Revision 15

#2317

Store at -20C

CST Logo
Orders:

877-616-CELL (2355)

[email protected]

Support:

877-678-TECH (8324)

3 Trask Lane | Danvers | Massachusetts | 01923 | USA

For Research Use Only. Not for Use in Diagnostic Procedures.

Applications:
W, W-F, IHC-P, IF-IC, FC-FP

Reactivity:
H M R Mk Dm

Sensitivity:
Endogenous

MW (kDa):
32

Source/Isotype:
Mouse IgG1

UniProt ID:
#P62753

Entrez-Gene Id:
6194

Product Usage Information

Application Dilution
Western Blotting 1:1000
Fluorescent Western 1:1000
Immunohistochemistry (Paraffin) 1:125
Immunofluorescence (Immunocytochemistry) 1:100
Flow Cytometry (Fixed/Permeabilized) 1:50 - 1:200

Storage

Supplied in 10 mM sodium HEPES (pH 7.5), 150 mM NaCl, 100 µg/ml BSA, 50% glycerol and less than 0.02% sodium azide. Store at –20°C. Do not aliquot the antibody.

For a carrier free (BSA and azide free) version of this product see product #64108

Specificity/Sensitivity

S6 Ribosomal Protein (54D2) Mouse mAb detects endogenous levels of total S6 ribosomal protein independent of phosphorylation.

Source / Purification

Monoclonal antibody is produced by immunizing animals with a recombinant fusion protein corresponding to full-length human S6 ribosomal protein. The epitope corresponds to a region surrounding Asp20 of human S6 ribosomal protein.

Background

One way that growth factors and mitogens effectively promote sustained cell growth and proliferation is by upregulating mRNA translation (1,2). Growth factors and mitogens induce the activation of p70 S6 kinase and the subsequent phosphorylation of S6 ribosomal protein. Phosphorylation of S6 ribosomal protein correlates with an increase in translation of mRNA transcripts that contain an oligopyrimidine tract in their 5' untranslated regions (2). These particular mRNA transcripts (5'TOP) encode proteins involved in cell cycle progression, as well as ribosomal proteins and elongation factors necessary for translation (2,3). Important S6 ribosomal protein phosphorylation sites include several residues (Ser235, Ser236, Ser240, and Ser244) located within a small, carboxy-terminal region of S6 protein (4,5).

Species Reactivity

Species reactivity is determined by testing in at least one approved application (e.g., western blot).

Western Blot Buffer

IMPORTANT: For western blots, incubate membrane with diluted primary antibody in 5% w/v nonfat dry milk, 1X TBS, 0.1% Tween® 20 at 4°C with gentle shaking, overnight.

Applications Key

W: Western Blotting W-F: Fluorescent Western IHC-P: Immunohistochemistry (Paraffin) IF-IC: Immunofluorescence (Immunocytochemistry) FC-FP: Flow Cytometry (Fixed/Permeabilized)

Cross-Reactivity Key

H: Human M: Mouse R: Rat Mk: Monkey Dm: D. melanogaster

Trademarks and Patents

Cell Signaling Technology is a trademark of Cell Signaling Technology, Inc.

All other trademarks are the property of their respective owners. Visit cellsignal.com/trademarks for more information.

Limited Uses

Except as otherwise expressly agreed in a writing signed by a legally authorized representative of CST, the following terms apply to Products provided by CST, its affiliates or its distributors. Any Customer's terms and conditions that are in addition to, or different from, those contained herein, unless separately accepted in writing by a legally authorized representative of CST, are rejected and are of no force or effect.

Products are labeled with For Research Use Only or a similar labeling statement and have not been approved, cleared, or licensed by the FDA or other regulatory foreign or domestic entity, for any purpose. Customer shall not use any Product for any diagnostic or therapeutic purpose, or otherwise in any manner that conflicts with its labeling statement. Products sold or licensed by CST are provided for Customer as the end-user and solely for research and development uses. Any use of Product for diagnostic, prophylactic or therapeutic purposes, or any purchase of Product for resale (alone or as a component) or other commercial purpose, requires a separate license from CST. Customer shall (a) not sell, license, loan, donate or otherwise transfer or make available any Product to any third party, whether alone or in combination with other materials, or use the Products to manufacture any commercial products, (b) not copy, modify, reverse engineer, decompile, disassemble or otherwise attempt to discover the underlying structure or technology of the Products, or use the Products for the purpose of developing any products or services that would compete with CST products or services, (c) not alter or remove from the Products any trademarks, trade names, logos, patent or copyright notices or markings, (d) use the Products solely in accordance with CST Product Terms of Sale and any applicable documentation, and (e) comply with any license, terms of service or similar agreement with respect to any third party products or services used by Customer in connection with the Products.

Orders: 877-616-CELL (2355) [email protected] Support: 877-678-TECH (8324) [email protected] Web: cellsignal.com
For Research Use Only. Not for Use in Diagnostic Procedures.

