Revision 3

#86312

Store at -20C

CST Logo
Orders:

877-616-CELL (2355)

[email protected]

Support:

877-678-TECH (8324)

3 Trask Lane | Danvers | Massachusetts | 01923 | USA

For Research Use Only. Not for Use in Diagnostic Procedures.

Applications:
W, W-S, IP, IHC-P

Reactivity:
H M R

Sensitivity:
Endogenous

MW (kDa):
78

Source/Isotype:
Rabbit IgG

UniProt ID:
#P46937

Entrez-Gene Id:
10413

Product Usage Information

Application Dilution
Western Blotting 1:1000
Simple Western™ 1:10 - 1:50
Immunoprecipitation 1:100
Immunohistochemistry (Paraffin) 1:1000 - 1:4000

Storage

Supplied in 10 mM sodium HEPES (pH 7.5), 150 mM NaCl, 100 µg/mL BSA, 50% glycerol, and less than 0.02% sodium azide. Store at –20°C. Do not aliquot the antibody.

Specificity/Sensitivity

Phospho-YAP (Ser61) (E4Q8S) Rabbit Monoclonal Antibody recognizes endogenous levels of YAP protein only when phosphorylated at Ser61.

Source / Purification

Monoclonal antibody is produced by immunizing animals with a synthetic phosphopeptide corresponding to residues surrounding Ser61 of human YAP protein.

Background

YAP (Yes-associated protein, YAP65) was first identified based on its ability to associate with the SH3 domain of Yes. It also binds to other SH3 domain-containing proteins such as Nck, Crk, Src, and Abl (1). In addition to the SH3 binding motif, YAP contains a PDZ interaction motif, a coiled-coil domain, and WW domains (2-4). While initial studies of YAP all pointed towards a role in anchoring and targeting to specific subcellular compartments, subsequent studies showed that YAP is a transcriptional co-activator by virtue of its WW domain interacting with the PY motif (PPxY) of the transcription factor PEBP2 and other transcription factors (5). In its capacity as a transcriptional co-activator, YAP is now widely recognized as a central mediator of the Hippo Pathway, which plays a fundamental and widely conserved role in regulating tissue growth and organ size (6-8). Phosphorylation at multiple sites (e.g., Ser109, Ser127) by LATS kinases promotes YAP translocation from the nucleus to the cytoplasm, where it is sequestered through association with 14-3-3 proteins (7-9). These LATS-driven phosphorylation events serve to prime YAP for subsequent phosphorylation by CK1δ/ε in an adjacent phosphodegron, triggering proteasomal degradation of YAP (10).
YAP function is influenced by cellular metabolic status. This was recognized after observing that AMPK, a master regulator of cell metabolism, directly phosphorylates YAP at multiple sites (e.g., Ser61, Ser94) during energy stress or nutritional deprivation (11-13). Phosphorylation of Ser61 by AMPK did not increase 14-3-3 binding or affect YAP subcellular localization, but nevertheless resulted in transcriptional repression of YAP target genes (12).

Species Reactivity

Species reactivity is determined by testing in at least one approved application (e.g., western blot).

Western Blot Buffer

IMPORTANT: For western blots, incubate membrane with diluted primary antibody in 5% w/v nonfat dry milk, 1X TBS, 0.1% Tween® 20 at 4°C with gentle shaking, overnight.

Applications Key

W: Western Blotting W-S: Simple Western™ IP: Immunoprecipitation IHC-P: Immunohistochemistry (Paraffin)

Cross-Reactivity Key

H: Human M: Mouse R: Rat

Trademarks and Patents

Cell Signaling Technology is a trademark of Cell Signaling Technology, Inc.

All other trademarks are the property of their respective owners. Visit cellsignal.com/trademarks for more information.

Limited Uses

Except as otherwise expressly agreed in a writing signed by a legally authorized representative of CST, the following terms apply to Products provided by CST, its affiliates or its distributors. Any Customer's terms and conditions that are in addition to, or different from, those contained herein, unless separately accepted in writing by a legally authorized representative of CST, are rejected and are of no force or effect.

