Revision 1

#35718

Store at -20C

CST Logo
Orders:

877-616-CELL (2355)

[email protected]

Support:

877-678-TECH (8324)

3 Trask Lane | Danvers | Massachusetts | 01923 | USA

For Research Use Only. Not for Use in Diagnostic Procedures.

Applications:
W, IP

Reactivity:
H

Sensitivity:
Endogenous

MW (kDa):
50

Source/Isotype:
Rabbit

UniProt ID:
#P11912

Entrez-Gene Id:
973

Product Usage Information

Application Dilution
Western Blotting 1:1000
Immunoprecipitation 1:50

Storage

Supplied in 10 mM sodium HEPES (pH 7.5), 150 mM NaCl, 100 µg/ml BSA and 50% glycerol. Store at –20°C. Do not aliquot the antibody.

Specificity/Sensitivity

Phospho-CD79A (Tyr210) Antibody recognizes endogenous levels of CD79A protein only when phosphorylated at Tyr210.

Species predicted to react based on 100% sequence homology

Bovine, Dog

Source / Purification

Polyclonal antibodies are produced by immunizing animals with a synthetic phosphopeptide corresponding to residues surrounding Tyr210 of human CD79A protein. Antibodies are purified by peptide affinity chromatography.

Background

Antigen receptors found on the surface of B cells contain a heterodimeric signaling component composed of CD79A and CD79B, also known as Ig α and Ig β, respectively (1,2). Presence of this receptor complex is essential for B cell development and function (3). Together these two proteins and the associated B cell receptor (BCR) initiate intracellular signaling following antigen binding (4,5). An immunoreceptor tyrosine-based activation motif (ITAM) found in the CD79A intracellular region appears to be important for its function (6). Antigen binding precedes formation of the CD79A and CD79B heterodimer and subsequent activation of receptor associated kinases (7). Research has shown that CD79A is a marker for B-lineage lymphoblastic leukemia (8). Additionally, investigators have found that mutations in the CD79A (MB1) gene are associated with abnormally low levels of functional B cell receptors in some cases of chronic B cell lymphocytic leukemia (9).
Tyrosine 210 is an evolutionarily conserved non-ITAM tyrosine residue that lies within the cytoplasmic domain of CD79A/Ig-alpha. Research studies have shown that ligation of the B cell receptor (BCR) induces phosphorylation of tyrosine 210, which facilitates both the recruitment of BLNK to the BCR signaling complex and the activation of downstream Syk-dependent signaling (10,11). Collectively, these molecular events drive B cell activation and proliferation (12).

Species Reactivity

Species reactivity is determined by testing in at least one approved application (e.g., western blot).

Western Blot Buffer

IMPORTANT: For western blots, incubate membrane with diluted primary antibody in 5% w/v BSA, 1X TBS, 0.1% Tween® 20 at 4°C with gentle shaking, overnight.

Applications Key

W: Western Blotting IP: Immunoprecipitation

Cross-Reactivity Key

H: Human

Trademarks and Patents

Cell Signaling Technology is a trademark of Cell Signaling Technology, Inc.

All other trademarks are the property of their respective owners. Visit cellsignal.com/trademarks for more information.

Limited Uses

Except as otherwise expressly agreed in a writing signed by a legally authorized representative of CST, the following terms apply to Products provided by CST, its affiliates or its distributors. Any Customer's terms and conditions that are in addition to, or different from, those contained herein, unless separately accepted in writing by a legally authorized representative of CST, are rejected and are of no force or effect.

Products are labeled with For Research Use Only or a similar labeling statement and have not been approved, cleared, or licensed by the FDA or other regulatory foreign or domestic entity, for any purpose. Customer shall not use any Product for any diagnostic or therapeutic purpose, or otherwise in any manner that conflicts with its labeling statement. Products sold or licensed by CST are provided for Customer as the end-user and solely for research and development uses. Any use of Product for diagnostic, prophylactic or therapeutic purposes, or any purchase of Product for resale (alone or as a component) or other commercial purpose, requires a separate license from CST. Customer shall (a) not sell, license, loan, donate or otherwise transfer or make available any Product to any third party, whether alone or in combination with other materials, or use the Products to manufacture any commercial products, (b) not copy, modify, reverse engineer, decompile, disassemble or otherwise attempt to discover the underlying structure or technology of the Products, or use the Products for the purpose of developing any products or services that would compete with CST products or services, (c) not alter or remove from the Products any trademarks, trade names, logos, patent or copyright notices or markings, (d) use the Products solely in accordance with CST Product Terms of Sale and any applicable documentation, and (e) comply with any license, terms of service or similar agreement with respect to any third party products or services used by Customer in connection with the Products.

Orders: 877-616-CELL (2355) [email protected] Support: 877-678-TECH (8324) [email protected] Web: cellsignal.com
For Research Use Only. Not for Use in Diagnostic Procedures.

Revision 1

Cell Signaling Technology Logo
Western blot analysis of extracts from serum-starved Ramos cells, untreated (-) or treated with anti-human IgM (12 µg/ml,10 min; +), using Phospho-CD79A (Tyr210) Antibody (upper), CD79A (D1X5C) XP® Rabbit mAb #13333 (middle), and β-Actin (D6A8) Rabbit mAb #8457 (lower).
Western Blotting Image 1: Phospho-CD79A (Tyr210) Antibody
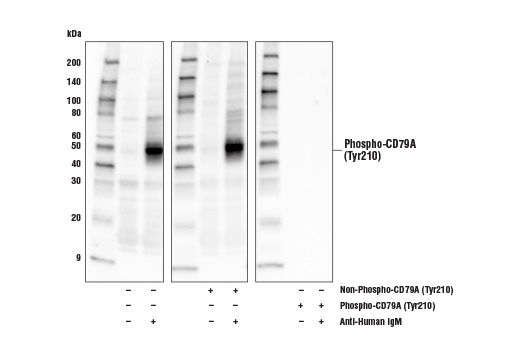
Western blot analysis of extracts from serum-starved Ramos cells, untreated (-) or treated with anti-human IgM (12 µg/ml, 10 min; +), using Phospho-CD79A (Tyr210) Antibody. The phospho-specificity of the antibody was verified by pre-incubating the antibody with no peptide (left), CD79A (Tyr210) non-phosphopeptide (middle), and CD79A (Tyr210) phosphopeptide (right).
Western Blotting Image 2: Phospho-CD79A (Tyr210) Antibody
Immunoprecipitation of Phospho-CD79A (Tyr210) protein from serum-starved Ramos cell extracts treated with anti-human IgM (12 µg/ml, 10 min). Lane 1 is 10% input, lane 2 is Normal Rabbit IgG #2729, and lane 3 is Phospho-CD79A (Tyr210) Antibody. Western blot analysis was performed using Phospho-CD79A (Tyr210) Antibody. Mouse Anti-rabbit IgG (Conformation Specific) (L27A9) mAb (HRP Conjugate) #5127 was used as a secondary antibody.
Immunoprecipitation Image 1: Phospho-CD79A (Tyr210) Antibody
Orders: 877-616-CELL (2355) [email protected] Support: 877-678-TECH (8324) [email protected] Web: cellsignal.com
For Research Use Only. Not for Use in Diagnostic Procedures.