Revision 1

#8338

Store at -20C

CST Logo
Orders:

877-616-CELL (2355)

[email protected]

Support:

877-678-TECH (8324)

3 Trask Lane | Danvers | Massachusetts | 01923 | USA

For Research Use Only. Not for Use in Diagnostic Procedures.

Product Includes Product # Quantity Mol. Wt Isotype/Source
Phospho-IGF-I Receptor beta (Tyr1135) (DA7A8) Rabbit Monoclonal Antibody391820 µl95 kDaRabbit IgG
Phospho-IGF-I Receptor beta (Tyr1131)/Insulin Receptor beta (Tyr1146) Antibody302120 µl95 kDaRabbit
Phospho-IGF-I Receptor beta (Tyr1135/1136)/Insulin Receptor beta (Tyr1150/1151) (19H7) Rabbit Monoclonal Antibody302420 µl95 kDaRabbit IgG
Phospho-IGF-I Receptor beta (Tyr980) (C14A11) Rabbit Monoclonal Antibody456820 µl95 kDaRabbit IgG
Insulin Receptor beta (4B8) Rabbit Monoclonal Antibody302520 µl95 kDaRabbit IgG
IGF-I Receptor beta (D23H3) Rabbit Monoclonal Antibody975020 µl95 kDaRabbit IgG
Anti-rabbit IgG, HRP-linked Antibody7074100 µlGoat

Please visit cellsignal.com for individual component applications, species cross-reactivity, dilutions, protocols, and additional product information.

Description

The Phospho-Insulin/IGF Receptor Antibody Sampler Kit provides an economical means of evaluating total Insulin Receptor and IGF-I Receptor β protein levels as well as Insulin and IGF-I Receptor β phosphorylated at specific sites. The kit includes enough antibody to perform two western blot experiments with each primary antibody.

Storage

Supplied in 10 mM sodium HEPES (pH 7.5), 150 mM NaCl, 100 µg/ml BSA, 50% glycerol and less than 0.02% sodium azide. Store at –20°C. Do not aliquot the antibody.

Background

Type I insulin-like growth factor receptor (IGF-IR) is a transmembrane receptor tyrosine kinase that is widely expressed in many cell lines and cell types within fetal and postnatal tissues (1-3). Receptor autophosphorylation follows binding of the IGF-I and IGF-II ligands. Three tyrosine residues within the kinase domain (Tyr1131, Tyr1135, and Tyr1136) are the earliest major autophosphorylation sites (4). Phosphorylation of these three tyrosine residues is necessary for kinase activation (5,6). Insulin receptors (IRs) share significant structural and functional similarity with IGF-I receptors, including the presence of an equivalent tyrosine cluster (Tyr1146/1150/1151) within the kinase domain activation loop. Tyrosine autophosphorylation of IRs is one of the earliest cellular responses to insulin stimulation (7). Autophosphorylation begins with phosphorylation at Tyr1146 and either Tyr1150 or Tyr1151, while full kinase activation requires triple tyrosine phosphorylation (8).

Trademarks and Patents

Cell Signaling Technology is a trademark of Cell Signaling Technology, Inc.

U.S. Patent No. 7,429,487, foreign equivalents, and child patents deriving therefrom.

All other trademarks are the property of their respective owners. Visit cellsignal.com/trademarks for more information.

Limited Uses

Except as otherwise expressly agreed in a writing signed by a legally authorized representative of CST, the following terms apply to Products provided by CST, its affiliates or its distributors. Any Customer's terms and conditions that are in addition to, or different from, those contained herein, unless separately accepted in writing by a legally authorized representative of CST, are rejected and are of no force or effect.

Products are labeled with For Research Use Only or a similar labeling statement and have not been approved, cleared, or licensed by the FDA or other regulatory foreign or domestic entity, for any purpose. Customer shall not use any Product for any diagnostic or therapeutic purpose, or otherwise in any manner that conflicts with its labeling statement. Products sold or licensed by CST are provided for Customer as the end-user and solely for research and development uses. Any use of Product for diagnostic, prophylactic or therapeutic purposes, or any purchase of Product for resale (alone or as a component) or other commercial purpose, requires a separate license from CST. Customer shall (a) not sell, license, loan, donate or otherwise transfer or make available any Product to any third party, whether alone or in combination with other materials, or use the Products to manufacture any commercial products, (b) not copy, modify, reverse engineer, decompile, disassemble or otherwise attempt to discover the underlying structure or technology of the Products, or use the Products for the purpose of developing any products or services that would compete with CST products or services, (c) not alter or remove from the Products any trademarks, trade names, logos, patent or copyright notices or markings, (d) use the Products solely in accordance with CST Product Terms of Sale and any applicable documentation, and (e) comply with any license, terms of service or similar agreement with respect to any third party products or services used by Customer in connection with the Products.