Products are labeled with For Research Use Only or a similar labeling statement and have not been approved, cleared, or licensed by the FDA or other regulatory foreign or domestic entity, for any purpose. Customer shall not use any Product for any diagnostic or therapeutic purpose, or otherwise in any manner that conflicts with its labeling statement. Products sold or licensed by CST are provided for Customer as the end-user and solely for research and development uses. Any use of Product for diagnostic, prophylactic or therapeutic purposes, or any purchase of Product for resale (alone or as a component) or other commercial purpose, requires a separate license from CST. Customer shall (a) not sell, license, loan, donate or otherwise transfer or make available any Product to any third party, whether alone or in combination with other materials, or use the Products to manufacture any commercial products, (b) not copy, modify, reverse engineer, decompile, disassemble or otherwise attempt to discover the underlying structure or technology of the Products, or use the Products for the purpose of developing any products or services that would compete with CST products or services, (c) not alter or remove from the Products any trademarks, trade names, logos, patent or copyright notices or markings, (d) use the Products solely in accordance with CST Product Terms of Sale and any applicable documentation, and (e) comply with any license, terms of service or similar agreement with respect to any third party products or services used by Customer in connection with the Products.

Orders: 877-616-CELL (2355) [email protected] Support: 877-678-TECH (8324) [email protected] Web: cellsignal.com
For Research Use Only. Not for Use in Diagnostic Procedures.

Revision 3

Cell Signaling Technology Logo
Western blot analysis of extracts from 293T cells (lane 1) or 293T/YAP/TAZ knockout (KO) cells (lane 2) using Phospho-YAP (Ser61) (E4Q8S) Rabbit mAb (upper), YAP (D8H1X) XP® Rabbit mAb #14074 (middle), or GAPDH (D16H11) XP® Rabbit mAb #5174 (lower). The absence of signal in extracts from the KO cells confirms specificity of the antibody for YAP. YAP/TAZ KO cells courtesy of Dr. Fernando Camargo, Boston Children's Hospital.
Western Blotting Image 1: Phospho-YAP (Ser61) (E4Q8S) Rabbit Monoclonal Antibody
Western blot analysis of extracts from PANC-1 cells, untreated (-) or treated with λ phosphatase/calf intestinal phosphatase (CIP) (+), using Phospho-YAP (Ser61) (E4Q8S) Rabbit mAb (upper), YAP (D8H1X) XP® Rabbit mAb #14074 (middle), or GAPDH (D16H11) XP® Rabbit mAb #5174 (lower).
Western Blotting Image 2: Phospho-YAP (Ser61) (E4Q8S) Rabbit Monoclonal Antibody
Simple Western™ analysis of lysates (1.0 mg/mL) from HeLa cells using Phospho-YAP (Ser61) (E4Q8S) Rabbit mAb #86312. The virtual lane view (left) shows the target band (as indicated) at 1:10 and 1:50 dilutions of primary antibody. The corresponding electropherogram view (right) plots chemiluminescence by molecular weight along the capillary at 1:10 (blue line) and 1:50 (green line) dilutions of primary antibody. This experiment was performed under reducing conditions on the Jess™ Simple Western instrument from ProteinSimple, a BioTechne brand, using the 12-230 kDa separation module.
Western Blotting Image 1: Phospho-YAP (Ser61) (E4Q8S) Rabbit Monoclonal Antibody
Orders: 877-616-CELL (2355) [email protected] Support: 877-678-TECH (8324) [email protected] Web: cellsignal.com
For Research Use Only. Not for Use in Diagnostic Procedures.

