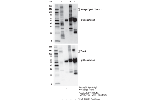
Immunoprecipitation of Phospho-Tyro3 (Tyr681) protein from SK-MEL-5 cells treated with GAS6 (400 ng/ml) and H2O2 (4 mM) for 10 min. Lane 1 is 10% input, lane 2 is Rabbit (DA1E) mAb IgG XP® Isotype Control #3900, lane 3 is Phospho-Axl (Tyr698)/Mer (Tyr749)/Tyro3 (Tyr681) Rabbit mAb, and lane 4 is Tyro 3 (D38C6) Rabbit mAb #5585. Western blot analysis was performed using Phospho-Axl (Tyr698)/Mer (Tyr749)/Tyro3 (Tyr681) Rabbit mAb (upper) and Tyro3 (D38C6) Rabbit mAb #5585 (lower). Anti-rabbit IgG, HRP-linked Antibody #7074 was used as secondary antibody.
Immunoprecipitation Image 3: Phospho-Axl (Tyr698)/Mer (Tyr749)/Tyro3 (Tyr681) (D6M4W) Rabbit Monoclonal Antibody
Orders: 877-616-CELL (2355) [email protected] Support: 877-678-TECH (8324) [email protected] Web: cellsignal.com
For Research Use Only. Not for Use in Diagnostic Procedures.