Revision 4

#8665

Store at -20C

Rag and LAMTOR Antibody Sampler Kit

1 Kit

(7 x 20 microliters)

CST Logo
Orders:

877-616-CELL (2355)

[email protected]

Support:

877-678-TECH (8324)

3 Trask Lane | Danvers | Massachusetts | 01923 | USA

For Research Use Only. Not for Use in Diagnostic Procedures.

Product Includes Product # Quantity Mol. Wt Isotype/Source
LAMTOR1/C11orf59 (D11H6) Rabbit Monoclonal Antibody897520 µl18 kDaRabbit IgG
LAMTOR2/ROBLD3 (D7C10) Rabbit Monoclonal Antibody814520 µl14 kDaRabbit IgG
LAMTOR3/MAPKSP1 (D38G5) Rabbit Monoclonal Antibody816820 µl14 kDaRabbit IgG
RagA (D8B5) Rabbit Monoclonal Antibody435720 µl30 kDaRabbit IgG
RagC (D8H5) Rabbit Monoclonal Antibody948020 µl50 kDaRabbit IgG
RagB (D18F3) Rabbit Monoclonal Antibody815020 µl40 kDaRabbit IgG
RagD Antibody447020 µl50 kDaRabbit
Anti-rabbit IgG, HRP-linked Antibody7074100 µlGoat

Please visit cellsignal.com for individual component applications, species cross-reactivity, dilutions, protocols, and additional product information.

Description

The Rag and LAMTOR Antibody Sampler Kit is an economical means of detecting various Rag and LAMTOR proteins implicated within mTOR complex signaling. The kit contains enough primary and secondary antibody to perform two western blots with each antibody.

Storage

Supplied in 10 mM sodium HEPES (pH 7.5), 150 mM NaCl, 100 µg/ml BSA, 50% glycerol and less than 0.02% sodium azide. Store at –20°C. Do not aliquot the antibody.

Background

The mTORC kinase complex is a critical regulator of cell growth (1,2). Its activity is modulated by energy levels, growth factors, and amino acids via signaling through Akt, MAPK, and AMPK pathways (3,4). Recent studies found that the four related GTPases, RagA, RagB, RagC, and RagD, interact with raptor within the mTORC1 complex (1,2). These interactions are both necessary and sufficient for mTORC1 activation in response to amino acid signals (1,2). According to the research literature, RagD is one of several genes differentially expressed in human melanoma cell lines and has been considered to be a viable target for further diagnostic and therapeutic study (5). A protein complex consisting of LAMTOR1/C11orf59, LAMTOR2/ROBLD3, and LAMTOR3/MAPKSP1 has been identified to interact with and recruit four Rag GTPases to the surface of lysosomes (6).

Trademarks and Patents

Cell Signaling Technology is a trademark of Cell Signaling Technology, Inc.

All other trademarks are the property of their respective owners. Visit cellsignal.com/trademarks for more information.

Limited Uses

Except as otherwise expressly agreed in a writing signed by a legally authorized representative of CST, the following terms apply to Products provided by CST, its affiliates or its distributors. Any Customer's terms and conditions that are in addition to, or different from, those contained herein, unless separately accepted in writing by a legally authorized representative of CST, are rejected and are of no force or effect.

Products are labeled with For Research Use Only or a similar labeling statement and have not been approved, cleared, or licensed by the FDA or other regulatory foreign or domestic entity, for any purpose. Customer shall not use any Product for any diagnostic or therapeutic purpose, or otherwise in any manner that conflicts with its labeling statement. Products sold or licensed by CST are provided for Customer as the end-user and solely for research and development uses. Any use of Product for diagnostic, prophylactic or therapeutic purposes, or any purchase of Product for resale (alone or as a component) or other commercial purpose, requires a separate license from CST. Customer shall (a) not sell, license, loan, donate or otherwise transfer or make available any Product to any third party, whether alone or in combination with other materials, or use the Products to manufacture any commercial products, (b) not copy, modify, reverse engineer, decompile, disassemble or otherwise attempt to discover the underlying structure or technology of the Products, or use the Products for the purpose of developing any products or services that would compete with CST products or services, (c) not alter or remove from the Products any trademarks, trade names, logos, patent or copyright notices or markings, (d) use the Products solely in accordance with CST Product Terms of Sale and any applicable documentation, and (e) comply with any license, terms of service or similar agreement with respect to any third party products or services used by Customer in connection with the Products.

Orders: 877-616-CELL (2355) [email protected] Support: 877-678-TECH (8324) [email protected] Web: cellsignal.com
For Research Use Only. Not for Use in Diagnostic Procedures.

Revision 4

Cell Signaling Technology Logo
Western blot analysis of extracts from 293 and PANC-1 cells using RagA (D8B5) Rabbit mAb.
undefined Image 1: Rag and LAMTOR Antibody Sampler Kit
Western blot analysis of extracts from various cell lines using RagD Antibody.
undefined Image 2: Rag and LAMTOR Antibody Sampler Kit
After the primary antibody is bound to the target protein, a complex with HRP-linked secondary antibody is formed. The LumiGLO® is added and emits light during enzyme catalyzed decomposition.
undefined Image 3: Rag and LAMTOR Antibody Sampler Kit
Orders: 877-616-CELL (2355) [email protected] Support: 877-678-TECH (8324) [email protected] Web: cellsignal.com
For Research Use Only. Not for Use in Diagnostic Procedures.

