Cell Signaling Technology Logo - Extra Large

Phospho-Threonine-X-Arginine Antibody #2351

Filter:
  • WB
  • IHC

    Product Specifications

    REACTIVITY All
    SENSITIVITY Endogenous
    MW (kDa)
    SOURCE Rabbit
    Application Key:
    • WB-Western Blotting 
    • IHC-Immunohistochemistry 
    Species Cross-Reactivity Key:
    • All-All Species Expected 

    Product Information

    Product Usage Information

    Application Dilution
    Western Blotting 1:1000
    Immunohistochemistry (Paraffin) 1:800
    Peptide ELISA (DELFIA) 1:1000

    Storage

    Supplied in 10 mM sodium HEPES (pH 7.5), 150 mM NaCl, 100 µg/ml BSA and 50% glycerol. Store at –20°C. Do not aliquot the antibody.

    Protocol

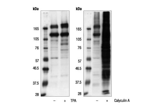
    Specificity / Sensitivity

    Phospho-Threonine-X-Arginine Antibody detects endogenous levels of proteins containing the phospho-Thr-X-Arg motif. This antibody detects phosphorylated Thr followed by Arg or Lys at the +2 position, though its reactivity is lower for Lys compared to Arg at the +2 position. This antibody does not cross-react with nonphospho-Thr or phospho-Ser in the same motif. This antibody recognizes phospho-Thr in the FFT*R motif in PKCbeta II but does not recognize phospho-Thr in other motifs that lack Lys or Arg at +2.

    Species Reactivity:

    All Species Expected

    Source / Purification

    Polyclonal antibodies are produced by immunizing animals with a synthetic peptide containing the phospho-Thr-X-Arg motif. Antibodies are purified by protein A and peptide affinity chromatography.

    Background

    Some signaling molecules can be regulated by phosphorylation at a specific threonine followed by arginine or lysine at the +2 position. For example, conventional PKC isozymes phosphorylate substrates containing serine or threonine with Arg or Lys at the -3, -2 and +2 positions (1-2). c-Raf, a mitogen-activated protein kinase and the main effector recruited by GTP-bound Ras, is phosphorylated at Thr481 and Thr491 followed by Lys at the +2 position (3). Phosphorylation of these sites is important for enzyme activities. To determine the phosphorylation state of Thr in the Thr-X-Arg motif, and to identify potential new phosphorylation sites with this motif, Cell Signaling Technology has developed a Phospho-Threonine X-Arginine Antibody that recognizes phosphorylated Thr followed by Arg or Lys at the +2 position.
    For Research Use Only. Not for Use in Diagnostic Procedures.
    Cell Signaling Technology is a trademark of Cell Signaling Technology, Inc.
    All other trademarks are the property of their respective owners. Visit our Trademark Information page.