Revision 3

Cell Signaling Technology Logo
Immunoprecipitation of phospho-YAP (Ser61) protein from PANC-1 cell extracts. Lane 1 is 10% input, lane 2 is Rabbit (DA1E) mAb IgG XP® Isotype Control #3900, and lane 3 is Phospho-YAP (Ser61) (E4Q8S) Rabbit mAb. Western blot analysis was performed using Phospho-YAP (Ser61) Antibody #75784. Anti-rabbit IgG, HRP-linked Antibody #7074 was used as a secondary antibody.
Immunoprecipitation Image 1: Phospho-YAP (Ser61) (E4Q8S) Rabbit Monoclonal Antibody
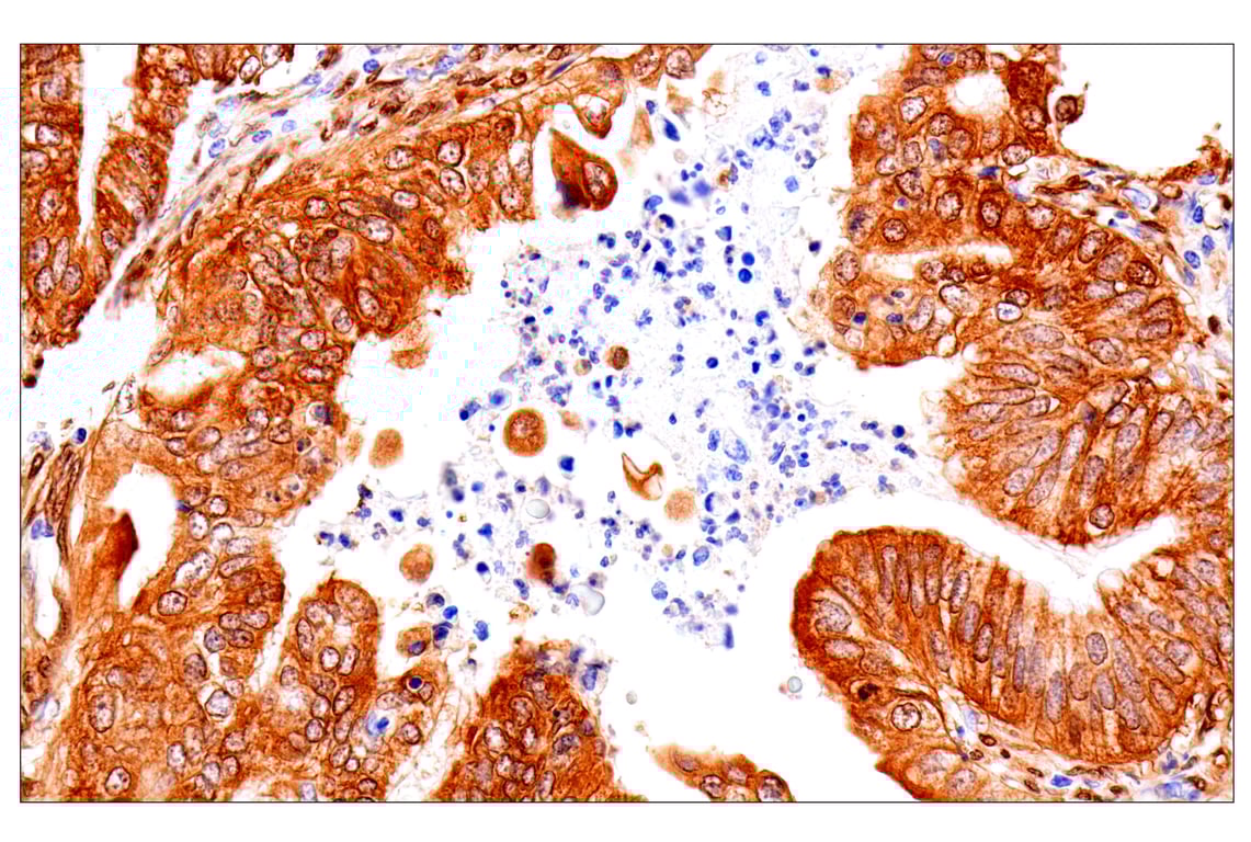
Immunohistochemical analysis of paraffin-embedded human esophageal adenocarcinoma using Phospho-YAP (Ser61) (E4Q8S) Rabbit mAb.
Immunohistochemistry Image 1: Phospho-YAP (Ser61) (E4Q8S) Rabbit Monoclonal Antibody
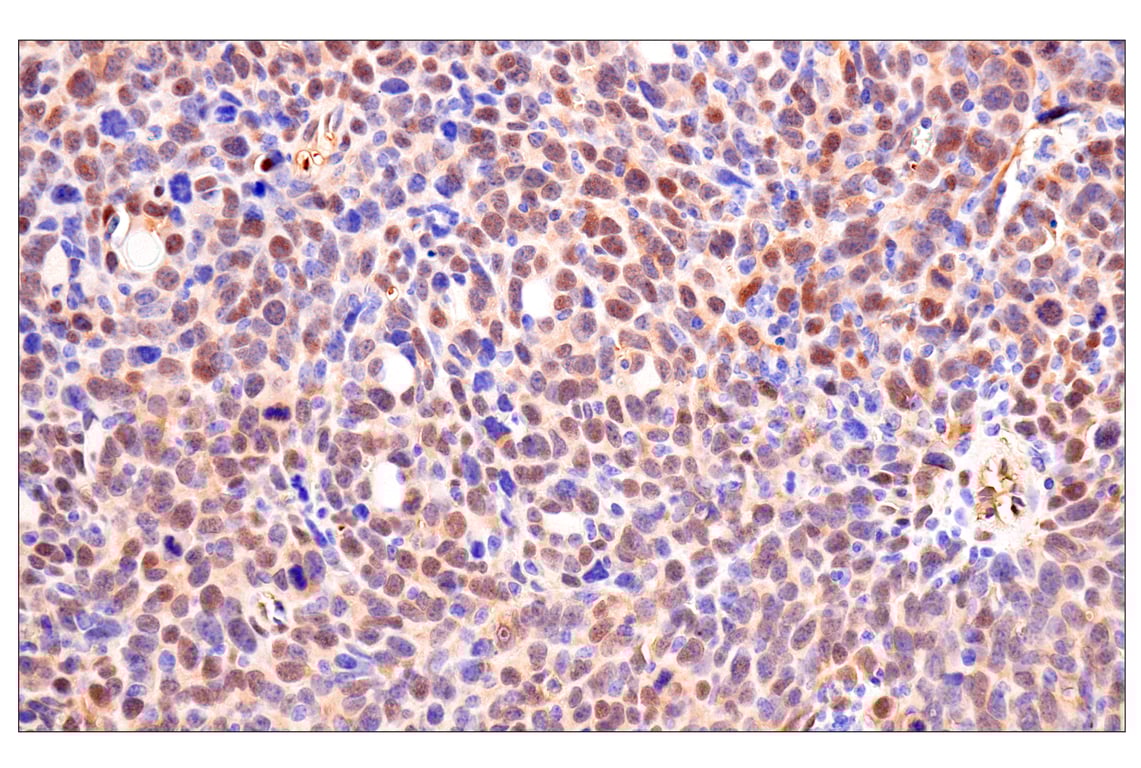
Immunohistochemical analysis of paraffin-embedded human squamous cell lung carcinoma using Phospho-YAP (Ser61) (E4Q8S) Rabbit mAb.
Immunohistochemistry Image 2: Phospho-YAP (Ser61) (E4Q8S) Rabbit Monoclonal Antibody
Orders: 877-616-CELL (2355) [email protected] Support: 877-678-TECH (8324) [email protected] Web: cellsignal.com
For Research Use Only. Not for Use in Diagnostic Procedures.