Revision 4

Cell Signaling Technology Logo
Western blot analysis of extracts from various cell lines using LAMTOR2/ROBLD3 (D7C10) Rabbit mAb.
undefined Image 4: Rag and LAMTOR Antibody Sampler Kit
Western blot analysis of extracts from various cell lines using RagB (D18F3) Rabbit mAb.
undefined Image 5: Rag and LAMTOR Antibody Sampler Kit
Western blot analysis of extracts from various cell lines using LAMTOR3/MAPKSP1 (D38G5) Rabbit mAb.
undefined Image 6: Rag and LAMTOR Antibody Sampler Kit
Orders: 877-616-CELL (2355) [email protected] Support: 877-678-TECH (8324) [email protected] Web: cellsignal.com
For Research Use Only. Not for Use in Diagnostic Procedures.

Revision 4

Cell Signaling Technology Logo
Western blot analysis of extracts from various cell lines using LAMTOR1/C11orf59 (D11H6) XP® Rabbit mAb.
undefined Image 7: Rag and LAMTOR Antibody Sampler Kit
Western blot analysis of extracts from various cell lines using RagC (D8H5) Rabbit mAb.
undefined Image 8: Rag and LAMTOR Antibody Sampler Kit
Western blot analysis of extracts from mIMCD3, KNRK and COS7 cells using RagA (D8B5) Rabbit mAb.
undefined Image 9: Rag and LAMTOR Antibody Sampler Kit
Orders: 877-616-CELL (2355) [email protected] Support: 877-678-TECH (8324) [email protected] Web: cellsignal.com
For Research Use Only. Not for Use in Diagnostic Procedures.

Revision 4

Cell Signaling Technology Logo
Immunohistochemical analysis of paraffin-embedded human breast carcinoma using LAMTOR1/C11orf59 (D11H6) XP® Rabbit mAb.
undefined Image 10: Rag and LAMTOR Antibody Sampler Kit
Confocal immunofluorescent analysis of HeLa cells using RagC (D8H5) Rabbit mAb (green). Actin filaments have been labeled with DY-554 phalloidin (red). Blue pseudocolor = DRAQ5® #4084 (fluorescent DNA dye).
undefined Image 11: Rag and LAMTOR Antibody Sampler Kit
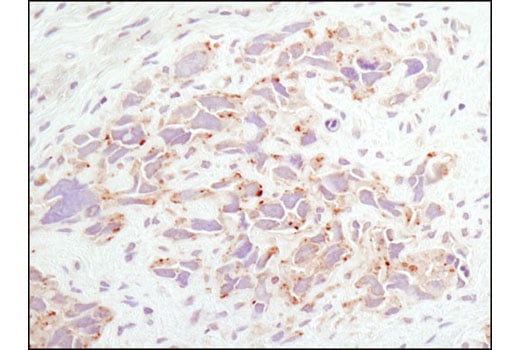
Immunohistochemical analysis of paraffin-embedded human colon carcinoma using LAMTOR1/C11orf59 (D11H6) XP® Rabbit mAb.
undefined Image 12: Rag and LAMTOR Antibody Sampler Kit
Orders: 877-616-CELL (2355) [email protected] Support: 877-678-TECH (8324) [email protected] Web: cellsignal.com
For Research Use Only. Not for Use in Diagnostic Procedures.

Revision 4

Cell Signaling Technology Logo
Flow cytometric analysis of HeLa cells using RagC (D8H5) Rabbit mAb (solid line) compared to concentration-matched Rabbit (DA1E) mAb IgG XP® Isotype Control #3900 (dashed line). Anti-rabbit IgG (H+L), F(ab')2 Fragment (Alexa Fluor® 488 Conjugate) #4412 was used as a secondary antibody.
undefined Image 13: Rag and LAMTOR Antibody Sampler Kit
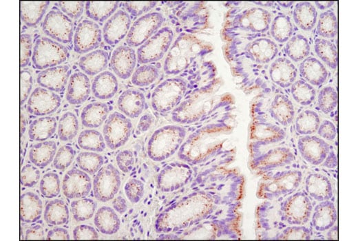
Immunohistochemical analysis of paraffin-embedded mouse colon using LAMTOR1/C11orf59 (D11H6) XP® Rabbit mAb.
undefined Image 14: Rag and LAMTOR Antibody Sampler Kit
Confocal immunofluorescent analysis of HeLa cells using LAMTOR1/C11orf59 (D11H6) XP® Rabbit mAb (green). Actin filaments were labeled with DY-554 phalloidin. Blue pseudocolor = DRAQ5® #4084 (fluorescent DNA dye).
undefined Image 15: Rag and LAMTOR Antibody Sampler Kit
Orders: 877-616-CELL (2355) [email protected] Support: 877-678-TECH (8324) [email protected] Web: cellsignal.com
For Research Use Only. Not for Use in Diagnostic Procedures.

Revision 4

Cell Signaling Technology Logo
Immunoprecipitation of LAMTOR2/ROBLD3 protein from HepG2 extracts. Lane 1 is LAMTOR2/ROBLD3 (D7C10) Rabbit mAb, lane 2 is Rabbit (DA1E) mAb IgG XP® Isotype Control, #3900 and lane 3 is 10% input. Western blot analysis was performed using LAMTOR2/ROBLD3 (D7C10) Rabbit mAb, #8145. Anti-rabbit IgG, HRP-linked Antibody, #7074 was used as the secondary antibody.
undefined Image 16: Rag and LAMTOR Antibody Sampler Kit
Orders: 877-616-CELL (2355) [email protected] Support: 877-678-TECH (8324) [email protected] Web: cellsignal.com
For Research Use Only. Not for Use in Diagnostic Procedures.