Revision 15

Cell Signaling Technology Logo
Western blot analysis of cell extracts using S6 Ribosomal Protein (54D2) Mouse mAb.
Western Blotting Image 1: S6 Ribosomal Protein (54D2) Mouse Monoclonal Antibody
Western blot analysis of extracts from MCF-7 cells, serum starved overnight then amino acids starved for one hour (negative control) or serum starved overnight then amino acids starved for one hour, followed by adding back amino acids for one hour and treating with insulin (100 nM, 30 min) (positive control), using S6 Ribosomal Protein (54D2) Mouse mAb #2317 (Panel A) and Phospho-S6 Ribosomal Protein (Ser240/244) (D68F8) XP® Rabbit mAb #5364 (Panel B). Anti-mouse IgG (H+L) (DyLight 680 Conjugate) #5470 (red) and Anti-rabbit IgG (H+L) (DyLight 800 4X PEG Conjugate) #5151 (green) were used as secondary antibodies.
Western Blotting Image 1: S6 Ribosomal Protein (54D2) Mouse Monoclonal Antibody
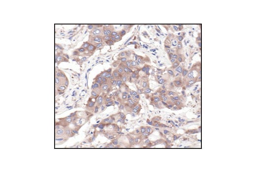
Immunohistochemical analysis of paraffin-embedded human breast carcinoma, showing cytoplasmic localization, using S6 Ribosomal Protein (54D2) Mouse mAb.
Immunohistochemistry Image 1: S6 Ribosomal Protein (54D2) Mouse Monoclonal Antibody
Orders: 877-616-CELL (2355) [email protected] Support: 877-678-TECH (8324) [email protected] Web: cellsignal.com
For Research Use Only. Not for Use in Diagnostic Procedures.

Revision 15

Cell Signaling Technology Logo
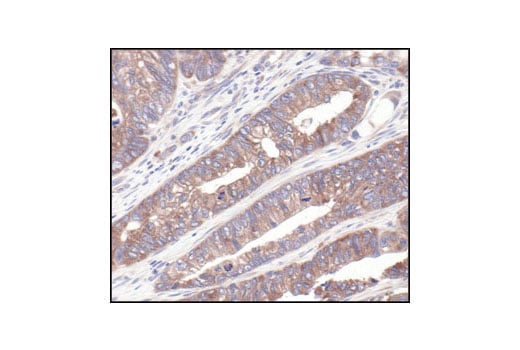
Immunohistochemical analysis of paraffin-embedded human colon carcinoma, using S6 Ribosomal Protein (54D2) Mouse mAb.
Immunohistochemistry Image 2: S6 Ribosomal Protein (54D2) Mouse Monoclonal Antibody
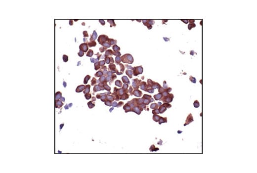
Immunohistochemical analysis of paraffin-embedded LNCaP cells, using S6 Ribosomal Protein (54D2) Mouse mAb.
Immunohistochemistry Image 3: S6 Ribosomal Protein (54D2) Mouse Monoclonal Antibody
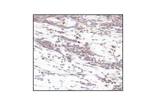
Immunohistochemical analysis of paraffin-embedded human lung carcinoma, using S6 Ribosomal Protein (54D2) Mouse mAb.
Immunohistochemistry Image 4: S6 Ribosomal Protein (54D2) Mouse Monoclonal Antibody
Orders: 877-616-CELL (2355) [email protected] Support: 877-678-TECH (8324) [email protected] Web: cellsignal.com
For Research Use Only. Not for Use in Diagnostic Procedures.

Revision 15

Cell Signaling Technology Logo
Confocal immunofluorescent images of HeLa cells labeled with S6 Ribosomal Protein (54D2) Mouse mAb (red, left) compared to an isotype control (right). Actin filaments have been labeled with fluorescein phalloidin. Blue pseudocolor = DRAQ5® #4084 (fluorescent DNA dye).
Immunofluorescence Image 1: S6 Ribosomal Protein (54D2) Mouse Monoclonal Antibody
Flow cytometric analysis of Jurkat cells using S6 Ribosomal Protein (54D2) Mouse mAb (solid line) compared to concentration-matched Mouse (G3A1) mAb IgG1 Isotype Control #5415 (dashed line). Anti-mouse IgG (H+L), F(ab')2 fragment (Alexa Fluor® 488 conjugate) #4408 was used as a secondary antibody.
Flow Cytometry Image 1: S6 Ribosomal Protein (54D2) Mouse Monoclonal Antibody
Orders: 877-616-CELL (2355) [email protected] Support: 877-678-TECH (8324) [email protected] Web: cellsignal.com
For Research Use Only. Not for Use in Diagnostic Procedures.