Revision 3

Cell Signaling Technology Logo
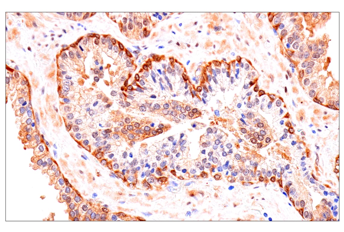
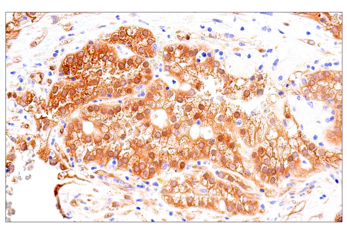
Immunohistochemical analysis of paraffin-embedded human prostate adenocarcinoma using Phospho-YAP (Ser61) (E4Q8S) Rabbit mAb.
Immunohistochemistry Image 3: Phospho-YAP (Ser61) (E4Q8S) Rabbit Monoclonal Antibody
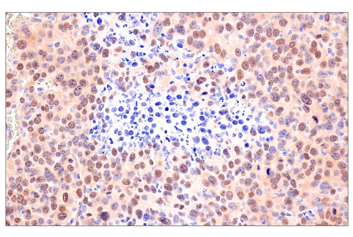
Immunohistochemical analysis of paraffin-embedded human endometrial adenocarcinoma using Phospho-YAP (Ser61) (E4Q8S) Rabbit mAb.
Immunohistochemistry Image 4: Phospho-YAP (Ser61) (E4Q8S) Rabbit Monoclonal Antibody
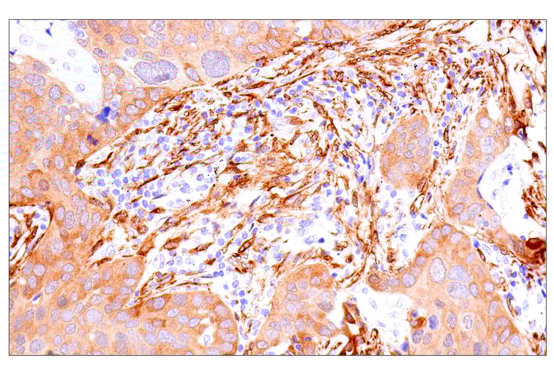
Immunohistochemical analysis of paraffin-embedded human renal cell carcinoma using Phospho-YAP (Ser61) (E4Q8S) Rabbit mAb.
Immunohistochemistry Image 5: Phospho-YAP (Ser61) (E4Q8S) Rabbit Monoclonal Antibody
Orders: 877-616-CELL (2355) [email protected] Support: 877-678-TECH (8324) [email protected] Web: cellsignal.com
For Research Use Only. Not for Use in Diagnostic Procedures.

