Revision 1

#2351

Store at -20C

CST Logo
Orders:

877-616-CELL (2355)

[email protected]

Support:

877-678-TECH (8324)

3 Trask Lane | Danvers | Massachusetts | 01923 | USA

For Research Use Only. Not for Use in Diagnostic Procedures.

Applications:
W, IHC-P, E-P

Reactivity:
All

Sensitivity:
Endogenous

Source/Isotype:
Rabbit

Product Usage Information

Application Dilution
Western Blotting 1:1000
Immunohistochemistry (Paraffin) 1:800
Peptide ELISA (DELFIA) 1:1000

Storage

Supplied in 10 mM sodium HEPES (pH 7.5), 150 mM NaCl, 100 µg/ml BSA and 50% glycerol. Store at –20°C. Do not aliquot the antibody.

Specificity/Sensitivity

Phospho-Threonine-X-Arginine Antibody detects endogenous levels of proteins containing the phospho-Thr-X-Arg motif. This antibody detects phosphorylated Thr followed by Arg or Lys at the +2 position, though its reactivity is lower for Lys compared to Arg at the +2 position. This antibody does not cross-react with nonphospho-Thr or phospho-Ser in the same motif. This antibody recognizes phospho-Thr in the FFT*R motif in PKCbeta II but does not recognize phospho-Thr in other motifs that lack Lys or Arg at +2.

Source / Purification

Polyclonal antibodies are produced by immunizing animals with a synthetic peptide containing the phospho-Thr-X-Arg motif. Antibodies are purified by protein A and peptide affinity chromatography.

Background

Some signaling molecules can be regulated by phosphorylation at a specific threonine followed by arginine or lysine at the +2 position. For example, conventional PKC isozymes phosphorylate substrates containing serine or threonine with Arg or Lys at the -3, -2 and +2 positions (1-2). c-Raf, a mitogen-activated protein kinase and the main effector recruited by GTP-bound Ras, is phosphorylated at Thr481 and Thr491 followed by Lys at the +2 position (3). Phosphorylation of these sites is important for enzyme activities. To determine the phosphorylation state of Thr in the Thr-X-Arg motif, and to identify potential new phosphorylation sites with this motif, Cell Signaling Technology has developed a Phospho-Threonine X-Arginine Antibody that recognizes phosphorylated Thr followed by Arg or Lys at the +2 position.

Species Reactivity

Species reactivity is determined by testing in at least one approved application (e.g., western blot).

Western Blot Buffer

IMPORTANT: For western blots, incubate membrane with diluted primary antibody in 5% w/v BSA, 1X TBS, 0.1% Tween® 20 at 4°C with gentle shaking, overnight.

Applications Key

W: Western Blotting IHC-P: Immunohistochemistry (Paraffin) E-P: Peptide ELISA (DELFIA)

Cross-Reactivity Key

All: All Species Expected

Trademarks and Patents

Cell Signaling Technology is a trademark of Cell Signaling Technology, Inc.

All other trademarks are the property of their respective owners. Visit cellsignal.com/trademarks for more information.

Limited Uses

Except as otherwise expressly agreed in a writing signed by a legally authorized representative of CST, the following terms apply to Products provided by CST, its affiliates or its distributors. Any Customer's terms and conditions that are in addition to, or different from, those contained herein, unless separately accepted in writing by a legally authorized representative of CST, are rejected and are of no force or effect.

Products are labeled with For Research Use Only or a similar labeling statement and have not been approved, cleared, or licensed by the FDA or other regulatory foreign or domestic entity, for any purpose. Customer shall not use any Product for any diagnostic or therapeutic purpose, or otherwise in any manner that conflicts with its labeling statement. Products sold or licensed by CST are provided for Customer as the end-user and solely for research and development uses. Any use of Product for diagnostic, prophylactic or therapeutic purposes, or any purchase of Product for resale (alone or as a component) or other commercial purpose, requires a separate license from CST. Customer shall (a) not sell, license, loan, donate or otherwise transfer or make available any Product to any third party, whether alone or in combination with other materials, or use the Products to manufacture any commercial products, (b) not copy, modify, reverse engineer, decompile, disassemble or otherwise attempt to discover the underlying structure or technology of the Products, or use the Products for the purpose of developing any products or services that would compete with CST products or services, (c) not alter or remove from the Products any trademarks, trade names, logos, patent or copyright notices or markings, (d) use the Products solely in accordance with CST Product Terms of Sale and any applicable documentation, and (e) comply with any license, terms of service or similar agreement with respect to any third party products or services used by Customer in connection with the Products.

Orders: 877-616-CELL (2355) [email protected] Support: 877-678-TECH (8324) [email protected] Web: cellsignal.com
For Research Use Only. Not for Use in Diagnostic Procedures.

Revision 1

Cell Signaling Technology Logo
Western blot analysis of extracts from Jurkat cells, untreated, TPA-treated or calyculin A-treated, using Phospho-Threonine-X-Arginine Antibody.
Western Blotting Image 1: Phospho-Threonine-X-Arginine Antibody
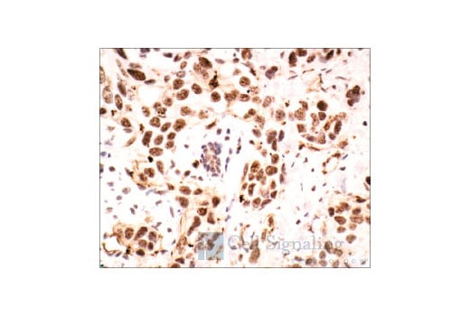
Immunohistochemical analysis of paraffin-embedded human breast carcinoma, showing staining of proteins containing phosphorylated threonine-X-arginine motifs, using Phospho-Threonine-X-Arginine Antibody.
Immunohistochemistry Image 1: Phospho-Threonine-X-Arginine Antibody
Phospho-Threonine-X-Arginine Antibody ELISA: Signal-to-noise ratio of phospho- versus nonphospho-peptides containing the phospho-threonine-X-arginine motif. (T* denotes phosphorylated threonine.)
E Image 1: Phospho-Threonine-X-Arginine Antibody
Orders: 877-616-CELL (2355) [email protected] Support: 877-678-TECH (8324) [email protected] Web: cellsignal.com
For Research Use Only. Not for Use in Diagnostic Procedures.