Phospho-CD79A (Tyr210) Antibody #35718
- WB
- IP
Product Specifications
| REACTIVITY | H |
| SENSITIVITY | Endogenous |
| MW (kDa) | 50 |
| SOURCE | Rabbit |
Application Key:
- WB-Western Blotting
- IP-Immunoprecipitation
Species Cross-Reactivity Key:
- H-Human
Product Information
Product Usage Information
| Application | Dilution |
|---|---|
| Western Blotting | 1:1000 |
| Immunoprecipitation | 1:50 |
Storage
Protocol
Specificity / Sensitivity
Species Reactivity:
The antigen sequence used to produce this antibody shares 100% sequence homology with the species listed here, but reactivity has not been tested or confirmed to work by CST. Use of this product with these species is not covered under our Product Performance Guarantee.
Species predicted to react based on 100% sequence homology:
Source / Purification
Background
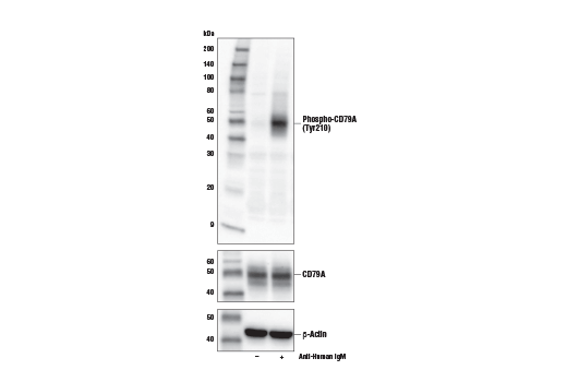
Tyrosine 210 is an evolutionarily conserved non-ITAM tyrosine residue that lies within the cytoplasmic domain of CD79A/Ig-alpha. Research studies have shown that ligation of the B cell receptor (BCR) induces phosphorylation of tyrosine 210, which facilitates both the recruitment of BLNK to the BCR signaling complex and the activation of downstream Syk-dependent signaling (10,11). Collectively, these molecular events drive B cell activation and proliferation (12).
- van Noesel, C.J. et al. (1991) J Immunol 146, 3881-8.
- Minegishi, Y. et al. (1999) J Clin Invest 104, 1115-21.
- Yu, L.M. and Chang, T.W. (1992) J Immunol 148, 633-7.
- Storch, B. et al. (2007) Eur J Immunol 37, 252-60.
- Mason, D.Y. et al. (1995) Blood 86, 1453-9.
- Luisiri, P. et al. (1996) J Biol Chem 271, 5158-63.
- Pike, K.A. et al. (2004) J Immunol 172, 2210-8.
- Astsaturov, I.A. et al. (1996) Leukemia 10, 769-73.
- Vuillier, F. et al. (2005) Blood 105, 2933-40.
- Engels, N. et al. (2001) Eur J Immunol 31, 2126-34.
- Kabak, S. et al. (2002) Mol Cell Biol 22, 2524-35.
- Patterson, H.C. et al. (2006) Immunity 25, 55-65.
Alternate Names
B-cell antigen receptor complex-associated protein alpha chain; CD79A; CD79A antigen; CD79a antigen (immunoglobulin-associated alpha); CD79a molecule; CD79a molecule, immunoglobulin-associated alpha; Ig-alpha; IGA; MB-1; MB-1 membrane glycoprotein; MB1; Membrane-bound immunoglobulin-associated protein; Surface IgM-associated protein
Limited Uses
Except as otherwise expressly agreed in a writing signed by a legally authorized representative of CST, the following terms apply to Products provided by CST, its affiliates or its distributors. Any Customer's terms and conditions that are in addition to, or different from, those contained herein, unless separately accepted in writing by a legally authorized representative of CST, are rejected and are of no force or effect.
Products are labeled with For Research Use Only or a similar labeling statement and have not been approved, cleared, or licensed by the FDA or other regulatory foreign or domestic entity, for any purpose. Customer shall not use any Product for any diagnostic or therapeutic purpose, or otherwise in any manner that conflicts with its labeling statement. Products sold or licensed by CST are provided for Customer as the end-user and solely for research and development uses. Any use of Product for diagnostic, prophylactic or therapeutic purposes, or any purchase of Product for resale (alone or as a component) or other commercial purpose, requires a separate license from CST. Customer shall (a) not sell, license, loan, donate or otherwise transfer or make available any Product to any third party, whether alone or in combination with other materials, or use the Products to manufacture any commercial products, (b) not copy, modify, reverse engineer, decompile, disassemble or otherwise attempt to discover the underlying structure or technology of the Products, or use the Products for the purpose of developing any products or services that would compete with CST products or services, (c) not alter or remove from the Products any trademarks, trade names, logos, patent or copyright notices or markings, (d) use the Products solely in accordance with CST Product Terms of Sale and any applicable documentation, and (e) comply with any license, terms of service or similar agreement with respect to any third party products or services used by Customer in connection with the Products.