Revision 3

Cell Signaling Technology Logo
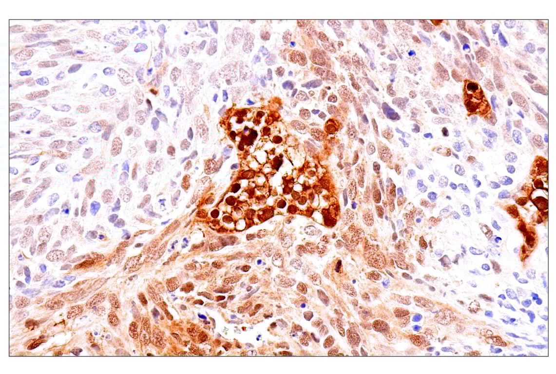
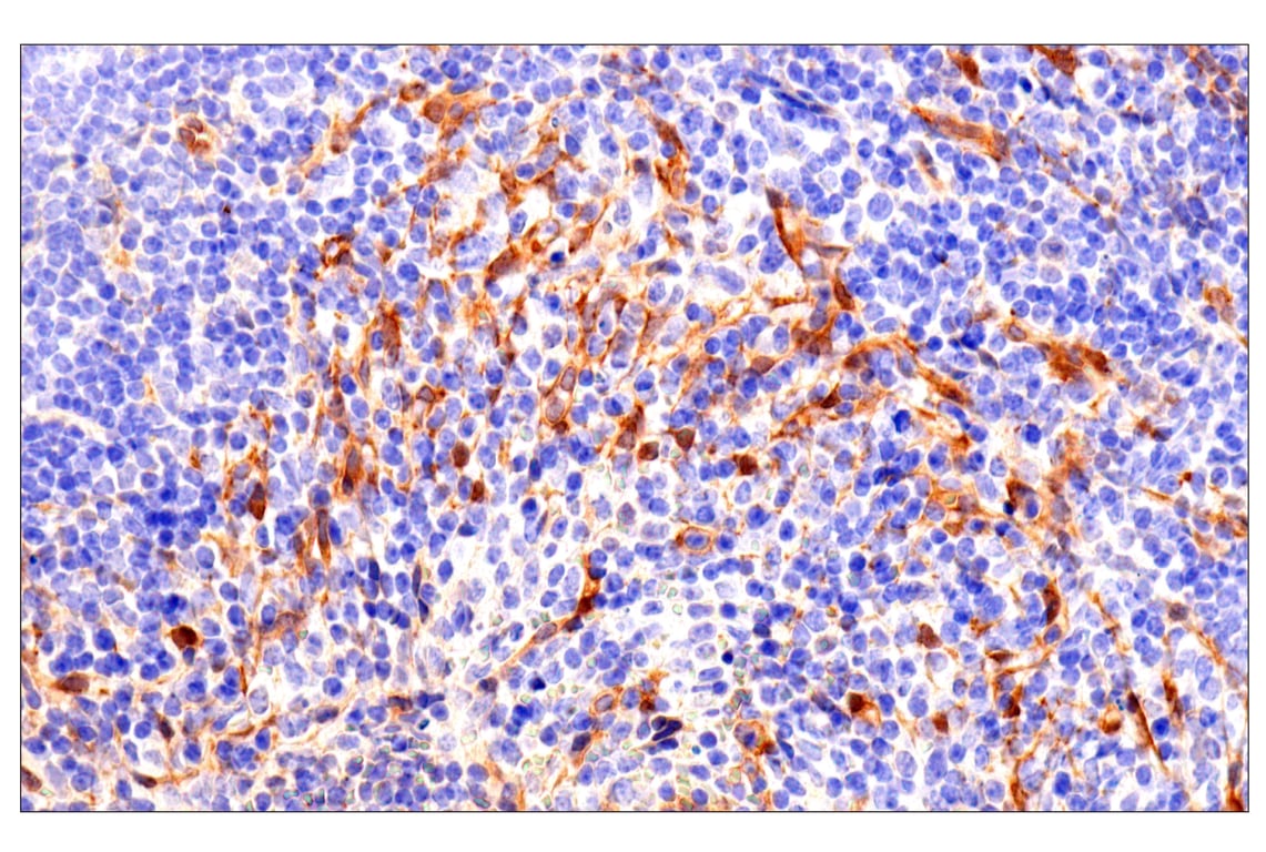
Immunohistochemical analysis of paraffin-embedded human carcinosarcoma of the thymus using Phospho-YAP (Ser61) (E4Q8S) Rabbit mAb.
Immunohistochemistry Image 6: Phospho-YAP (Ser61) (E4Q8S) Rabbit Monoclonal Antibody
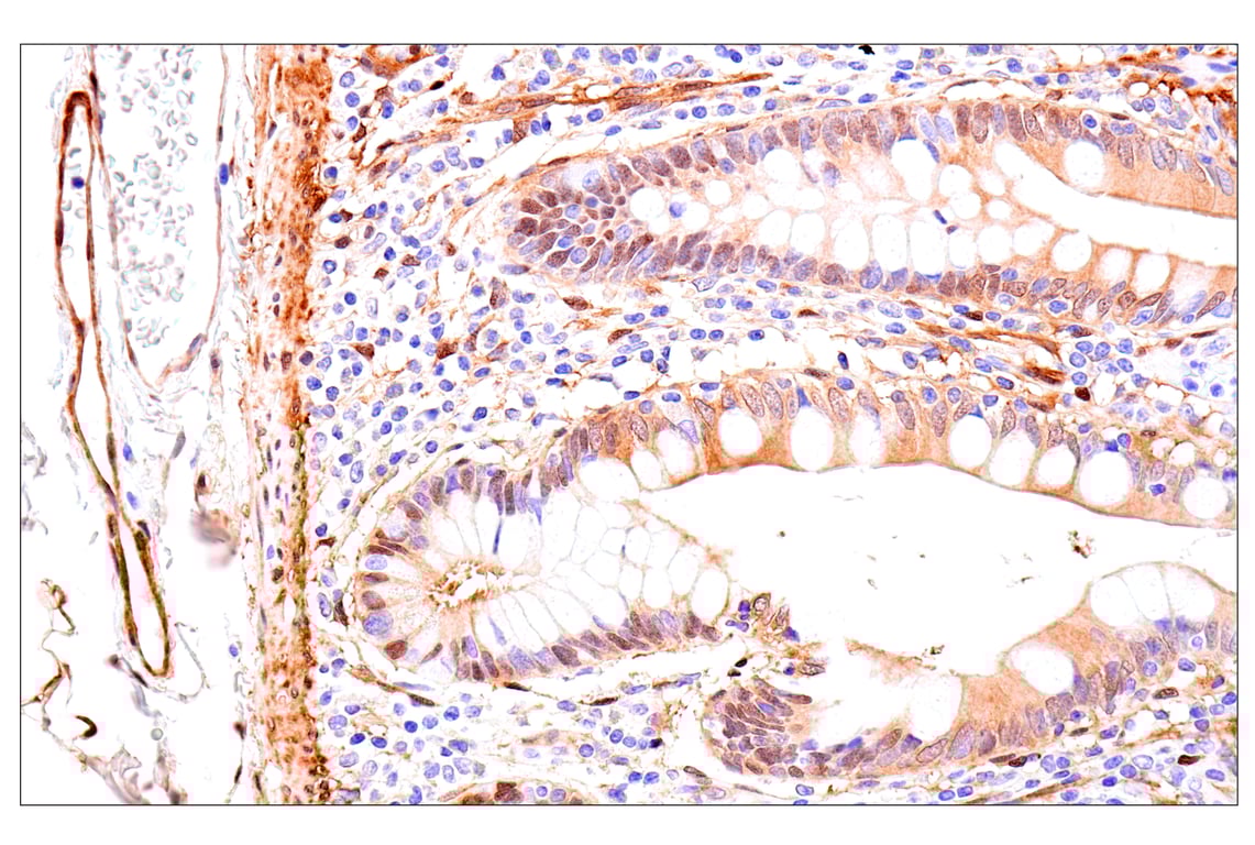
Immunohistochemical analysis of paraffin-embedded normal human small intestine using Phospho-YAP (Ser61) (E4Q8S) Rabbit mAb.
Immunohistochemistry Image 7: Phospho-YAP (Ser61) (E4Q8S) Rabbit Monoclonal Antibody
Immunohistochemical analysis of paraffin-embedded normal human placenta using Phospho-YAP (Ser61) (E4Q8S) Rabbit mAb.
Immunohistochemistry Image 8: Phospho-YAP (Ser61) (E4Q8S) Rabbit Monoclonal Antibody
Orders: 877-616-CELL (2355) [email protected] Support: 877-678-TECH (8324) [email protected] Web: cellsignal.com
For Research Use Only. Not for Use in Diagnostic Procedures.

