Revision 1

#9912

Store at -20C

CST Logo
Orders:

877-616-CELL (2355)

[email protected]

Support:

877-678-TECH (8324)

3 Trask Lane | Danvers | Massachusetts | 01923 | USA

For Research Use Only. Not for Use in Diagnostic Procedures.

Product Includes Product # Quantity Mol. Wt Isotype/Source
Phospho-SAPK/JNK (Thr183/Tyr185) (81E11) Rabbit Monoclonal Antibody466820 µl46, 54 kDaRabbit IgG
Phospho-SEK1/MKK4 (Ser257) (C36C11) Rabbit Monoclonal Antibody451420 µl44 kDaRabbit
Phospho-c-Jun (Ser63) (54B3) Rabbit Monoclonal Antibody236120 µl48 kDaRabbit IgG
Anti-rabbit IgG, HRP-linked Antibody7074100 µlGoat
Phospho-ATF-2 (Thr71)/ATF-7 (Thr53) (A8J7P) Rabbit Monoclonal Antibody1541120 µl65,75 kDaRabbit IgG

Please visit cellsignal.com for individual component applications, species cross-reactivity, dilutions, protocols, and additional product information.

Description

The Phospho-SAPK/JNK Pathway Antibody Sampler Kit provides a fast and economical means of evaluating multiple members of the SAPK/JNK pathway as well as their activation state. The kit contains enough primary and secondary antibodies to perform two Western blot experiments.

Storage

Supplied in 10 mM sodium HEPES (pH 7.5), 150 mM NaCl, 100 µg/ml BSA, 50% glycerol and less than 0.02% sodium azide. Store at –20°C. Do not aliquot the antibody.

Background

The stress-activated protein kinase/Jun-amino-terminal kinase SAPK/JNK is potently and preferentially activated by a variety of environmental stresses, including UV and gamma radiation, ceramides, inflammatory cytokines, and in some instances, growth factors and GPCR agonists (1-6). As with the other MAPKs, the core signaling unit is composed of a MAPKKK, typically MEKK1-MEKK4, or by one of the mixed lineage kinases (MLKs), which phosphorylate and activate MKK4/7. Upon activation, MKKs phosphorylate and activate the SAPK/JNK kinase (2). Stress signals are delivered to this cascade by small GTPases of the Rho family (Rac, Rho, cdc42) (3). Both Rac1 and cdc42 mediate the stimulation of MEKKs and MLKs (3). Alternatively, MKK4/7 can be activated in a GTPase-independent mechanism via stimulation of a germinal center kinase (GCK) family member (4). There are three SAPK/JNK genes each of which undergoes alternative splicing, resulting in numerous isoforms (3). SAPK/JNK, when active as a dimer, can translocate to the nucleus and regulate transcription through its effects on c-Jun, ATF-2, and other transcription factors (3,5).

Trademarks and Patents

Cell Signaling Technology is a trademark of Cell Signaling Technology, Inc.

All other trademarks are the property of their respective owners. Visit cellsignal.com/trademarks for more information.

Limited Uses

Except as otherwise expressly agreed in a writing signed by a legally authorized representative of CST, the following terms apply to Products provided by CST, its affiliates or its distributors. Any Customer's terms and conditions that are in addition to, or different from, those contained herein, unless separately accepted in writing by a legally authorized representative of CST, are rejected and are of no force or effect.

Products are labeled with For Research Use Only or a similar labeling statement and have not been approved, cleared, or licensed by the FDA or other regulatory foreign or domestic entity, for any purpose. Customer shall not use any Product for any diagnostic or therapeutic purpose, or otherwise in any manner that conflicts with its labeling statement. Products sold or licensed by CST are provided for Customer as the end-user and solely for research and development uses. Any use of Product for diagnostic, prophylactic or therapeutic purposes, or any purchase of Product for resale (alone or as a component) or other commercial purpose, requires a separate license from CST. Customer shall (a) not sell, license, loan, donate or otherwise transfer or make available any Product to any third party, whether alone or in combination with other materials, or use the Products to manufacture any commercial products, (b) not copy, modify, reverse engineer, decompile, disassemble or otherwise attempt to discover the underlying structure or technology of the Products, or use the Products for the purpose of developing any products or services that would compete with CST products or services, (c) not alter or remove from the Products any trademarks, trade names, logos, patent or copyright notices or markings, (d) use the Products solely in accordance with CST Product Terms of Sale and any applicable documentation, and (e) comply with any license, terms of service or similar agreement with respect to any third party products or services used by Customer in connection with the Products.

Orders: 877-616-CELL (2355) [email protected] Support: 877-678-TECH (8324) [email protected] Web: cellsignal.com
For Research Use Only. Not for Use in Diagnostic Procedures.

