Revision 1

#13552

Store at -20C

CST Logo
Orders:

877-616-CELL (2355)

[email protected]

Support:

877-678-TECH (8324)

3 Trask Lane | Danvers | Massachusetts | 01923 | USA

For Research Use Only. Not for Use in Diagnostic Procedures.

Applications:
W, IHC-P

Reactivity:
H

Sensitivity:
Endogenous

MW (kDa):
95, 65

Source/Isotype:
Rabbit IgG

UniProt ID:
#P16471

Entrez-Gene Id:
5618

Product Usage Information

Application Dilution
Western Blotting 1:1000
Immunohistochemistry (Paraffin) 1:400

Storage

Supplied in 10 mM sodium HEPES (pH 7.5), 150 mM NaCl, 100 µg/ml BSA, 50% glycerol and less than 0.02% sodium azide. Store at –20°C. Do not aliquot the antibody.

Specificity/Sensitivity

Prolactin Receptor (D4A9) Rabbit Monoclonal Antibody recognizes endogenous levels of total prolactin receptor protein. This antibody detects both long (90 kDa) and short (65 kDa) isoforms of the prolactin receptor.

Source / Purification

Monoclonal antibody is produced by immunizing animals with a synthetic peptide corresponding to residues surrounding Asp518 of human prolactin receptor protein.

Background

Prolactin receptor (PRLR) is a single-pass transmembrane receptor that mediates the actions of prolactin, a peptide hormone secreted by the anterior pituitary. PRLR is a type 1 cytokine receptor that is best known for promoting lactation in mammals, but which is also implicated in osmoregulation, metabolism, and immune system function (1). Research studies suggest that PRLR activation may promote tumor growth (2). Prolactin signaling via PRLR can activate multiple signal transduction pathways in breast cancer cells, including the Jak/Stat, PI3K/Akt, and MAPK pathways, leading to both pro-proliferative and anti-apoptotic downstream effects (3,4). Nine isoforms of PRLR have been identified, with the canonical (long) isoform primarily responsible for the pro-oncogenic effects of PRLR in some cancer cell lines (3). Much less is known about the functions of the other prolactin receptor isoforms. Defining the precise role of PRLR in promoting growth of breast cancer and other tumor types remains an area of active investigation (2).

Species Reactivity

Species reactivity is determined by testing in at least one approved application (e.g., western blot).

Western Blot Buffer

IMPORTANT: For western blots, incubate membrane with diluted primary antibody in 5% w/v BSA, 1X TBS, 0.1% Tween® 20 at 4°C with gentle shaking, overnight.

Applications Key

W: Western Blotting IHC-P: Immunohistochemistry (Paraffin)

Cross-Reactivity Key

H: Human

Trademarks and Patents

Cell Signaling Technology is a trademark of Cell Signaling Technology, Inc.

All other trademarks are the property of their respective owners. Visit cellsignal.com/trademarks for more information.

Limited Uses

Except as otherwise expressly agreed in a writing signed by a legally authorized representative of CST, the following terms apply to Products provided by CST, its affiliates or its distributors. Any Customer's terms and conditions that are in addition to, or different from, those contained herein, unless separately accepted in writing by a legally authorized representative of CST, are rejected and are of no force or effect.

Products are labeled with For Research Use Only or a similar labeling statement and have not been approved, cleared, or licensed by the FDA or other regulatory foreign or domestic entity, for any purpose. Customer shall not use any Product for any diagnostic or therapeutic purpose, or otherwise in any manner that conflicts with its labeling statement. Products sold or licensed by CST are provided for Customer as the end-user and solely for research and development uses. Any use of Product for diagnostic, prophylactic or therapeutic purposes, or any purchase of Product for resale (alone or as a component) or other commercial purpose, requires a separate license from CST. Customer shall (a) not sell, license, loan, donate or otherwise transfer or make available any Product to any third party, whether alone or in combination with other materials, or use the Products to manufacture any commercial products, (b) not copy, modify, reverse engineer, decompile, disassemble or otherwise attempt to discover the underlying structure or technology of the Products, or use the Products for the purpose of developing any products or services that would compete with CST products or services, (c) not alter or remove from the Products any trademarks, trade names, logos, patent or copyright notices or markings, (d) use the Products solely in accordance with CST Product Terms of Sale and any applicable documentation, and (e) comply with any license, terms of service or similar agreement with respect to any third party products or services used by Customer in connection with the Products.

Orders: 877-616-CELL (2355) [email protected] Support: 877-678-TECH (8324) [email protected] Web: cellsignal.com
For Research Use Only. Not for Use in Diagnostic Procedures.

Revision 1

Cell Signaling Technology Logo
Western blot analysis of extracts from various cell lines using Prolactin Receptor (D4A9) Rabbit mAb (upper) and β-Actin (D6A8) Rabbit mAb #8457 (lower).
Western Blotting Image 1: Prolactin Receptor (D4A9) Rabbit Monoclonal Antibody
Western blot analysis of extracts from MCF7 cells, transfected with SignalSilence® Control siRNA (unconjugated) #6568 (-), SignalSilence® Prolactin Receptor siRNA I #13822 (+) or SignalSilence® Prolactin Receptor siRNA II #13836 (+), using Prolactin Receptor (D4A9) Rabbit mAb (upper), or β-actin (D8A6) Rabbit mAb #8457 (lower). The Prolactin Receptor (D4A9) Rabbit mAb confirms silencing of Prolactin Receptor expression, while the β-actin (D8A6) Rabbit mAb is used as a loading control.
Western Blotting Image 2: Prolactin Receptor (D4A9) Rabbit Monoclonal Antibody
Immunohistochemical analysis of paraffin-embedded T-47D (left) and MDA-MB-231 (right) cell pellets using Prolactin Receptor (D4A9) Rabbit mAb.
Immunohistochemistry Image 1: Prolactin Receptor (D4A9) Rabbit Monoclonal Antibody
Orders: 877-616-CELL (2355) [email protected] Support: 877-678-TECH (8324) [email protected] Web: cellsignal.com
For Research Use Only. Not for Use in Diagnostic Procedures.

Revision 1

Cell Signaling Technology Logo
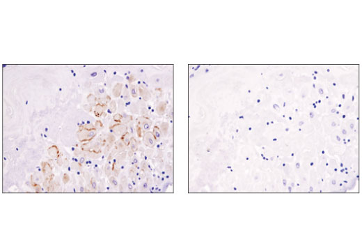
Immunohistochemical analysis of paraffin-embedded human placenta using Prolactin Receptor (D4A9) Rabbit mAb in the presence of control peptide (left) or antigen-specific peptide (right). Note the staining observed in placental decidual cells.
Immunohistochemistry Image 2: Prolactin Receptor (D4A9) Rabbit Monoclonal Antibody
Orders: 877-616-CELL (2355) [email protected] Support: 877-678-TECH (8324) [email protected] Web: cellsignal.com
For Research Use Only. Not for Use in Diagnostic Procedures.