Orders: 877-616-CELL (2355) [email protected] Support: 877-678-TECH (8324) [email protected] Web: cellsignal.com
For Research Use Only. Not for Use in Diagnostic Procedures.

Revision 1

Cell Signaling Technology Logo
Immunoprecipitation of phospho-IGF-I Receptor β (Tyr1131)/Insulin Receptor β (Tyr1146) protein from MCF-7 cell/tissue extracts. Cells were treated with hIGF-I, (100ng/ml, 20 minutes).  Lane 1 is 10% input, lane 2 is Normal Rabbit IgG #2729, and lane 3 is Phospho-IGF-I Receptor β (Tyr1131)/Insulin Receptor β (Tyr1146) Antibody. Western blot analysis was performed using Phospho-IGF-I Receptor β (Tyr1131)/Insulin Receptor β (Tyr1146) Antibody. Anti-rabbit IgG, HRP-linked Antibody #7074 was used as a secondary antibody.
undefined Image 1: Phospho-Insulin/IGF Receptor Antibody Sampler Kit
Western blot analysis of HeLa cells, untreated (-), or treated (+) as indicated with human insulin (100ng/mL, 10 minutes), NIH/3T3 cells, untreated (-) or treated (+) as indicated with human insulin (150ng/mL, 5 minutes), and C6 cells, untreated (-) or treated (+) as indicated with human insulin (100ng/mL, 20 minutes) using Phospho-IGF-I Receptor beta (Tyr1131)/Insulin Receptor beta (Tyr1146) Antibody (upper), IGF-I Receptor beta (D23H3) Rabbit Monoclonal Antibody #9750 (middle), or GAPDH (D16H11) Rabbit Monoclonal Antibody #5174 (lower).
undefined Image 2: Phospho-Insulin/IGF Receptor Antibody Sampler Kit
Western blot analysis of untreated and IGF-treated Hela cell extracts as well as untreated and insulin-treated H-4-II-E cell extracts using Phospho-IGF-I-Receptor beta (Tyr1135/1136)/Insulin Receptor beta (Tyr1150/1151)(19H7) Rabbit mAb
undefined Image 3: Phospho-Insulin/IGF Receptor Antibody Sampler Kit
Orders: 877-616-CELL (2355) [email protected] Support: 877-678-TECH (8324) [email protected] Web: cellsignal.com
For Research Use Only. Not for Use in Diagnostic Procedures.

Revision 1

Cell Signaling Technology Logo
Western blot analysis of extracts from various cell lines using Insulin Receptor β (4B8) Rabbit mAb.
undefined Image 4: Phospho-Insulin/IGF Receptor Antibody Sampler Kit
Western blot analysis of extracts from MCF7 cells, untreated or stimulated with IGF-I, using Phospho-IGF-I Receptor β (Tyr1135) (DA7A8) Rabbit mAb (upper) and IGF-I Receptor β Antibody #3027 (lower).
undefined Image 5: Phospho-Insulin/IGF Receptor Antibody Sampler Kit
Western blot analysis of extracts from MCF-7 cells, untreated or IGF-I-treated, using Phospho-IGF-I Receptor β (Tyr980) (C14A11) Rabbit mAb (upper) and IGF-I Receptor β (111A9) Rabbit mAb #3018 (lower).
undefined Image 6: Phospho-Insulin/IGF Receptor Antibody Sampler Kit
Orders: 877-616-CELL (2355) [email protected] Support: 877-678-TECH (8324) [email protected] Web: cellsignal.com
For Research Use Only. Not for Use in Diagnostic Procedures.

Revision 1

Cell Signaling Technology Logo
After the primary antibody is bound to the target protein, a complex with HRP-linked secondary antibody is formed. The LumiGLO® is added and emits light during enzyme catalyzed decomposition.
undefined Image 7: Phospho-Insulin/IGF Receptor Antibody Sampler Kit
Western blot analysis of extracts from 293 (IGF-I receptor β+) and SK-UT-1 (IGF-I receptor β-) cells using IGF-I Receptor β (D23H3) XP® Rabbit mAb (upper) or β-Actin Antibody #4967 (lower).
undefined Image 8: Phospho-Insulin/IGF Receptor Antibody Sampler Kit
Western blot analysis of extracts from 3T3-L1 adipocytes, untreated or insulin-treated (100 nM for the indicated times), using Phospho-IGF-I Receptor β (Tyr1131)/Insulin Receptor β (Tyr1146) Antibody (upper) or control IR antibody (lower).
undefined Image 9: Phospho-Insulin/IGF Receptor Antibody Sampler Kit
Orders: 877-616-CELL (2355) [email protected] Support: 877-678-TECH (8324) [email protected] Web: cellsignal.com
For Research Use Only. Not for Use in Diagnostic Procedures.