Revision 1

Cell Signaling Technology Logo
Western blot analysis of extracts from NIH/3T3 cells, untreated (-) or treated with Anisomycin (25 μg/ml, 30 min; +), using Phospho-ATF-2 (Thr71)/ATF-7 (Thr53) (A8J7P) Rabbit mAb (upper), ATF-2/ATF-7 (A9G1M) Rabbit mAb #82870 (middle), or β-Actin (D6A8) Rabbit mAb #8457 (lower)
undefined Image 1: Phospho-SAPK/JNK Pathway Antibody Sampler Kit
Western blot analysis of extracts from various cell lines, untreated or treated with sorbitol or UV, as indicated, using Phospho-SEK1/MKK4 (Ser257) (C36C11) Rabbit mAb.
undefined Image 2: Phospho-SAPK/JNK Pathway Antibody Sampler Kit
After the primary antibody is bound to the target protein, a complex with HRP-linked secondary antibody is formed. The LumiGLO® is added and emits light during enzyme catalyzed decomposition.
undefined Image 3: Phospho-SAPK/JNK Pathway Antibody Sampler Kit
Orders: 877-616-CELL (2355) [email protected] Support: 877-678-TECH (8324) [email protected] Web: cellsignal.com
For Research Use Only. Not for Use in Diagnostic Procedures.

Revision 1

Cell Signaling Technology Logo
Western blot analysis of extracts from HeLa cells, mock transfected (-) or transfected with a construct expressing Myc-tagged full-length human ATF-2 protein (hATF-2-Myc; +) or a construct expressing Myc-tagged full-length human ATF-7 protein (hATF-7-Myc; +), using Phospho-ATF-2 (Thr71)/ATF-7 (Thr53) (A8J7P) Rabbit mAb (upper), Myc-Tag (71D10) Rabbit mAb #2278 (middle), and β-Actin (D6A8) Rabbit mAb #8457 (lower).
undefined Image 4: Phospho-SAPK/JNK Pathway Antibody Sampler Kit
Flow cytometric analysis of HT-29 cells, untreated (blue) or UV-treated (green), using Phospho-SEK1/MKK4 (Ser257) (C36C11) Rabbit mAb compared to a nonspecific negative control antibody (red).
undefined Image 5: Phospho-SAPK/JNK Pathway Antibody Sampler Kit
Flow cytometric analysis of THP-1 cells, untreated (blue) or Anisomycin treated (green), using Phospho-ATF-2 (Thr71)/ATF-7 (Thr53) (A8J7P) Rabbit mAb compared to a nonspecific negative control antibody (red).
undefined Image 6: Phospho-SAPK/JNK Pathway Antibody Sampler Kit
Orders: 877-616-CELL (2355) [email protected] Support: 877-678-TECH (8324) [email protected] Web: cellsignal.com
For Research Use Only. Not for Use in Diagnostic Procedures.

Revision 1

Cell Signaling Technology Logo
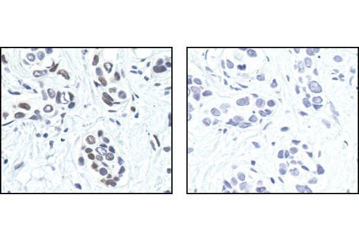
Immunohistochemical analysis of paraffin-embedded human breast carcinoma, using Phospho-c-Jun (Ser63) (54B3) Rabbit mAb in the presence of control peptide (left) or Phospho-c-Jun (Ser63) II Blocking Peptide (#1020) (right).
undefined Image 7: Phospho-SAPK/JNK Pathway Antibody Sampler Kit
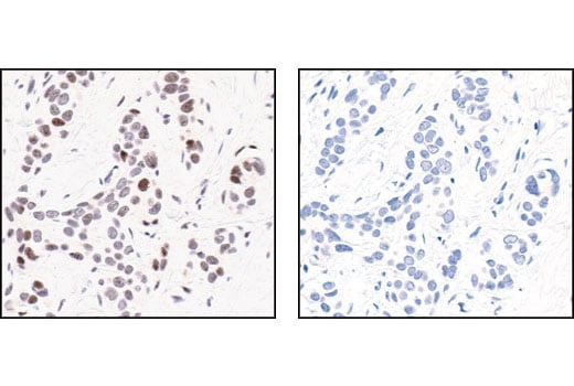
Immunohistochemical analysis of paraffin-embedded human breast carcinoma untreated (left) or lambda phosphatase-treated (right), using Phospho-c-Jun (Ser63) (54B3) Rabbit mAb.
undefined Image 8: Phospho-SAPK/JNK Pathway Antibody Sampler Kit
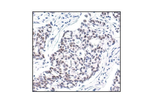
Immunohistochemical analysis of paraffin-embedded human lung carcinoma, showing nuclear localization, using Phospho-c-Jun (Ser63) (54B3) Rabbit mAb.
undefined Image 9: Phospho-SAPK/JNK Pathway Antibody Sampler Kit
Orders: 877-616-CELL (2355) [email protected] Support: 877-678-TECH (8324) [email protected] Web: cellsignal.com
For Research Use Only. Not for Use in Diagnostic Procedures.

