Cell Signaling Technology Logo - Extra Large
Trial Size Available Flag
Recombinant Flag
Recombinant: Superior lot-to-lot consistency, continuous supply, and animal-free manufacturing.

Prolactin Receptor (D4A9) Rabbit Monoclonal Antibody #13552

Filter:
  • WB
  • IHC

    Product Specifications

    REACTIVITY H
    SENSITIVITY Endogenous
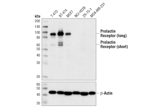
    MW (kDa) 95, 65
    Source/Isotype Rabbit IgG
    Application Key:
    • WB-Western Blotting 
    • IHC-Immunohistochemistry 
    Species Cross-Reactivity Key:
    • H-Human 

    Product Information

    Product Usage Information

    Application Dilution
    Western Blotting 1:1000
    Immunohistochemistry (Paraffin) 1:400

    Storage

    Supplied in 10 mM sodium HEPES (pH 7.5), 150 mM NaCl, 100 µg/ml BSA, 50% glycerol and less than 0.02% sodium azide. Store at –20°C. Do not aliquot the antibody.

    Protocol

    Specificity / Sensitivity

    Prolactin Receptor (D4A9) Rabbit Monoclonal Antibody recognizes endogenous levels of total prolactin receptor protein. This antibody detects both long (90 kDa) and short (65 kDa) isoforms of the prolactin receptor.

    Species Reactivity:

    Human

    Source / Purification

    Monoclonal antibody is produced by immunizing animals with a synthetic peptide corresponding to residues surrounding Asp518 of human prolactin receptor protein.

    Background

    Prolactin receptor (PRLR) is a single-pass transmembrane receptor that mediates the actions of prolactin, a peptide hormone secreted by the anterior pituitary. PRLR is a type 1 cytokine receptor that is best known for promoting lactation in mammals, but which is also implicated in osmoregulation, metabolism, and immune system function (1). Research studies suggest that PRLR activation may promote tumor growth (2). Prolactin signaling via PRLR can activate multiple signal transduction pathways in breast cancer cells, including the Jak/Stat, PI3K/Akt, and MAPK pathways, leading to both pro-proliferative and anti-apoptotic downstream effects (3,4). Nine isoforms of PRLR have been identified, with the canonical (long) isoform primarily responsible for the pro-oncogenic effects of PRLR in some cancer cell lines (3). Much less is known about the functions of the other prolactin receptor isoforms. Defining the precise role of PRLR in promoting growth of breast cancer and other tumor types remains an area of active investigation (2).

    Alternate Names

    delta 4-delta 7/11 truncated prolactin receptor; delta 4-SF1b truncated prolactin receptor; HPRL; hPRL receptor; hPRLrI; MFAB; PRL-R; PRLR; Prolactin receptor; prolactin receptor delta 7/11; RI-PRLR; secreted prolactin binding protein

    For Research Use Only. Not for Use in Diagnostic Procedures.
    Cell Signaling Technology is a trademark of Cell Signaling Technology, Inc.
    All other trademarks are the property of their respective owners. Visit our Trademark Information page.