Revision 1

Cell Signaling Technology Logo
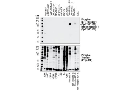
Phospho-IGF-I Receptor

β (Tyr1135/1136)/Insulin Receptor β (Tyr1150/1151) (19H7) Rabbit mAb specifically binds to tyrosine phosphorylated IGF-1 and insulin receptors, but not other phosphorylated tyrosine kinases. Western blot analysis of of extracts from cells expressing different activated tyrosine kinase proteins, using Phospho-IGF-I Receptor β (Tyr1135/1136)/Insulin Receptor β(Tyr1150/1151) (19H7) Rabbit mAb (upper) or Phospho-Tyrosine Mouse mAb (P-Tyr-100) #9411 (lower).

undefined Image 10: Phospho-Insulin/IGF Receptor Antibody Sampler Kit
Immunprecipitation of Insulin Receptor beta from insulin treated mIMCD-3 cell extracts using Insulin Receptor beta antibody (Lane 1) Lane 2: No antibody control. Lane 3: Input control.
undefined Image 11: Phospho-Insulin/IGF Receptor Antibody Sampler Kit
Confocal immunofluorescent analysis of MCF7 (left) and SK-UT-1 (right) cells using IGF-I Receptor β (D23H3) XP® Rabbit mAb (green). Blue pseudocolor = DRAQ5® #4084 (fluorescent DNA dye).
undefined Image 12: Phospho-Insulin/IGF Receptor Antibody Sampler Kit
Orders: 877-616-CELL (2355) [email protected] Support: 877-678-TECH (8324) [email protected] Web: cellsignal.com
For Research Use Only. Not for Use in Diagnostic Procedures.

Revision 1

Cell Signaling Technology Logo
Western blot analysis of extracts from 293 cells, untreated or IGF-I-treated (100 nM for 2 minutes), using Phospho-IGF-I Receptor β (Tyr1131)/Insulin Receptor β (Tyr1146) Antibody (upper) or control IGF-I Receptor antibody (lower).
undefined Image 13: Phospho-Insulin/IGF Receptor Antibody Sampler Kit
Flow cytometric analysis of fixed and permeabilized SK-UT-1 cells (blue, negative) and MCF7 cells (green, positive) using IGF-I Receptor β (D23H3) XP® Rabbit mAb (solid lines) or a concentration-matched Rabbit (DA1E) mAb IgG XP® Isotype Control #3900 (dashed lines). Anti-rabbit IgG (H+L), F(ab')2 Fragment (Alexa Fluor® 488 Conjugate) #4412 was used as a secondary antibody.
undefined Image 14: Phospho-Insulin/IGF Receptor Antibody Sampler Kit
Simple Western™ analysis of lysates (0.1 mg/mL) from Hela + IGF cells using Phospho-IGF-I Receptor β (Tyr1135/1136)/Insulin Receptor β (Tyr1150/1151) (19H7) Rabbit mAb #3024. The virtual lane view (left) shows a single target band (as indicated) at 1:10 and 1:50 dilutions of primary antibody. The corresponding electropherogram view (right) plots chemiluminescence by molecular weight along the capillary at 1:10 (blue line) and 1:50 (green line) dilutions of primary antibody. This experiment was performed under reducing conditions on the Jess™ Simple Western instrument from ProteinSimple, a BioTechne brand, using the 66-440 kDa separation module.
undefined Image 15: Phospho-Insulin/IGF Receptor Antibody Sampler Kit
Orders: 877-616-CELL (2355) [email protected] Support: 877-678-TECH (8324) [email protected] Web: cellsignal.com
For Research Use Only. Not for Use in Diagnostic Procedures.

Revision 1

Cell Signaling Technology Logo
Simple Western™ analysis of lysates (0.1 mg/mL) from HCT116 cells using Insulin Receptor β (4B8) Rabbit mAb #3025. The virtual lane view (left) shows the target band (as indicated) at 1:10 and 1:50 dilutions of primary antibody. The corresponding electropherogram view (right) plots chemiluminescence by molecular weight along the capillary at 1:10 (blue line) and 1:50 (green line) dilutions of primary antibody. This experiment was performed under reducing conditions on the Jess™ Simple Western instrument from ProteinSimple, a BioTechne brand, using the 12-230 kDa separation module.
undefined Image 16: Phospho-Insulin/IGF Receptor Antibody Sampler Kit
Immunoprecipitation of IGF-I Receptor β protein from HeLa cell extracts. Lane 1 is 10% input, lane 2 is Rabbit (DA1E) mAb IgG XP® Isotype Control #3900, and lane 3 is IGF-I Receptor β (D23H3) XP® Rabbit mAb. Western blot analysis was performed using IGF-I Receptor β (D23H3) XP® Rabbit mAb. Anti-rabbit IgG, HRP-linked Antibody #7074 was used as a secondary antibody.
undefined Image 17: Phospho-Insulin/IGF Receptor Antibody Sampler Kit
Orders: 877-616-CELL (2355) [email protected] Support: 877-678-TECH (8324) [email protected] Web: cellsignal.com
For Research Use Only. Not for Use in Diagnostic Procedures.