Revision 1

Cell Signaling Technology Logo
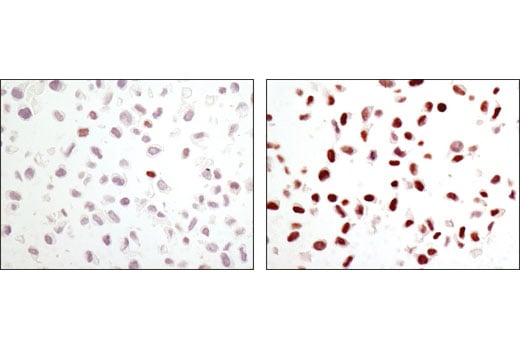
Immunohistochemical analysis of paraffin-embedded NIH/3T3 cell pellets, control (left) or anisomycin-treated (right), using Phospho-c-Jun (Ser63) (54B3) Rabbit mAb.
undefined Image 10: Phospho-SAPK/JNK Pathway Antibody Sampler Kit
Immunohistochemical analysis of paraffin-embedded human skin (normal adjacent to hemangioma), using Phospho-c-Jun (Ser63) (54B3) Rabbit mAb.
undefined Image 11: Phospho-SAPK/JNK Pathway Antibody Sampler Kit
Western blot analysis of extracts from various cell lines treated with UV (100mJ/cm2, 2 hr. recovery) using Phospho-c-Jun (Ser63) (54B3) Rabbit mAb (upper), c-Jun (60A8) Rabbit mAb #9165 (middle), and β-Actin (D6A8) Rabbit mAb #8457 (lower).
undefined Image 12: Phospho-SAPK/JNK Pathway Antibody Sampler Kit
Orders: 877-616-CELL (2355) [email protected] Support: 877-678-TECH (8324) [email protected] Web: cellsignal.com
For Research Use Only. Not for Use in Diagnostic Procedures.

Revision 1

Cell Signaling Technology Logo
Immunohistochemical analysis of paraffin-embedded 293T cells untreated (left) or UV-treated (right) using Phospho-SAPK/JNK (Thr183/Tyr185) (81E11) Rabbit mAb.
undefined Image 13: Phospho-SAPK/JNK Pathway Antibody Sampler Kit
Immunohistochemical analysis of paraffin-embedded human lung carcinoma using Phospho-SAPK/JNK (Thr183/Tyr185) (81E11) Rabbit mAb in the presence of control peptide (left) or Phospho-SAPK/JNK (Thr183/Tyr185) Blocking Peptide (right).
undefined Image 14: Phospho-SAPK/JNK Pathway Antibody Sampler Kit
Simple Western™ analysis of lysates (1.0 mg/mL) from HEK 293 cells treated with UV (50 mJ, 30 min recovery) using Phospho-SAPK/JNK (Thr183/Tyr185) (81E11) Rabbit mAb #4668. The virtual lane view (left) shows two target bands (as indicated) at 1:10 and 1:50 dilutions of primary antibody. The corresponding electropherogram view (right) plots chemiluminescence by molecular weight along the capillary at 1:10 (blue line) and 1:50 (green line) dilutions of primary antibody. This experiment was performed under reducing conditions on the Jess™ Simple Western instrument from ProteinSimple, a BioTechne brand, using the 12-230 kDa separation module.
undefined Image 15: Phospho-SAPK/JNK Pathway Antibody Sampler Kit
Orders: 877-616-CELL (2355) [email protected] Support: 877-678-TECH (8324) [email protected] Web: cellsignal.com
For Research Use Only. Not for Use in Diagnostic Procedures.

Revision 1

Cell Signaling Technology Logo
Western blot analysis of extracts from 293 cells, untreated or UV-treated, NIH/3T3 cells, untreated or UV-treated and C6 cells, untreated or anisomycin-treated, using Phospho-SAPK/JNK (Thr183/Tyr185) (81E11) Rabbit mAb.
undefined Image 16: Phospho-SAPK/JNK Pathway Antibody Sampler Kit
Orders: 877-616-CELL (2355) [email protected] Support: 877-678-TECH (8324) [email protected] Web: cellsignal.com
For Research Use Only. Not for Use in Diagnostic Procedures.