Render Target: STATIC
Render Timestamp:
5/20/2026, 7:24:25 AM EDT
5/20/2026, 11:24:25 AM UTC
Commit: 7ed46ecc04b401f23a28df741b5078df405d23e4
XML generation date: 2026-04-23 13:31:35.063
Product last modified at: 2026-03-20T08:06:16.811Z
Cell Signaling Technology Logo - Extra Large
1% for the planet logo
PDP - Template Name: Monoclonal Antibody
PDP - Template ID: *******c5e4b77
Trial Size Available Flag

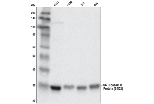
S6 Ribosomal Protein (54D2) Mouse Monoclonal Antibody #2317

Filter:
  • WB
  • IHC
  • IF
  • F

    Product Specifications

    REACTIVITY H M R Mk Dm
    SENSITIVITY Endogenous
    MW (kDa) 32
    Source/Isotype Mouse IgG1
    Application Key:
    • WB-Western Blotting 
    • IHC-Immunohistochemistry 
    • IF-Immunofluorescence 
    • F-Flow Cytometry 
    Species Cross-Reactivity Key:
    • H-Human 
    • M-Mouse 
    • R-Rat 
    • Mk-Monkey 
    • Dm-D. melanogaster 

    Product Information

    Product Usage Information

    Application Dilution
    Western Blotting 1:1000
    Fluorescent Western 1:1000
    Immunohistochemistry (Paraffin) 1:125
    Immunofluorescence (Immunocytochemistry) 1:100
    Flow Cytometry (Fixed/Permeabilized) 1:50 - 1:200

    Storage

    Supplied in 10 mM sodium HEPES (pH 7.5), 150 mM NaCl, 100 µg/ml BSA, 50% glycerol and less than 0.02% sodium azide. Store at –20°C. Do not aliquot the antibody.

    For a carrier free (BSA and azide free) version of this product see product #64108

    Protocol

    Specificity / Sensitivity

    S6 Ribosomal Protein (54D2) Mouse mAb detects endogenous levels of total S6 ribosomal protein independent of phosphorylation.

    Species Reactivity:

    Human, Mouse, Rat, Monkey, D. melanogaster

    Source / Purification

    Monoclonal antibody is produced by immunizing animals with a recombinant fusion protein corresponding to full-length human S6 ribosomal protein. The epitope corresponds to a region surrounding Asp20 of human S6 ribosomal protein.

    Background

    One way that growth factors and mitogens effectively promote sustained cell growth and proliferation is by upregulating mRNA translation (1,2). Growth factors and mitogens induce the activation of p70 S6 kinase and the subsequent phosphorylation of S6 ribosomal protein. Phosphorylation of S6 ribosomal protein correlates with an increase in translation of mRNA transcripts that contain an oligopyrimidine tract in their 5' untranslated regions (2). These particular mRNA transcripts (5'TOP) encode proteins involved in cell cycle progression, as well as ribosomal proteins and elongation factors necessary for translation (2,3). Important S6 ribosomal protein phosphorylation sites include several residues (Ser235, Ser236, Ser240, and Ser244) located within a small, carboxy-terminal region of S6 protein (4,5).

    Alternate Names

    40S ribosomal protein S6; Phosphoprotein NP33; ribosomal protein S6; RPS6; RS6; S6; S6 ribosomal protein; Small ribosomal subunit protein eS6

    For Research Use Only. Not for Use in Diagnostic Procedures.
    Cell Signaling Technology is a trademark of Cell Signaling Technology, Inc.
    All other trademarks are the property of their respective owners. Visit our Trademark Information page.