Revision 3

Cell Signaling Technology Logo
Immunohistochemical analysis of paraffin-embedded Renca syngeneic tumor using Phospho-YAP (Ser61) (E4Q8S) Rabbit mAb.
Immunohistochemistry Image 9: Phospho-YAP (Ser61) (E4Q8S) Rabbit Monoclonal Antibody
Immunohistochemical analysis of paraffin-embedded LL/2 syngeneic tumor using Phospho-YAP (Ser61) (E4Q8S) Rabbit mAb.
Immunohistochemistry Image 10: Phospho-YAP (Ser61) (E4Q8S) Rabbit Monoclonal Antibody
Immunohistochemical analysis of paraffin-embedded A20 syngeneic tumor using Phospho-YAP (Ser61) (E4Q8S) Rabbit mAb.
Immunohistochemistry Image 11: Phospho-YAP (Ser61) (E4Q8S) Rabbit Monoclonal Antibody
Orders: 877-616-CELL (2355) [email protected] Support: 877-678-TECH (8324) [email protected] Web: cellsignal.com
For Research Use Only. Not for Use in Diagnostic Procedures.

Revision 3

Cell Signaling Technology Logo
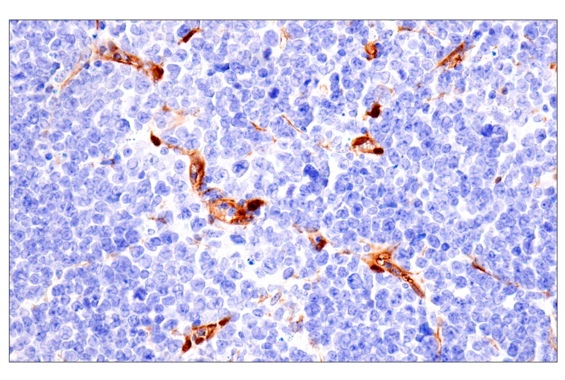
Immunohistochemical analysis of paraffin-embedded mouse spleen using Phospho-YAP (Ser61) (E4Q8S) Rabbit mAb.
Immunohistochemistry Image 12: Phospho-YAP (Ser61) (E4Q8S) Rabbit Monoclonal Antibody
Immunohistochemical analysis of paraffin-embedded normal human pancreas, untreated (left) or lambda phosphatase treated (right), using Phospho-YAP (Ser61) (E4Q8S) Rabbit mAb.
Immunohistochemistry Image 13: Phospho-YAP (Ser61) (E4Q8S) Rabbit Monoclonal Antibody
Immunohistochemical analysis of paraffin-embedded 293T cell pellet, wild-type (left, positive) or YAP/TAZ knockout (KO) cell pellet (right, negative), using Phospho-YAP (Ser61) (E4Q8S) Rabbit mAb.
Immunohistochemistry Image 14: Phospho-YAP (Ser61) (E4Q8S) Rabbit Monoclonal Antibody
Orders: 877-616-CELL (2355) [email protected] Support: 877-678-TECH (8324) [email protected] Web: cellsignal.com
For Research Use Only. Not for Use in Diagnostic Procedures.

Revision 3

Cell Signaling Technology Logo
Immunohistochemical analysis of paraffin-embedded BEN cell pellet, untransfected (left), YAP-transfected (middle), or TAZ-transfected (right), using Phospho-YAP (Ser61) (E4Q8S) Rabbit mAb.
Immunohistochemistry Image 15: Phospho-YAP (Ser61) (E4Q8S) Rabbit Monoclonal Antibody
Orders: 877-616-CELL (2355) [email protected] Support: 877-678-TECH (8324) [email protected] Web: cellsignal.com
For Research Use Only. Not for Use in Diagnostic Procedures.